共1页/9条首页上一页1下一页尾页
回复:9 阅读:2960
请教!胸水。

wolflovepig 离线

帖子:675
粉蓝豆:55
经验:9062
注册时间:2007-08-25
加关注  |  发消息
楼主 发表于 2012-01-11 08:53|举报|关注(0)
浏览排序[ 顺序 逆序 楼主 支持 精彩 ]  快捷回复

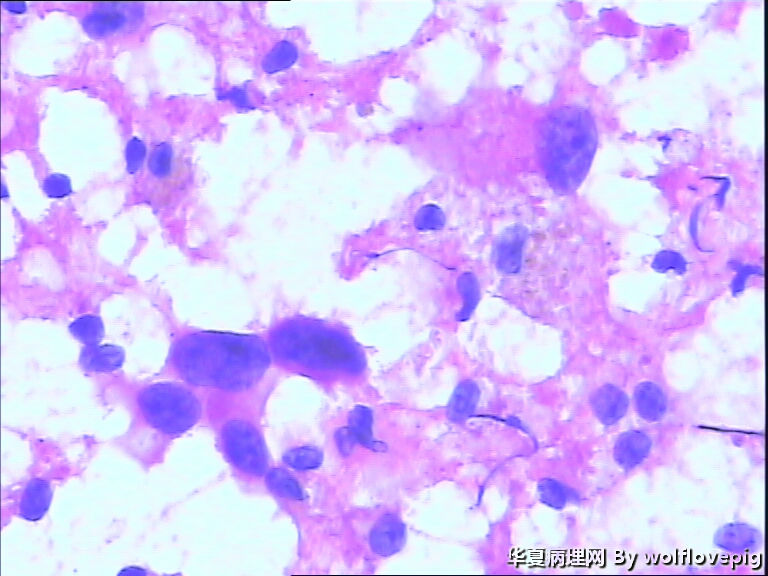
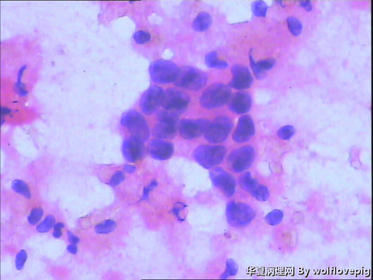
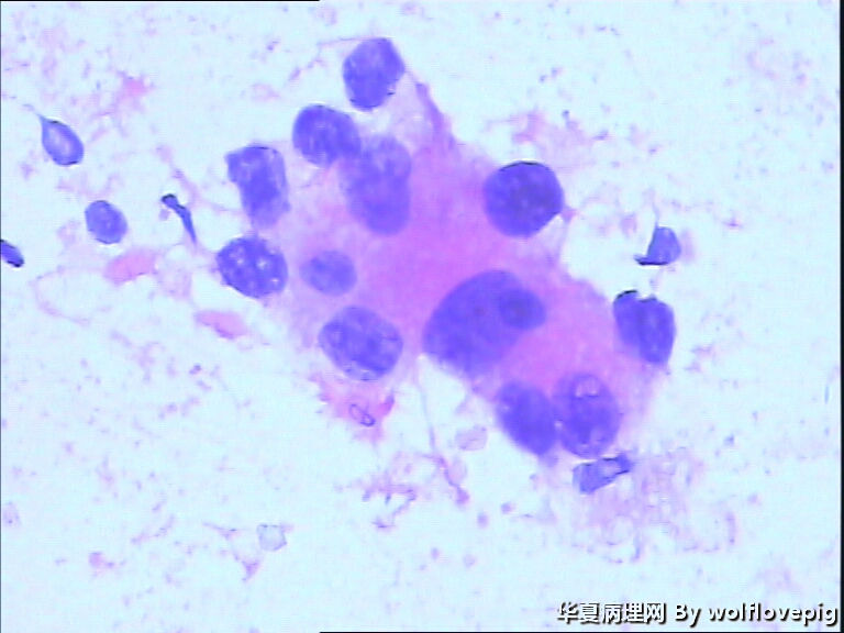
 女,72y,咳嗽、气紧半年。胸水呈酱油色。

