共1页/16条首页上一页1下一页尾页
回复:16 阅读:3305
后枕部肿物

泉水叮咚响 离线

帖子:2163
粉蓝豆:113
经验:11663
注册时间:2010-12-30
加关注  |  发消息
楼主 发表于 2012-01-07 11:11|举报|关注(0)
浏览排序[ 顺序 逆序 楼主 支持 精彩 ]  快捷回复
  • 后枕部肿物图1
    图1
  • 后枕部肿物图2
    图2
  • 后枕部肿物图3
    图3
  • 后枕部肿物图4
    图4
  • 后枕部肿物图5
    图5
  • 后枕部肿物图6
    图6
  • 后枕部肿物图7
    图7
  • 后枕部肿物图8
    图8
  • 后枕部肿物图9
    图9
  • 后枕部肿物图10
    图10
  • 后枕部肿物图11
    图11
  • 后枕部肿物图12
    图12
  • 后枕部肿物图13
    图13
  • 后枕部肿物图14
    图14
  • 后枕部肿物图15
    图15
  • 后枕部肿物图16
    图16

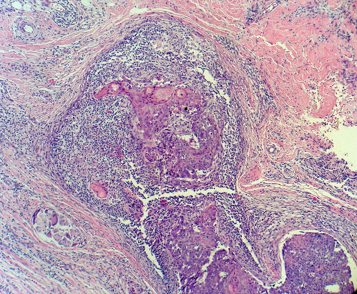
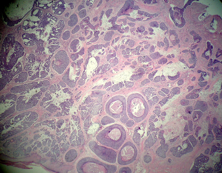
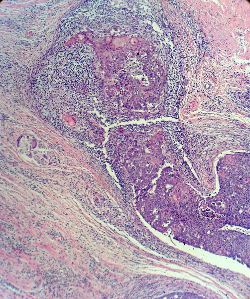
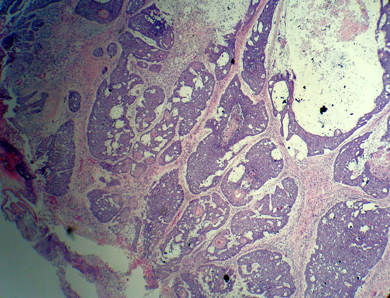
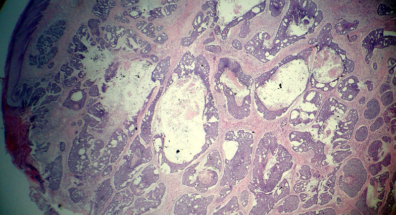
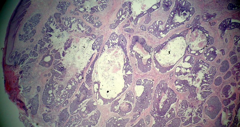
 男,49岁,后枕部肿物3年,偶有破溃出血。
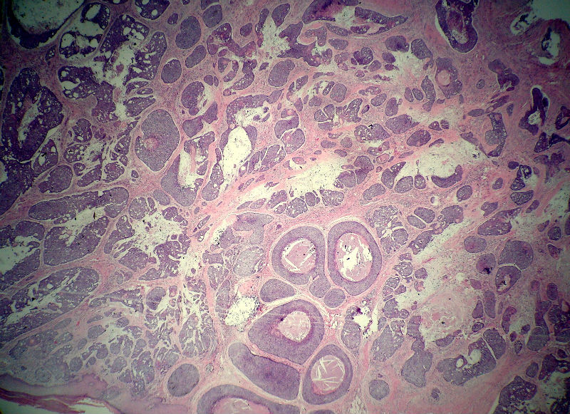
大体:皮肤半球形隆起,大小约2.3×2厘米,高出皮表0.8厘米,切面灰白,质地细腻。

标签:
0
signature
刀不磨会生锈,人不学习会落后。
添加参考诊断
×参考诊断
  

东北鱼 离线

帖子:442
粉蓝豆:212
经验:538
注册时间:2011-11-06
加关注  |  发消息
1 楼    发表于2012-01-07 12:54:50举报|引用
返回顶部 | 快捷回复

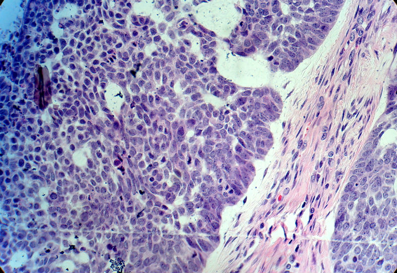
鳞状细胞癌,基底细胞亚型

1

天高任鸟..
回复
signature
不经一番寒彻骨,哪得梅花扑鼻香!

