共2页/32条首页上一页12下一页尾页
回复:32 阅读:7143
B1663y/f with imaging finding of R breast asymmetry (cqz B-44)

cqzhao 离线

帖子:5518
粉蓝豆:1071
经验:5755
注册时间:2008-09-29
加关注  |  发消息
楼主 发表于 2012-01-06 01:12|举报|关注(1)
浏览排序[ 顺序 逆序 楼主 支持 精彩 ]  快捷回复

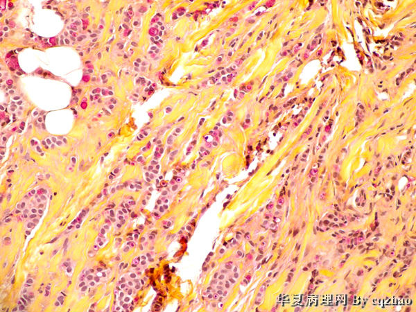
 Breast core biopsy

  • 63y/f with imaging finding of R breast asymmetry (cqz B-44)图1
    图1
  • 63y/f with imaging finding of R breast asymmetry (cqz B-44)图2
    图2
  • 63y/f with imaging finding of R breast asymmetry (cqz B-44)图3
    图3
  • 63y/f with imaging finding of R breast asymmetry (cqz B-44)图4
    图4
  • 63y/f with imaging finding of R breast asymmetry (cqz B-44)图5
    图5

 

Fig 1 10x Fig 2 20x, fig 3 40x

Fig 4 another area 20x

Fig 5 40x  same area as fig 4

标签:
本帖最后由 cqzhao 于 2012-01-06 01:19:45 编辑
0
添加参考诊断
×参考诊断
  

菜刀妹 离线

帖子:16
粉蓝豆:1
经验:36
注册时间:2013-04-13
加关注  |  发消息
32 楼    发表于2013-04-17 15:43:31举报|引用
返回顶部 | 快捷回复

类似我学习过的一个病例,网址黏贴不过来,在digital altas of breast pathology中的IDC,with focal lobular features的病例,印戒细胞型。

0
回复

木蚂蚁 离线

帖子:764
粉蓝豆:2536
经验:1555
注册时间:2010-01-12
加关注  |  发消息
31 楼    发表于2012-02-12 10:34:11举报|引用
返回顶部 | 快捷回复

谢谢赵老师和笃行者老师!

0
回复
signature
学然后知不足

cqzhao 离线

帖子:5518
粉蓝豆:1071
经验:5755
注册时间:2008-09-29
加关注  |  发消息
30 楼    发表于2012-02-12 06:31:41举报|引用
返回顶部 | 快捷回复

It is invasive ductal carcinoma with apocrine feature and also cytoplasmic mucin production.

It is a rare case. Bottomly it is invasive ductal carcinoma.

Singet ring ductal carcinoma??

0
回复

cqzhao 离线

帖子:5518
粉蓝豆:1071
经验:5755
注册时间:2008-09-29
加关注  |  发消息
29 楼    发表于2012-02-12 06:29:16举报|引用
返回顶部 | 快捷回复
引用 28 楼 笃行者 在 2012-02-11 22:10:31 的发言:
本帖最后由 笃行者 于 2012-02-11 22:27:31 编辑

听完了今天赵老师的讲座就明白了

伴有大汗腺化生的浸润性导管癌。


thanks

0
回复

笃行者 离线

帖子:2689
粉蓝豆:59
经验:3020
注册时间:2006-10-04
加关注  |  发消息
28 楼    发表于2012-02-11 22:10:31举报|引用
返回顶部 | 快捷回复
本帖最后由 笃行者 于 2012-02-11 22:27:31 编辑

听完了今天赵老师的讲座就明白了

伴有大汗腺化生的浸润性导管癌。

0
回复
signature
博学之,审问之,慎思之,明辨之,笃行之。

木蚂蚁 离线

帖子:764
粉蓝豆:2536
经验:1555
注册时间:2010-01-12
加关注  |  发消息
27 楼    发表于2012-02-11 18:24:48举报|引用
返回顶部 | 快捷回复

我还没能理解  

0
回复
signature
学然后知不足

笃行者 离线

帖子:2689
粉蓝豆:59
经验:3020
注册时间:2006-10-04
加关注  |  发消息
26 楼    发表于2012-01-14 20:24:56举报|引用
返回顶部 | 快捷回复

呵呵,太意外了!太有趣了!谢谢Dr.Zhao!!。

0
回复
signature
博学之,审问之,慎思之,明辨之,笃行之。

cqzhao 离线

帖子:5518
粉蓝豆:1071
经验:5755
注册时间:2008-09-29
加关注  |  发消息
25 楼    发表于2012-01-14 19:17:39举报|引用
返回顶部 | 快捷回复

 Will you diagnose invasive lobular ca or invasive  ductal ca?

