共1页/19条首页上一页1下一页尾页
回复:19 阅读:3383
请教!胃镜活检。

wolflovepig 离线

帖子:675
粉蓝豆:55
经验:9062
注册时间:2007-08-25
加关注  |  发消息
楼主 发表于 2012-01-31 17:03|举报|关注(0)
浏览排序[ 顺序 逆序 楼主 支持 精彩 ]  快捷回复

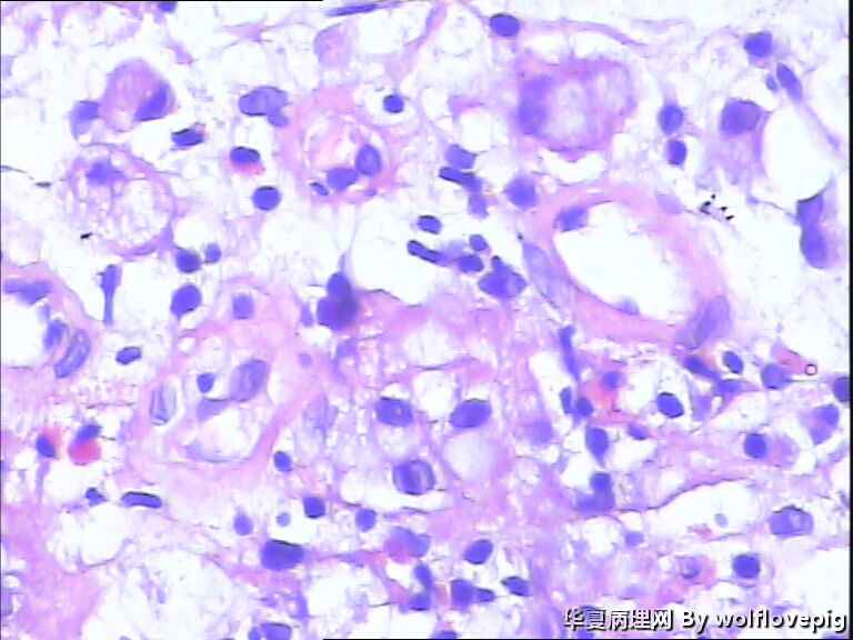
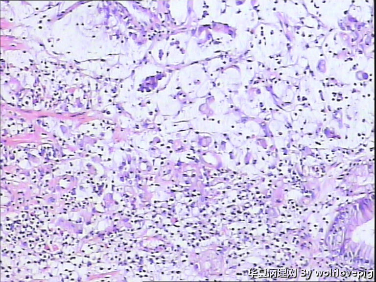
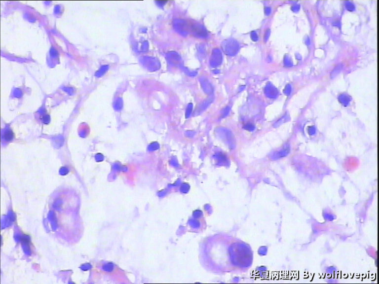
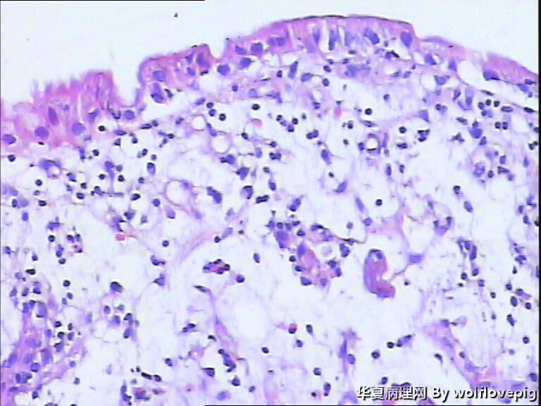
 男,60y,胃窦呈结节样改变。

  • 请教!胃镜活检。图1
    图1
  • 请教!胃镜活检。图2
    图2
  • 请教!胃镜活检。图3
    图3
  • 请教!胃镜活检。图4
    图4
  • 请教!胃镜活检。图5
    图5
  • 请教!胃镜活检。图6
    图6
  • 请教!胃镜活检。图7
    图7
  • 请教!胃镜活检。图8
    图8
  • 请教!胃镜活检。图9
    图9
  • 请教!胃镜活检。图10
    图10
  • 请教!胃镜活检。图11
    图11
  • 请教!胃镜活检。图12
    图12
  • 请教!胃镜活检。图13
    图13

标签:胃镜活检
0
添加参考诊断
×参考诊断
  

zhouquan 离线

帖子:7752
粉蓝豆:302
经验:8263
注册时间:2008-11-09
加关注  |  发消息
1 楼    发表于2012-01-31 17:18:19举报|引用
返回顶部 | 快捷回复

印戒细胞癌

0
回复
signature
成功不是得到多少东西,而是把身上多余的东西的扔掉多少。   

duhua 离线

帖子:1206
粉蓝豆:152
经验:1738
注册时间:2008-08-19
加关注  |  发消息
2 楼    发表于2012-01-31 20:27:25举报|引用
返回顶部 | 快捷回复

印戒细胞癌

0
回复

zhangyajing 离线

帖子:500
粉蓝豆:4
经验:610
注册时间:2008-03-23
加关注  |  发消息
3 楼    发表于2012-01-31 20:34:12举报|引用
返回顶部 | 快捷回复