水若寒 离线

帖子:1019
粉蓝豆:971
经验:1383
注册时间:2009-09-23
加关注  |  发消息
2 楼    发表于2012-01-07 13:39:07举报|引用
返回顶部 | 快捷回复

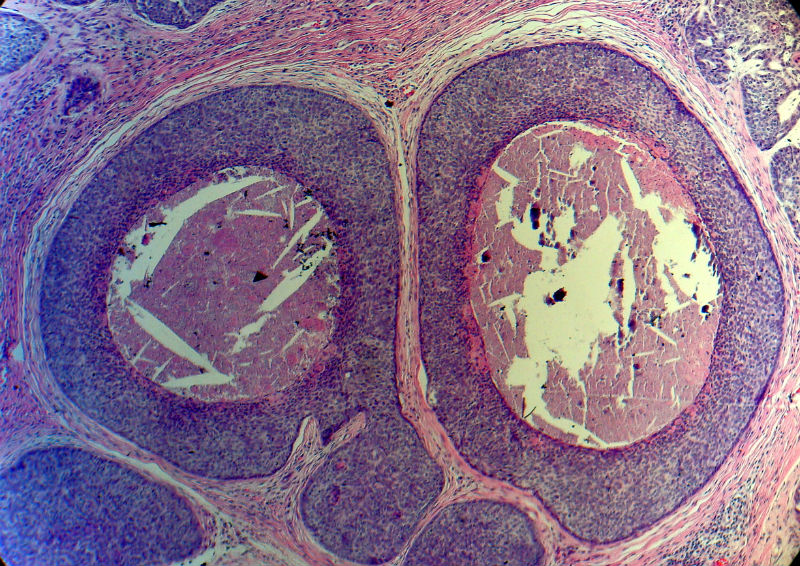
基地细胞癌。粉刺样坏死型。

0
回复

Danrs 离线

帖子:1445
粉蓝豆:176
经验:3050
注册时间:2008-12-09
加关注  |  发消息
3 楼    发表于2012-01-07 16:13:24举报|引用
返回顶部 | 快捷回复

基底细胞癌。

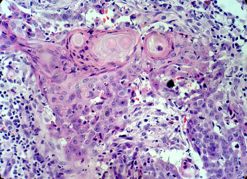
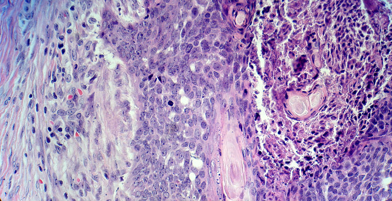
似乎既有腺样结构,也有角化珠形成,还有细胞团内的粉刺样坏死。

0
回复

夏日 离线

帖子:1057
粉蓝豆:45
经验:1529
注册时间:2011-04-05
加关注  |  发消息
4 楼    发表于2012-01-07 16:23:17举报|引用
返回顶部 | 快捷回复

基地细胞癌。粉刺样坏死型

0
回复

brz0001 离线

帖子:3035
粉蓝豆:97
经验:3058
注册时间:2008-05-05
加关注  |  发消息
5 楼    发表于2012-01-07 16:34:09举报|引用
返回顶部 | 快捷回复

考虑基底细胞样鳞癌

0
回复

羽珩 离线

帖子:797
粉蓝豆:25
经验:1208
注册时间:2010-11-24
加关注  |  发消息
6 楼    发表于2012-01-07 18:09:12举报|引用
返回顶部 | 快捷回复

基底细胞样鳞状细胞癌。

0
回复
signature

炎相羽珹

zhangyajing 离线

帖子:500
粉蓝豆:4
经验:610
注册时间:2008-03-23
加关注  |  发消息
7 楼    发表于2012-01-07 18:17:13举报|引用
返回顶部 | 快捷回复

基底细胞样鳞状细胞癌。

0
回复

一了 离线

帖子:2138
粉蓝豆:64
经验:2288
注册时间:2009-03-31
加关注  |  发消息
8 楼    发表于2012-01-07 18:52:39举报|引用
返回顶部 | 快捷回复

