共1页/19条首页上一页1下一页尾页
回复:19 阅读:3367
左颊粘膜活检

泉水叮咚响 离线

帖子:2163
粉蓝豆:113
经验:11663
注册时间:2010-12-30
加关注  |  发消息
楼主 发表于 2012-01-09 15:22|举报|关注(2)
浏览排序[ 顺序 逆序 楼主 支持 精彩 ]  快捷回复
  • 左颊粘膜活检图1
    图1
  • 左颊粘膜活检图2
    图2
  • 左颊粘膜活检图3
    图3
  • 左颊粘膜活检图4
    图4
  • 左颊粘膜活检图5
    图5
  • 左颊粘膜活检图6
    图6
  • 左颊粘膜活检图7
    图7
  • 左颊粘膜活检图8
    图8
  • 左颊粘膜活检图9
    图9
  • 左颊粘膜活检图10
    图10
  • 左颊粘膜活检图11
    图11
  • 左颊粘膜活检图12
    图12
  • 左颊粘膜活检图13
    图13
  • 左颊粘膜活检图14
    图14
  • 左颊粘膜活检图15
    图15
  • 左颊粘膜活检图16
    图16
  • 左颊粘膜活检图17
    图17

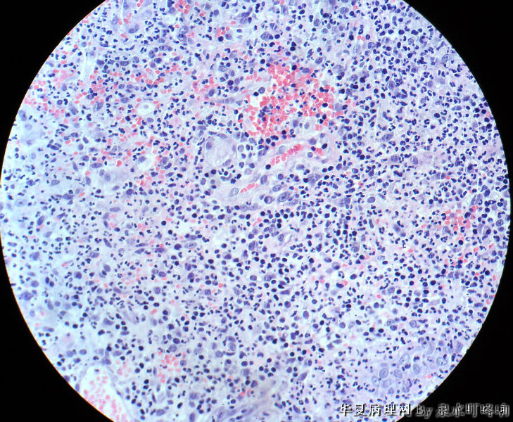
 120071,男,64岁,左颊粘膜糜烂,面积约2×1.5厘米。

标签:
0
signature
刀不磨会生锈,人不学习会落后。
添加参考诊断
×参考诊断
  

病理020 离线

帖子:1344
粉蓝豆:5612
经验:1814
注册时间:2011-10-02
加关注  |  发消息
1 楼    发表于2012-01-09 16:08:07举报|引用
返回顶部 | 快捷回复

中性粒细胞很多,血管增生伴内皮细胞增生,炎症性病变。

0
回复
signature
邓学田

fashun 离线

帖子:416
粉蓝豆:28
经验:1257
注册时间:2006-10-10
加关注  |  发消息
2 楼    发表于2012-01-09 16:10:56举报|引用
返回顶部 | 快捷回复

化脓性炎症

0
回复

xclbljys 离线

帖子:5253
粉蓝豆:224
经验:7005
注册时间:2008-11-21
加关注  |  发消息
3 楼    发表于2012-01-09 18:35:23举报|引用
返回顶部 | 快捷回复

主要考虑炎症性病变,但图17确实有些异型的大细胞,要通过IHC确定是否肿胀的血管内皮细胞。

1

dan1616
回复
signature
许春雷

wcq321 离线

帖子:667
粉蓝豆:36
经验:1163
注册时间:2008-06-27
加关注  |  发消息
4 楼    发表于2012-01-09 19:15:08举报|引用
返回顶部 | 快捷回复

 增生毛细血管、纤维母细胞及急慢性炎细胞,血管垂直排列,炎性肉芽组织

0
回复

一了 离线

帖子:2138
粉蓝豆:64
经验:2288
注册时间:2009-03-31
加关注  |  发消息
5 楼    发表于2012-01-09 20:05:01举报|引用
返回顶部 | 快捷回复

炎性肉芽组织。

0
回复

minerhaoxue 离线

帖子:142
粉蓝豆:20
经验:253
注册时间:2009-09-23
加关注  |  发消息
6 楼    发表于2012-01-09 21:11:51举报|引用
返回顶部 | 快捷回复

除了15图,都像肉芽组织,但15图明显有鳞状上皮啊,期待免疫组化标记一下!难道是淋巴上皮癌?

