共1页/14条首页上一页1下一页尾页
回复:14 阅读:4026
阑尾杯状细胞腺类癌?

快乐之星 离线

帖子:855
粉蓝豆:35
经验:1881
注册时间:2009-06-08
加关注  |  发消息
楼主 发表于 2012-01-13 12:30|举报|关注(1)
浏览排序[ 顺序 逆序 楼主 支持 精彩 ]  快捷回复
  • 阑尾杯状细胞腺类癌?图1
    图1
  • 阑尾杯状细胞腺类癌?图2
    图2
  • 阑尾杯状细胞腺类癌?图3
    图3
  • 阑尾杯状细胞腺类癌?图4
    图4
  • 阑尾杯状细胞腺类癌?图5
    图5
  • 阑尾杯状细胞腺类癌?图6
    图6
  • 阑尾杯状细胞腺类癌?图7
    图7
  • 阑尾杯状细胞腺类癌?图8
    图8
  • 阑尾杯状细胞腺类癌?图9
    图9
  • 阑尾杯状细胞腺类癌?图10
    图10
  • 阑尾杯状细胞腺类癌?图11
    图11
  • 阑尾杯状细胞腺类癌?图12
    图12
  • 阑尾杯状细胞腺类癌?图13
    图13
  • 阑尾杯状细胞腺类癌?图14
    图14
  • 阑尾杯状细胞腺类癌?图15
    图15

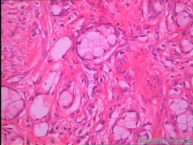
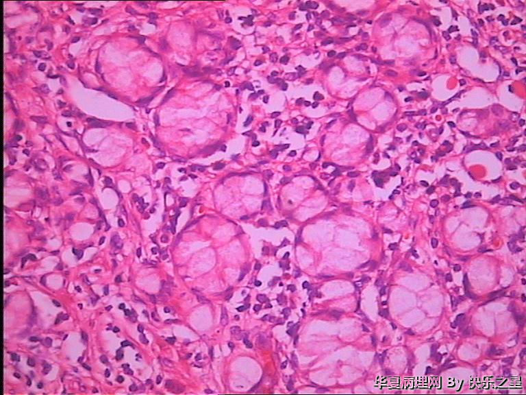
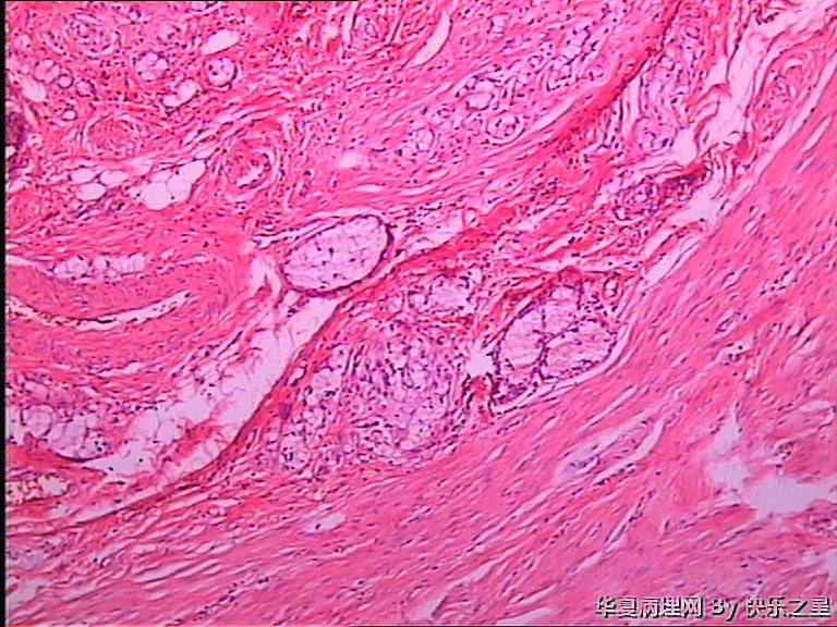
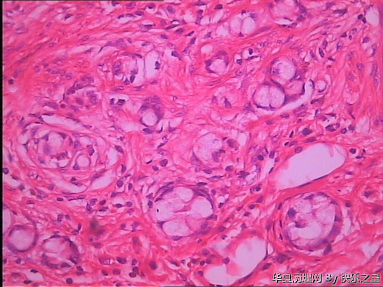
男,73岁,因回肠坏死手术,术中切除部分回肠及回盲部,附带 阑尾,长6.5,粗0.7-1.2,表面水中、充血,管腔闭塞,成实性,切面灰白、暗红,质中。

标签:
0
signature
把握今天,展望明天
添加参考诊断
×参考诊断
  

快乐之星 离线

帖子:855
粉蓝豆:35
经验:1881
注册时间:2009-06-08
加关注  |  发消息
1 楼    发表于2012-01-13 12:33:09举报|引用
返回顶部 | 快捷回复

