共1页/4条首页上一页1下一页尾页
回复:4 阅读:2817
急急急!请老师们帮忙看看这是什么东东?

快乐之星 离线

帖子:855
粉蓝豆:35
经验:1881
注册时间:2009-06-08
加关注  |  发消息
楼主 发表于 2012-01-13 12:14|举报|关注(1)
浏览排序[ 顺序 逆序 楼主 支持 精彩 ]  快捷回复
  • 急急急!请老师们帮忙看看这是什么东东?图1
    图1
  • 急急急!请老师们帮忙看看这是什么东东?图2
    图2
  • 急急急!请老师们帮忙看看这是什么东东?图3
    图3
  • 急急急!请老师们帮忙看看这是什么东东?图4
    图4
  • 急急急!请老师们帮忙看看这是什么东东?图5
    图5
  • 急急急!请老师们帮忙看看这是什么东东?图6
    图6
  • 急急急!请老师们帮忙看看这是什么东东?图7
    图7
  • 急急急!请老师们帮忙看看这是什么东东?图8
    图8
  • 急急急!请老师们帮忙看看这是什么东东?图9
    图9
  • 急急急!请老师们帮忙看看这是什么东东?图10
    图10
  • 急急急!请老师们帮忙看看这是什么东东?图11
    图11
  • 急急急!请老师们帮忙看看这是什么东东?图12
    图12
  • 急急急!请老师们帮忙看看这是什么东东?图13
    图13
  • 急急急!请老师们帮忙看看这是什么东东?图14
    图14
  • 急急急!请老师们帮忙看看这是什么东东?图15
    图15
  • 急急急!请老师们帮忙看看这是什么东东?图16
    图16
  • 急急急!请老师们帮忙看看这是什么东东?图17
    图17
  • 急急急!请老师们帮忙看看这是什么东东?图18
    图18
  • 急急急!请老师们帮忙看看这是什么东东?图19
    图19

