共1页/16条首页上一页1下一页尾页
回复:16 阅读:3662
额叶肿瘤

weixiao 离线

帖子:90
粉蓝豆:1061
经验:328
注册时间:2011-12-13
加关注  |  发消息
楼主 发表于 2012-01-08 23:08|举报|关注(0)
浏览排序[ 顺序 逆序 楼主 支持 精彩 ]  快捷回复

 

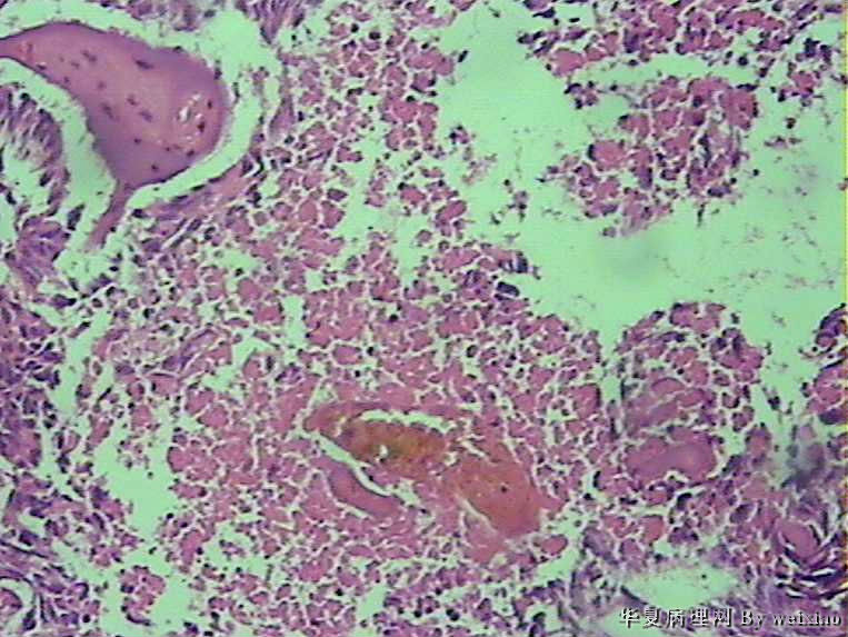
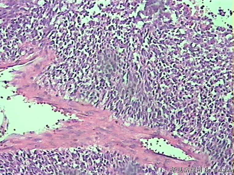
病史:男45岁,头痛2个月,手术所见:额叶占位性病变,与周围正常脑组  织的界限不清。

大体:灰白色碎组织一堆,质软,大小:2.5*1.8*1.3cm

  • 额叶肿瘤图1
    图1
  • 额叶肿瘤图2
    图2
  • 额叶肿瘤图3
    图3
  • 额叶肿瘤图4
    图4
  • 额叶肿瘤图5
    图5
  • 额叶肿瘤图6
    图6
  • 额叶肿瘤图7
    图7
  • 额叶肿瘤图8
    图8
  • 额叶肿瘤图9
    图9
  • 额叶肿瘤图10
    图10
  • 额叶肿瘤图11
    图11
  • 额叶肿瘤图12
    图12
  • 额叶肿瘤图13
    图13
  • 额叶肿瘤图14
    图14
标签:颅内肿瘤
本帖最后由 weixiao 于 2012-02-07 23:41:48 编辑
0
×参考诊断
胶质母细胞瘤

hxxtl 离线

帖子:709
粉蓝豆:565
经验:3217
注册时间:2009-01-07
加关注  |  发消息
1 楼    发表于2012-01-09 10:35:43举报|引用
返回顶部 | 快捷回复

请提供病人一般情况和病史。

0
回复
signature
集腋成裘 厚积薄发

水若寒 离线

帖子:1019
粉蓝豆:971
经验:1383
注册时间:2009-09-23
加关注  |  发消息
2 楼    发表于2012-01-09 12:35:33举报|引用
返回顶部 | 快捷回复

提供病史?发病部位?

不同部位考虑的肿瘤也不一样。

坏死+细胞密度+异性+围绕血管现象。

如果脑膜上皮来源考虑??

如果星形胶质细胞来源考虑??