0
回复

cqzhao 离线

帖子:5518
粉蓝豆:1071
经验:5755
注册时间:2008-09-29
加关注  |  发消息
24 楼    发表于2012-01-14 19:14:27举报|引用
返回顶部 | 快捷回复
本帖最后由 cqzhao 于 2012-01-14 19:16:52 编辑
  • 图1
    • 图1

 mucicarmin stain

0
回复

cqzhao 离线

帖子:5518
粉蓝豆:1071
经验:5755
注册时间:2008-09-29
加关注  |  发消息
23 楼    发表于2012-01-14 19:12:10举报|引用
返回顶部 | 快捷回复
本帖最后由 cqzhao 于 2012-01-14 19:13:34 编辑
  • 图1

 P120 stain

0
回复

cqzhao 离线

帖子:5518
粉蓝豆:1071
经验:5755
注册时间:2008-09-29
加关注  |  发消息
22 楼    发表于2012-01-14 19:08:10举报|引用
返回顶部 | 快捷回复
本帖最后由 cqzhao 于 2012-01-14 19:11:23 编辑
  • 图1

 E-cad stain

0
回复

广秀 离线

帖子:2711
粉蓝豆:1246
经验:3502
注册时间:2009-09-15
加关注  |  发消息
21 楼    发表于2012-01-12 13:05:23举报|引用
返回顶部 | 快捷回复

浸润性小叶癌

镜下瘤细胞胞体较小,核圆形或印戒样,胞浆嗜碱性,形成条索状、小巢状,在胶原纤维内穿插走行,周围脂肪组织内亦见瘤组织浸润。P120,E-CD标记?

0
回复
signature
人淡如菊,心素如简。

cqzhao 离线

帖子:5518
粉蓝豆:1071
经验:5755
注册时间:2008-09-29
加关注  |  发消息
20 楼    发表于2012-01-11 01:50:33举报|引用
返回顶部 | 快捷回复

The patient has no any history of cancers. ER and PR (not shown) are strongly and diffusely positive.

Metastatic tumor is excluded basically. It is a breast carcinoma.

What type?

0
回复

cqzhao 离线

帖子:5518
粉蓝豆:1071
经验:5755
注册时间:2008-09-29
加关注  |  发消息
19 楼    发表于2012-01-11 01:46:15举报|引用
返回顶部 | 快捷回复
本帖最后由 cqzhao 于 2012-01-11 01:48:04 编辑

  • 图1
  • 图2

ER stain result

0
回复

200406 离线

帖子:1385
粉蓝豆:145
经验:2735
注册时间:2011-08-08
加关注  |  发消息
18 楼    发表于2012-01-08 21:26:08举报|引用
返回顶部 | 快捷回复
引用 8 楼 强子 在 2012-01-06 19:37:20 的发言:

胞质空泡泡的,这样的排列方式,先想到的肯定是浸润性小叶癌

至于是印戒细胞型还是多形性亚型,倒不是最大的问题了

 

关键是考虑到浸润性小叶癌之外,需要鉴别哪些?

一位我非常崇敬、乃至于可以说崇拜的老师教导我:签发一份恶性报告时,要认真想一想,有没有良性病变可以出现这样的图像?如何排除?

在该例中,这个原则就很适用:肌纤维母细胞瘤的上皮样亚型,可以有这样的表现,此时做ER、PR可能会有误导作用,应该做CD34和desmin

至于该例的恶性鉴别,俺见识浅薄,所知有限,实在没想出来

 

(俺的“见识”大部分来自书本,上述部分也大部分来自华夏网赠送的《乳腺病理活检解读》,书已经被俺翻的快解体了,加之俺看书时候喜欢在书上写写划划,所以,现在的书已经“惨不忍睹”了……不过,俺不怕,因为俺准备春节后在有奖读片栏目中再多拿几本奖品书……)

学习!

0
回复

cqzhao 离线

帖子:5518
粉蓝豆:1071
经验:5755
注册时间:2008-09-29
加关注  |  发消息
17 楼    发表于2012-01-08 01:56:39举报|引用
返回顶部 | 快捷回复

Why do you think it is lobular ca? Are you sure?

0
回复

cqzhao 离线

帖子:5518
粉蓝豆:1071
经验:5755
注册时间:2008-09-29
加关注  |  发消息
16 楼    发表于2012-01-08 01:55:12举报|引用
返回顶部 | 快捷回复

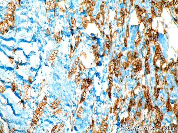
Pan Cytokeratin stain is strongly and diffusely positive. Clearly some differential diagnoses can be excluded.

What are your DDXs now

0
回复

cqzhao 离线

帖子:5518
粉蓝豆:1071
经验:5755
注册时间:2008-09-29
加关注  |  发消息
15 楼    发表于2012-01-08 01:49:12举报|引用
返回顶部 | 快捷回复
本帖最后由 cqzhao 于 2012-01-08 01:52:59 编辑

Above analysis is very reasonable

This is stain of AE1/AE3

  • 图1
0
回复

亚梦 离线

帖子:239
粉蓝豆:12
经验:275
注册时间:2010-09-26
加关注  |  发消息
14 楼    发表于2012-01-08 00:22:21举报|引用
返回顶部 | 快捷回复

invasive lobular carcinoma

histiocytoid carcinoma

signet-ring cell carcinoma

AB/PAS, GCDFP-15, AE1/AE3, CD68, CEA, ER, PR,  S-100

0
回复

一了 离线

帖子:2138
粉蓝豆:64
经验:2288
注册时间:2009-03-31
加关注  |  发消息
13 楼    发表于2012-01-07 19:28:45举报|引用
返回顶部 | 快捷回复

invasive lobular carcinoma

 

0
回复
回复:32 阅读:7143
共2页/32条首页上一页12下一页尾页
【免责声明】讨论内容仅作学术交流之用,不作为诊疗依据,由此而引起的法律问题作者及本站不承担任何责任。
快速回复
进入高级回复
您最多可输入10000个汉字,按 "Ctrl" + "Enter" 直接发送
搜索回复/乘电梯 ×
按内容
按会员
乘电梯
合作伙伴
友情链接