共2页/23条首页上一页12下一页尾页
回复:23 阅读:6593
2012年3月 广东省病理读片会病例---回肠末端肿物

Renghis 离线

帖子:2530
粉蓝豆:92
经验:4081
注册时间:2007-12-13
加关注  |  发消息
楼主 发表于 2012-02-12 12:59|举报|关注(1)
浏览排序[ 顺序 逆序 楼主 支持 精彩 ]  快捷回复

  • 2012年3月 广东省病理读片会病例---回肠末端肿物图12012年3月 广东省病理读片会病例---回肠末端肿物图2
    图1
  • 2012年3月 广东省病理读片会病例---回肠末端肿物图3
    图2
  • 2012年3月 广东省病理读片会病例---回肠末端肿物图4
    图3
  • 2012年3月 广东省病理读片会病例---回肠末端肿物图5
    图4
  • 2012年3月 广东省病理读片会病例---回肠末端肿物图6
    图5
  • 2012年3月 广东省病理读片会病例---回肠末端肿物图7
    图6
  • 2012年3月 广东省病理读片会病例---回肠末端肿物图8
    图7
  • 2012年3月 广东省病理读片会病例---回肠末端肿物图9
    图8
  • 2012年3月 广东省病理读片会病例---回肠末端肿物图10
    图9
  • 2012年3月 广东省病理读片会病例---回肠末端肿物图11
    图10
  • 2012年3月 广东省病理读片会病例---回肠末端肿物图12
    图11
  • 2012年3月 广东省病理读片会病例---回肠末端肿物图13
    图12
  • 2012年3月 广东省病理读片会病例---回肠末端肿物图14
    图13
  • 2012年3月 广东省病理读片会病例---回肠末端肿物图15
    图14
  • 2012年3月 广东省病理读片会病例---回肠末端肿物图16
    图15
  • 2012年3月 广东省病理读片会病例---回肠末端肿物图17
    图16
  • 2012年3月 广东省病理读片会病例---回肠末端肿物图18
    图17
  • 2012年3月 广东省病理读片会病例---回肠末端肿物图19
    图18
  • 2012年3月 广东省病理读片会病例---回肠末端肿物图20
    图19
  •  
    图20
  • 2012年3月 广东省病理读片会病例---回肠末端肿物图21
    图21
  • 2012年3月 广东省病理读片会病例---回肠末端肿物图22
    图22
  • 2012年3月 广东省病理读片会病例---回肠末端肿物图23
    图23
  • 2012年3月 广东省病理读片会病例---回肠末端肿物图24
    图24
  • 2012年3月 广东省病理读片会病例---回肠末端肿物图25
    图25
  • 2012年3月 广东省病理读片会病例---回肠末端肿物图26
    图26
  • 2012年3月 广东省病理读片会病例---回肠末端肿物图27
    图27
  • 2012年3月 广东省病理读片会病例---回肠末端肿物图28
    图28
  • 2012年3月 广东省病理读片会病例---回肠末端肿物图29
    图29
  • 2012年3月 广东省病理读片会病例---回肠末端肿物图30
    图30
  • 2012年3月 广东省病理读片会病例---回肠末端肿物图31
    图31
  • 2012年3月 广东省病理读片会病例---回肠末端肿物图32
    图32
  • 2012年3月 广东省病理读片会病例---回肠末端肿物图33
    图33
  • 2012年3月 广东省病理读片会病例---回肠末端肿物图34
    图34
  • 2012年3月 广东省病理读片会病例---回肠末端肿物图35
    图35

 

标签:病理
本帖最后由 Renghis 于 2012-02-12 13:14:58 编辑
0
signature
重归学生时代!
×参考诊断
(回肠)Burkitt淋巴瘤

lvyinhua 离线

帖子:832
粉蓝豆:35
经验:1180
注册时间:2012-01-09
加关注  |  发消息
1 楼    发表于2012-02-12 15:29:50举报|引用
返回顶部 | 快捷回复

淋巴瘤

0
回复

绿色心情 离线

帖子:418
粉蓝豆:6
经验:524
注册时间:2010-01-09
加关注  |  发消息
2 楼    发表于2012-02-12 15:40:19举报|引用
返回顶部 | 快捷回复

考虑淋巴瘤,细胞比较大,要同癌鉴别一下,免疫组化标记

0
回复

xiaocaodi 离线

帖子:855
粉蓝豆:46
经验:1917
注册时间:2006-10-21
加关注  |  发消息
3 楼    发表于2012-02-12 15:58:09举报|引用
返回顶部 | 快捷回复

考虑淋巴造血系统肿瘤,B细胞淋巴瘤?粒细胞肉瘤?免疫组化排除低分化腺癌。

1

yanglian..
回复

病理020 离线

帖子:1344
粉蓝豆:5612
经验:1814
注册时间:2011-10-02
加关注  |  发消息
4 楼    发表于2012-02-12 16:16:52举报|引用
返回顶部 | 快捷回复

