共1页/10条首页上一页1下一页尾页
回复:10 阅读:2187
请教!附睾。

wolflovepig 离线

帖子:675
粉蓝豆:55
经验:9062
注册时间:2007-08-25
加关注  |  发消息
楼主 发表于 2012-02-07 08:50|举报|关注(0)
浏览排序[ 顺序 逆序 楼主 支持 精彩 ]  快捷回复

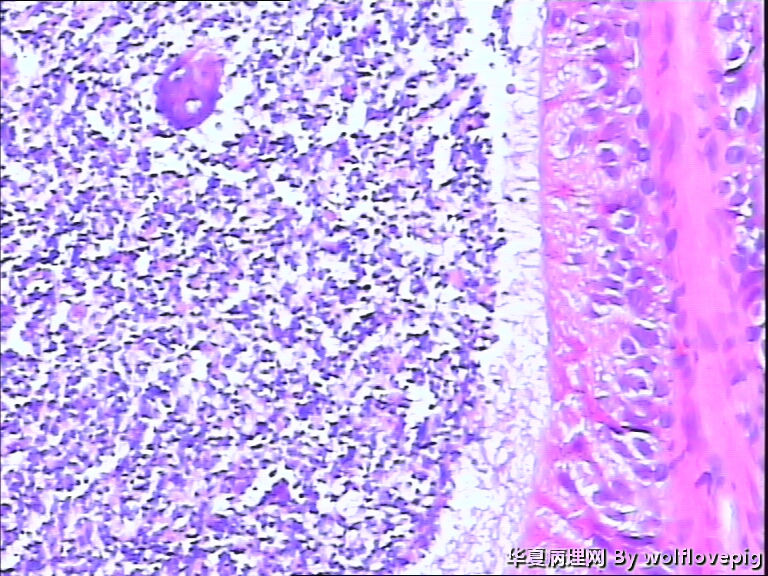
 62y,双侧附睾。

  • 请教!附睾。图1
    图1
  • 请教!附睾。图2
    图2
  • 请教!附睾。图3
    图3
  • 请教!附睾。图4
    图4
  • 请教!附睾。图5
    图5
  • 请教!附睾。图6
    图6
  • 请教!附睾。图7
    图7
  • 请教!附睾。图8
    图8
  • 请教!附睾。图9
    图9
  • 请教!附睾。图10
    图10


标签:请教!附睾。
0
添加参考诊断
×参考诊断
  

泉水叮咚响 离线

帖子:2163
粉蓝豆:113
经验:11663
注册时间:2010-12-30
加关注  |  发消息
1 楼    发表于2012-02-07 09:27:03举报|引用
返回顶部 | 快捷回复

 镜子肉芽肿?临床为什么切?

0
回复
signature
刀不磨会生锈,人不学习会落后。

wolflovepig 离线

帖子:675
粉蓝豆:55
经验:9062
注册时间:2007-08-25
加关注  |  发消息
2 楼    发表于2012-02-07 09:34:59举报|引用
返回顶部 | 快捷回复

 临床怀疑结核,以附睾结节切的,取材时未发现明显结节。

0
回复

202PL 离线

帖子:850
粉蓝豆:127
经验:1050
注册时间:2010-06-19
加关注  |  发消息
3 楼    发表于2012-02-07 09:37:29举报|引用
返回顶部 | 快捷回复

精子肉芽肿

0
回复

学浅 离线

帖子:2053
粉蓝豆:79
经验:3125
注册时间:2008-06-01
加关注  |  发消息
4 楼    发表于2012-02-08 13:56:20举报|引用
返回顶部 | 快捷回复

精子淤积

2

微观世界..

lantian0..
回复

广秀 离线

帖子:2711
粉蓝豆:1246
经验:3502
注册时间:2009-09-15
加关注  |  发消息
5 楼    发表于2012-02-08 15:29:01举报|引用
返回顶部 | 快捷回复

送检附睾管囊性扩张,管腔结构较完整,多数管腔内见精子积聚,少数管腔内有出血。

0
回复
signature
人淡如菊,心素如简。

阿娇 离线

帖子:2054
粉蓝豆:3295
经验:2384
注册时间:2008-05-31
加关注  |  发消息
6 楼    发表于2012-02-08 16:40:10举报|引用
返回顶部 | 快捷回复

符合精子肉芽肿。

0
回复

yilian206 离线

帖子:204
粉蓝豆:1119
经验:558
注册时间:2010-07-30
加关注  |  发消息
7 楼    发表于2012-02-08 17:24:00举报|引用
返回顶部 | 快捷回复

取材切片附睾管扩张,精子淤积,部分区域出血

未见肉芽肿结构,也未见其它异常。

0
回复

寂静山林 离线

帖子:179
粉蓝豆:35
经验:331
注册时间:2011-03-03
加关注  |  发消息
8 楼    发表于2012-02-12 11:50:23举报|引用
返回顶部 | 快捷回复

 患者是受过创伤吗?

0
回复
signature
淡淡地再一次聆听过去,如亲临阿尔卑斯山的原始天籁!

绿色心情 离线

帖子:418
粉蓝豆:6
经验:524
注册时间:2010-01-09
加关注  |  发消息
9 楼    发表于2012-02-12 17:05:11举报|引用
返回顶部 | 快捷回复

有出血,腔内大量精子,未见特异病变

1

水中鱼儿
回复

cklas 离线

帖子:880
粉蓝豆:0
经验:1016
注册时间:2011-05-19
加关注  |  发消息
10 楼    发表于2012-02-12 18:50:05举报|引用
返回顶部 | 快捷回复

精子囊肿

0
回复
signature
从事病理需要付出更多!并非人人都适合本专业!
回复:10 阅读:2187
共1页/10条首页上一页1下一页尾页
【免责声明】讨论内容仅作学术交流之用,不作为诊疗依据,由此而引起的法律问题作者及本站不承担任何责任。
快速回复
进入高级回复
您最多可输入10000个汉字,按 "Ctrl" + "Enter" 直接发送
搜索回复/乘电梯 ×
按内容
按会员
乘电梯
合作伙伴
友情链接