共1页/16条首页上一页1下一页尾页
回复:16 阅读:3740
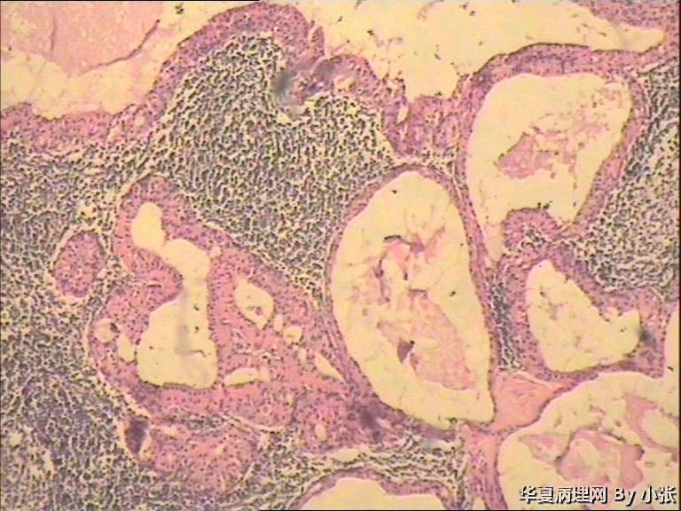
比较典型的一例涎腺肿瘤

小张 离线

帖子:23
粉蓝豆:7
经验:31
注册时间:2012-02-05
加关注  |  发消息
楼主 发表于 2012-02-05 21:46|举报|关注(0)
浏览排序[ 顺序 逆序 楼主 支持 精彩 ]  快捷回复

 

  • 比较典型的一例涎腺肿瘤图1
    图1
  • 比较典型的一例涎腺肿瘤图2
    图2
  • 比较典型的一例涎腺肿瘤图3
    图3
  • 比较典型的一例涎腺肿瘤图4
    图4
  • 比较典型的一例涎腺肿瘤图5
    图5
标签:
0
signature
觉得为时已晚的时候,恰恰是最早的时候。
×参考诊断
乳头状淋巴囊腺瘤

夏日 离线

帖子:1057
粉蓝豆:45
经验:1529
注册时间:2011-04-05
加关注  |  发消息
1 楼    发表于2012-02-05 22:01:59举报|引用
返回顶部 | 快捷回复

涎腺腺淋巴瘤

2

zhouzhen..

迷路
回复

白衣小童 离线

帖子:3
粉蓝豆:21
经验:19
注册时间:2011-05-25
加关注  |  发消息
2 楼    发表于2012-02-05 22:29:07举报|引用
返回顶部 | 快捷回复

是一个比较典型的涎腺腺淋巴瘤

0
回复

羽珩 离线

帖子:797
粉蓝豆:25
经验:1208
注册时间:2010-11-24
加关注  |  发消息
3 楼    发表于2012-02-05 22:34:03举报|引用
返回顶部 | 快捷回复

又来了个腺淋巴瘤的。

0
回复
signature

炎相羽珹

羽珩 离线

帖子:797
粉蓝豆:25
经验:1208
注册时间:2010-11-24
加关注  |  发消息
4 楼    发表于2012-02-05 23:10:53举报|引用
返回顶部 | 快捷回复

给出的参考答案确实有需要鉴别的必要,记得那肿瘤的上皮是大多单层的。

0
回复
signature

炎相羽珹

hys_603 离线

帖子:716
粉蓝豆:1
经验:988
注册时间:2008-06-18
加关注  |  发消息
5 楼    发表于2012-02-06 13:44:21举报|引用
返回顶部 | 快捷回复

腺淋巴瘤

0
回复

小张 离线

帖子:23
粉蓝豆:7
经验:31
注册时间:2012-02-05
加关注  |  发消息
6 楼    发表于2012-02-06 21:20:25举报|引用
返回顶部 | 快捷回复
本帖最后由 小张 于 2012-02-06 21:21:23 编辑

 呵呵,果然还是有人不受参考答案的诱导。

0
回复
signature
觉得为时已晚的时候,恰恰是最早的时候。

羽珩 离线

帖子:797
粉蓝豆:25
经验:1208
注册时间:2010-11-24
加关注  |  发消息
7 楼    发表于2012-02-07 20:16:10举报|引用
返回顶部 | 快捷回复

你要是有参考答案的片子,大家估计会考虑腺淋巴瘤先的。所以反过来考会好点~

0
回复
signature

炎相羽珹

duhua 离线

帖子:1206
粉蓝豆:152
经验:1738
注册时间:2008-08-19
加关注  |  发消息
8 楼    发表于2012-02-09 17:29:50举报|引用
返回顶部 | 快捷回复

腺淋巴瘤

0
回复

薄冰之旅 离线

帖子:1566
粉蓝豆:2098
经验:3456
注册时间:2006-11-05
加关注  |  发消息
9 楼    发表于2012-02-09 17:59:48举报|引用
返回顶部 | 快捷回复

腺淋巴瘤

0
回复

刀尖上的舞者 离线

帖子:1763
粉蓝豆:87
经验:3356
注册时间:2010-12-14
加关注  |  发消息
10 楼    发表于2012-02-09 18:02:18举报|引用
返回顶部 | 快捷回复

好病例典型好学

0
回复

lsm0075 离线

帖子:535
粉蓝豆:2591
经验:1947
注册时间:2011-10-16
加关注  |  发消息
11 楼    发表于2012-03-08 16:05:21举报|引用
返回顶部 | 快捷回复

Warthin瘤

0
回复
signature
远离外界的浮躁与喧嚣,享受镜下的平和与宁静

wyfafeng 离线

帖子:51
粉蓝豆:21
经验:88
注册时间:2011-01-26
加关注  |  发消息
12 楼    发表于2012-03-12 15:55:04举报|引用
返回顶部 | 快捷回复

Warthin瘤-淋巴乳头状囊腺瘤。

0
回复

lily-yang 离线

帖子:238
粉蓝豆:19
经验:1253
注册时间:2011-05-16
加关注  |  发消息
13 楼    发表于2012-03-13 10:43:53举报|引用
返回顶部 | 快捷回复

 很精彩的病例

0
回复

hyl76 离线

帖子:781
粉蓝豆:656
经验:3771
注册时间:2007-06-05
加关注  |  发消息
14 楼    发表于2012-03-13 14:59:18举报|引用
返回顶部 | 快捷回复

涎腺腺淋巴瘤

0
回复
signature
学无止境,不进则退!

华夏齐鲁 离线

帖子:147
粉蓝豆:20
经验:154
注册时间:2012-02-18
加关注  |  发消息
15 楼    发表于2012-03-13 15:08:45举报|引用
返回顶部 | 快捷回复

涎腺腺淋巴瘤

0
回复

开心辞典 离线

帖子:966
粉蓝豆:345
经验:5049
注册时间:2009-09-09
加关注  |  发消息
16 楼    发表于2012-03-13 15:09:12举报|引用
返回顶部 | 快捷回复

涎腺腺淋巴瘤

0
回复
回复:16 阅读:3740
共1页/16条首页上一页1下一页尾页
【免责声明】讨论内容仅作学术交流之用,不作为诊疗依据,由此而引起的法律问题作者及本站不承担任何责任。
快速回复
进入高级回复
您最多可输入10000个汉字,按 "Ctrl" + "Enter" 直接发送
搜索回复/乘电梯 ×
按内容
按会员
乘电梯
合作伙伴
友情链接