异型淋巴细胞弥漫性浸润黏膜间质,首先考虑黏膜相关淋巴组织淋巴瘤(做免疫组化,进一步明确类型)。

0
回复
signature
邓学田

200406 离线

帖子:1385
粉蓝豆:145
经验:2735
注册时间:2011-08-08
加关注  |  发消息
5 楼    发表于2012-02-12 17:34:35举报|引用
返回顶部 | 快捷回复

 淋巴瘤,弥漫大B,免疫标记。

0
回复

zhouquan 离线

帖子:7752
粉蓝豆:302
经验:8263
注册时间:2008-11-09
加关注  |  发消息
6 楼    发表于2012-02-12 20:00:06举报|引用
返回顶部 | 快捷回复

高度恶性淋巴造血系统肿瘤,就形态而言是个典型的粒细胞肉瘤,鉴别肠病相关T,伯基特

1

www81091..
回复
signature
成功不是得到多少东西,而是把身上多余的东西的扔掉多少。   

3673566 离线

帖子:1879
粉蓝豆:74
经验:3305
注册时间:2006-10-29
加关注  |  发消息
7 楼    发表于2012-02-12 22:37:05举报|引用
返回顶部 | 快捷回复

淋巴造血系统恶性肿瘤,结合患儿年龄、病史及组织学形态,考虑:1)粒细胞肉瘤;2)淋母;3)DLBCL;4)Burkitt;

0
回复

csx学习 离线

帖子:198
粉蓝豆:5
经验:605
注册时间:2009-08-21
加关注  |  发消息
8 楼    发表于2012-02-13 10:22:14举报|引用
返回顶部 | 快捷回复

瘤细胞中等大小,弥散,见髓系各种细胞、嗜酸性细胞,符合粒细胞肉瘤,免疫组化鉴别淋巴瘤

0
回复

TK1905 离线

帖子:962
粉蓝豆:283
经验:1054
注册时间:2010-03-14
加关注  |  发消息
9 楼    发表于2012-02-13 14:34:11举报|引用
返回顶部 | 快捷回复

粒肉、淋巴母、伯基特

0
回复

3673566 离线

帖子:1879
粉蓝豆:74
经验:3305
注册时间:2006-10-29
加关注  |  发消息
10 楼    发表于2012-03-03 22:02:19举报|引用
返回顶部 | 快捷回复

小细胞恶性肿瘤,结合患儿年龄,首先考虑淋巴造血系统恶性肿瘤,粒细胞肉瘤;淋母.....

0
回复

xxmcyuan 离线

帖子:11
粉蓝豆:1
经验:51
注册时间:2012-02-23
加关注  |  发消息
11 楼    发表于2012-03-04 08:16:23举报|引用
返回顶部 | 快捷回复

做个免疫组化吧,

0
回复

molly011 在线

帖子:938
粉蓝豆:244
经验:1818
注册时间:2007-07-19
加关注  |  发消息
12 楼    发表于2012-03-04 08:49:46举报|引用
返回顶部 | 快捷回复

主要考虑髓系肉瘤,可见嗜酸性粒细胞,

0
回复
signature
稳扎稳打,稳中求胜

huangchuansheng 离线

帖子:295
粉蓝豆:2674
经验:830
注册时间:2006-09-27
加关注  |  发消息
13 楼    发表于2012-03-05 13:49:03举报|引用
返回顶部 | 快捷回复

细胞部分呈单行排列,可见未成熟嗜酸性白细胞。考虑粒细胞肉瘤。

0
回复
signature
病理人

qwe628400 离线

帖子:459
粉蓝豆:57
经验:516
注册时间:2009-11-17
加关注  |  发消息
14 楼    发表于2012-03-05 20:27:34举报|引用
返回顶部 | 快捷回复

小儿,弥漫性小圆细胞,可见不成熟嗜酸性白细胞,这些特点均符合粒细胞肉瘤,需免疫组化鉴别淋母。

0
回复

怒发冲冠 离线

帖子:1152
粉蓝豆:601
经验:2894
注册时间:2008-05-23
加关注  |  发消息
15 楼    发表于2012-03-05 21:04:27举报|引用
返回顶部 | 快捷回复

考虑粘膜相关淋巴瘤、粒细胞肉瘤,免组鉴别!

