共1页/5条首页上一页1下一页尾页
回复:5 阅读:2227
求助!肾脏包块!

wolflovepig 离线

帖子:675
粉蓝豆:55
经验:9062
注册时间:2007-08-25
加关注  |  发消息
楼主 发表于 2012-02-09 17:11|举报|关注(0)
浏览排序[ 顺序 逆序 楼主 支持 精彩 ]  快捷回复

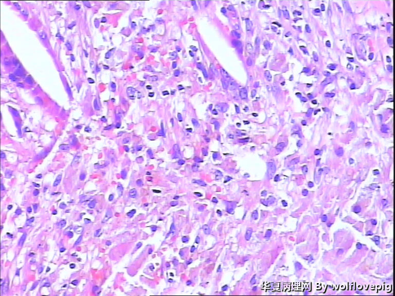
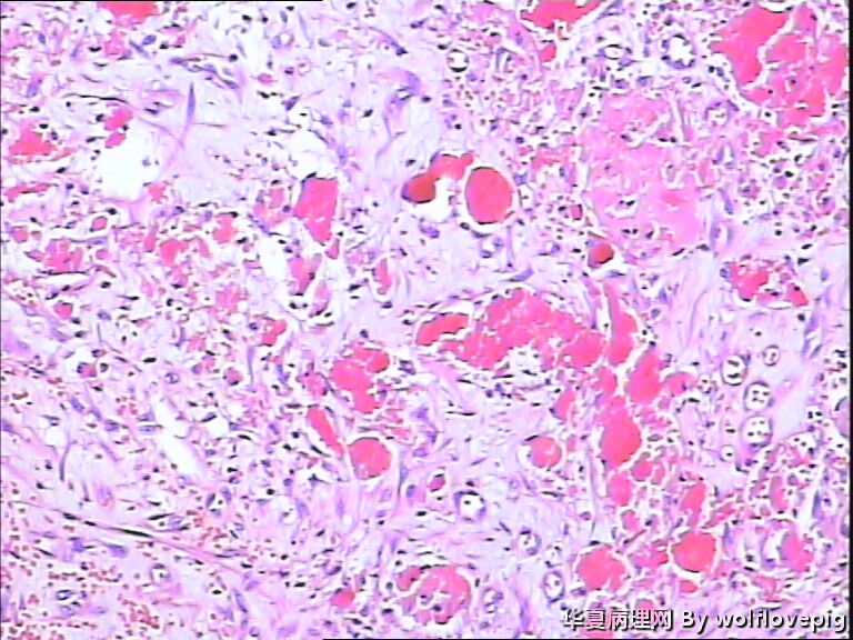
 男,70y,左腰痛一年,反复血尿1月,坐肾区轻叩痛。

  • 求助!肾脏包块!图1
    图1
  • 求助!肾脏包块!图2
    图2
  • 求助!肾脏包块!图3
    图3
  • 求助!肾脏包块!图4
    图4
  • 求助!肾脏包块!图5
    图5
  • 求助!肾脏包块!图6
    图6
  • 求助!肾脏包块!图7
    图7
  • 求助!肾脏包块!图8
    图8
  • 求助!肾脏包块!图9
    图9
  • 求助!肾脏包块!图10
    图10
  • 求助!肾脏包块!图11
    图11
  • 求助!肾脏包块!图12
    图12
  • 求助!肾脏包块!图13
    图13
  • 求助!肾脏包块!图14
    图14
  • 求助!肾脏包块!图15
    图15
  • 求助!肾脏包块!图16
    图16
  • 求助!肾脏包块!图17
    图17

标签:求助!肾脏包块!
0
添加参考诊断
×参考诊断
  

寂静山林 离线

帖子:179
粉蓝豆:35
经验:331
注册时间:2011-03-03
加关注  |  发消息
2 楼    发表于2012-02-12 10:34:33举报|引用
返回顶部 | 快捷回复

图片质量非常不好,显微镜下的图片几乎没法观察, 看大体标本还是不能除外肿瘤性病变,能不能采一些高质量的图片?

0
回复
signature
淡淡地再一次聆听过去,如亲临阿尔卑斯山的原始天籁!

quhong 离线

帖子:493
粉蓝豆:24
经验:953
注册时间:2009-02-22
加关注  |  发消息
3 楼    发表于2012-02-12 11:56:32举报|引用
返回顶部 | 快捷回复

 大体图片有些让人担心。镜下图片更倾向是良性病变。主要为对坏死组织的反应。

0
回复

绿色心情 离线

帖子:418
粉蓝豆:6
经验:524
注册时间:2010-01-09
加关注  |  发消息
4 楼    发表于2012-02-12 16:54:57举报|引用
返回顶部 | 快捷回复

炎症性病变

0
回复

绿色心情 离线

帖子:418
粉蓝豆:6
经验:524
注册时间:2010-01-09
加关注  |  发消息
5 楼    发表于2012-02-12 16:55:40举报|引用
返回顶部 | 快捷回复

肉芽组织形成

 

0
回复

zhouquan 离线

帖子:7752
粉蓝豆:302
经验:8263
注册时间:2008-11-09
加关注  |  发消息
1 楼    发表于2012-02-09 18:38:43举报|引用
返回顶部 | 快捷回复

炎症性病变

0
回复
signature
成功不是得到多少东西,而是把身上多余的东西的扔掉多少。   
回复:5 阅读:2227
共1页/5条首页上一页1下一页尾页
【免责声明】讨论内容仅作学术交流之用,不作为诊疗依据,由此而引起的法律问题作者及本站不承担任何责任。
快速回复
进入高级回复
您最多可输入10000个汉字,按 "Ctrl" + "Enter" 直接发送
搜索回复/乘电梯 ×
按内容
按会员
乘电梯
合作伙伴
友情链接