共2页/24条首页上一页12下一页尾页
回复:24 阅读:9193
这样的细胞该怎么报

gsl521zxj 离线

帖子:55
粉蓝豆:92
经验:108
注册时间:2011-11-09
加关注  |  发消息
楼主 发表于 2012-01-06 19:21|举报|关注(0)
浏览排序[ 顺序 逆序 楼主 支持 精彩 ]  快捷回复

 

  • 这样的细胞该怎么报图1
    图1
  • 这样的细胞该怎么报图2
    图2
  • 这样的细胞该怎么报图3
    图3
  • 这样的细胞该怎么报图4
    图4
  • 这样的细胞该怎么报图5
    图5
  • 这样的细胞该怎么报图6
    图6
  • 这样的细胞该怎么报图7
    图7
  • 这样的细胞该怎么报图8
    图8
  • 这样的细胞该怎么报图9
    图9
  • 这样的细胞该怎么报图10
    图10
  • 这样的细胞该怎么报图11
    图11
  • 这样的细胞该怎么报图12
    图12
 
标签:
0
signature
三人行,必有我师。
添加参考诊断
×参考诊断
  

wxfan 离线

帖子:315
粉蓝豆:22
经验:1441
注册时间:2010-11-26
加关注  |  发消息
24 楼    发表于2015-10-05 16:31:05举报|引用
返回顶部 | 快捷回复

 HSIL,疑SCC

0
回复

qingxincao 离线

帖子:484
粉蓝豆:59
经验:5282
注册时间:2009-09-14
加关注  |  发消息
23 楼    发表于2012-07-24 13:43:39举报|引用
返回顶部 | 快捷回复

SCC

0
回复

常乐无限 离线

帖子:768
粉蓝豆:23
经验:833
注册时间:2012-07-02
加关注  |  发消息
22 楼    发表于2012-07-24 11:09:51举报|引用
返回顶部 | 快捷回复

HSIL,不排除SCC的可能性。

0
回复
signature
从微观世界寻求真理,是一件快乐的事情!

时光 离线

帖子:495
粉蓝豆:151
经验:921
注册时间:2011-05-27
加关注  |  发消息
21 楼    发表于2012-02-23 22:05:58举报|引用
返回顶部 | 快捷回复

SCC

0
回复

大明湖小荷 离线

帖子:100
粉蓝豆:8
经验:2557
注册时间:2011-08-20
加关注  |  发消息
20 楼    发表于2012-02-14 22:07:50举报|引用
返回顶部 | 快捷回复

HSIL 不排除SCC

0
回复

aihuaxia 离线

帖子:102
粉蓝豆:20
经验:534
注册时间:2007-10-23
加关注  |  发消息
19 楼    发表于2012-02-13 19:43:07举报|引用
返回顶部 | 快捷回复

HSIL不除外SCC

0
回复

yzh1234 离线

帖子:5
粉蓝豆:337
经验:1140
注册时间:2011-10-05
加关注  |  发消息
18 楼    发表于2012-02-12 22:19:15举报|引用
返回顶部 | 快捷回复

HSIL

 

0
回复
signature
杨朝晖

200406 离线

帖子:1385
粉蓝豆:145
经验:2735
注册时间:2011-08-08
加关注  |  发消息
17 楼    发表于2012-02-12 17:36:29举报|引用
返回顶部 | 快捷回复

HSIL

0
回复

guoyunquan 离线

帖子:181
粉蓝豆:77
经验:290
注册时间:2010-08-24
加关注  |  发消息
16 楼    发表于2012-02-12 01:19:38举报|引用
返回顶部 | 快捷回复

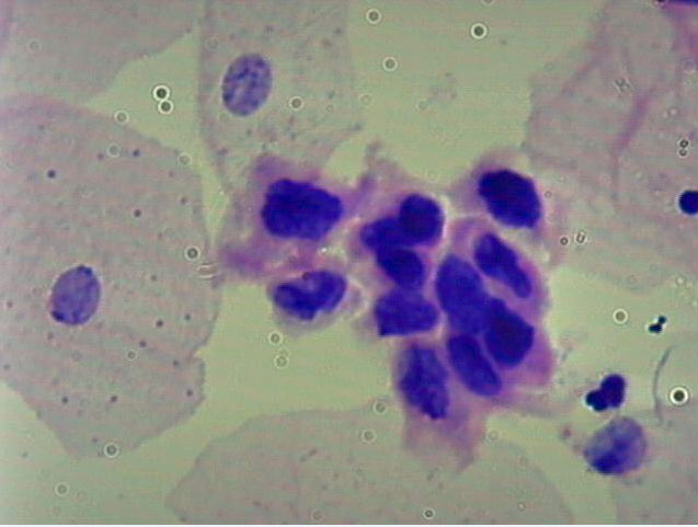
高度病变HSIL,细胞异型性太大,鳞状细胞癌不能除外。没有提供妇科检查描述,患者年龄等情况,实际工作中要避免“一孔之见”。

2

gsl521zx..

zhangyuy..
回复
signature
细节决定诊断,兴趣是最好的老师!