1

清秋
回复

sea 离线

帖子:26
粉蓝豆:1
经验:34
注册时间:2012-01-09
加关注  |  发消息
7 楼    发表于2012-01-09 22:00:37举报|引用
返回顶部 | 快捷回复

整张片子像炎症性病变,血管内皮增生明显,如不放心可做免疫组化标记一下。

0
回复

zhangyajing 离线

帖子:500
粉蓝豆:4
经验:610
注册时间:2008-03-23
加关注  |  发消息
8 楼    发表于2012-01-09 23:41:40举报|引用
返回顶部 | 快捷回复

考虑炎症性病变

0
回复

laowon 离线

帖子:438
粉蓝豆:12
经验:1886
注册时间:2010-07-31
加关注  |  发消息
9 楼    发表于2012-01-10 08:54:30举报|引用
返回顶部 | 快捷回复

炎症性病变,纤维母细胞、血管内皮细胞增生。

0
回复

huangchuansheng 离线

帖子:295
粉蓝豆:2674
经验:830
注册时间:2006-09-27
加关注  |  发消息
10 楼    发表于2012-01-10 09:40:35举报|引用
返回顶部 | 快捷回复

整张片子像炎症性病变,血管内皮增生明显,但要做免疫组化标记除外癌。

0
回复
signature
病理人

阿娇 离线

帖子:2054
粉蓝豆:3320
经验:2384
注册时间:2008-05-31
加关注  |  发消息
11 楼    发表于2012-01-10 09:44:51举报|引用
返回顶部 | 快捷回复

黏膜急性炎症。

0
回复

夏日 离线

帖子:1057
粉蓝豆:45
经验:1529
注册时间:2011-04-05
加关注  |  发消息
12 楼    发表于2012-01-10 10:47:39举报|引用
返回顶部 | 快捷回复

大量粒细胞侵润,考虑急性炎症,肉芽组织形成。

0
回复

周广民 离线

帖子:134
粉蓝豆:6
经验:153
注册时间:2011-03-03
加关注  |  发消息
13 楼    发表于2012-01-10 11:32:36举报|引用
返回顶部 | 快捷回复
引用 1 楼 病理020 在 2012-01-09 16:08:07 的发言:

中性粒细胞很多,血管增生伴内皮细胞增生,炎症性病变。


0
回复

wangdingding 离线

帖子:1474
粉蓝豆:98
经验:6042
注册时间:2006-10-19
加关注  |  发消息
14 楼    发表于2012-01-12 09:44:23举报|引用
返回顶部 | 快捷回复

背景是炎性组织,但其内确实有大的异型细胞,不能排除恶性肿瘤,最好标记一下。

0
回复

广秀 离线

帖子:2711
粉蓝豆:1246
经验:3502
注册时间:2009-09-15
加关注  |  发消息
15 楼    发表于2012-01-13 06:53:39举报|引用
返回顶部 | 快捷回复

炎症

背景多量中性粒细胞浸润,淡染的毛细血管内皮及纤维母细胞增生,可见残存鳞状上皮脚伸长。

0
回复
signature
人淡如菊,心素如简。

徐泉 离线

帖子:90
粉蓝豆:2
经验:116
注册时间:2010-11-21
加关注  |  发消息
16 楼    发表于2012-01-26 22:52:51举报|引用
返回顶部 | 快捷回复

整张片子像炎症性病变,但异型细胞明显,要做免疫组化标记除外癌

0
回复

刀尖上的舞者 离线

帖子:1763
粉蓝豆:87
经验:3356
注册时间:2010-12-14
加关注  |  发消息
17 楼    发表于2012-01-30 11:16:18举报|引用
返回顶部 | 快捷回复
引用 13 楼 周广民 在 2012-01-10 11:32:36 的发言:
引用 1 楼 病理020 在 2012-01-09 16:08:07 的发言:

中性粒细胞很多,血管增生伴内皮细胞增生,炎症性病变。



0
回复

zhangyajing 离线

帖子:500
粉蓝豆:4
经验:610
注册时间:2008-03-23
加关注  |  发消息
18 楼    发表于2012-01-31 21:06:00举报|引用
返回顶部 | 快捷回复

炎症性病变

0
回复

hys_603 离线

帖子:716
粉蓝豆:1
经验:988
注册时间:2008-06-18
加关注  |  发消息
19 楼    发表于2012-02-06 14:07:48举报|引用
返回顶部 | 快捷回复

考虑炎症性病变

0
回复
回复:19 阅读:3367
共1页/19条首页上一页1下一页尾页
【免责声明】讨论内容仅作学术交流之用,不作为诊疗依据,由此而引起的法律问题作者及本站不承担任何责任。
快速回复
进入高级回复
您最多可输入10000个汉字,按 "Ctrl" + "Enter" 直接发送
搜索回复/乘电梯 ×
按内容
按会员
乘电梯
合作伙伴
友情链接