共1页/8条首页上一页1下一页尾页
回复:8 阅读:2206
直肠肿物

小鬼难缠 离线

帖子:393
粉蓝豆:510
经验:2502
注册时间:2009-01-24
加关注  |  发消息
楼主 发表于 2012-01-06 14:22|举报|关注(0)
浏览排序[ 顺序 逆序 楼主 支持 精彩 ]  快捷回复

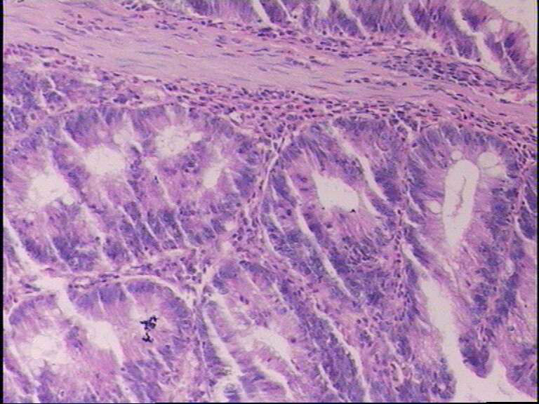
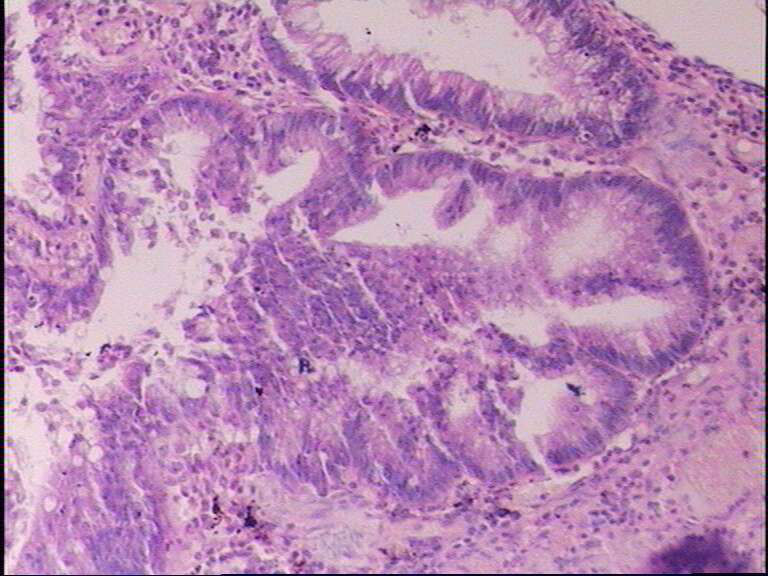
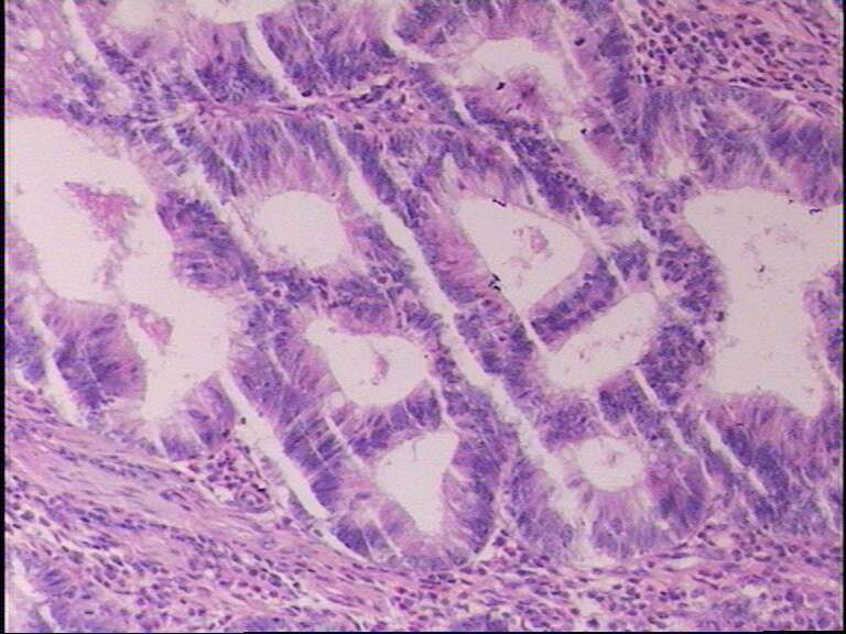
 女78岁,便血5小时经肛门直肠肿物切除,3*3*2.菜花状,灰白色质脆软