胃印戒细胞癌

0
回复

minerhaoxue 离线

帖子:142
粉蓝豆:20
经验:253
注册时间:2009-09-23
加关注  |  发消息
4 楼    发表于2012-01-31 20:41:55举报|引用
返回顶部 | 快捷回复

低分化腺癌(含印戒细胞癌)

0
回复

庖丁解牛 离线

帖子:5
粉蓝豆:16
经验:6
注册时间:2011-09-25
加关注  |  发消息
5 楼    发表于2012-01-31 20:50:42举报|引用
返回顶部 | 快捷回复

粘液腺癌,部分呈印戒细胞癌。

0
回复
signature
真正的病理医师要有智慧和胆量

广秀 离线

帖子:2711
粉蓝豆:1246
经验:3502
注册时间:2009-09-15
加关注  |  发消息
6 楼    发表于2012-01-31 20:51:44举报|引用
返回顶部 | 快捷回复

黏液腺癌。

肿瘤中含有50%的细胞外黏液池,黏液中漂浮着散在或串珠状的癌细胞,癌细胞为富含黏液的柱状细胞及印戒细胞。

1

风和日丽
回复
signature
人淡如菊,心素如简。

zhenshijian 离线

帖子:1069
粉蓝豆:91
经验:1364
注册时间:2008-04-20
加关注  |  发消息
7 楼    发表于2012-01-31 21:00:15举报|引用
返回顶部 | 快捷回复
引用 4 楼 minerhaoxue 在 2012-01-31 20:41:55 的发言:

低分化腺癌(含印戒细胞癌)


0
回复

宁静致远 离线

帖子:4242
粉蓝豆:2853
经验:6556
注册时间:2007-03-27
加关注  |  发消息
8 楼    发表于2012-01-31 21:02:59举报|引用
返回顶部 | 快捷回复

印戒细胞癌

0
回复

zcm729868 离线

帖子:200
粉蓝豆:95
经验:210
注册时间:2011-11-27
加关注  |  发消息
9 楼    发表于2012-01-31 21:05:43举报|引用
返回顶部 | 快捷回复

粘液腺癌,倾向于印戒细胞癌

0
回复

开心辞典 离线

帖子:966
粉蓝豆:345
经验:5049
注册时间:2009-09-09
加关注  |  发消息
10 楼    发表于2012-01-31 21:40:22举报|引用
返回顶部 | 快捷回复

粘液腺癌

0
回复

miya99 离线

帖子:39
粉蓝豆:2
经验:161
注册时间:2011-11-10
加关注  |  发消息
11 楼    发表于2012-01-31 22:02:13举报|引用
返回顶部 | 快捷回复

 印戒细胞癌

0
回复

gyp 离线

帖子:137
粉蓝豆:45
经验:973
注册时间:2006-09-30
加关注  |  发消息
12 楼    发表于2012-01-31 22:32:57举报|引用
返回顶部 | 快捷回复

黏液腺癌为主,部分呈印戒细胞癌

0
回复

ysllmq 离线

帖子:56
粉蓝豆:1
经验:135
注册时间:2010-11-23
加关注  |  发消息
13 楼    发表于2012-01-31 22:43:37举报|引用
返回顶部 | 快捷回复

 印戒细胞癌

0
回复

qiaoqiao 离线

帖子:4186
粉蓝豆:143
经验:6715
注册时间:2011-08-04
加关注  |  发消息
14 楼    发表于2012-01-31 22:50:40举报|引用
返回顶部 | 快捷回复

黏液腺癌。

0
回复
signature
天生我才必我用

swing234 离线

帖子:2
粉蓝豆:1
经验:4
注册时间:2009-01-21
加关注  |  发消息
15 楼    发表于2012-01-31 23:07:37举报|引用
返回顶部 | 快捷回复

同意粘液腺癌,

0
回复
signature
越简单越好

annisun 离线

帖子:44
粉蓝豆:3
经验:53
注册时间:2011-12-31
加关注  |  发消息
16 楼    发表于2012-02-01 09:23:30举报|引用
返回顶部 | 快捷回复

粘液腺癌。

0
回复

zhuozi 离线

帖子:61
粉蓝豆:19
经验:122
注册时间:2009-08-11
加关注  |  发消息
17 楼    发表于2012-02-01 10:06:54举报|引用
返回顶部 | 快捷回复

同意粘液腺癌

0
回复

csx学习 离线

帖子:198
粉蓝豆:5
经验:605
注册时间:2009-08-21
加关注  |  发消息
18 楼    发表于2012-02-01 10:14:48举报|引用
返回顶部 | 快捷回复

粘液腺癌,部分为粘液细胞癌

0
回复

泉水叮咚响 离线

帖子:2163
粉蓝豆:113
经验:11663
注册时间:2010-12-30
加关注  |  发消息
19 楼    发表于2012-02-01 11:40:09举报|引用
返回顶部 | 快捷回复

 印戒细胞癌

0
回复
signature
刀不磨会生锈,人不学习会落后。
回复:19 阅读:3383
共1页/19条首页上一页1下一页尾页
【免责声明】讨论内容仅作学术交流之用,不作为诊疗依据,由此而引起的法律问题作者及本站不承担任何责任。
快速回复
进入高级回复
您最多可输入10000个汉字,按 "Ctrl" + "Enter" 直接发送
搜索回复/乘电梯 ×
按内容
按会员
乘电梯
合作伙伴
友情链接