共2页/33条首页上一页12下一页尾页
回复:33 阅读:8552
2012年3月 广东省病理读片会病例---外阴肿物

Renghis 离线

帖子:2530
粉蓝豆:92
经验:4081
注册时间:2007-12-13
加关注  |  发消息
楼主 发表于 2012-02-12 10:19|举报|关注(3)
浏览排序[ 顺序 逆序 楼主 支持 精彩 ]  快捷回复

 

女,22岁,因“外阴疼痛半月”入院。

手术所见:外阴肿物约6x6x5cm,内含豆腐渣样物,予以切除。

大体所见:带皮肤肿物一个,肿物位于皮下,大小约5.5x3.5x2.5cm,切面灰白、暗红,质中。

 

 

  • 2012年3月 广东省病理读片会病例---外阴肿物图1
    图1
  • 2012年3月 广东省病理读片会病例---外阴肿物图2
    图2
  • 2012年3月 广东省病理读片会病例---外阴肿物图3
    图3
  • 2012年3月 广东省病理读片会病例---外阴肿物图4
    图4
  • 2012年3月 广东省病理读片会病例---外阴肿物图5
    图5
  • 2012年3月 广东省病理读片会病例---外阴肿物图6
    图6
  • 2012年3月 广东省病理读片会病例---外阴肿物图7
    图7
  • 2012年3月 广东省病理读片会病例---外阴肿物图8
    图8
  • 2012年3月 广东省病理读片会病例---外阴肿物图9
    图9
  • 2012年3月 广东省病理读片会病例---外阴肿物图10
    图10
  • 2012年3月 广东省病理读片会病例---外阴肿物图11
    图11
  • 2012年3月 广东省病理读片会病例---外阴肿物图12
    图12
  • 2012年3月 广东省病理读片会病例---外阴肿物图13
    图13
  • 2012年3月 广东省病理读片会病例---外阴肿物图14
    图14
  • 2012年3月 广东省病理读片会病例---外阴肿物图15
    图15
  • 2012年3月 广东省病理读片会病例---外阴肿物图16
    图16
  • 2012年3月 广东省病理读片会病例---外阴肿物图17
    图17
  • 2012年3月 广东省病理读片会病例---外阴肿物图18
    图18
  • 2012年3月 广东省病理读片会病例---外阴肿物图19
    图19
  • 2012年3月 广东省病理读片会病例---外阴肿物图20
    图20
  • 2012年3月 广东省病理读片会病例---外阴肿物图21
    图21
  • 2012年3月 广东省病理读片会病例---外阴肿物图22
    图22
  • 2012年3月 广东省病理读片会病例---外阴肿物图23
    图23
  • 2012年3月 广东省病理读片会病例---外阴肿物图24
    图24
  • 2012年3月 广东省病理读片会病例---外阴肿物图25
    图25
  • 2012年3月 广东省病理读片会病例---外阴肿物图26
    图26
  • 2012年3月 广东省病理读片会病例---外阴肿物图27
    图27
  • 2012年3月 广东省病理读片会病例---外阴肿物图28
    图28
  • 2012年3月 广东省病理读片会病例---外阴肿物图29
    图29
  • 2012年3月 广东省病理读片会病例---外阴肿物图30
    图30
  • 2012年3月 广东省病理读片会病例---外阴肿物图31
    图31
  • 2012年3月 广东省病理读片会病例---外阴肿物图32
    图32
  • 2012年3月 广东省病理读片会病例---外阴肿物图33
    图33
  • 2012年3月 广东省病理读片会病例---外阴肿物图34
    图34
  • 2012年3月 广东省病理读片会病例---外阴肿物图35
    图35
  • 2012年3月 广东省病理读片会病例---外阴肿物图36
    图36
  • 2012年3月 广东省病理读片会病例---外阴肿物图37
    图37
标签:病理
1
signature
重归学生时代!
×参考诊断
(外阴)近端型上皮样肉瘤

qwe628400 离线

帖子:459
粉蓝豆:57
经验:516
注册时间:2009-11-17
加关注  |  发消息
21 楼    发表于2012-03-05 19:32:54举报|引用
返回顶部 | 快捷回复

