共1页/16条首页上一页1下一页尾页
回复:16 阅读:3661
小肠多发肿物

泉水叮咚响 离线

帖子:2163
粉蓝豆:113
经验:11663
注册时间:2010-12-30
加关注  |  发消息
楼主 发表于 2012-01-06 15:26|举报|关注(0)
浏览排序[ 顺序 逆序 楼主 支持 精彩 ]  快捷回复
  • 小肠多发肿物图1
    图1
  • 小肠多发肿物图2
    图2
  • 小肠多发肿物图3
    图3
  • 小肠多发肿物图4
    图4
  • 小肠多发肿物图5
    图5
  • 小肠多发肿物图6
    图6
  • 小肠多发肿物图7
    图7
  • 小肠多发肿物图8
    图8

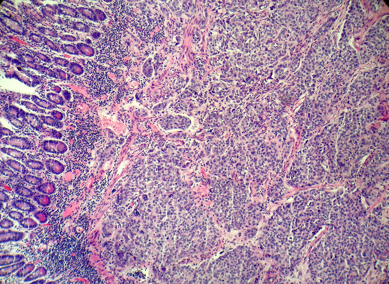
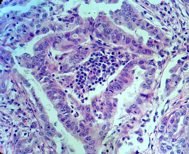
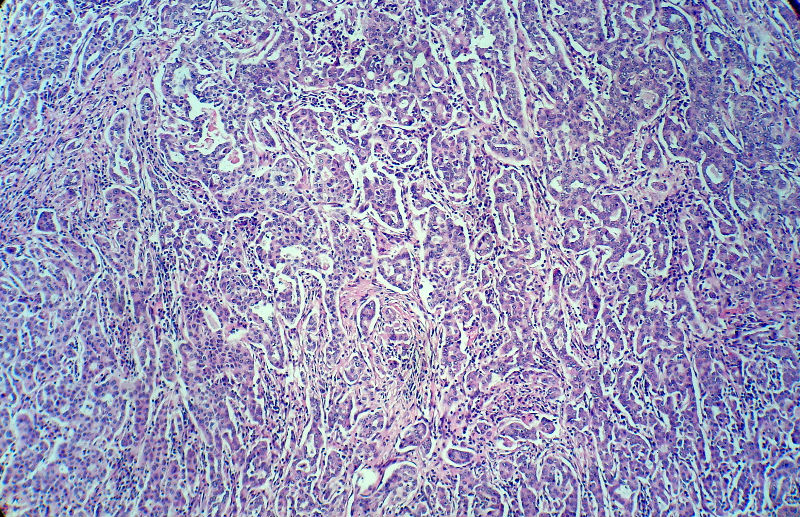
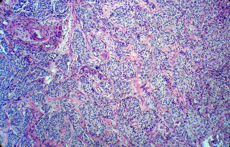
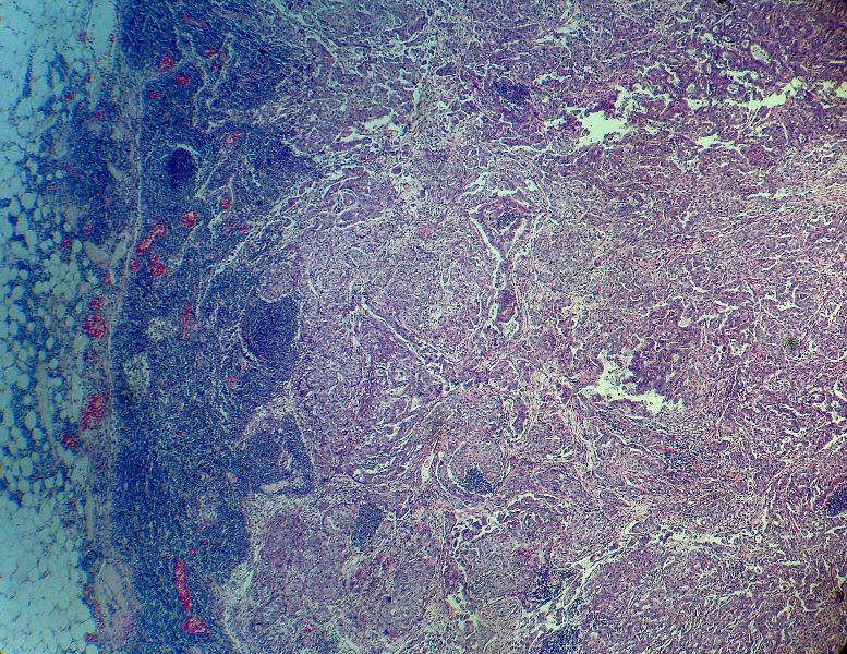
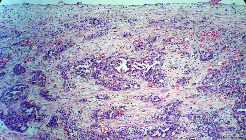
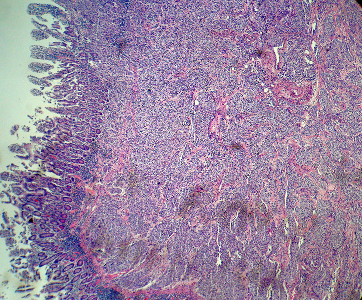
 男,82岁,小肠穿孔紧急手术。
大体,小肠一段,长约60厘米,与粘膜面可见三个溃疡型肿物,肠系膜淋巴结肿大。