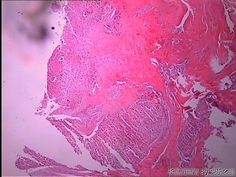
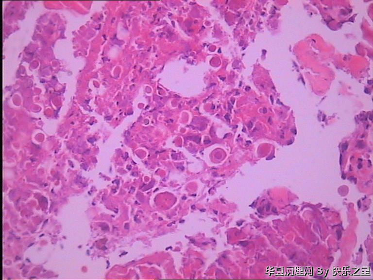
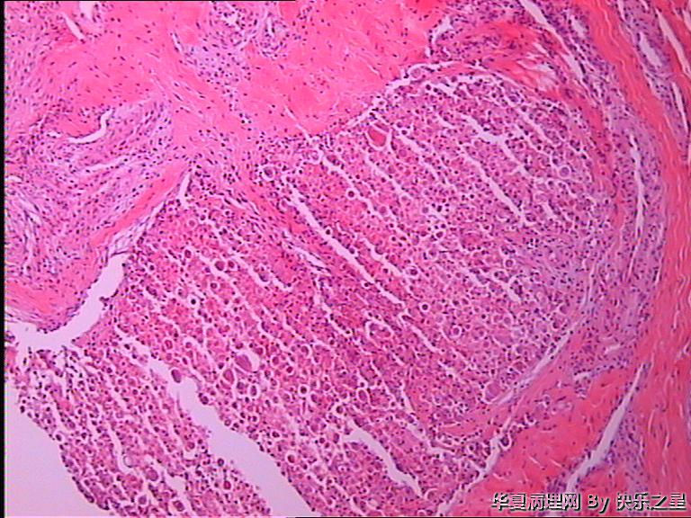
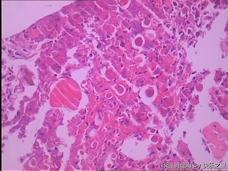
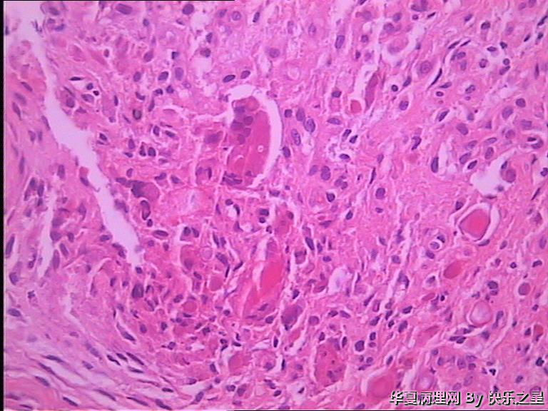
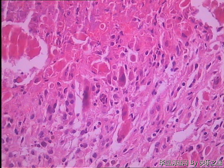
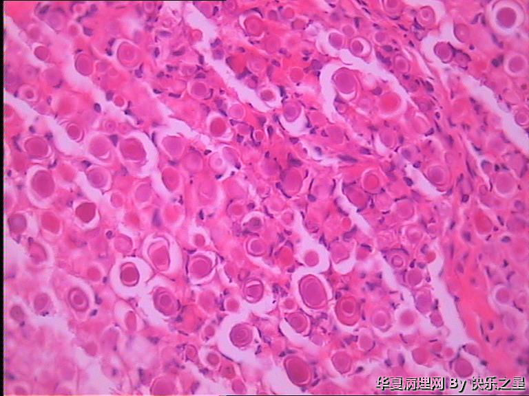
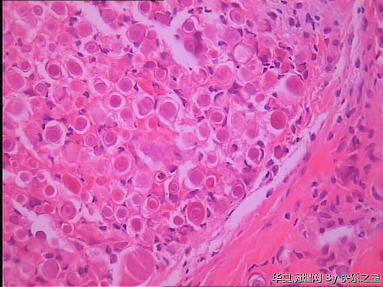
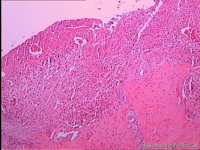
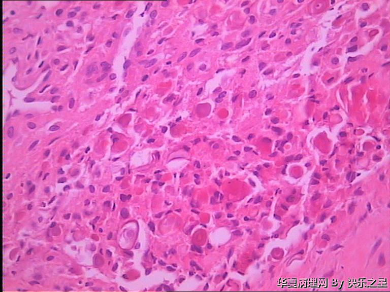
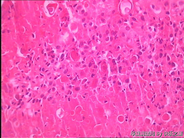
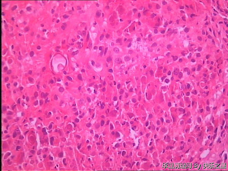
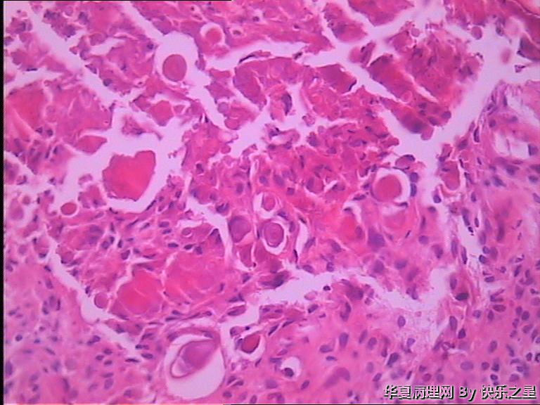
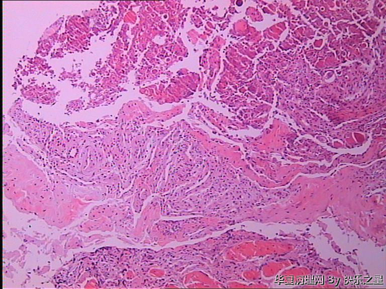
 女,32岁,右足第一趾骨头疼痛5天。

标签:
0
signature
把握今天,展望明天
添加参考诊断
×参考诊断
  

flj20092049 离线

帖子:212
粉蓝豆:9
经验:470
注册时间:2011-11-23
加关注  |  发消息
1 楼    发表于2012-01-13 13:56:22举报|引用
返回顶部 | 快捷回复

是肛管吗?像传染性软疣~~~期待结论~~~

0
回复
signature

诺贝儿 离线

帖子:1045
粉蓝豆:0
经验:1856
注册时间:2007-10-12
加关注  |  发消息
2 楼    发表于2012-01-13 15:14:12举报|引用
返回顶部 | 快捷回复

不是钢管,是脚指头。

肉芽肿性炎伴砂粒体形成。可能为深部真菌感染引起。异物性肉芽肿和腱鞘巨细胞瘤也可以这样。总之是良性瘤样病变。

 

0
回复
signature
人如其名

zxl123456 离线

帖子:255
粉蓝豆:15
经验:548
注册时间:2010-07-30
加关注  |  发消息
3 楼    发表于2012-01-13 15:20:23举报|引用
返回顶部 | 快捷回复

痛风石?

 

0
回复

qiyan_pathology 离线

帖子:12
粉蓝豆:3
经验:18
注册时间:2010-07-13
加关注  |  发消息
4 楼    发表于2012-01-13 15:42:32举报|引用
返回顶部 | 快捷回复

感染性病变,良性。

0
回复
回复:4 阅读:2817
共1页/4条首页上一页1下一页尾页
【免责声明】讨论内容仅作学术交流之用,不作为诊疗依据,由此而引起的法律问题作者及本站不承担任何责任。
快速回复
进入高级回复
您最多可输入10000个汉字,按 "Ctrl" + "Enter" 直接发送
搜索回复/乘电梯 ×
按内容
按会员
乘电梯
合作伙伴
友情链接