1.近端型上皮样肉瘤。

2恶性肾外横纹肌样瘤。

0
回复

dragon 离线

帖子:207
粉蓝豆:5
经验:268
注册时间:2011-02-17
加关注  |  发消息
22 楼    发表于2012-03-08 21:37:03举报|引用
返回顶部 | 快捷回复

本例我又仔细看了一遍,与胚胎性横纹肌肉瘤不同的是:本例横纹肌肉瘤中可见散在的核位于胞质周边排列的多核巨细胞,在形态上与横纹肌母细胞有过渡,可能由横纹肌母细胞融合而成,故考虑:

腺泡状横纹肌肉瘤

0
回复
signature
将生命本质里最真实的想法付诸实践的勇气

dragon 离线

帖子:207
粉蓝豆:5
经验:268
注册时间:2011-02-17
加关注  |  发消息
23 楼    发表于2012-03-08 21:49:15举报|引用
返回顶部 | 快捷回复

期待明天的揭晓!

0
回复
signature
将生命本质里最真实的想法付诸实践的勇气

老陈酒 离线

帖子:220
粉蓝豆:1673
经验:945
注册时间:2010-07-06
加关注  |  发消息
24 楼    发表于2012-03-08 22:07:38举报|引用
返回顶部 | 快捷回复

支持胚胎性横纹肌肉瘤

0
回复
signature
老陈酒

华之夏 离线

帖子:354
粉蓝豆:39
经验:722
注册时间:2010-09-03
加关注  |  发消息
25 楼    发表于2012-03-09 11:02:40举报|引用
返回顶部 | 快捷回复

腺泡状横纹肌肉瘤。

0
回复

Renghis 离线

帖子:2530
粉蓝豆:92
经验:4081
注册时间:2007-12-13
加关注  |  发消息
26 楼    发表于2012-03-11 14:25:09举报|引用
返回顶部 | 快捷回复
  • 图1
  • 图2
  • 图3
  • 图4
  • 图5

 

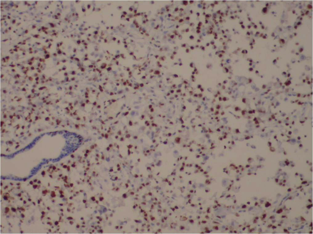
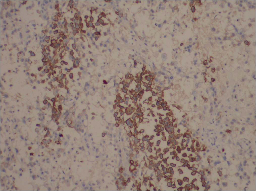
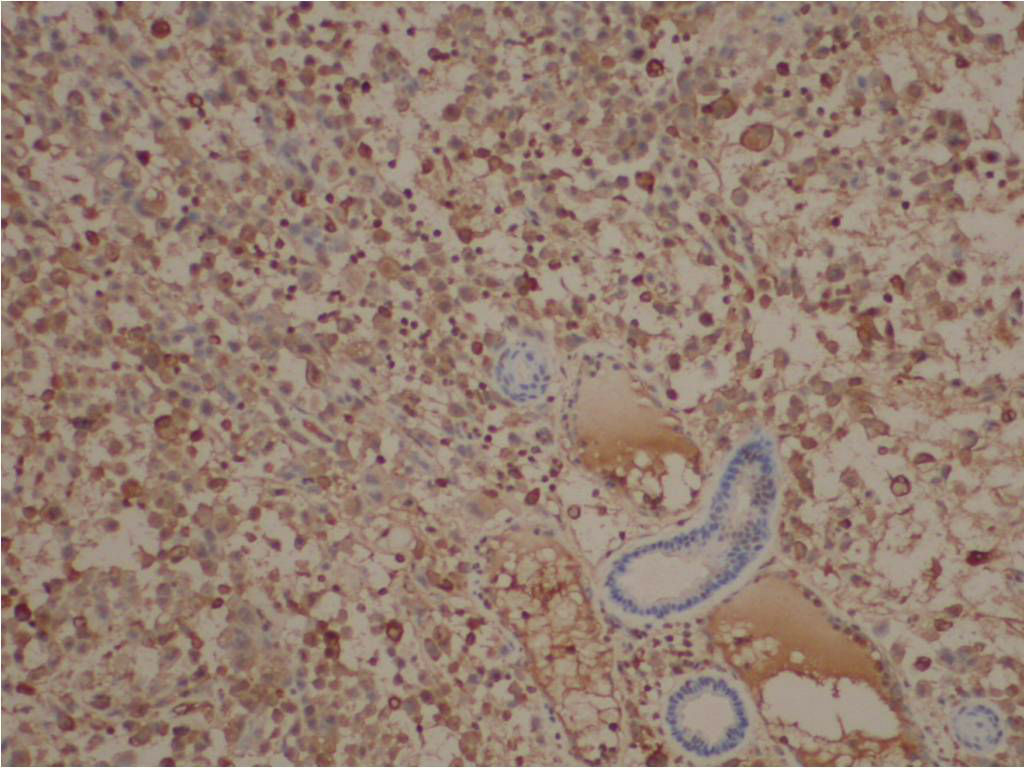
免疫组化结果:

