共1页/8条首页上一页1下一页尾页
回复:8 阅读:1803
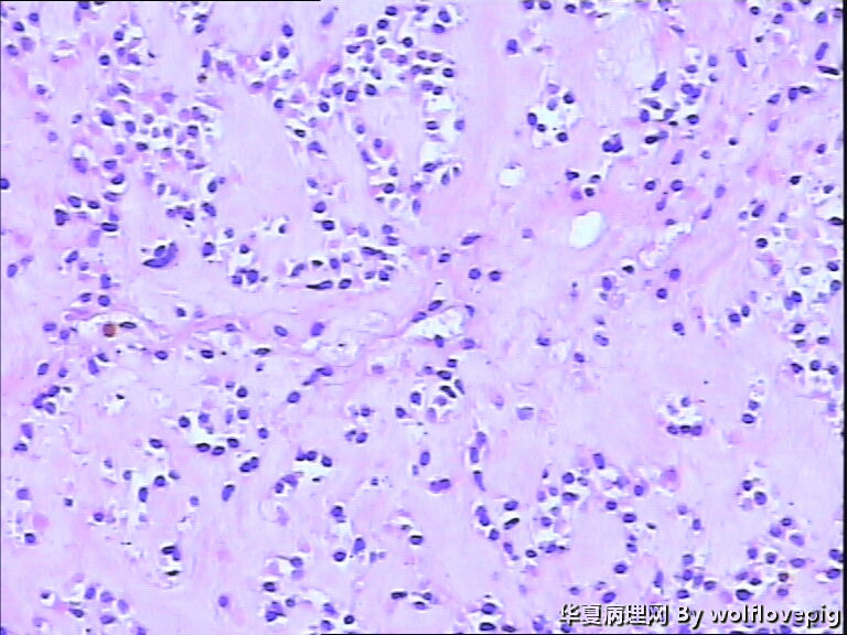
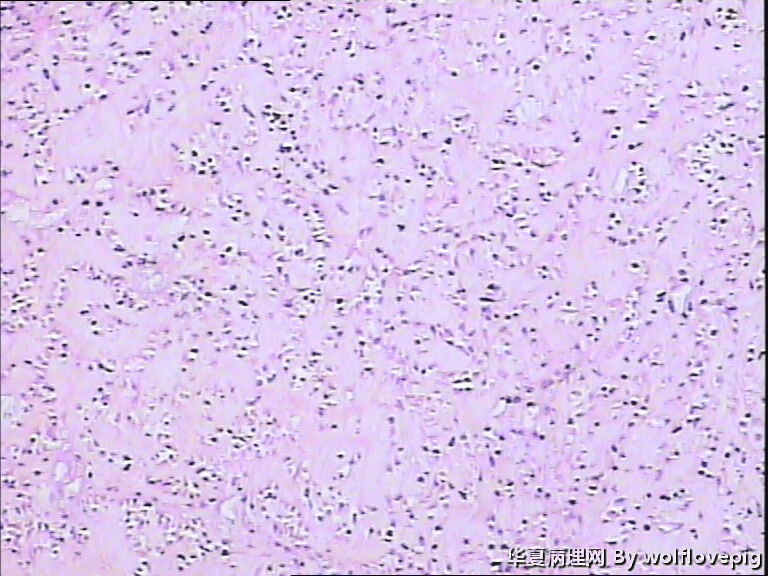
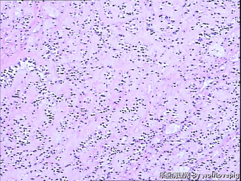
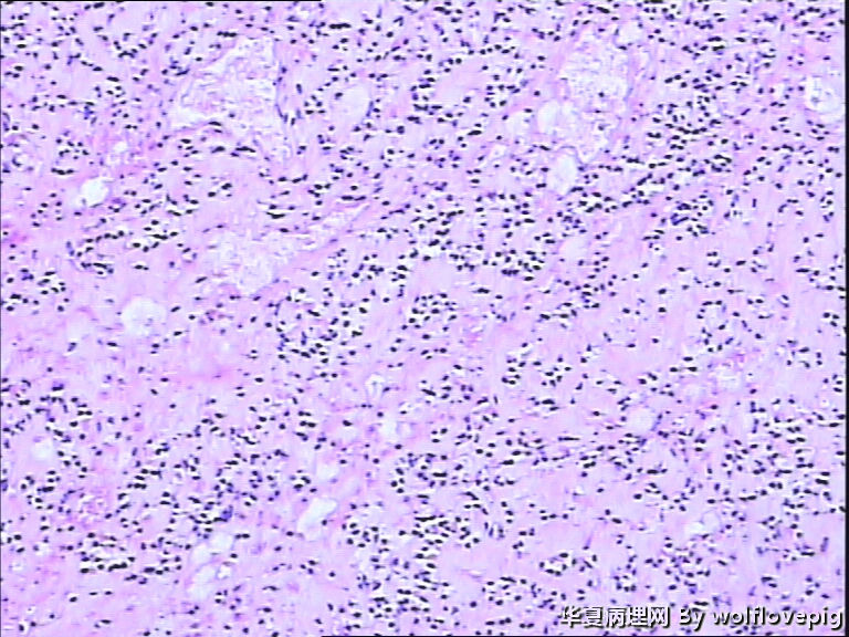
求助!肌瘤变性?

