共1页/1条首页上一页1下一页尾页
回复:7 阅读:2511
小肠,淋巴瘤?

小张 离线

帖子:23
粉蓝豆:7
经验:31
注册时间:2012-02-05
加关注  |  发消息
楼主 发表于 2012-02-05 21:38|举报|关注(0)
浏览排序[ 顺序 逆序 楼主 支持 精彩 ]  快捷回复

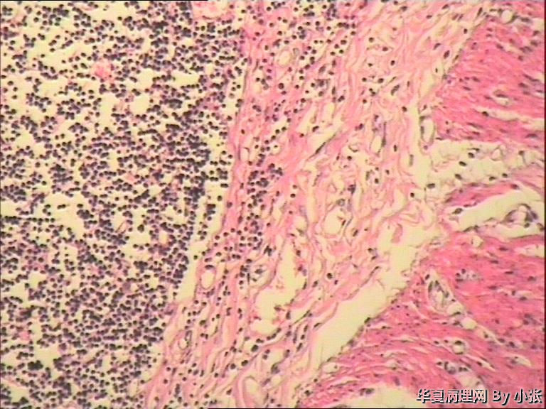
粘膜面布满大小不等的灰白色息肉样物,镜下粘膜面坏死,坏死下面是小淋巴细胞样细胞。系膜淋巴结的组织像好像也被破坏了。各位老师看看这个是什么东东?病人可能不出去会诊了,具体结果有待大家讨论。

  • 小肠,淋巴瘤?图1
    图1
  • 小肠,淋巴瘤?图2
    图2
  • 小肠,淋巴瘤?图3
    图3
  • 小肠,淋巴瘤?图4
    图4
  • 小肠,淋巴瘤?图5
    图5
  • 小肠,淋巴瘤?图6
    图6
  • 小肠,淋巴瘤?图7
    图7
  • 小肠,淋巴瘤?图8
    图8
  • 小肠,淋巴瘤?图9
    图9
  • 小肠,淋巴瘤?图10
    图10
  • 小肠,淋巴瘤?图11
    图11
  • 小肠,淋巴瘤?图12
    图12
  • 小肠,淋巴瘤?图13
    图13
  • 小肠,淋巴瘤?图14
    图14
  • 小肠,淋巴瘤?图15
    图15
  • 小肠,淋巴瘤?图16
    图16
  • 小肠,淋巴瘤?图17
    图17
  • 小肠,淋巴瘤?图18
    图18
  • 小肠,淋巴瘤?图19
    图19
  • 小肠,淋巴瘤?图20
    图20
标签:
0
signature
觉得为时已晚的时候,恰恰是最早的时候。
×参考诊断
小淋巴细胞性淋巴瘤?

小张 离线

帖子:23
粉蓝豆:7
经验:31
注册时间:2012-02-05
加关注  |  发消息
4 楼    发表于2012-02-06 21:14:25举报|引用
返回顶部 | 快捷回复

 谢谢各位老师,谢谢suntiger老师。会建议病人再进一步明确一下。

0
回复
signature
觉得为时已晚的时候,恰恰是最早的时候。
回复:7 阅读:2511
共1页/1条首页上一页1下一页尾页
【免责声明】讨论内容仅作学术交流之用,不作为诊疗依据,由此而引起的法律问题作者及本站不承担任何责任。
快速回复
进入高级回复
您最多可输入10000个汉字,按 "Ctrl" + "Enter" 直接发送
搜索回复/乘电梯 ×
按内容
按会员
乘电梯
合作伙伴
友情链接