共1页/4条首页上一页1下一页尾页
回复:4 阅读:2290
恶性的血管瘤??

yy369yy 离线

帖子:321
粉蓝豆:27
经验:1131
注册时间:2009-12-18
加关注  |  发消息
楼主 发表于 2012-01-23 18:20|举报|关注(0)
浏览排序[ 顺序 逆序 楼主 支持 精彩 ]  快捷回复
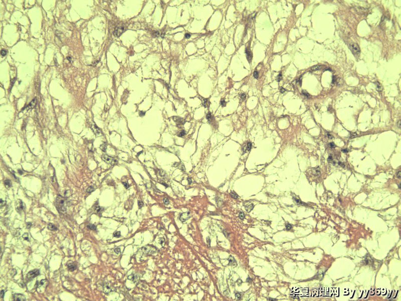
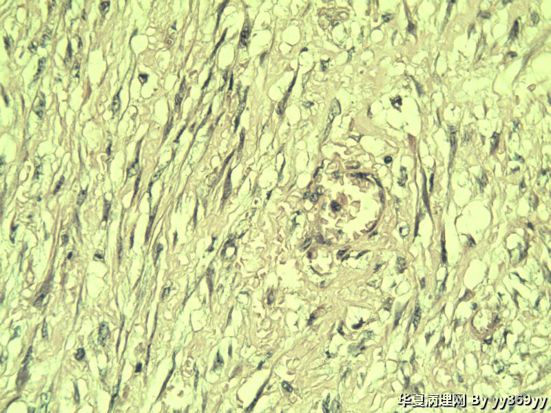
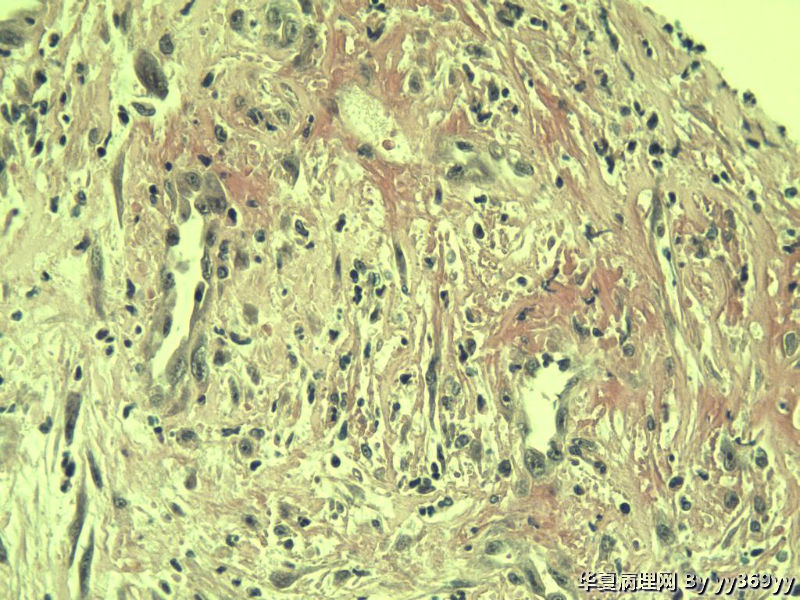
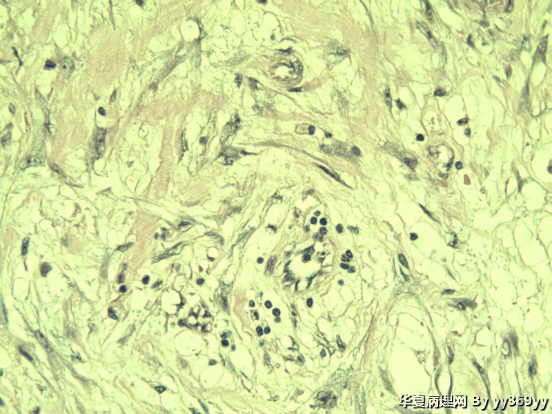
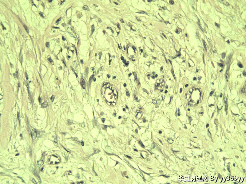
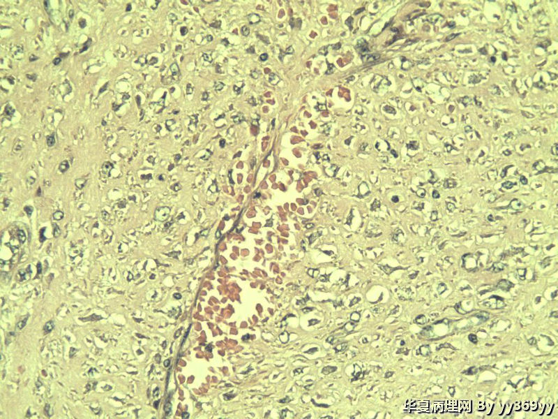
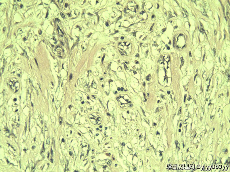
男 30岁 小肠一段,肠管严重粘连可见一体积为 2.5 × 2 × 1.5 cm3的肿块,切面灰白,实性,质中
请问各位老师,是什么? 谢谢了! 
恶性的血管瘤??图1
名称:图1
描述:a587.Jpg
恶性的血管瘤??图2
名称:图2
描述:a588.Jpg
恶性的血管瘤??图3
名称:图3
描述:a589.Jpg
恶性的血管瘤??图4
名称:图4
描述:a590.Jpg
恶性的血管瘤??图5
名称:图5
描述:a591.Jpg
恶性的血管瘤??图6
名称:图6
描述:a592.Jpg
恶性的血管瘤??图7
名称:图7
描述:a593.Jpg
恶性的血管瘤??图8
名称:图8
描述:a594.Jpg
恶性的血管瘤??图9
名称:图9
描述:a595.Jpg
恶性的血管瘤??图10
名称:图10
描述:a596.Jpg
恶性的血管瘤??图11
名称:图11
描述:a597.Jpg
恶性的血管瘤??图12
名称:图12
描述:a598.Jpg
恶性的血管瘤??图13
名称:图13
描述:a599.Jpg
恶性的血管瘤??图14
名称:图14
描述:a600.Jpg
恶性的血管瘤??图15
名称:图15
描述:a601.Jpg
恶性的血管瘤??图16
名称:图16
描述:a602.Jpg
恶性的血管瘤??图17
名称:图17
描述:a603.Jpg
恶性的血管瘤??图18
名称:图18
描述:a604.Jpg
恶性的血管瘤??图19
名称:图19
描述:a605.Jpg
恶性的血管瘤??图20
名称:图20
描述:a606.Jpg
恶性的血管瘤??图21
名称:图21
描述:a607.Jpg
恶性的血管瘤??图22
名称:图22
描述:a608.Jpg
恶性的血管瘤??图23
名称:图23
描述:a609.Jpg
恶性的血管瘤??图24
名称:图24
描述:a610.Jpg
恶性的血管瘤??图25
名称:图25
描述:a611.Jpg
恶性的血管瘤??图26
名称:图26
描述:a612.Jpg
恶性的血管瘤??图27
名称:图27
描述:a613.Jpg
恶性的血管瘤??图28
名称:图28
描述:a614.Jpg
恶性的血管瘤??图29
名称:图29
描述:a615.Jpg
恶性的血管瘤??图30
名称:图30
描述:a616.Jpg
恶性的血管瘤??图31
名称:图31
描述:a617.Jpg
恶性的血管瘤??图32
名称:图32
描述:a618.Jpg
恶性的血管瘤??图33
名称:图33
描述:a619.Jpg
恶性的血管瘤??图34
名称:图34
描述:a620.Jpg
恶性的血管瘤??图35
名称:图35
描述:a621.Jpg
恶性的血管瘤??图36
名称:图36
描述:a622.Jpg
恶性的血管瘤??图37
名称:图37
描述:a623.Jpg