 回肠为肠坏死表现,回盲部肠壁充血、水肿,均未见肿物。

0
回复
signature
把握今天,展望明天

1171465724 离线

帖子:64
粉蓝豆:3
经验:66
注册时间:2012-01-11
加关注  |  发消息
2 楼    发表于2012-01-13 12:34:01举报|引用
返回顶部 | 快捷回复

晚辈没见过   来学习 ·~~

0
回复

flj20092049 离线

帖子:212
粉蓝豆:9
经验:470
注册时间:2011-11-23
加关注  |  发消息
3 楼    发表于2012-01-13 12:35:22举报|引用
返回顶部 | 快捷回复

类癌,像的,期待酶标结果~~~

0
回复
signature

笃行者 离线

帖子:2689
粉蓝豆:59
经验:3020
注册时间:2006-10-04
加关注  |  发消息
4 楼    发表于2012-01-13 18:00:45举报|引用
返回顶部 | 快捷回复

能想到杯状细胞类癌就很不错了!是不是类癌或腺类癌就得看免疫组化了。不怕做不到,就怕想不到。

0
回复
signature
博学之,审问之,慎思之,明辨之,笃行之。

zhouquan 离线

帖子:7752
粉蓝豆:302
经验:8263
注册时间:2008-11-09
加关注  |  发消息
5 楼    发表于2012-01-13 18:10:15举报|引用
返回顶部 | 快捷回复

首选转移性阑尾杯状细胞类癌鉴别印戒细胞癌

0
回复
signature
成功不是得到多少东西,而是把身上多余的东西的扔掉多少。   

旅顺病理 离线

帖子:4084
粉蓝豆:144
经验:5113
注册时间:2011-06-04
加关注  |  发消息
6 楼    发表于2012-01-13 18:15:43举报|引用
返回顶部 | 快捷回复

 象,标记吧。

1

jimi
回复

夏日 离线

帖子:1057
粉蓝豆:45
经验:1529
注册时间:2011-04-05
加关注  |  发消息
7 楼    发表于2012-01-14 06:38:29举报|引用
返回顶部 | 快捷回复
可疑阑尾类癌
0
回复

宁静致远 离线

帖子:4242
粉蓝豆:2853
经验:6556
注册时间:2007-03-27
加关注  |  发消息
8 楼    发表于2012-01-15 19:27:21举报|引用
返回顶部 | 快捷回复

杯状细胞类癌 IHC Syn   cgA  NSE  CK  LI67 

0
回复

lindongliang2008 离线

帖子:259
粉蓝豆:8
经验:914
注册时间:2009-11-11
加关注  |  发消息
9 楼    发表于2012-01-15 20:19:04举报|引用
返回顶部 | 快捷回复

杯状细胞类癌,应该没有 问题。

0
回复

lvyinhua 离线

帖子:832
粉蓝豆:35
经验:1180
注册时间:2012-01-09
加关注  |  发消息
10 楼    发表于2012-01-15 20:43:20举报|引用
返回顶部 | 快捷回复
引用 8 楼 宁静致远 在 2012-01-15 19:27:21 的发言:

杯状细胞类癌 IHC Syn   cgA  NSE  CK  LI67 


0
回复

tianhui77 离线

帖子:731
粉蓝豆:217
经验:1242
注册时间:2009-08-27
加关注  |  发消息
11 楼    发表于2012-01-15 20:44:44举报|引用
返回顶部 | 快捷回复

杯状细胞类癌

0
回复

dadada 离线

帖子:276
粉蓝豆:13
经验:461
注册时间:2007-06-30
加关注  |  发消息
12 楼    发表于2012-01-15 20:45:13举报|引用
返回顶部 | 快捷回复

应该是类癌,正常腺体不会在肌层内浸润。

 

0
回复

hu8afu 离线

帖子:1177
粉蓝豆:35
经验:1230
注册时间:2009-02-11
加关注  |  发消息
13 楼    发表于2012-01-15 21:00:59举报|引用
返回顶部 | 快捷回复

杯状细胞类癌

0
回复

lvyinhua 离线

帖子:832
粉蓝豆:35
经验:1180
注册时间:2012-01-09
加关注  |  发消息
14 楼    发表于2012-01-16 06:59:53举报|引用
返回顶部 | 快捷回复

杯状细胞类癌   期待免疫组化结果

0
回复
回复:14 阅读:4026
共1页/14条首页上一页1下一页尾页
【免责声明】讨论内容仅作学术交流之用,不作为诊疗依据,由此而引起的法律问题作者及本站不承担任何责任。
快速回复
进入高级回复
您最多可输入10000个汉字,按 "Ctrl" + "Enter" 直接发送
搜索回复/乘电梯 ×
按内容
按会员
乘电梯
合作伙伴
友情链接