共1页/13条首页上一页1下一页尾页
回复:13 阅读:3553
小肠肿瘤

yy369yy 离线

帖子:321
粉蓝豆:27
经验:1131
注册时间:2009-12-18
加关注  |  发消息
楼主 发表于 2012-01-21 19:14|举报|关注(3)
浏览排序[ 顺序 逆序 楼主 支持 精彩 ]  快捷回复
男 30岁 小肠一段,肠管严重粘连可见一体积为 2.5 × 2 × 1.5 cm3的肿块,切面灰白,实性,质中
请问各位老师,是什么? 谢谢了! 
小肠肿瘤图1
名称:图1
描述:a553.Jpg
小肠肿瘤图2
名称:图2
描述:a554.Jpg
小肠肿瘤图3
名称:图3
描述:a555.Jpg
小肠肿瘤图4
名称:图4
描述:a556.Jpg
小肠肿瘤图5
名称:图5
描述:a557.Jpg
小肠肿瘤图6
名称:图6
描述:a558.Jpg
小肠肿瘤图7
名称:图7
描述:a559.Jpg
小肠肿瘤图8
名称:图8
描述:a560.Jpg
小肠肿瘤图9
名称:图9
描述:a561.Jpg
小肠肿瘤图10
名称:图10
描述:a562.Jpg
小肠肿瘤图11
名称:图11
描述:a563.Jpg
小肠肿瘤图12
名称:图12
描述:a564.Jpg
小肠肿瘤图13
名称:图13
描述:a565.Jpg
小肠肿瘤图14
名称:图14
描述:a566.Jpg
小肠肿瘤图15
名称:图15
描述:a567.Jpg
小肠肿瘤图16
名称:图16
描述:a568.Jpg
小肠肿瘤图17
名称:图17
描述:a569.Jpg
小肠肿瘤图18
名称:图18
描述:a570.Jpg
小肠肿瘤图19
名称:图19
描述:a571.Jpg
小肠肿瘤图20
名称:图20
描述:a572.Jpg
小肠肿瘤图21
名称:图21
描述:a573.Jpg
小肠肿瘤图22
名称:图22
描述:a580.Jpg
小肠肿瘤图23
名称:图23
描述:a581.Jpg
小肠肿瘤图24
名称:图24
描述:a583.Jpg
小肠肿瘤图25
名称:图25
描述:a584.Jpg
小肠肿瘤图26
名称:图26
描述:a585.Jpg
小肠肿瘤图27
名称:图27
描述:a586.Jpg
小肠肿瘤图28
名称:图28
描述:a574.Jpg
小肠肿瘤图29
名称:图29
描述:a575.Jpg
小肠肿瘤图30
名称:图30
描述:a576.Jpg
小肠肿瘤图31
名称:图31
描述:a577.Jpg
小肠肿瘤图32
名称:图32
描述:a578.Jpg
小肠肿瘤图33
名称:图33
描述:a579.Jpg

 

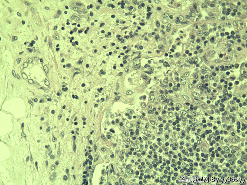
上面几张图是淋巴结
 

标签:
本帖最后由 yy369yy 于 2012-01-22 18:35:50 编辑
0
添加参考诊断
×参考诊断
  

乐乐 离线

帖子:77
粉蓝豆:1306
经验:125
注册时间:2009-02-06
加关注  |  发消息
4 楼    发表于2012-01-22 19:34:41举报|引用
返回顶部 | 快捷回复

只是倒数那几张是取自淋巴结吗,还是所有的? 考虑恶性GIST,做IHC

1

chord980..
回复

flj20092049 离线

帖子:212
粉蓝豆:9
经验:470
注册时间:2011-11-23
加关注  |  发消息
6 楼    发表于2012-01-29 13:39:47举报|引用
返回顶部 | 快捷回复

倾向良性的,像炎性肌纤维母一类,需要排除GIST,期待学习~~~

0
回复
signature

yy369yy 离线

帖子:321
粉蓝豆:27
经验:1131
注册时间:2009-12-18
加关注  |  发消息
7 楼    发表于2012-01-29 16:13:25举报|引用
返回顶部 | 快捷回复
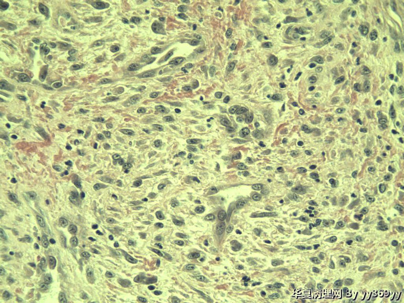
补取了几块 肌层纵行和横行平滑肌之间很多这种细胞 是什么??
名称:图1
描述:a625.Jpg