时光 离线

帖子:495
粉蓝豆:151
经验:921
注册时间:2011-05-27
加关注  |  发消息
15 楼    发表于2012-02-11 11:50:58举报|引用
返回顶部 | 快捷回复

HSIL

0
回复

长镜头 离线

帖子:21
粉蓝豆:18
经验:69
注册时间:2011-12-31
加关注  |  发消息
14 楼    发表于2012-01-12 00:24:40举报|引用
返回顶部 | 快捷回复

HSIL,活检。

0
回复

gsl521zxj 离线

帖子:55
粉蓝豆:92
经验:108
注册时间:2011-11-09
加关注  |  发消息
13 楼    发表于2012-01-11 22:09:45举报|引用
返回顶部 | 快捷回复

不好意思,病人到别的医院看去了,过几天我会打电话询问一下结果。

0
回复
signature
三人行,必有我师。

蝴蝶兰dali2003 离线

帖子:12459
粉蓝豆:2448
经验:13028
注册时间:2009-09-06
加关注  |  发消息
12 楼    发表于2012-01-11 21:54:59举报|引用
返回顶部 | 快捷回复

HSIL.癌不能除外。请问楼主,活检结果出来了吗?

0
回复
signature
相逢是首歌,同行是你和我。

caoaichen 离线

帖子:156
粉蓝豆:21
经验:159
注册时间:2008-01-06
加关注  |  发消息
11 楼    发表于2012-01-11 16:28:38举报|引用
返回顶部 | 快捷回复

HSIL,建议活检

0
回复

老宋 离线

帖子:236
粉蓝豆:3
经验:272
注册时间:2011-09-11
加关注  |  发消息
10 楼    发表于2012-01-10 21:51:30举报|引用
返回顶部 | 快捷回复

怀疑浸晕型鳞癌

0
回复

丫头!不哭 离线

帖子:22
粉蓝豆:17
经验:79
注册时间:2011-12-23
加关注  |  发消息
9 楼    发表于2012-01-10 20:26:58举报|引用
返回顶部 | 快捷回复

HILS,高核浆比是高级别的重要的特点吧,我报HILS

0
回复

gsl521zxj 离线

帖子:55
粉蓝豆:92
经验:108
注册时间:2011-11-09
加关注  |  发消息
8 楼    发表于2012-01-07 18:14:18举报|引用
返回顶部 | 快捷回复

谢谢各位老师的指教

0
回复
signature
三人行,必有我师。

apple89 离线

帖子:452
粉蓝豆:862
经验:1633
注册时间:2007-07-01
加关注  |  发消息
7 楼    发表于2012-01-07 15:01:22举报|引用
返回顶部 | 快捷回复

HSIL,高核浆比的细胞,细胞核大小不一,核染色质粗糙。

0
回复
signature

2023心想事成!

lymell 离线

帖子:91
粉蓝豆:16
经验:232
注册时间:2010-09-27
加关注  |  发消息
6 楼    发表于2012-01-06 21:59:34举报|引用
返回顶部 | 快捷回复

HSIL

0
回复
signature
李玉梅

gsl521zxj 离线

帖子:55
粉蓝豆:92
经验:108
注册时间:2011-11-09
加关注  |  发消息
5 楼    发表于2012-01-06 21:40:53举报|引用
返回顶部 | 快捷回复

我报的LSIL,建议活检,保存的图片都很深染,但是我镜下阅片没这么深,不知道是什么原因,希望高手指点。

0
回复
signature
三人行,必有我师。
回复:24 阅读:9193
共2页/24条首页上一页12下一页尾页
【免责声明】讨论内容仅作学术交流之用,不作为诊疗依据,由此而引起的法律问题作者及本站不承担任何责任。
快速回复
进入高级回复
您最多可输入10000个汉字,按 "Ctrl" + "Enter" 直接发送
搜索回复/乘电梯 ×
按内容
按会员
乘电梯
合作伙伴
友情链接