标签:
本帖最后由 泉水叮咚响 于 2012-01-06 17:10:52 编辑
0
signature
刀不磨会生锈,人不学习会落后。
添加参考诊断
×参考诊断
  

fuyong 离线

帖子:6879
粉蓝豆:2836
经验:12692
注册时间:2008-03-10
加关注  |  发消息
1 楼    发表于2012-01-06 17:57:02举报|引用
返回顶部 | 快捷回复

类癌

0
回复
signature
多读书,读好书

夏日 离线

帖子:1057
粉蓝豆:45
经验:1529
注册时间:2011-04-05
加关注  |  发消息
2 楼    发表于2012-01-06 21:58:53举报|引用
返回顶部 | 快捷回复

类癌

0
回复

开心辞典 离线

帖子:966
粉蓝豆:345
经验:5049
注册时间:2009-09-09
加关注  |  发消息
3 楼    发表于2012-01-06 22:15:19举报|引用
返回顶部 | 快捷回复

考虑类癌,免疫组化标记

2

贝贝

东北鱼
回复

huangchuansheng 离线

帖子:295
粉蓝豆:2674
经验:830
注册时间:2006-09-27
加关注  |  发消息
4 楼    发表于2012-01-06 22:59:44举报|引用
返回顶部 | 快捷回复

神经内分泌癌。

0
回复
signature
病理人

长镜头 离线

帖子:21
粉蓝豆:18
经验:69
注册时间:2011-12-31
加关注  |  发消息
5 楼    发表于2012-01-07 00:23:04举报|引用
返回顶部 | 快捷回复
本帖最后由 长镜头 于 2012-01-07 00:23:34 编辑

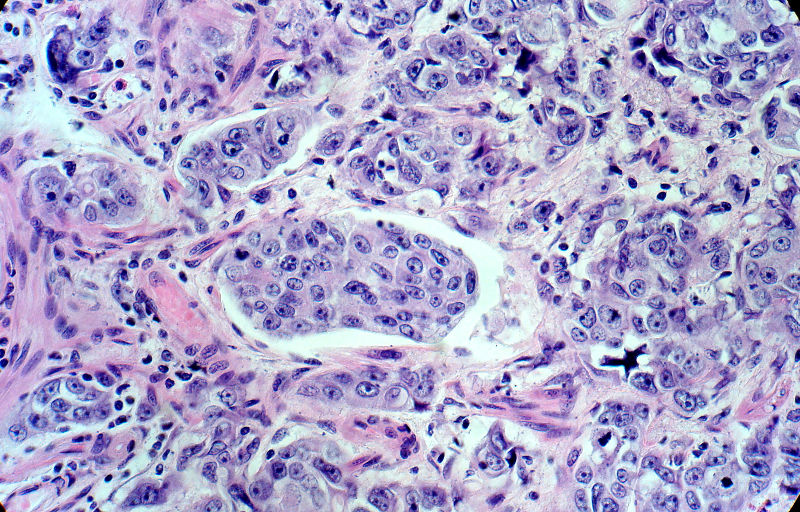
肿瘤呈巢片状分布,细胞大小相对一致,胞浆丰富,胞核呈细颗粒状,可见小核仁,血管较丰富,考虑神经内分泌肿瘤,加做免疫组化(Ki67、Syn、NSE、CgA、CD56)分级。