阳性: CKVimCD34EMA均(+),P63(灶+),CEA个别细胞(+), Ki6770%+)。

阴性: CD31MyogeninMyoD1desminactinCD68LysCK5/6均(-)。

特染: PAS-)。

 
0
回复
signature
重归学生时代!

Renghis 离线

帖子:2530
粉蓝豆:92
经验:4081
注册时间:2007-12-13
加关注  |  发消息
27 楼    发表于2012-03-11 14:26:06举报|引用
返回顶部 | 快捷回复
本帖最后由 Renghis 于 2012-03-11 14:26:26 编辑

 

最后诊断:

(外阴)近端型上皮样肉瘤。 (proximal-type epitheliod sarcoma, PES)

0
回复
signature
重归学生时代!

wy1992 离线

帖子:4858
粉蓝豆:1
经验:7320
注册时间:2007-06-30
加关注  |  发消息
28 楼    发表于2012-03-15 20:21:27举报|引用
返回顶部 | 快捷回复

Thanks!

0
回复
signature

朱正龙

czyxyysm 离线

帖子:359
粉蓝豆:335
经验:1315
注册时间:2007-12-31
加关注  |  发消息
29 楼    发表于2012-03-15 21:37:48举报|引用
返回顶部 | 快捷回复

考虑胚胎性横纹肌肉瘤

1

越后之龙
回复
signature
杨苏敏

越后之龙 离线

帖子:194
粉蓝豆:8
经验:294
注册时间:2012-03-16
加关注  |  发消息
30 楼    发表于2012-03-16 11:50:06举报|引用
返回顶部 | 快捷回复

胚横

0
回复
signature
面对病魔要求在座的诸位医师有善战则胜的医学功底,但是我们要培养白衣天使面对病魔不战而胜的威慑力量!

学习bingli 离线

帖子:194
粉蓝豆:1
经验:276
注册时间:2011-04-04
加关注  |  发消息
31 楼    发表于2012-03-16 12:37:13举报|引用
返回顶部 | 快捷回复

多形性横纹肌肉瘤

0
回复

晓明 离线

帖子:1630
粉蓝豆:56
经验:1784
注册时间:2010-02-02
加关注  |  发消息
32 楼    发表于2012-04-13 23:16:40举报|引用
返回顶部 | 快捷回复

1)多形性横纹肌肉瘤?2)恶黑?3)上皮样平滑肌肉瘤?4)近端型上皮样肉瘤?5)横纹肌样瘤?.....

0
回复
signature
典型中看不典型,不典型中找典型。

liangjinjun 离线

帖子:2328
粉蓝豆:2
经验:2457
注册时间:2007-08-07
加关注  |  发消息
33 楼    发表于2013-02-12 10:36:32举报|引用
返回顶部 | 快捷回复
本帖最后由 liangjinjun 于 2013-02-12 11:33:30 编辑

1)多形性横纹肌肉瘤?2)恶黑?3)上皮样平滑肌肉瘤?4)近端型上皮样肉瘤?5)横纹肌样瘤?.....

0
回复
signature
梁晋军
回复:33 阅读:8552
共2页/33条首页上一页12下一页尾页
【免责声明】讨论内容仅作学术交流之用,不作为诊疗依据,由此而引起的法律问题作者及本站不承担任何责任。
快速回复
进入高级回复
您最多可输入10000个汉字,按 "Ctrl" + "Enter" 直接发送
搜索回复/乘电梯 ×
按内容
按会员
乘电梯
合作伙伴
友情链接