0
回复

伊文洁琳 离线

帖子:137
粉蓝豆:24
经验:267
注册时间:2012-03-03
加关注  |  发消息
16 楼    发表于2012-03-09 17:57:03举报|引用
返回顶部 | 快捷回复

MALT

0
回复

200406 离线

帖子:1385
粉蓝豆:145
经验:2735
注册时间:2011-08-08
加关注  |  发消息
17 楼    发表于2012-03-09 21:09:57举报|引用
返回顶部 | 快捷回复

淋巴瘤。

0
回复

Renghis 离线

帖子:2530
粉蓝豆:92
经验:4081
注册时间:2007-12-13
加关注  |  发消息
18 楼    发表于2012-03-11 14:17:15举报|引用
返回顶部 | 快捷回复
  • 图1
  • 图2
  • 图3
  • 图4
  • 图5

 

 

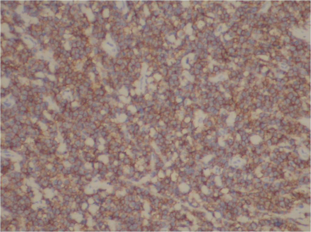
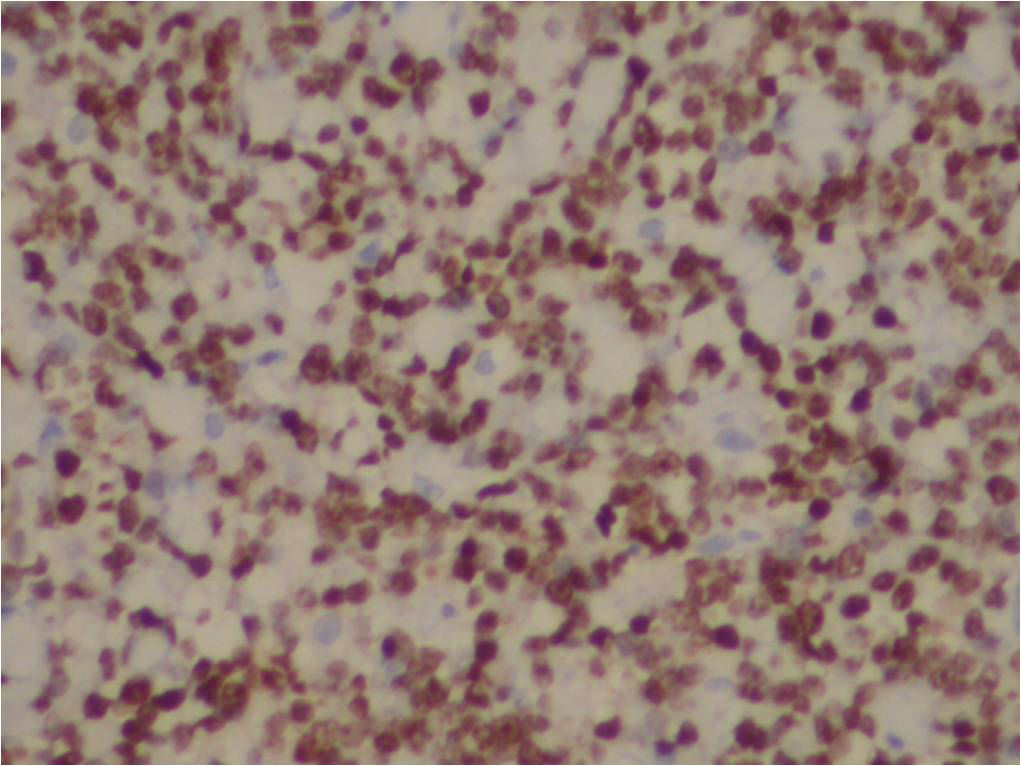
免疫组化结果:

阳性: CD20CD79αBCL-6+),ki-6795%+),CD68组织细胞(+

阴性: CD3CD45ROTIA-1CD56CD30ALKCD34TdTMUM1CD138CD5CD7MPOCD15BCL-2CD21CD23CD10

原位免疫杂交:  EBER(-)

 
0
回复
signature
重归学生时代!

Renghis 离线

帖子:2530
粉蓝豆:92
经验:4081
注册时间:2007-12-13
加关注  |  发消息
19 楼    发表于2012-03-11 14:19:07举报|引用
返回顶部 | 快捷回复

 最后诊断:(回肠)Burkitt淋巴瘤。

0
回复
signature
重归学生时代!

liangjinjun 离线

帖子:2328
粉蓝豆:2
经验:2457
注册时间:2007-08-07
加关注  |  发消息
20 楼    发表于2013-02-12 10:53:39举报|引用
返回顶部 | 快捷回复

(回肠)伯基特淋巴瘤

0
回复
signature
梁晋军
回复:23 阅读:6593
共2页/23条首页上一页12下一页尾页
【免责声明】讨论内容仅作学术交流之用,不作为诊疗依据,由此而引起的法律问题作者及本站不承担任何责任。
快速回复
进入高级回复
您最多可输入10000个汉字,按 "Ctrl" + "Enter" 直接发送
搜索回复/乘电梯 ×
按内容
按会员
乘电梯
合作伙伴
友情链接