共1页/12条首页上一页1下一页尾页
回复:12 阅读:3194
宫颈病变

小鬼难缠 离线

帖子:393
粉蓝豆:510
经验:2502
注册时间:2009-01-24
加关注  |  发消息
楼主 发表于 2012-02-07 13:19|举报|关注(0)
浏览排序[ 顺序 逆序 楼主 支持 精彩 ]  快捷回复

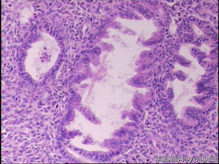
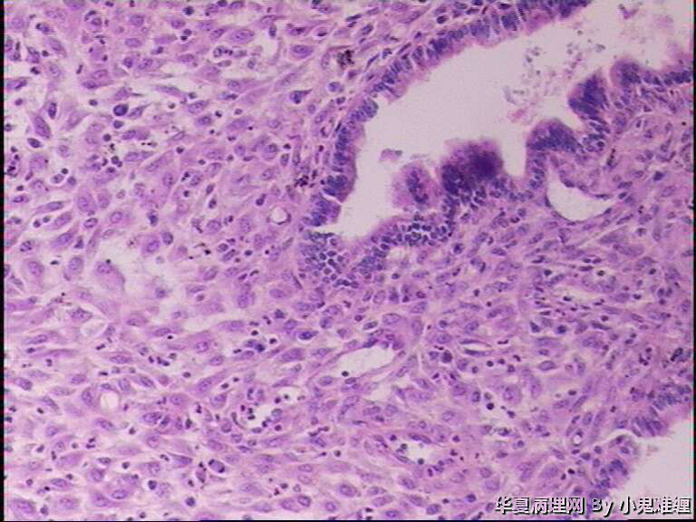
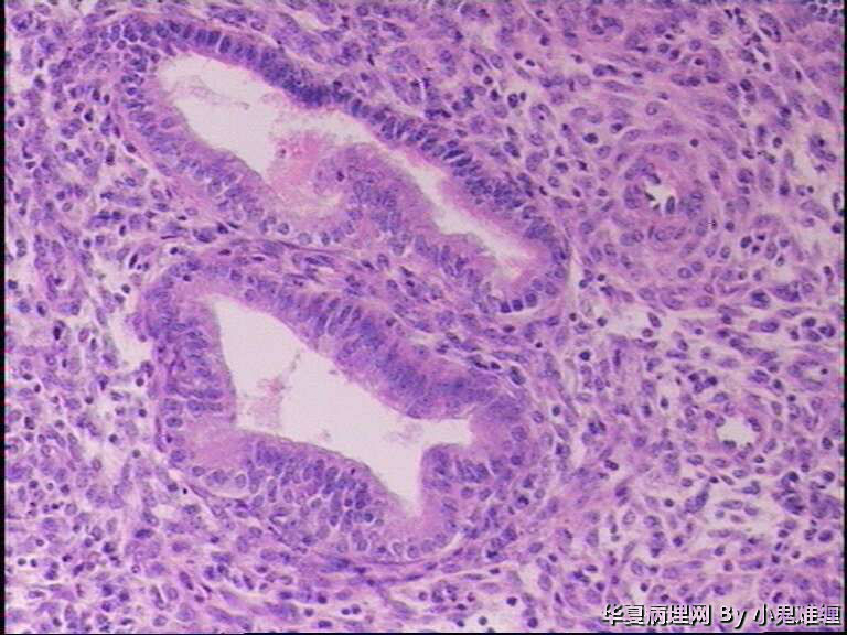
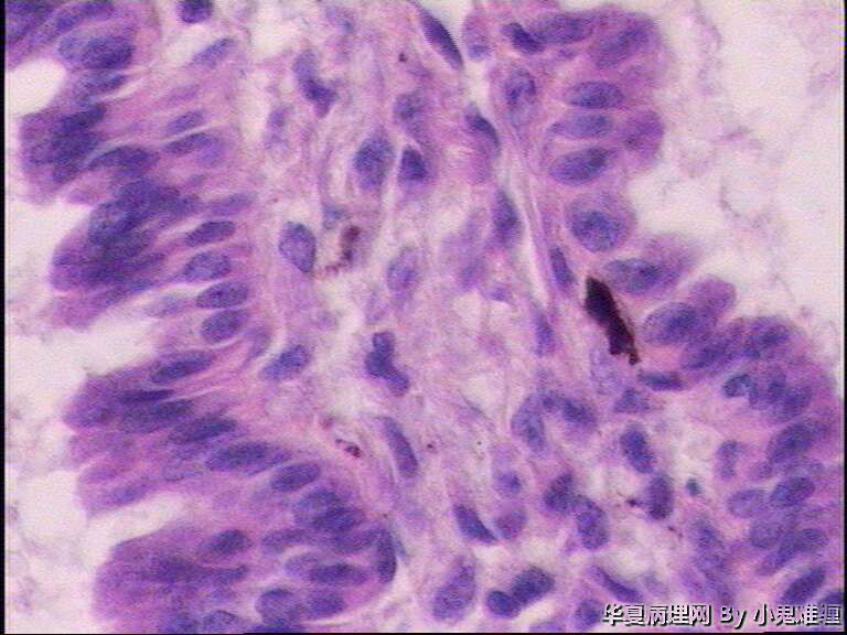
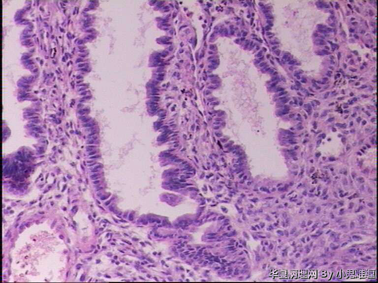
 女42岁,宫颈息肉切除术后3月复发

