共1页/20条首页上一页1下一页尾页
回复:20 阅读:3184
子宫内膜

hanlixia 离线

帖子:91
粉蓝豆:240
经验:847
注册时间:2011-12-09
加关注  |  发消息
楼主 发表于 2012-02-08 19:41|举报|关注(0)
浏览排序[ 顺序 逆序 楼主 支持 精彩 ]  快捷回复

 

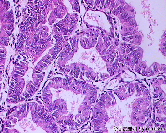
  • 子宫内膜图1
    图1
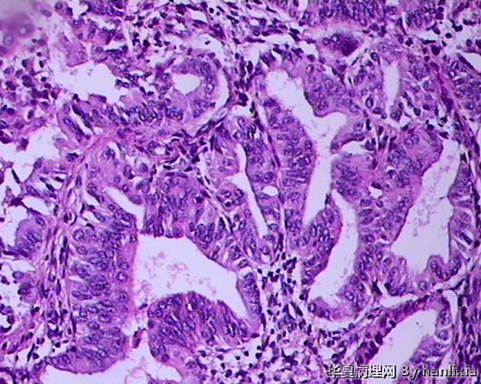
  • 子宫内膜图2
    图2
  • 子宫内膜图3
    图3
  • 子宫内膜图4
    图4
  • 子宫内膜图5
    图5
  • 子宫内膜图6
    图6
  • 子宫内膜图7
    图7
  • 子宫内膜图8
    图8
  • 子宫内膜图9
    图9
  • 子宫内膜图10
    图10
  • 子宫内膜图11
    图11
  • 子宫内膜图12
    图12
 
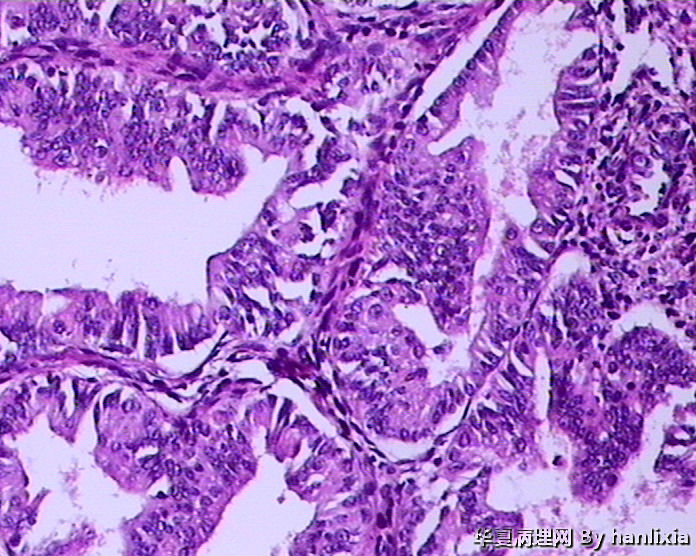
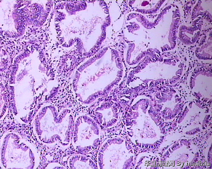
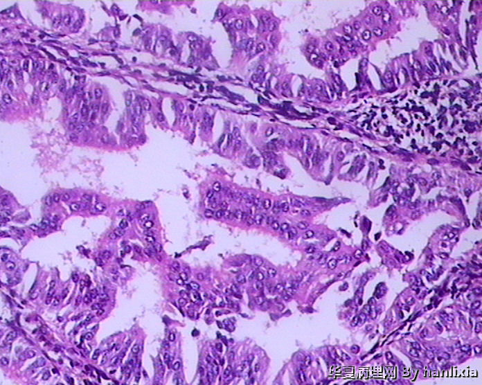
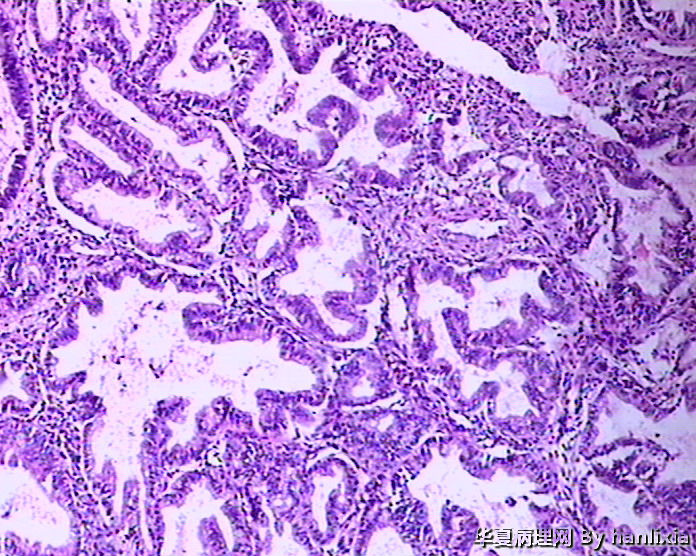
标签:45岁女性 闭经1年 阴道出血10余天 行诊刮术。
0
添加参考诊断
×参考诊断
  

