共1页/11条首页上一页1下一页尾页
回复:11 阅读:2176
够ASC-H吗

zf8887142 离线

帖子:58
粉蓝豆:11
经验:134
注册时间:2011-09-30
加关注  |  发消息
楼主 发表于 2012-02-06 20:13|举报|关注(0)
浏览排序[ 顺序 逆序 楼主 支持 精彩 ]  快捷回复
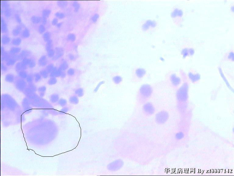
够ASC-H吗图1
名称:图1
描述:4
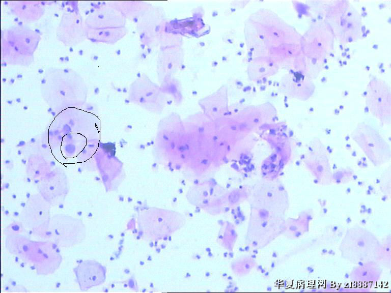
够ASC-H吗图2
名称:图2
描述:5
够ASC-H吗图3
名称:图3
描述:6
够ASC-H吗图4
名称:图4

描述:7 

标签:
0
添加参考诊断
×参考诊断
  

hys_603 离线

帖子:716
粉蓝豆:1
经验:988
注册时间:2008-06-18
加关注  |  发消息
1 楼    发表于2012-02-06 20:18:03举报|引用
返回顶部 | 快捷回复

ASC-H

0
回复

www810910 离线

帖子:5455
粉蓝豆:349
经验:7608
注册时间:2010-05-27
加关注  |  发消息
2 楼    发表于2012-02-06 20:44:48举报|引用
返回顶部 | 快捷回复

图片质量稍差,细胞核的结构看的不是很清楚,楼主可以多传上几张,不过细胞核挺大的,也得报ASC了!

1

伯牙绝弦
回复
signature
做人要知足,做事要知不足,做学问要不知足!

qiaoqiao 离线

帖子:4186
粉蓝豆:143
经验:6715
注册时间:2011-08-04
加关注  |  发消息
3 楼    发表于2012-02-07 12:31:53举报|引用
返回顶部 | 快捷回复

ASC-H

0
回复
signature
天生我才必我用

JB18751536976 离线

帖子:787
粉蓝豆:841
经验:1026
注册时间:2011-12-12
加关注  |  发消息
4 楼    发表于2012-02-07 17:15:22举报|引用
返回顶部 | 快捷回复

核浆比明显增高,核染色质粗糙,而且不止一个,够报了!

0
回复

zf8887142 离线

帖子:58
粉蓝豆:11
经验:134
注册时间:2011-09-30
加关注  |  发消息
5 楼    发表于2012-02-08 13:49:18举报|引用
返回顶部 | 快捷回复
活检出来CINIII
0
回复

zf8887142 离线

帖子:58
粉蓝豆:11
经验:134
注册时间:2011-09-30
加关注  |  发消息
6 楼    发表于2012-02-08 13:49:59举报|引用
返回顶部 | 快捷回复
晚上传活检

0
回复

伯牙绝弦 离线

帖子:1408
粉蓝豆:152
经验:2019
注册时间:2010-09-28
加关注  |  发消息
7 楼    发表于2012-02-08 20:07:34举报|引用
返回顶部 | 快捷回复
引用 6 楼 zf8887142 在 2012-02-08 13:49:59 的发言:
晚上传活检


期待

0
回复
signature
成功不是将来才有的,而是从决定去做的那一刻起,持续累积而成。

kangwang2010 离线

帖子:389
粉蓝豆:13
经验:590
注册时间:2010-03-04
加关注  |  发消息
8 楼    发表于2012-02-08 20:32:32举报|引用
返回顶部 | 快捷回复

期待

0
回复
signature
有时候,称赞别人也是一种美德!

zcm729868 离线

帖子:200
粉蓝豆:95
经验:210
注册时间:2011-11-27
加关注  |  发消息
9 楼    发表于2012-02-08 20:38:54举报|引用
返回顶部 | 快捷回复

够ASC-H

0
回复

乌之语 离线

帖子:268
粉蓝豆:473
经验:290
注册时间:2011-08-04
加关注  |  发消息
10 楼    发表于2012-02-08 21:25:53举报|引用
返回顶部 | 快捷回复

靠这种单个的细胞诊断,是不是有点不放心呀,如果片中这种细胞多些还可以。

0
回复

巴山夜雨涨秋池 离线

帖子:12152
粉蓝豆:77
经验:12941
注册时间:2009-01-25
加关注  |  发消息
11 楼    发表于2012-02-08 22:17:17举报|引用
返回顶部 | 快捷回复

要提高制片质量.

0
回复
signature

body>h1>span>...................This signature is very handsome.

回复:11 阅读:2176
共1页/11条首页上一页1下一页尾页
【免责声明】讨论内容仅作学术交流之用,不作为诊疗依据,由此而引起的法律问题作者及本站不承担任何责任。
快速回复
进入高级回复
您最多可输入10000个汉字,按 "Ctrl" + "Enter" 直接发送
搜索回复/乘电梯 ×
按内容
按会员
乘电梯
合作伙伴
友情链接