0
回复

学浅 离线

帖子:2053
粉蓝豆:79
经验:3125
注册时间:2008-06-01
加关注  |  发消息
3 楼    发表于2012-01-09 16:08:04举报|引用
返回顶部 | 快捷回复

为楼主顶一下

考虑血管外皮瘤

0
回复

xclbljys 离线

帖子:5253
粉蓝豆:224
经验:7005
注册时间:2008-11-21
加关注  |  发消息
4 楼    发表于2012-01-09 18:40:30举报|引用
返回顶部 | 快捷回复

脑膜瘤,查看核分裂和肿瘤侵犯程度。

0
回复
signature
许春雷

竹子 离线

帖子:56
粉蓝豆:33
经验:643
注册时间:2009-03-09
加关注  |  发消息
5 楼    发表于2012-01-09 22:31:36举报|引用
返回顶部 | 快捷回复

期待结果

0
回复

周广民 离线

帖子:134
粉蓝豆:6
经验:153
注册时间:2011-03-03
加关注  |  发消息
6 楼    发表于2012-01-10 11:41:38举报|引用
返回顶部 | 快捷回复

不典型脑膜瘤

0
回复

202PL 离线

帖子:850
粉蓝豆:127
经验:1050
注册时间:2010-06-19
加关注  |  发消息
7 楼    发表于2012-01-10 22:45:49举报|引用
返回顶部 | 快捷回复

血管外皮瘤,SFT.

0
回复

fsyyy123 离线

帖子:464
粉蓝豆:467
经验:919
注册时间:2009-09-22
加关注  |  发消息
8 楼    发表于2012-01-10 22:49:02举报|引用
返回顶部 | 快捷回复

考虑髓母细胞瘤

 

0
回复

QQ小丽 离线

帖子:65
粉蓝豆:213
经验:232
注册时间:2011-07-30
加关注  |  发消息
9 楼    发表于2012-01-10 23:19:57举报|引用
返回顶部 | 快捷回复

期待结果。

0
回复

weixiao 离线

帖子:90
粉蓝豆:1061
经验:328
注册时间:2011-12-13
加关注  |  发消息
10 楼    发表于2012-01-18 22:03:35举报|引用
返回顶部 | 快捷回复

会诊胶质母细胞瘤

0
回复

亚梦 离线

帖子:239
粉蓝豆:12
经验:275
注册时间:2010-09-26
加关注  |  发消息
11 楼    发表于2012-01-18 22:55:06举报|引用
返回顶部 | 快捷回复

请提供影像学资料

0
回复

fyshan 离线

帖子:910
粉蓝豆:0
经验:968
注册时间:2006-10-04
加关注  |  发消息
12 楼    发表于2012-01-19 21:40:50举报|引用
返回顶部 | 快捷回复

The tumor cells are kind of spindle, need to rule out gliosarcoma, you need to check MRI films, do immunostain for GFAP, and vimentin. The vascular proliferation (VP) supports GBM.

0
回复

huisheng97 离线

帖子:263
粉蓝豆:22
经验:285
注册时间:2009-02-13
加关注  |  发消息
13 楼    发表于2012-01-23 08:00:01举报|引用
返回顶部 | 快捷回复

答案是什么呢?学习了!

0
回复

fyshan 离线

帖子:910
粉蓝豆:0
经验:968
注册时间:2006-10-04
加关注  |  发消息
14 楼    发表于2012-01-26 00:16:51举报|引用
返回顶部 | 快捷回复

Happy Chinese new year!!

0
回复

weixiao 离线

帖子:90
粉蓝豆:1061
经验:328
注册时间:2011-12-13
加关注  |  发消息
15 楼    发表于2012-01-30 22:23:56举报|引用
返回顶部 | 快捷回复
本帖最后由 weixiao 于 2012-02-24 19:35:11 编辑

 

 

 

0
回复

何生 离线

帖子:1281
粉蓝豆:68
经验:6304
注册时间:2009-04-18
加关注  |  发消息
16 楼    发表于2012-02-01 08:29:25举报|引用
返回顶部 | 快捷回复

肿瘤细胞呈梭形,血管增生明显,有坏死,符合胶质母。

0
回复
signature
何生
回复:16 阅读:3662
共1页/16条首页上一页1下一页尾页
【免责声明】讨论内容仅作学术交流之用,不作为诊疗依据,由此而引起的法律问题作者及本站不承担任何责任。
快速回复
进入高级回复
您最多可输入10000个汉字,按 "Ctrl" + "Enter" 直接发送
搜索回复/乘电梯 ×
按内容
按会员
乘电梯
合作伙伴
友情链接