薄冰之路 离线

帖子:17
粉蓝豆:1
经验:110
注册时间:2009-03-29
加关注  |  发消息
1 楼    发表于2012-02-08 19:44:01举报|引用
返回顶部 | 快捷回复

复杂性增生。

0
回复

cklas 离线

帖子:880
粉蓝豆:0
经验:1016
注册时间:2011-05-19
加关注  |  发消息
2 楼    发表于2012-02-08 19:52:19举报|引用
返回顶部 | 快捷回复

复杂性增生伴中-重度不典型增生

0
回复
signature
从事病理需要付出更多!并非人人都适合本专业!

夏日 离线

帖子:1057
粉蓝豆:45
经验:1529
注册时间:2011-04-05
加关注  |  发消息
3 楼    发表于2012-02-08 20:02:30举报|引用
返回顶部 | 快捷回复

子宫内膜复杂性增生伴不典型增生

0
回复

jiangxiaoyu 离线

帖子:978
粉蓝豆:15
经验:1226
注册时间:2007-10-31
加关注  |  发消息
4 楼    发表于2012-02-08 20:15:15举报|引用
返回顶部 | 快捷回复

复杂性增生伴中-重度不典型增生

0
回复

zhangyuying 离线

帖子:207
粉蓝豆:18
经验:418
注册时间:2011-07-03
加关注  |  发消息
5 楼    发表于2012-02-08 20:23:15举报|引用
返回顶部 | 快捷回复

请提供患者年龄及病史,仅提供的图片应该是复杂性增生伴不典型增生

0
回复
signature
再长的路,一步一步总能走完;再短的路,不迈开双脚就永远不会到达终点。

zhenshijian 离线

帖子:1069
粉蓝豆:91
经验:1364
注册时间:2008-04-20
加关注  |  发消息
6 楼    发表于2012-02-08 20:25:38举报|引用
返回顶部 | 快捷回复
引用 3 楼 夏日 在 2012-02-08 20:02:30 的发言:

子宫内膜复杂性增生伴不典型增生


2

swallowa..

csx学习
回复

zcm729868 离线

帖子:200
粉蓝豆:95
经验:210
注册时间:2011-11-27
加关注  |  发消息
7 楼    发表于2012-02-08 20:46:04举报|引用
返回顶部 | 快捷回复

子宫内膜复杂性增生伴重度不典型增生

0
回复

xyyyzgy 离线

帖子:137
粉蓝豆:169
经验:603
注册时间:2012-01-18
加关注  |  发消息
8 楼    发表于2012-02-08 20:51:20举报|引用
返回顶部 | 快捷回复

复杂性增生伴不典型增生

0
回复

乌之语 离线

帖子:268
粉蓝豆:473
经验:290
注册时间:2011-08-04
加关注  |  发消息
9 楼    发表于2012-02-08 21:10:00举报|引用
返回顶部 | 快捷回复

复杂性增生伴不典型。

0
回复

怒发冲冠 离线

帖子:1152
粉蓝豆:601
经验:2894
注册时间:2008-05-23
加关注  |  发消息
10 楼    发表于2012-02-08 21:14:51举报|引用
返回顶部 | 快捷回复

