共1页/10条首页上一页1下一页尾页
回复:10 阅读:2569
前列腺

小鬼难缠 离线

帖子:393
粉蓝豆:510
经验:2502
注册时间:2009-01-24
加关注  |  发消息
楼主 发表于 2012-02-08 14:37|举报|关注(0)
浏览排序[ 顺序 逆序 楼主 支持 精彩 ]  快捷回复

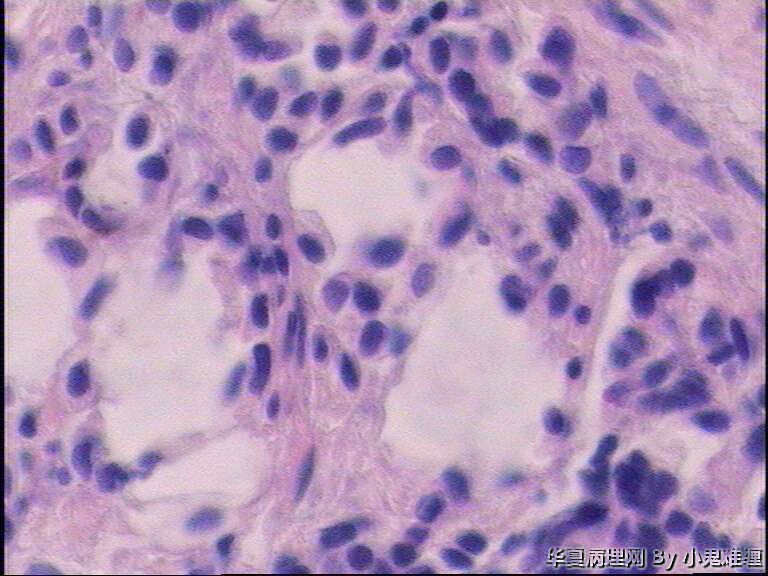
 男79岁,排尿困难2年

  • 前列腺图1
    图1
  • 前列腺图2
    图2
  • 前列腺图3
    图3
  • 前列腺图4
    图4
  • 前列腺图5
    图5
  • 前列腺图6
    图6
  • 前列腺图7
    图7
  • 前列腺图8
    图8
  • 前列腺图9
    图9
  • 前列腺图10
    图10
  • 前列腺图11
    图11
  • 前列腺图12
    图12
  • 前列腺图13
    图13
  • 前列腺图14
    图14
  • 前列腺图15
    图15
 
标签:
0
添加参考诊断
×参考诊断
  

红胜火 离线

帖子:279
粉蓝豆:391
经验:432
注册时间:2010-07-12
加关注  |  发消息
10 楼    发表于2012-06-16 22:17:09举报|引用
返回顶部 | 快捷回复
本帖最后由 红胜火 于 2012-06-16 22:17:48 编辑

看来大家多是认为是癌,请楼主补充免疫组化图片。有始有终,共同进步!

0
回复

祝平 离线

帖子:2130
粉蓝豆:19
经验:3720
注册时间:2012-03-10
加关注  |  发消息
9 楼    发表于2012-06-12 10:49:02举报|引用
返回顶部 | 快捷回复

考虑前列腺腺癌。

0
回复
signature
病理小笨。我爱病理。

指环王 离线

帖子:570
粉蓝豆:15
经验:577
注册时间:2007-06-10
加关注  |  发消息
8 楼    发表于2012-02-19 15:40:19举报|引用
返回顶部 | 快捷回复

前列腺腺癌,IHC辅以确诊

0
回复

lantian0508 离线

帖子:1250
粉蓝豆:42
经验:1495
注册时间:2007-08-01
加关注  |  发消息
7 楼    发表于2012-02-13 10:55:13举报|引用
返回顶部 | 快捷回复

前列腺腺癌

请做P63,P504S,34βE12

0
回复

绿色心情 离线

帖子:418
粉蓝豆:6
经验:524
注册时间:2010-01-09
加关注  |  发消息
6 楼    发表于2012-02-12 17:07:06举报|引用
返回顶部 | 快捷回复

考虑前列腺腺癌

0
回复

寂静山林 离线

帖子:179
粉蓝豆:35
经验:331
注册时间:2011-03-03
加关注  |  发消息
5 楼    发表于2012-02-12 11:49:09举报|引用
返回顶部 | 快捷回复

 您了解一下病史,患者在做病理之前应该做过内分泌治疗,我们现在所见应该是前列腺癌治疗后改变。

0
回复
signature
淡淡地再一次聆听过去,如亲临阿尔卑斯山的原始天籁!

cklas 离线

帖子:880
粉蓝豆:0
经验:1016
注册时间:2011-05-19
加关注  |  发消息
4 楼    发表于2012-02-12 10:37:59举报|引用
返回顶部 | 快捷回复

前列腺小腺泡腺癌

0
回复
signature
从事病理需要付出更多!并非人人都适合本专业!

wyjy2870 离线

帖子:229
粉蓝豆:3385
经验:438
注册时间:2009-04-19
加关注  |  发消息
3 楼    发表于2012-02-11 22:35:25举报|引用
返回顶部 | 快捷回复

前列腺腺癌

0
回复

hu8afu 离线

帖子:1177
粉蓝豆:35
经验:1230
注册时间:2009-02-11
加关注  |  发消息
2 楼    发表于2012-02-11 21:19:17举报|引用
返回顶部 | 快捷回复

前列腺腺癌

0
回复

广秀 离线

帖子:2711
粉蓝豆:1246
经验:3502
注册时间:2009-09-15
加关注  |  发消息
1 楼    发表于2012-02-08 15:18:48举报|引用
返回顶部 | 快捷回复

考虑前列腺腺癌

镜下前列腺腺体形态不规则,多数腺体双层结构不明显,排列紊乱,未见明显的小叶杨结构,纤维组织似有反应,并可见印戒样细胞。

标记:CK,P63,SMA,P504S,PSA,Ki67.

3

学浅

夏日

病理020
回复
signature
人淡如菊,心素如简。
回复:10 阅读:2569
共1页/10条首页上一页1下一页尾页
【免责声明】讨论内容仅作学术交流之用,不作为诊疗依据,由此而引起的法律问题作者及本站不承担任何责任。
快速回复
进入高级回复
您最多可输入10000个汉字,按 "Ctrl" + "Enter" 直接发送
搜索回复/乘电梯 ×
按内容
按会员
乘电梯
合作伙伴
友情链接