共1页/4条首页上一页1下一页尾页
回复:4 阅读:1907
前列腺

小鬼难缠 离线

帖子:393
粉蓝豆:510
经验:2502
注册时间:2009-01-24
加关注  |  发消息
楼主 发表于 2012-01-06 14:19|举报|关注(0)
浏览排序[ 顺序 逆序 楼主 支持 精彩 ]  快捷回复

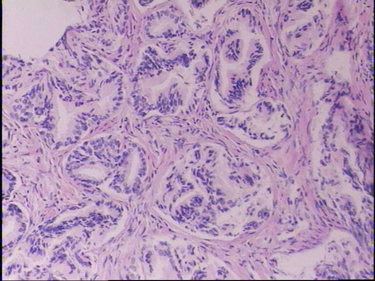
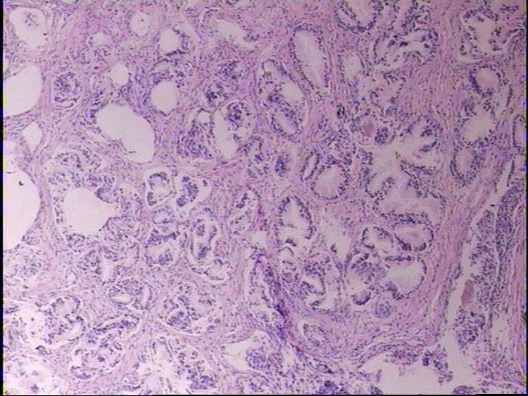
 男72岁,排尿困难一年

  • 前列腺图1
    图1
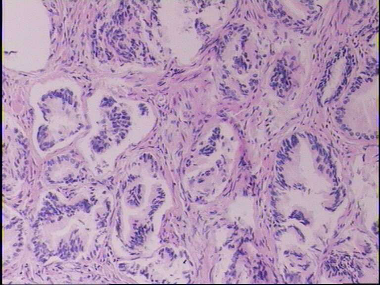
  • 前列腺图2
    图2
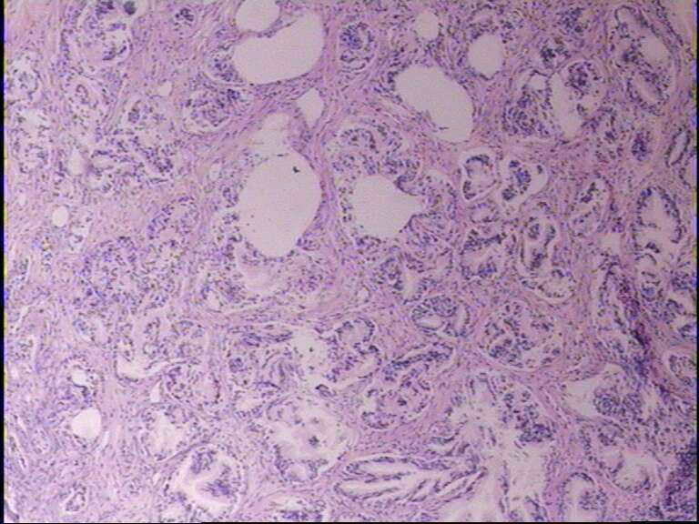
  • 前列腺图3
    图3
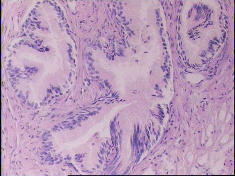
  • 前列腺图4
    图4
  • 前列腺图5
    图5
  • 前列腺图6
    图6
  • 前列腺图7
    图7
  • 前列腺图8
    图8
 
标签:
0
添加参考诊断
×参考诊断
  

lady_magic 离线

帖子:13
粉蓝豆:1
经验:132
注册时间:2010-12-08
加关注  |  发消息
1 楼    发表于2012-01-06 14:31:22举报|引用
返回顶部 | 快捷回复

前列腺良性增生,最好做P5O4S 、P63 、34βE12

1

学浅
回复

清水波心 离线

帖子:435
粉蓝豆:12
经验:561
注册时间:2011-02-16
加关注  |  发消息
2 楼    发表于2012-01-06 20:33:53举报|引用
返回顶部 | 快捷回复

 良性前列腺增生症。

0
回复

夏日 离线

帖子:1057
粉蓝豆:45
经验:1529
注册时间:2011-04-05
加关注  |  发消息
3 楼    发表于2012-01-06 21:47:00举报|引用
返回顶部 | 快捷回复

结节性增生

0
回复

周广民 离线

帖子:134
粉蓝豆:6
经验:153
注册时间:2011-03-03
加关注  |  发消息
4 楼    发表于2012-01-07 06:30:38举报|引用
返回顶部 | 快捷回复

符合前列腺良性增生

0
回复
回复:4 阅读:1907
共1页/4条首页上一页1下一页尾页
【免责声明】讨论内容仅作学术交流之用,不作为诊疗依据,由此而引起的法律问题作者及本站不承担任何责任。
快速回复
进入高级回复
您最多可输入10000个汉字,按 "Ctrl" + "Enter" 直接发送
搜索回复/乘电梯 ×
按内容
按会员
乘电梯
合作伙伴
友情链接