共1页/6条首页上一页1下一页尾页
回复:6 阅读:2274
阴茎肿物

小鬼难缠 离线

帖子:393
粉蓝豆:510
经验:2502
注册时间:2009-01-24
加关注  |  发消息
楼主 发表于 2012-02-03 13:50|举报|关注(0)
浏览排序[ 顺序 逆序 楼主 支持 精彩 ]  快捷回复

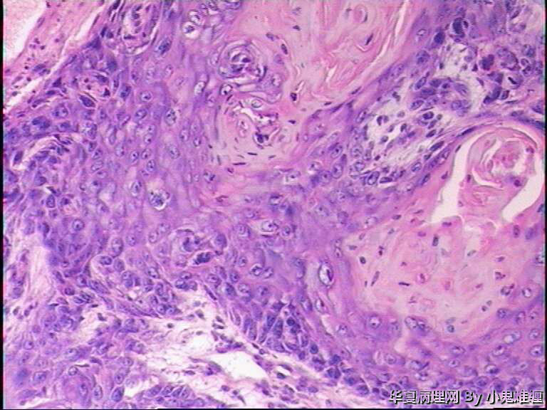
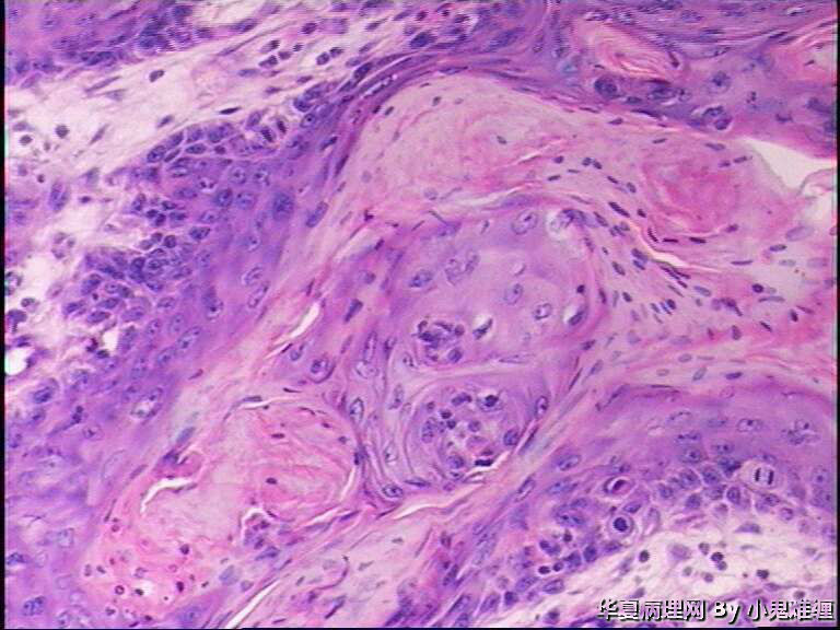
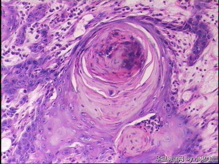
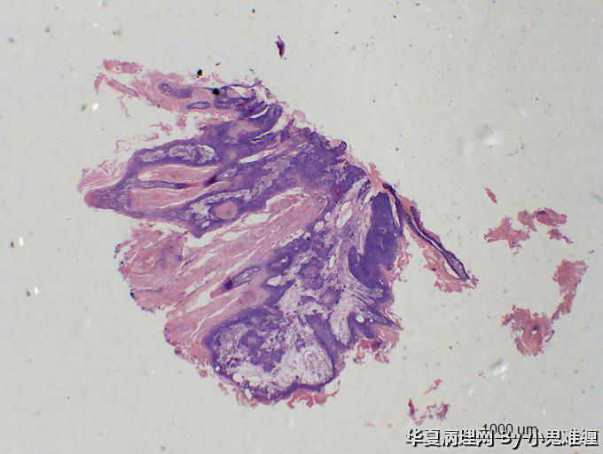
 男45岁,阴茎表面大片溃疡

  • 阴茎肿物图1
    图1
  • 阴茎肿物图2
    图2
  • 阴茎肿物图3
    图3
  • 阴茎肿物图4
    图4
  • 阴茎肿物图5
    图5
  • 阴茎肿物图6
    图6
  • 阴茎肿物图7
    图7
  • 阴茎肿物图8
    图8
  • 阴茎肿物图9
    图9
  • 阴茎肿物图10
    图10
  • 阴茎肿物图11
    图11
  • 阴茎肿物图12
    图12
 
标签:
0
添加参考诊断
×参考诊断
  

病理020 离线

帖子:1344
粉蓝豆:5627
经验:1814
注册时间:2011-10-02
加关注  |  发消息
1 楼    发表于2012-02-03 13:58:03举报|引用
返回顶部 | 快捷回复

 

异型的鳞状上皮向间质浸润,角化明显,高分化鳞状细胞癌。

0
回复
signature
邓学田

zhouquan 离线

帖子:7752
粉蓝豆:302
经验:8263
注册时间:2008-11-09
加关注  |  发消息
2 楼    发表于2012-02-03 17:15:07举报|引用
返回顶部 | 快捷回复

鳞状细胞癌

0
回复
signature
成功不是得到多少东西,而是把身上多余的东西的扔掉多少。   

lantian0508 离线

帖子:1250
粉蓝豆:42
经验:1495
注册时间:2007-08-01
加关注  |  发消息
3 楼    发表于2012-02-03 22:21:29举报|引用
返回顶部 | 快捷回复

鳞状细胞癌

0
回复

lvyinhua 离线

帖子:832
粉蓝豆:35
经验:1180
注册时间:2012-01-09
加关注  |  发消息
4 楼    发表于2012-02-04 08:55:34举报|引用
返回顶部 | 快捷回复
引用 1 楼 病理020 在 2012-02-03 13:58:03 的发言:

 

异型的鳞状上皮向间质浸润,角化明显,高分化鳞状细胞癌。


0
回复

zcm729868 离线

帖子:200
粉蓝豆:95
经验:210
注册时间:2011-11-27
加关注  |  发消息
5 楼    发表于2012-02-05 21:38:00举报|引用
返回顶部 | 快捷回复

阴茎鳞癌

0
回复

zxl123456 离线

帖子:255
粉蓝豆:15
经验:548
注册时间:2010-07-30
加关注  |  发消息
6 楼    发表于2012-02-06 15:20:22举报|引用
返回顶部 | 快捷回复

阴茎高分化鳞状细胞癌

0
回复
回复:6 阅读:2274
共1页/6条首页上一页1下一页尾页
【免责声明】讨论内容仅作学术交流之用,不作为诊疗依据,由此而引起的法律问题作者及本站不承担任何责任。
快速回复
进入高级回复
您最多可输入10000个汉字,按 "Ctrl" + "Enter" 直接发送
搜索回复/乘电梯 ×
按内容
按会员
乘电梯
合作伙伴
友情链接