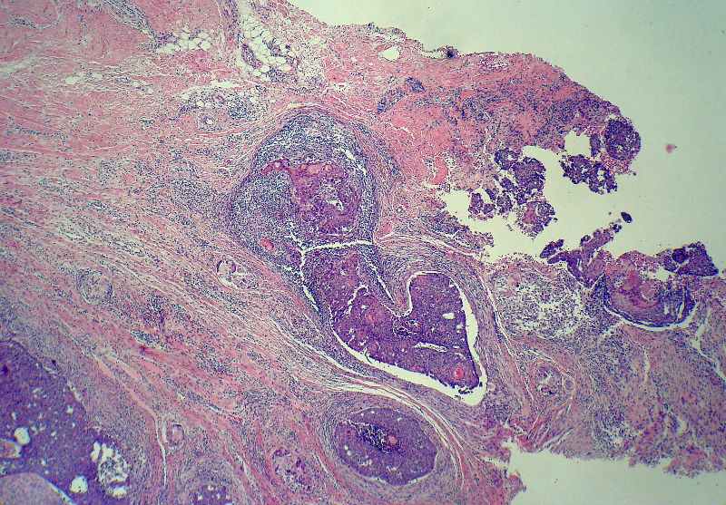
有坏死、囊肿、钙化及胆固醇样裂隙等结构

考虑外毛根鞘肿瘤,局部癌变。

0
回复

wcq321 离线

帖子:667
粉蓝豆:36
经验:1163
注册时间:2008-06-27
加关注  |  发消息
9 楼    发表于2012-01-07 18:55:34举报|引用
返回顶部 | 快捷回复
本帖最后由 wcq321 于 2012-01-07 18:55:57 编辑

毛源性肿瘤恶变

0
回复

一棵小草 离线

帖子:5101
粉蓝豆:12
经验:7184
注册时间:2008-07-07
加关注  |  发消息
10 楼    发表于2012-01-07 21:15:02举报|引用
返回顶部 | 快捷回复

考虑基底细胞鳞癌。

0
回复

伊恋佳人 离线

帖子:1258
粉蓝豆:505
经验:1714
注册时间:2010-03-13
加关注  |  发消息
11 楼    发表于2012-01-07 22:16:08举报|引用
返回顶部 | 快捷回复

考虑基底细胞鳞癌。

0
回复

孜孜不倦 离线

帖子:232
粉蓝豆:437
经验:936
注册时间:2011-03-29
加关注  |  发消息
12 楼    发表于2012-01-07 22:38:39举报|引用
返回顶部 | 快捷回复

基底细胞癌。

0
回复

cissy 离线

帖子:250
粉蓝豆:14
经验:322
注册时间:2010-12-19
加关注  |  发消息
13 楼    发表于2012-01-08 10:43:10举报|引用
返回顶部 | 快捷回复

考虑基底细胞样鳞癌

0
回复

灰太狼 离线

帖子:34
粉蓝豆:148
经验:38
注册时间:2010-10-17
加关注  |  发消息
14 楼    发表于2012-01-08 10:52:09举报|引用
返回顶部 | 快捷回复

基底细胞样鳞状细胞癌。

0
回复

乌之语 离线

帖子:268
粉蓝豆:473
经验:290
注册时间:2011-08-04
加关注  |  发消息
15 楼    发表于2012-01-08 11:29:39举报|引用
返回顶部 | 快捷回复

大部分区域看着象基底细胞癌,后面几张(11-14)看着象是鳞癌。综合考虑基底细胞样鳞癌。

0
回复

mx730129 离线

帖子:123
粉蓝豆:474
经验:1677
注册时间:2009-09-08
加关注  |  发消息
16 楼    发表于2012-01-09 11:09:22举报|引用
返回顶部 | 快捷回复

基底细胞样鳞癌

0
回复
回复:16 阅读:3305
共1页/16条首页上一页1下一页尾页
【免责声明】讨论内容仅作学术交流之用,不作为诊疗依据,由此而引起的法律问题作者及本站不承担任何责任。
快速回复
进入高级回复
您最多可输入10000个汉字,按 "Ctrl" + "Enter" 直接发送
搜索回复/乘电梯 ×
按内容
按会员
乘电梯
合作伙伴
友情链接