1

羽珩
回复

防港一员 离线

帖子:410
粉蓝豆:30
经验:1041
注册时间:2010-08-13
加关注  |  发消息
6 楼    发表于2012-01-07 01:25:20举报|引用
返回顶部 | 快捷回复
癌 可定  ,倾向类癌 ,请标记 
0
回复
signature
有志者事竟成

guoyunquan 离线

帖子:181
粉蓝豆:77
经验:290
注册时间:2010-08-24
加关注  |  发消息
7 楼    发表于2012-01-07 03:02:59举报|引用
返回顶部 | 快捷回复

没有看见一点小肠粘膜组织,建议重新传图。这些图只能考虑恶性肿瘤。

0
回复
signature
细节决定诊断,兴趣是最好的老师!

周广民 离线

帖子:134
粉蓝豆:6
经验:153
注册时间:2011-03-03
加关注  |  发消息
8 楼    发表于2012-01-07 06:27:19举报|引用
返回顶部 | 快捷回复

类癌

0
回复

泉水叮咚响 离线

帖子:2163
粉蓝豆:113
经验:11663
注册时间:2010-12-30
加关注  |  发消息
9 楼    发表于2012-01-07 09:58:14举报|引用
返回顶部 | 快捷回复
  • 图1
  • 图2
  • 图3
  • 图4
  • 图5
  • 图6
  • 图7
  • 图8
  • 图9
  • 图10
  • 图11
  • 图12
  • 图13
  • 图14 

    再传图
0
回复
signature
刀不磨会生锈,人不学习会落后。

泉水叮咚响 离线

帖子:2163
粉蓝豆:113
经验:11663
注册时间:2010-12-30
加关注  |  发消息
10 楼    发表于2012-01-07 10:02:19举报|引用
返回顶部 | 快捷回复
  • 图1
  • 图2
  • 图3
  • 图4
  • 图5
  • 图6
  • 图7
  • 图8
  • 图9
  • 图10

 肠系膜淋巴结

0
回复
signature
刀不磨会生锈,人不学习会落后。

泉水叮咚响 离线

帖子:2163
粉蓝豆:113
经验:11663
注册时间:2010-12-30
加关注  |  发消息
11 楼    发表于2012-01-07 10:20:34举报|引用
返回顶部 | 快捷回复

 患者已于术后第二天死亡。

0
回复
signature
刀不磨会生锈,人不学习会落后。

linyguo 离线

帖子:2365
粉蓝豆:43
经验:2514
注册时间:2009-08-09
加关注  |  发消息
12 楼    发表于2012-01-07 12:04:37举报|引用
返回顶部 | 快捷回复

类癌

0
回复

白桦林 离线

帖子:523
粉蓝豆:414
经验:1411
注册时间:2007-06-21
加关注  |  发消息
13 楼    发表于2012-01-07 15:11:10举报|引用
返回顶部 | 快捷回复

类癌 ,待标记!

0
回复

jimrot 离线

帖子:22
粉蓝豆:137
经验:67
注册时间:2008-10-10
加关注  |  发消息
14 楼    发表于2012-01-07 15:35:43举报|引用
返回顶部 | 快捷回复

腺癌,部分为神经内分泌癌

1

Danrs
回复

zhangyajing 离线

帖子:500
粉蓝豆:4
经验:610
注册时间:2008-03-23
加关注  |  发消息
15 楼    发表于2012-01-07 20:36:59举报|引用
返回顶部 | 快捷回复

神经内分泌肿瘤,加做免疫组化(CKp、Ki67、Syn、NSE、CgA、CD56)分级。

0
回复

宁静致远 离线

帖子:4242
粉蓝豆:2853
经验:6556
注册时间:2007-03-27
加关注  |  发消息
16 楼    发表于2012-01-08 16:07:28举报|引用
返回顶部 | 快捷回复
引用 15 楼 zhangyajing 在 2012-01-07 20:36:59 的发言:

神经内分泌肿瘤,加做免疫组化(CKp、Ki67、Syn、NSE、CgA、CD56)分级。


0
回复
回复:16 阅读:3661
共1页/16条首页上一页1下一页尾页
【免责声明】讨论内容仅作学术交流之用,不作为诊疗依据,由此而引起的法律问题作者及本站不承担任何责任。
快速回复
进入高级回复
您最多可输入10000个汉字,按 "Ctrl" + "Enter" 直接发送
搜索回复/乘电梯 ×
按内容
按会员
乘电梯
合作伙伴
友情链接