  • 直肠肿物图1
    图1
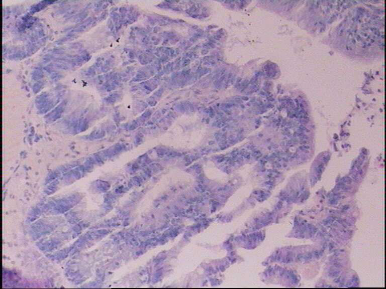
  • 直肠肿物图2
    图2
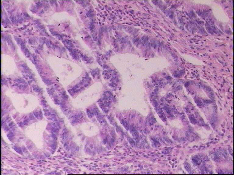
  • 直肠肿物图3
    图3
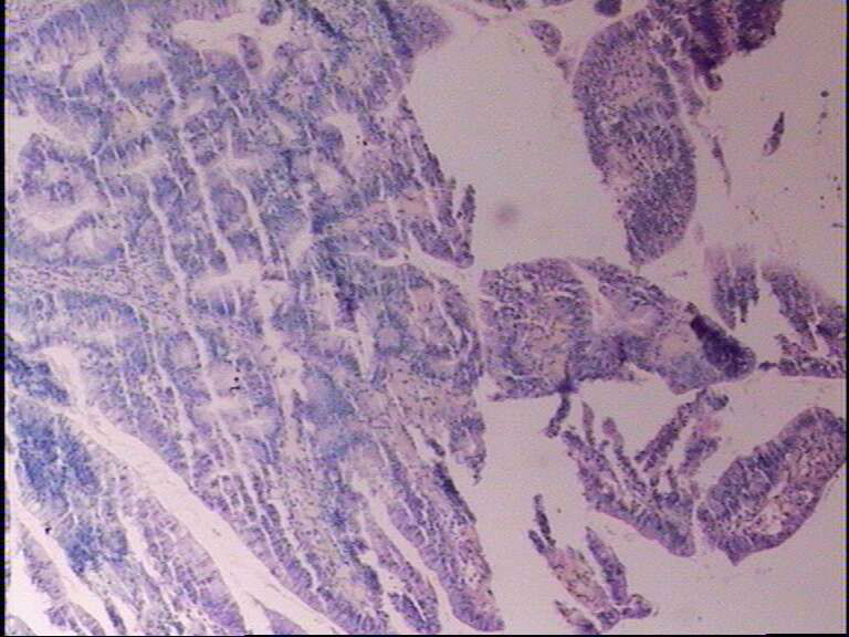
  • 直肠肿物图4
    图4
  • 直肠肿物图5
    图5
  • 直肠肿物图6
    图6
  • 直肠肿物图7
    图7
  • 直肠肿物图8
    图8
  • 直肠肿物图9
    图9
  • 直肠肿物图10
    图10
 
标签:
0
添加参考诊断
×参考诊断
  

lady_magic 离线

帖子:13
粉蓝豆:1
经验:132
注册时间:2010-12-08
加关注  |  发消息
1 楼    发表于2012-01-06 14:25:31举报|引用
返回顶部 | 快捷回复

制片不好 考虑管状腺瘤,低级别上皮内瘤变

0
回复

hyl76 离线

帖子:781
粉蓝豆:656
经验:3771
注册时间:2007-06-05
加关注  |  发消息
2 楼    发表于2012-01-06 14:35:19举报|引用
返回顶部 | 快捷回复

管状腺瘤

0
回复
signature
学无止境,不进则退!

清水波心 离线

帖子:435
粉蓝豆:12
经验:561
注册时间:2011-02-16
加关注  |  发消息
3 楼    发表于2012-01-06 20:24:50举报|引用
返回顶部 | 快捷回复

 是呀,片子没制好,看图3考虑绒毛管状腺瘤,局部2级。

0
回复

乌之语 离线

帖子:268
粉蓝豆:473
经验:290
注册时间:2011-08-04
加关注  |  发消息
4 楼    发表于2012-01-06 20:34:27举报|引用
返回顶部 | 快捷回复

考虑管状腺瘤,局部到高级别了!

0
回复

夏日 离线

帖子:1057
粉蓝豆:45
经验:1529
注册时间:2011-04-05
加关注  |  发消息
5 楼    发表于2012-01-06 21:56:15举报|引用
返回顶部 | 快捷回复

管状腺瘤够中度

0
回复

周广民 离线

帖子:134
粉蓝豆:6
经验:153
注册时间:2011-03-03
加关注  |  发消息
6 楼    发表于2012-01-06 22:09:48举报|引用
返回顶部 | 快捷回复

管状腺瘤

0
回复

宁静致远 离线

帖子:4242
粉蓝豆:2853
经验:6556
注册时间:2007-03-27
加关注  |  发消息
7 楼    发表于2012-01-08 16:14:22举报|引用
返回顶部 | 快捷回复

管状腺瘤

0
回复

hu8afu 离线

帖子:1177
粉蓝豆:35
经验:1230
注册时间:2009-02-11
加关注  |  发消息
8 楼    发表于2012-01-08 19:25:08举报|引用
返回顶部 | 快捷回复

腺瘤,局部到高级别

0
回复
回复:8 阅读:2206
共1页/8条首页上一页1下一页尾页
【免责声明】讨论内容仅作学术交流之用,不作为诊疗依据,由此而引起的法律问题作者及本站不承担任何责任。
快速回复
进入高级回复
您最多可输入10000个汉字,按 "Ctrl" + "Enter" 直接发送
搜索回复/乘电梯 ×
按内容
按会员
乘电梯
合作伙伴
友情链接