wolflovepig 离线

帖子:675
粉蓝豆:55
经验:9062
注册时间:2007-08-25
加关注  |  发消息
楼主 发表于 2012-02-07 16:39|举报|关注(0)
浏览排序[ 顺序 逆序 楼主 支持 精彩 ]  快捷回复
  • 求助!肌瘤变性?图1
    图1
  • 求助!肌瘤变性?图2
    图2
  • 求助!肌瘤变性?图3
    图3
  • 求助!肌瘤变性?图4
    图4
  • 求助!肌瘤变性?图5
    图5
  • 求助!肌瘤变性?图6
    图6
  • 求助!肌瘤变性?图7
    图7
  • 求助!肌瘤变性?图8
    图8
  • 求助!肌瘤变性?图9
    图9

 

标签:
0
添加参考诊断
×参考诊断
  

阿娇 离线

帖子:2054
粉蓝豆:3295
经验:2384
注册时间:2008-05-31
加关注  |  发消息
1 楼    发表于2012-02-07 16:42:45举报|引用
返回顶部 | 快捷回复

平滑肌瘤伴间质玻璃样变性,像是冰冻的片子吧?》

1

zcm72986..
回复

wolflovepig 离线

帖子:675
粉蓝豆:55
经验:9062
注册时间:2007-08-25
加关注  |  发消息
2 楼    发表于2012-02-07 16:46:54举报|引用
返回顶部 | 快捷回复

 常规石蜡切片

0
回复

zhouquan 离线

帖子:7752
粉蓝豆:302
经验:8263
注册时间:2008-11-09
加关注  |  发消息
3 楼    发表于2012-02-07 17:28:34举报|引用
返回顶部 | 快捷回复

上皮样平滑肌瘤,鉴别PECOMA

2

紫色魔方

亡羊补牢
回复
signature
成功不是得到多少东西,而是把身上多余的东西的扔掉多少。   

zcm729868 离线

帖子:200
粉蓝豆:95
经验:210
注册时间:2011-11-27
加关注  |  发消息
4 楼    发表于2012-02-07 19:49:30举报|引用
返回顶部 | 快捷回复

像平滑肌瘤玻璃变性

0
回复

怒发冲冠 离线

帖子:1152
粉蓝豆:601
经验:2894
注册时间:2008-05-23
加关注  |  发消息
5 楼    发表于2012-02-07 20:00:24举报|引用
返回顶部 | 快捷回复

平滑肌瘤

0
回复

hyl76 离线

帖子:781
粉蓝豆:656
经验:3771
注册时间:2007-06-05
加关注  |  发消息
6 楼    发表于2012-02-08 09:53:44举报|引用
返回顶部 | 快捷回复

平滑肌瘤

0
回复
signature
学无止境,不进则退!

亡羊补牢 离线

帖子:1304
粉蓝豆:2
经验:2118
注册时间:2010-09-29
加关注  |  发消息
7 楼    发表于2012-02-08 12:55:43举报|引用
返回顶部 | 快捷回复

上皮样平滑肌瘤

0
回复
signature

一花一世界,一木一浮生

广秀 离线

帖子:2711
粉蓝豆:1246
经验:3502
注册时间:2009-09-15
加关注  |  发消息
8 楼    发表于2012-02-08 15:51:21举报|引用
返回顶部 | 快捷回复

符合平滑肌瘤伴梗死,多取材寻找有无质软,肉质样变区,破碎的组织最麻烦,要慎重。

0
回复
signature
人淡如菊,心素如简。
回复:8 阅读:1803
共1页/8条首页上一页1下一页尾页
【免责声明】讨论内容仅作学术交流之用,不作为诊疗依据,由此而引起的法律问题作者及本站不承担任何责任。
快速回复
进入高级回复
您最多可输入10000个汉字,按 "Ctrl" + "Enter" 直接发送
搜索回复/乘电梯 ×
按内容
按会员
乘电梯
合作伙伴
友情链接