共1页/17条首页上一页1下一页尾页
回复:17 阅读:4353
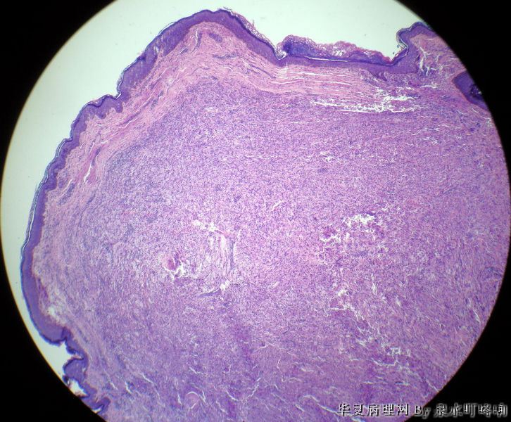
颈后部肿物

泉水叮咚响 离线

帖子:2163
粉蓝豆:113
经验:11663
注册时间:2010-12-30
加关注  |  发消息
楼主 发表于 2012-02-01 11:19|举报|关注(3)
浏览排序[ 顺序 逆序 楼主 支持 精彩 ]  快捷回复
  • 颈后部肿物图1
    图1
  • 颈后部肿物图2
    图2
  • 颈后部肿物图3
    图3
  • 颈后部肿物图4
    图4
  • 颈后部肿物图5
    图5
  • 颈后部肿物图6
    图6
  • 颈后部肿物图7
    图7
  • 颈后部肿物图8
    图8
  • 颈后部肿物图9
    图9
  • 颈后部肿物图10
    图10
  • 颈后部肿物图11
    图11
  • 颈后部肿物图12
    图12

 女,39岁,颈后部肿物半年。
大体:灰白皮表肿物一个,呈半球形,直径0.9厘米,高出皮表0.9厘米,切面灰白,质中。

标签:
0
signature
刀不磨会生锈,人不学习会落后。
添加参考诊断
×参考诊断
  

泉水叮咚响 离线

帖子:2163
粉蓝豆:113
经验:11663
注册时间:2010-12-30
加关注  |  发消息
17 楼    发表于2012-02-20 10:18:33举报|引用
返回顶部 | 快捷回复

抱歉,忘了报告会诊结果了。

北京肿瘤医院会诊:纤维组织细胞瘤。

0
回复
signature
刀不磨会生锈,人不学习会落后。

csx学习 离线

帖子:198
粉蓝豆:5
经验:605
注册时间:2009-08-21
加关注  |  发消息
16 楼    发表于2012-02-06 16:03:19举报|引用
返回顶部 | 快捷回复

考虑神经源性肿瘤,免疫组化明确

0
回复

xuesizeng 离线

帖子:1148
粉蓝豆:87
经验:1173
注册时间:2007-02-03
加关注  |  发消息
15 楼    发表于2012-02-06 10:59:09举报|引用
返回顶部 | 快捷回复

病理改变中浸润的细胞考虑组织细胞来源。诊断考虑单发性网织细胞肉芽肿(网织组织细胞瘤)可能。如考虑Rosai-Dorfman病,病理改变中没有明显淋巴细胞浸润和吞噬现象,需要免疫组化来明确诊断。

0
回复

羽珩 离线

帖子:797
粉蓝豆:25
经验:1208
注册时间:2010-11-24
加关注  |  发消息
14 楼    发表于2012-02-05 22:58:43举报|引用
返回顶部 | 快捷回复

倾向纤维组织细胞瘤,免疫组化排除颗粒细胞瘤。

0
回复
signature

炎相羽珹

兰兰 离线

帖子:100
粉蓝豆:13
经验:403
注册时间:2007-11-20
加关注  |  发消息
13 楼    发表于2012-02-04 21:03:53举报|引用
返回顶部 | 快捷回复

纤维组织细胞瘤

0
回复

duhua 离线

帖子:1206
粉蓝豆:152
经验:1738
注册时间:2008-08-19
加关注  |  发消息
12 楼    发表于2012-02-04 21:03:39举报|引用
返回顶部 | 快捷回复

