共1页/6条首页上一页1下一页尾页
回复:6 阅读:1912
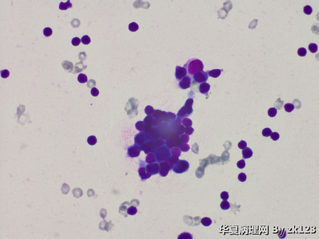
76岁男性胸水近一个月,有没有低分化癌的可能

zk123 离线

帖子:159
粉蓝豆:3
经验:230
注册时间:2010-09-04
加关注  |  发消息
楼主 发表于 2012-02-08 22:16|举报|关注(1)
浏览排序[ 顺序 逆序 楼主 支持 精彩 ]  快捷回复
  • 76岁男性胸水近一个月,有没有低分化癌的可能图1
    图1
  • 76岁男性胸水近一个月,有没有低分化癌的可能图2
    图2
  • 76岁男性胸水近一个月,有没有低分化癌的可能图3
    图3
  • 76岁男性胸水近一个月,有没有低分化癌的可能图4
    图5
  • 76岁男性胸水近一个月,有没有低分化癌的可能图5
    图6
  • 76岁男性胸水近一个月,有没有低分化癌的可能图6
    图7
    • 76岁男性胸水近一个月,有没有低分化癌的可能图7
      图1
    • 76岁男性胸水近一个月,有没有低分化癌的可能图8
      图4

 

标签:
0
添加参考诊断
×参考诊断
  

197 离线

帖子:4781
粉蓝豆:803
经验:5032
注册时间:2006-09-12
加关注  |  发消息
1 楼    发表于2012-02-08 22:25:32举报|引用
返回顶部 | 快捷回复

图像看不清晰,似乎只是淋巴细胞没涂开。

建议:细胞块切片检查,或加做免疫组化;随访或复查。

0
回复
signature
“人生没有彩排,每一天都是现场直播”

yourself 离线

帖子:663
粉蓝豆:7137
经验:691
注册时间:2007-06-30
加关注  |  发消息
2 楼    发表于2012-02-08 22:47:18举报|引用
返回顶部 | 快捷回复
引用 1 楼 197 在 2012-02-08 22:25:32 的发言:

图像看不清晰,似乎只是淋巴细胞没涂开。

建议:细胞块切片检查,或加做免疫组化;随访或复查。

还有间皮细胞,临床病人基本情况?肿瘤标志物检测结果如何?

0
回复

gwls0008 离线

帖子:1365
粉蓝豆:5
经验:1465
注册时间:2008-08-24
加关注  |  发消息
3 楼    发表于2012-02-09 19:05:51举报|引用
返回顶部 | 快捷回复

小细胞癌可能。

0
回复

涢水清- 离线

帖子:2045
粉蓝豆:9
经验:2208
注册时间:2010-04-19
加关注  |  发消息
4 楼    发表于2012-02-09 20:35:06举报|引用
返回顶部 | 快捷回复

不像是小细胞癌,制片的问题

0
回复

zhywei007 离线

帖子:7
粉蓝豆:21
经验:7
注册时间:2010-02-13
加关注  |  发消息
5 楼    发表于2012-02-09 20:46:52举报|引用
返回顶部 | 快捷回复

 不像癌啊

0
回复

防港一员 离线

帖子:410
粉蓝豆:30
经验:1041
注册时间:2010-08-13
加关注  |  发消息
6 楼    发表于2012-02-09 22:25:46举报|引用
返回顶部 | 快捷回复

 间皮细胞  没见癌细胞

0
回复
signature
有志者事竟成
回复:6 阅读:1912
共1页/6条首页上一页1下一页尾页
【免责声明】讨论内容仅作学术交流之用,不作为诊疗依据,由此而引起的法律问题作者及本站不承担任何责任。
快速回复
进入高级回复
您最多可输入10000个汉字,按 "Ctrl" + "Enter" 直接发送
搜索回复/乘电梯 ×
按内容
按会员
乘电梯
合作伙伴
友情链接