 

标签:
0
添加参考诊断
×参考诊断
  

zhanglei 离线

帖子:3751
粉蓝豆:2077
经验:3901
注册时间:2006-09-26
加关注  |  发消息
1 楼    发表于2012-01-23 19:32:26举报|引用
返回顶部 | 快捷回复

肿块确切位置?图片颜色不正,需要考虑的有:脂肪坏死/腹腔纤维瘤病/炎性肌纤维母细胞瘤等。

0
回复

zhanglei 离线

帖子:3751
粉蓝豆:2077
经验:3901
注册时间:2006-09-26
加关注  |  发消息
2 楼    发表于2012-01-25 07:39:12举报|引用
返回顶部 | 快捷回复

也可能是反应性病变。

0
回复

kint123 离线

帖子:1620
粉蓝豆:240
经验:2095
注册时间:2009-01-31
加关注  |  发消息
3 楼    发表于2012-01-27 17:44:11举报|引用
返回顶部 | 快捷回复

纤维瘤病?

0
回复
signature
The More We See, The Less We Know!

收渔人 离线

帖子:543
粉蓝豆:6
经验:737
注册时间:2010-05-23
加关注  |  发消息
4 楼    发表于2012-01-27 18:03:33举报|引用
返回顶部 | 快捷回复

还有GIST需要鉴别

0
回复
回复:4 阅读:2290
共1页/4条首页上一页1下一页尾页
【免责声明】讨论内容仅作学术交流之用,不作为诊疗依据,由此而引起的法律问题作者及本站不承担任何责任。
快速回复
进入高级回复
您最多可输入10000个汉字,按 "Ctrl" + "Enter" 直接发送
搜索回复/乘电梯 ×
按内容
按会员
乘电梯
合作伙伴
友情链接