考虑纤维组织细胞瘤

0
回复

阿晓 离线

帖子:21
粉蓝豆:1
经验:49
注册时间:2009-07-14
加关注  |  发消息
11 楼    发表于2012-02-04 19:26:10举报|引用
返回顶部 | 快捷回复

我也考虑Rosai-Dorfman

0
回复
signature
邓晓

海之舟 离线

帖子:299
粉蓝豆:27
经验:511
注册时间:2007-11-15
加关注  |  发消息
10 楼    发表于2012-02-04 09:01:56举报|引用
返回顶部 | 快捷回复

我也考虑颗粒细胞瘤。

0
回复

刀尖上的舞者 离线

帖子:1763
粉蓝豆:87
经验:3356
注册时间:2010-12-14
加关注  |  发消息
9 楼    发表于2012-02-01 21:22:50举报|引用
返回顶部 | 快捷回复

学习了

0
回复

zdh8021 离线

帖子:424
粉蓝豆:2203
经验:1679
注册时间:2006-11-14
加关注  |  发消息
8 楼    发表于2012-02-01 20:02:32举报|引用
返回顶部 | 快捷回复

肿瘤较小,梭形细胞间质内可见一些较大细胞,核小,胞质丰富,可见胞质内较多颗粒,考虑颗粒细胞瘤,做免疫组化标记S-100证实。

0
回复

zhanglei 离线

帖子:3751
粉蓝豆:2077
经验:3901
注册时间:2006-09-26
加关注  |  发消息
7 楼    发表于2012-02-01 20:00:47举报|引用
返回顶部 | 快捷回复

纤维组织细胞瘤。

0
回复

whj0902 在线

帖子:187
粉蓝豆:16
经验:325
注册时间:2011-11-27
加关注  |  发消息
6 楼    发表于2012-02-01 18:43:31举报|引用
返回顶部 | 快捷回复

考虑纤维组织细胞瘤

0
回复

weiguopfk 离线

帖子:605
粉蓝豆:66
经验:817
注册时间:2008-10-25
加关注  |  发消息
5 楼    发表于2012-02-01 16:56:16举报|引用
返回顶部 | 快捷回复

Rosai-Dorfman病

1

一棵小草
回复

白晓云 离线

帖子:300
粉蓝豆:2049
经验:1487
注册时间:2007-12-29
加关注  |  发消息
4 楼    发表于2012-02-01 15:17:46举报|引用
返回顶部 | 快捷回复

考虑:1:神经鞘  2:纤维组织细胞瘤。建议免疫组化鉴别。做哪些免疫组化哪?

0
回复

kint123 离线

帖子:1620
粉蓝豆:240
经验:2095
注册时间:2009-01-31
加关注  |  发消息
3 楼    发表于2012-02-01 14:25:30举报|引用
返回顶部 | 快捷回复

考虑纤维组织细胞瘤,建议标记一下

0
回复
signature
The More We See, The Less We Know!

xuchen 离线

帖子:25
粉蓝豆:1
经验:48
注册时间:2009-08-06
加关注  |  发消息
2 楼    发表于2012-02-01 14:04:50举报|引用
返回顶部 | 快捷回复

高倍少了些,皮内痣要排除

0
回复

brz0001 离线

帖子:3035
粉蓝豆:97
经验:3058
注册时间:2008-05-05
加关注  |  发消息
1 楼    发表于2012-02-01 12:40:50举报|引用
返回顶部 | 快捷回复

考虑神经来源肿瘤,需要些免疫组化标记啊,还请其他老师指导

0
回复
回复:17 阅读:4353
共1页/17条首页上一页1下一页尾页
【免责声明】讨论内容仅作学术交流之用,不作为诊疗依据,由此而引起的法律问题作者及本站不承担任何责任。
快速回复
进入高级回复
您最多可输入10000个汉字,按 "Ctrl" + "Enter" 直接发送
搜索回复/乘电梯 ×
按内容
按会员
乘电梯
合作伙伴
友情链接