  • 宫颈病变图1
    图1
  • 宫颈病变图2
    图2
  • 宫颈病变图3
    图3
  • 宫颈病变图4
    图4
  • 宫颈病变图5
    图5
  • 宫颈病变图6
    图6
  • 宫颈病变图7
    图7
  • 宫颈病变图8
    图8
  • 宫颈病变图9
    图9
  • 宫颈病变图10
    图10
 
标签:
0
添加参考诊断
×参考诊断
  

马卡龙 离线

帖子:393
粉蓝豆:510
经验:2502
注册时间:2009-01-24
加关注  |  发消息
1 楼    发表于2012-02-07 13:40:58举报|引用
返回顶部 | 快捷回复

会不会是个内膜息肉呀?

0
回复

多多fund 离线

帖子:233
粉蓝豆:30
经验:608
注册时间:2009-03-31
加关注  |  发消息
2 楼    发表于2012-02-07 14:17:03举报|引用
返回顶部 | 快捷回复

是很像内膜息肉。

0
回复

flj20092049 离线

帖子:212
粉蓝豆:9
经验:470
注册时间:2011-11-23
加关注  |  发消息
3 楼    发表于2012-02-07 14:24:58举报|引用
返回顶部 | 快捷回复

像内膜息肉,有厚壁血管,腺体有分泌反应,间质似有蜕膜样变,请结合病史并仔细阅片!

1

伯牙绝弦
回复
signature

贺兰山 离线

帖子:71
粉蓝豆:96
经验:289
注册时间:2007-12-01
加关注  |  发消息
4 楼    发表于2012-02-07 14:34:49举报|引用
返回顶部 | 快捷回复

是否有停经史?HCG结果如何?部分腺体似有A-S反应,不排除宫内妊娠或异位妊娠。至少可以报(宫颈)蜕膜息肉。学习了。

0
回复

阿娇 离线

帖子:2054
粉蓝豆:3318
经验:2384
注册时间:2008-05-31
加关注  |  发消息
5 楼    发表于2012-02-07 14:35:21举报|引用
返回顶部 | 快捷回复

形态上看应该不像恶性的,考虑子宫内膜息肉。

0
回复

sxm911 离线

帖子:56
粉蓝豆:21
经验:93
注册时间:2011-06-17
加关注  |  发消息
6 楼    发表于2012-02-07 21:26:24举报|引用
返回顶部 | 快捷回复

我觉得也是 子宫内膜型息肉  学习中

0
回复
signature
努力学习,好好工作

zcm729868 离线

帖子:200
粉蓝豆:95
经验:210
注册时间:2011-11-27
加关注  |  发消息
7 楼    发表于2012-02-07 22:10:04举报|引用
返回顶部 | 快捷回复

像子宫内膜息肉,会不会是颈管高位息肉啊

0
回复

lvyinhua 离线

帖子:832
粉蓝豆:35
经验:1180
注册时间:2012-01-09
加关注  |  发消息
8 楼    发表于2012-02-08 08:56:50举报|引用
返回顶部 | 快捷回复

子宫内膜息肉

0
回复

lishiyi2010 离线

帖子:280
粉蓝豆:0
经验:366
注册时间:2010-08-01
加关注  |  发消息
9 楼    发表于2012-02-08 19:08:54举报|引用
返回顶部 | 快捷回复

子宫内膜息肉

0
回复
signature
笑对人生

jiangxiaoyu 离线

帖子:978
粉蓝豆:15
经验:1226
注册时间:2007-10-31
加关注  |  发消息
10 楼    发表于2012-02-08 21:33:59举报|引用
返回顶部 | 快捷回复

子宫内膜息肉

0
回复

绿色心情 离线

帖子:418
粉蓝豆:6
经验:524
注册时间:2010-01-09
加关注  |  发消息
11 楼    发表于2012-02-08 21:41:19举报|引用
返回顶部 | 快捷回复

被覆上皮是什么样的?考虑颈管高位息肉

0
回复

城北 离线

帖子:2459
粉蓝豆:232
经验:18853
注册时间:2006-09-12
加关注  |  发消息
12 楼    发表于2012-02-08 22:40:20举报|引用
返回顶部 | 快捷回复

首先息肉是没问题,里面的腺体类似子宫内膜样腺体,而且还有一些分泌,间质呈前蜕膜改变,但是宫颈息肉也可以有这样的表现,宫颈粘液腺体有时也类似子宫内膜样腺体,特别是在发生化生性改变时。

我考虑是宫颈内膜息肉,如11楼所言,被覆上皮的类型可作为参考。

0
回复
signature

知之者不如好之者,好之者不如乐之者。(语出幽梦影)

回复:12 阅读:3194
共1页/12条首页上一页1下一页尾页
【免责声明】讨论内容仅作学术交流之用,不作为诊疗依据,由此而引起的法律问题作者及本站不承担任何责任。
快速回复
进入高级回复
您最多可输入10000个汉字,按 "Ctrl" + "Enter" 直接发送
搜索回复/乘电梯 ×
按内容
按会员
乘电梯
合作伙伴
友情链接