名称:图2
描述:a626.Jpg

名称:图3
描述:a627.Jpg

名称:图4
描述:a628.Jpg

名称:图5
描述:a629.Jpg

名称:图6
描述:a630.Jpg

名称:图7
描述:a631.Jpg

名称:图8
描述:a632.Jpg

 

0
回复

kangwang2010 离线

帖子:389
粉蓝豆:13
经验:590
注册时间:2010-03-04
加关注  |  发消息
8 楼    发表于2012-01-29 17:32:36举报|引用
返回顶部 | 快捷回复

神经节细胞

0
回复
signature
有时候,称赞别人也是一种美德!

fangg 离线

帖子:1426
粉蓝豆:44
经验:1863
注册时间:2007-01-22
加关注  |  发消息
10 楼    发表于2012-02-01 12:10:28举报|引用
返回顶部 | 快捷回复

这些都是增生的神经节细胞,在溃疡周围的正常粘膜里找找看有无肉芽肿

0
回复
signature
境随心转

zhenshijian 离线

帖子:1069
粉蓝豆:91
经验:1364
注册时间:2008-04-20
加关注  |  发消息
9 楼    发表于2012-01-29 17:50:37举报|引用
返回顶部 | 快捷回复

考虑炎性肌纤维母细胞瘤、炎性纤维性息肉、胃肠间质瘤,不考虑淋巴瘤

0
回复

宁静致远 离线

帖子:4242
粉蓝豆:2853
经验:6556
注册时间:2007-03-27
加关注  |  发消息
1 楼    发表于2012-01-21 20:47:18举报|引用
返回顶部 | 快捷回复

恶性肿瘤   淋巴瘤 脂肪肉瘤  低分化腺癌 做IHC

0
回复

病理020 离线

帖子:1344
粉蓝豆:5610
经验:1814
注册时间:2011-10-02
加关注  |  发消息
2 楼    发表于2012-01-21 21:10:23举报|引用
返回顶部 | 快捷回复

从最后这几张高倍镜图看,淋巴样细胞弥漫性增生,很可能是淋巴瘤。

0
回复
signature
邓学田

防港一员 离线

帖子:410
粉蓝豆:30
经验:1041
注册时间:2010-08-13
加关注  |  发消息
3 楼    发表于2012-01-21 22:44:57举报|引用
返回顶部 | 快捷回复
恶性肿瘤,标记吧
0
回复
signature
有志者事竟成

白晓云 离线

帖子:300
粉蓝豆:2049
经验:1487
注册时间:2007-12-29
加关注  |  发消息
11 楼    发表于2012-02-01 15:25:04举报|引用
返回顶部 | 快捷回复

我考虑:良性病变。慢性炎性肉芽肿。有无手术史?外伤史?楼主的HE切片染色怪怪的,像发黄的老照片

期待楼主揭秘

0
回复

洋洋洒洒 离线

帖子:1445
粉蓝豆:256
经验:2479
注册时间:2010-12-13
加关注  |  发消息
12 楼    发表于2012-06-06 21:42:08举报|引用
返回顶部 | 快捷回复

考虑炎性肌纤维母细胞瘤

0
回复

yangjinfeng0929 离线

帖子:480
粉蓝豆:40
经验:1023
注册时间:2010-01-11
加关注  |  发消息
13 楼    发表于2012-06-06 22:19:59举报|引用
返回顶部 | 快捷回复
本帖最后由 yangjinfeng0929 于 2012-06-06 22:20:27 编辑

第一次发的图片有低倍的吗,与长肠壁关系呢?第二次发的是神经节细胞

0
回复

fangg 离线

帖子:1426
粉蓝豆:44
经验:1863
注册时间:2007-01-22
加关注  |  发消息
5 楼    发表于2012-01-29 10:25:53举报|引用
返回顶部 | 快捷回复

没看到淋巴瘤,肠壁能传低倍图像吗?

有无炎性肠病病史?例如crohn或溃结等?

0
回复
signature
境随心转
回复:13 阅读:3553
共1页/13条首页上一页1下一页尾页
【免责声明】讨论内容仅作学术交流之用,不作为诊疗依据,由此而引起的法律问题作者及本站不承担任何责任。
快速回复
进入高级回复
您最多可输入10000个汉字,按 "Ctrl" + "Enter" 直接发送
搜索回复/乘电梯 ×
按内容
按会员
乘电梯
合作伙伴
友情链接