复杂性增生伴不典型增生

0
回复

宁静致远 离线

帖子:4242
粉蓝豆:2853
经验:6556
注册时间:2007-03-27
加关注  |  发消息
11 楼    发表于2012-02-08 21:28:19举报|引用
返回顶部 | 快捷回复

复杂性增生伴不典型增生 局部癌变

1

水中捞月
回复

绿色心情 离线

帖子:418
粉蓝豆:6
经验:524
注册时间:2010-01-09
加关注  |  发消息
12 楼    发表于2012-02-08 21:44:19举报|引用
返回顶部 | 快捷回复

复杂性增生伴中-重度不典型增生

0
回复

meng4236 离线

帖子:3
粉蓝豆:1
经验:3
注册时间:2012-02-08
加关注  |  发消息
13 楼    发表于2012-02-08 21:56:51举报|引用
返回顶部 | 快捷回复

子宫内膜单纯性增生,灶性复杂性增生

0
回复

城北 离线

帖子:2459
粉蓝豆:232
经验:18853
注册时间:2006-09-12
加关注  |  发消息
14 楼    发表于2012-02-08 22:30:12举报|引用
返回顶部 | 快捷回复

支持复杂性增生伴不典型增生,细胞核淡染、核变圆,并见明显的核仁,有细胞学的不典型性

楼主应给出病史,以排除例外情况

0
回复
signature

知之者不如好之者,好之者不如乐之者。(语出幽梦影)

二土匪 离线

帖子:771
粉蓝豆:23
经验:1213
注册时间:2011-10-11
加关注  |  发消息
15 楼    发表于2012-02-08 22:30:17举报|引用
返回顶部 | 快捷回复

复杂性增生伴重度不典型增生

0
回复
signature
红尘中有独处的心,独处时有红尘的怀抱。

yourself 离线

帖子:663
粉蓝豆:7137
经验:691
注册时间:2007-06-30
加关注  |  发消息
16 楼    发表于2012-02-08 22:45:15举报|引用
返回顶部 | 快捷回复
引用 14 楼 城北 在 2012-02-08 22:30:12 的发言:

支持复杂性增生伴不典型增生,细胞核淡染、核变圆,并见明显的核仁,有细胞学的不典型性

楼主应给出病史,以排除例外情况

包括基本资料,如年龄等

0
回复

hanlixia 离线

帖子:91
粉蓝豆:240
经验:847
注册时间:2011-12-09
加关注  |  发消息
17 楼    发表于2012-02-09 01:43:31举报|引用
返回顶部 | 快捷回复

患者45岁,闭经1年,阴道出血10余天,行诊刮术,未服用止血类药物。

0
回复

广秀 离线

帖子:2711
粉蓝豆:1246
经验:3502
注册时间:2009-09-15
加关注  |  发消息
18 楼    发表于2012-02-09 06:21:38举报|引用
返回顶部 | 快捷回复

复杂性伴非典型增生

腺体密集,背靠背及共壁现象,腺体有成角,腺上皮增生呈多层,有内折,腺体与间质比例大于1:1.

0
回复
signature
人淡如菊,心素如简。

duhua 离线

帖子:1206
粉蓝豆:152
经验:1738
注册时间:2008-08-19
加关注  |  发消息
19 楼    发表于2012-02-09 09:48:39举报|引用
返回顶部 | 快捷回复

子宫内膜复杂性增生伴中-重度不典型增生,图1-2可疑癌变

0
回复

泉水叮咚响 离线

帖子:2163
粉蓝豆:113
经验:11663
注册时间:2010-12-30
加关注  |  发消息
20 楼    发表于2012-02-09 09:50:54举报|引用
返回顶部 | 快捷回复

 复杂性伴非典型增生

0
回复
signature
刀不磨会生锈,人不学习会落后。
回复:20 阅读:3184
共1页/20条首页上一页1下一页尾页
【免责声明】讨论内容仅作学术交流之用,不作为诊疗依据,由此而引起的法律问题作者及本站不承担任何责任。
快速回复
进入高级回复
您最多可输入10000个汉字,按 "Ctrl" + "Enter" 直接发送
搜索回复/乘电梯 ×
按内容
按会员
乘电梯
合作伙伴
友情链接