  • 请教!胸水。图1
    图1
  • 请教!胸水。图2
    图2
  • 请教!胸水。图3
    图3
  • 请教!胸水。图4
    图4
  • 请教!胸水。图5
    图5
  • 请教!胸水。图6
    图6
  • 请教!胸水。图7
    图7
  • 请教!胸水。图8
    图8
  • 请教!胸水。图9
    图9
标签:
0
添加参考诊断
×参考诊断
  

zhouzhenyou 离线

帖子:1643
粉蓝豆:141
经验:2720
注册时间:2008-11-25
加关注  |  发消息
4 楼    发表于2012-01-11 19:59:05举报|引用
返回顶部 | 快捷回复

查见少量异型细胞,建议再送检。

1

lw671
回复

艾佳 离线

帖子:63
粉蓝豆:29
经验:396
注册时间:2009-11-27
加关注  |  发消息
2 楼    发表于2012-01-11 09:03:46举报|引用
返回顶部 | 快捷回复

查见少量中度核异质细胞,鳞癌待排。

1

生命起源
回复

生命起源 离线

帖子:149
粉蓝豆:2
经验:181
注册时间:2011-03-09
加关注  |  发消息
9 楼    发表于2012-01-12 09:32:05举报|引用
返回顶部 | 快捷回复
引用 2 楼 艾佳 在 2012-01-11 09:03:46 的发言:

查见少量中度核异质细胞,鳞癌待排。


0
回复

gwls0008 离线

帖子:1365
粉蓝豆:5
经验:1465
注册时间:2008-08-24
加关注  |  发消息
5 楼    发表于2012-01-11 20:12:05举报|引用
返回顶部 | 快捷回复

考虑腺癌

0
回复

伊恋佳人 离线

帖子:1258
粉蓝豆:505
经验:1714
注册时间:2010-03-13
加关注  |  发消息
6 楼    发表于2012-01-11 20:25:44举报|引用
返回顶部 | 快捷回复

核异质细胞伴退变。

0
回复

flj20092049 离线

帖子:212
粉蓝豆:9
经验:470
注册时间:2011-11-23
加关注  |  发消息
1 楼    发表于2012-01-11 08:55:39举报|引用
返回顶部 | 快捷回复

细胞稍有异型,细胞退变严重,不具备诊断条件,建议再送!

0
回复
signature

魔眼 离线

帖子:381
粉蓝豆:9
经验:451
注册时间:2008-05-06
加关注  |  发消息
7 楼    发表于2012-01-11 20:56:14举报|引用
返回顶部 | 快捷回复

查见少量异型细胞,建议再送检。

0
回复
signature
学习,学习,再学习!

sea 离线

帖子:26
粉蓝豆:1
经验:34
注册时间:2012-01-09
加关注  |  发消息
8 楼    发表于2012-01-11 21:07:46举报|引用
返回顶部 | 快捷回复

问临床肺部有没有肿物,如有,可考虑为癌,磷癌的可能性大。要是没有,

可查见少量异型细胞,建议再送检。

0
回复

左右逢源 离线

帖子:2052
粉蓝豆:68
经验:2526
注册时间:2009-12-23
加关注  |  发消息
3 楼    发表于2012-01-11 09:13:11举报|引用
返回顶部 | 快捷回复

轻-中度核异质细胞

0
回复
signature
不憧憬明天,不留念昨天,只把握今天。
回复:9 阅读:2960
共1页/9条首页上一页1下一页尾页
【免责声明】讨论内容仅作学术交流之用,不作为诊疗依据,由此而引起的法律问题作者及本站不承担任何责任。
快速回复
进入高级回复
您最多可输入10000个汉字,按 "Ctrl" + "Enter" 直接发送
搜索回复/乘电梯 ×
按内容
按会员
乘电梯
合作伙伴
友情链接