共1页/11条首页上一页1下一页尾页
回复:11 阅读:3191
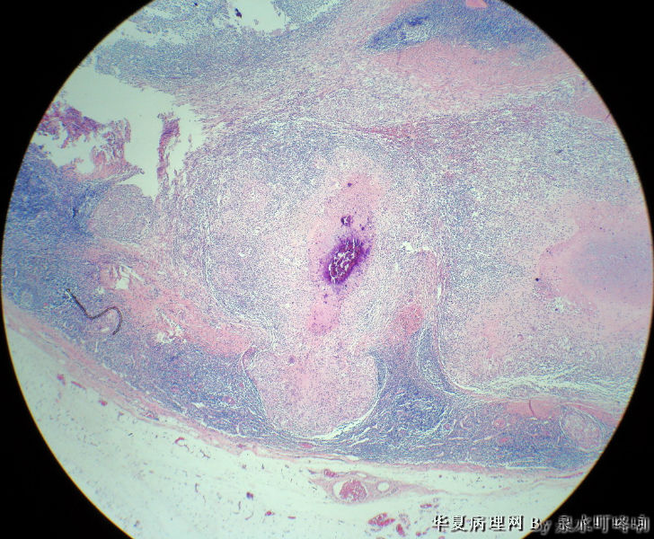
左腋窝肿物

泉水叮咚响 离线

帖子:2163
粉蓝豆:113
经验:11663
注册时间:2010-12-30
加关注  |  发消息
楼主 发表于 2012-01-16 14:59|举报|关注(0)
浏览排序[ 顺序 逆序 楼主 支持 精彩 ]  快捷回复
  • 左腋窝肿物图1
    图1
  • 左腋窝肿物图2
    图2
  • 左腋窝肿物图3
    图3
  • 左腋窝肿物图4
    图4
  • 左腋窝肿物图5
    图5
  • 左腋窝肿物图6
    图6
  • 左腋窝肿物图7
    图7
  • 左腋窝肿物图8
    图8
  • 左腋窝肿物图9
    图9
  • 左腋窝肿物图10
    图10
  • 左腋窝肿物图11
    图11
  • 左腋窝肿物图12
    图12
  • 左腋窝肿物图13
    图13
  • 左腋窝肿物图14
    图14
  • 左腋窝肿物图15
    图15
  • 左腋窝肿物图16
    图16
  • 左腋窝肿物图17
    图17
  • 左腋窝肿物图18
    图18
  • 左腋窝肿物图19
    图19
  • 左腋窝肿物图20
    图20
  • 左腋窝肿物图21
    图21
  • 左腋窝肿物图22
    图22

 女,3岁,主因左腋窝肿物半年,术中见为肿大淋巴结,淋巴结内有脓液及坏死组织。
大体:灰红色组织一块,大小约4.6×3.5×2厘米,切面可见两个囊性区域,内容乳白色浓稠液体。

标签:
0
signature
刀不磨会生锈,人不学习会落后。
添加参考诊断
×参考诊断
  

病理020 离线

帖子:1344
粉蓝豆:5612
经验:1814
注册时间:2011-10-02
加关注  |  发消息
1 楼    发表于2012-01-16 16:30:23举报|引用
返回顶部 | 快捷回复

肉芽肿性炎(建议做抗酸染色,除外结核)

3

lg7391

东北鱼

chenliu0..
回复
signature
邓学田

xiaocaodi 离线

帖子:855
粉蓝豆:46
经验:1917
注册时间:2006-10-21
加关注  |  发消息
11 楼    发表于2012-01-27 17:35:23举报|引用
返回顶部 | 快捷回复

肉芽肿性炎,考虑结核伴钙化。

1

sjluwfmc
回复

夏日 离线

帖子:1057
粉蓝豆:45
经验:1529
注册时间:2011-04-05
加关注  |  发消息
3 楼    发表于2012-01-16 16:59:13举报|引用
返回顶部 | 快捷回复
引用 1 楼 病理020 在 2012-01-16 16:30:23 的发言:

肉芽肿性炎(建议做抗酸染色,除外结核)


1

hyl76
回复

dan1616 离线

帖子:39
粉蓝豆:31
经验:71
注册时间:2009-09-15
加关注  |  发消息
10 楼    发表于2012-01-27 15:16:09举报|引用
返回顶部 | 快捷回复

首先应除外结核。

0
回复

指环王 离线

帖子:570
粉蓝豆:15
经验:577
注册时间:2007-06-10
加关注  |  发消息
6 楼    发表于2012-01-16 23:09:19举报|引用
返回顶部 | 快捷回复

考虑TB

0
回复

伊恋佳人 离线

帖子:1258
粉蓝豆:505
经验:1714
注册时间:2010-03-13
加关注  |  发消息
7 楼    发表于2012-01-16 23:13:36举报|引用
返回顶部 | 快捷回复

肉芽肿性炎(建议做抗酸染色,除外结核)

0
回复

chenzhenwei110 离线

帖子:275
粉蓝豆:131
经验:383
注册时间:2009-05-31
加关注  |  发消息
2 楼    发表于2012-01-16 16:33:46举报|引用
返回顶部 | 快捷回复

结核

0
回复
signature
做好自己。

旅顺病理 离线

帖子:4084
粉蓝豆:144
经验:5113
注册时间:2011-06-04
加关注  |  发消息
4 楼    发表于2012-01-16 17:30:52举报|引用
返回顶部 | 快捷回复
引用 1 楼 病理020 在 2012-01-16 16:30:23 的发言:

肉芽肿性炎(建议做抗酸染色,除外结核)

0
回复

yilian206 离线

帖子:204
粉蓝豆:1119
经验:558
注册时间:2010-07-30
加关注  |  发消息
5 楼    发表于2012-01-16 17:31:44举报|引用
返回顶部 | 快捷回复

是淋巴结吧,淋巴结肉芽肿性炎伴坏死,建议做抗酸染色。

0
回复

徐泉 离线

帖子:90
粉蓝豆:2
经验:116
注册时间:2010-11-21
加关注  |  发消息
8 楼    发表于2012-01-26 22:43:18举报|引用
返回顶部 | 快捷回复

同意

0
回复

徐泉 离线

帖子:90
粉蓝豆:2
经验:116
注册时间:2010-11-21
加关注  |  发消息
9 楼    发表于2012-01-26 22:46:48举报|引用
返回顶部 | 快捷回复

可是大体所见不象结核啊!

0
回复
回复:11 阅读:3191
共1页/11条首页上一页1下一页尾页
【免责声明】讨论内容仅作学术交流之用,不作为诊疗依据,由此而引起的法律问题作者及本站不承担任何责任。
快速回复
进入高级回复
您最多可输入10000个汉字,按 "Ctrl" + "Enter" 直接发送
搜索回复/乘电梯 ×
按内容
按会员
乘电梯
合作伙伴
友情链接