共1页/14条首页上一页1下一页尾页
回复:18 阅读:5074
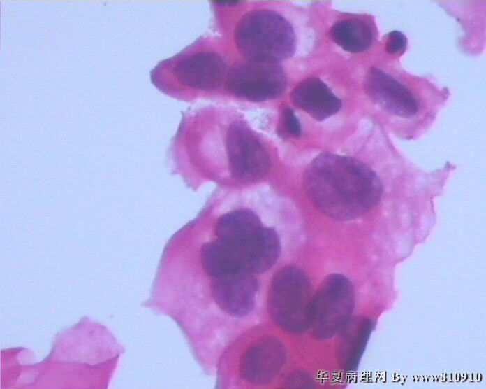
宫颈TCT,有活检结果!

www810910 离线

帖子:5455
粉蓝豆:349
经验:7608
注册时间:2010-05-27
加关注  |  发消息
楼主 发表于 2012-02-10 17:35|举报|关注(0)
浏览排序[ 顺序 逆序 楼主 支持 精彩 ]  快捷回复

 

  • 宫颈TCT,有活检结果!图1
    图1
  • 宫颈TCT,有活检结果!图2
    图2
  • 宫颈TCT,有活检结果!图3
    图3
  • 宫颈TCT,有活检结果!图4
    图4
  • 宫颈TCT,有活检结果!图5
    图5
  • 宫颈TCT,有活检结果!图6
    图6
  • 宫颈TCT,有活检结果!图7
    图7
  • 宫颈TCT,有活检结果!图8
    图8
  • 宫颈TCT,有活检结果!图9
    图9
  • 宫颈TCT,有活检结果!图10
    图10
  • 宫颈TCT,有活检结果!图11
    图11
  • 宫颈TCT,有活检结果!图12
    图12
标签:
本帖最后由 www810910 于 2012-02-10 17:36:33 编辑
0
signature
做人要知足,做事要知不足,做学问要不知足!
添加参考诊断
×参考诊断
  

gwls0008 离线

帖子:1365
粉蓝豆:5
经验:1465
注册时间:2008-08-24
加关注  |  发消息
1 楼    发表于2012-02-10 18:52:28举报|引用
返回顶部 | 快捷回复

高级别病变,鳞癌可能。

0
回复

汪小姐 离线

帖子:9
粉蓝豆:1
经验:75
注册时间:2011-11-11
加关注  |  发消息
2 楼    发表于2012-02-10 20:27:02举报|引用
返回顶部 | 快捷回复

LSIL,不除外更高

1

chenyoul..
回复
signature
创造机会

伯牙绝弦 离线

帖子:1408
粉蓝豆:152
经验:2019
注册时间:2010-09-28
加关注  |  发消息
3 楼    发表于2012-02-10 20:44:50举报|引用
返回顶部 | 快捷回复

必须活检了。

0
回复
signature
成功不是将来才有的,而是从决定去做的那一刻起,持续累积而成。

yingying4678 离线

帖子:12
粉蓝豆:27
经验:24
注册时间:2009-07-09
加关注  |  发消息
4 楼    发表于2012-02-10 21:18:40举报|引用
返回顶部 | 快捷回复

CIN3以上

0
回复

www810910 离线

帖子:5455
粉蓝豆:349
经验:7608
注册时间:2010-05-27
加关注  |  发消息
5 楼    发表于2012-02-10 21:40:19举报|引用
返回顶部 | 快捷回复

 活检结果:

 

  • 图1
  • 图2
  • 图3
  • 图4
  • 图5
  • 图6
0
回复
signature
做人要知足,做事要知不足,做学问要不知足!

leiyu0223 离线

帖子:6
粉蓝豆:2
经验:88
注册时间:2012-02-10
加关注  |  发消息
6 楼    发表于2012-02-10 22:06:34举报|引用
返回顶部 | 快捷回复

可能的依据是什么?

0
回复

时光 离线

帖子:495
粉蓝豆:151
经验:921
注册时间:2011-05-27
加关注  |  发消息
7 楼    发表于2013-01-28 13:40:48举报|引用
返回顶部 | 快捷回复

细胞学:ASC-H。  组织学够 CIN II 吗?

0
回复

马明菊 离线

帖子:9
粉蓝豆:1678
经验:128
注册时间:2009-09-08
加关注  |  发消息
8 楼    发表于2013-01-28 14:17:39举报|引用
返回顶部 | 快捷回复

 癌

0
收起回复

马明菊 离线

帖子:9
粉蓝豆:1678
经验:128
注册时间:2009-09-08
加关注  |  发消息
9 楼    发表于2013-01-28 14:33:17举报|引用
返回顶部 | 快捷回复

 CIN

0
回复

AnnaGuo 离线

帖子:405
粉蓝豆:22
经验:928
注册时间:2012-09-02
加关注  |  发消息
10 楼    发表于2013-01-28 14:35:04举报|引用
返回顶部 | 快捷回复

CINIII

0
回复

w6824264 离线

帖子:61
粉蓝豆:6
经验:114
注册时间:2011-03-22
加关注  |  发消息
11 楼    发表于2013-01-28 16:33:52举报|引用
返回顶部 | 快捷回复

ASC-H

0
回复

abc666 离线

帖子:295
粉蓝豆:5
经验:304
注册时间:2008-04-06
加关注  |  发消息
12 楼    发表于2013-01-28 23:01:07举报|引用
返回顶部 | 快捷回复

细胞学肯定有问题,但我也没有看有多高的病变。

 

1

金易龙
收起回复
  • 金易龙:  除了大还是大 一致性的大
    2013-01-29 08:25
  • 李世宏:  请教金老师,图8算一致性的大吗?
    2013-02-03 21:04

白色笔记本 离线

帖子:163
粉蓝豆:114
经验:167
注册时间:2011-02-18
加关注  |  发消息
13 楼    发表于2013-02-03 12:23:18举报|引用
返回顶部 | 快捷回复

 细胞学:LSIL建议活检及HPV检查

活检;CINⅡ累及腺体,上皮内见挖空细胞。

0
回复
signature
我的级别,噢,ye。。。。

甜甜 离线

帖子:3184
粉蓝豆:112
经验:3353
注册时间:2012-03-22
加关注  |  发消息
14 楼    发表于2013-02-03 12:55:47举报|引用
返回顶部 | 快捷回复

ASC-H活检;CIN3累及腺体,上皮内见挖空细胞

0
收起回复
  • wcz99:  HSIL 活检;CIN3累及腺体
    2014-01-20 18:08
signature
我努力,我坚持就会有美好的成果。
回复:18 阅读:5074
共1页/14条首页上一页1下一页尾页
【免责声明】讨论内容仅作学术交流之用,不作为诊疗依据,由此而引起的法律问题作者及本站不承担任何责任。
快速回复
进入高级回复
您最多可输入10000个汉字,按 "Ctrl" + "Enter" 直接发送
搜索回复/乘电梯 ×
按内容
按会员
乘电梯
合作伙伴
友情链接