共1页/18条首页上一页1下一页尾页
回复:18 阅读:2860
求教!宫颈

wolflovepig 离线

帖子:675
粉蓝豆:55
经验:9062
注册时间:2007-08-25
加关注  |  发消息
楼主 发表于 2012-01-05 16:49|举报|关注(0)
浏览排序[ 顺序 逆序 楼主 支持 精彩 ]  快捷回复

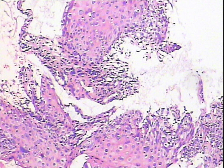
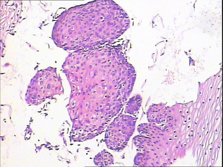
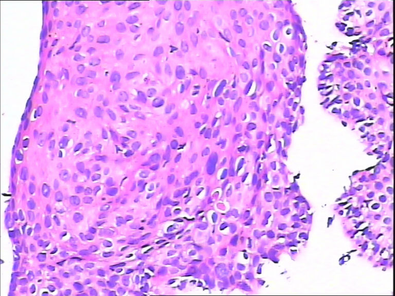
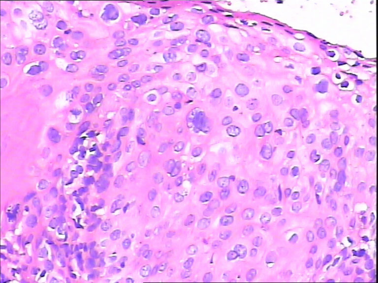
 45y,触血,宫颈多点活检。

  • 求教!宫颈图1
    图1
  • 求教!宫颈图2
    图2
  • 求教!宫颈图3
    图3
  • 求教!宫颈图4
    图4
  • 求教!宫颈图5
    图5
  • 求教!宫颈图6
    图6
  • 求教!宫颈图7
    图7
  • 求教!宫颈图8
    图8
  • 求教!宫颈图9
    图9
  • 求教!宫颈图10
    图10
  • 求教!宫颈图11
    图11
  • 求教!宫颈图12
    图12
  • 求教!宫颈图13
    图13
  • 求教!宫颈图14
    图14
  • 求教!宫颈图15
    图15
  • 求教!宫颈图16
    图16
  • 求教!宫颈图17
    图17
  • 求教!宫颈图18
    图18
  • 求教!宫颈图19
    图19
  • 求教!宫颈图20
    图20
  • 求教!宫颈图21
    图21

标签:
0
添加参考诊断
×参考诊断
  

dongguoyou 离线

帖子:253
粉蓝豆:9
经验:4133
注册时间:2007-11-04
加关注  |  发消息
1 楼    发表于2012-01-05 16:53:15举报|引用
返回顶部 | 快捷回复

HPV感染

0
回复

病理020 离线

帖子:1344
粉蓝豆:5610
经验:1814
注册时间:2011-10-02
加关注  |  发消息
2 楼    发表于2012-01-05 16:54:24举报|引用
返回顶部 | 快捷回复

不同级别的CIN,局灶已达到CIN3。

0
回复
signature
邓学田

ljy1977 离线

帖子:79
粉蓝豆:9
经验:95
注册时间:2011-12-07
加关注  |  发消息
3 楼    发表于2012-01-05 17:07:38举报|引用
返回顶部 | 快捷回复

HSIL伴

HPV感染

0
回复

阿娇 离线

帖子:2054
粉蓝豆:3320
经验:2384
注册时间:2008-05-31
加关注  |  发消息
4 楼    发表于2012-01-05 17:27:25举报|引用
返回顶部 | 快捷回复

考虑HPV感染,应该没有高级别上皮内瘤变,建议做HPV检测。

3

水中央

cloudy

涢水清-
回复

全子 离线

帖子:3318
粉蓝豆:74
经验:3546
注册时间:2006-10-19
加关注  |  发消息
5 楼    发表于2012-01-05 18:12:57举报|引用
返回顶部 | 快捷回复

湿疣改变

1

水中央
回复

新小兵 离线

帖子:460
粉蓝豆:42
经验:2177
注册时间:2010-12-30
加关注  |  发消息
6 楼    发表于2012-01-05 18:22:29举报|引用
返回顶部 | 快捷回复

CIN II

0
回复

夏日 离线

帖子:1057
粉蓝豆:45
经验:1529
注册时间:2011-04-05
加关注  |  发消息
7 楼    发表于2012-01-05 18:23:08举报|引用
返回顶部 | 快捷回复

HPV感染

0
回复

伯牙绝弦 离线

帖子:1408
粉蓝豆:152
经验:2019
注册时间:2010-09-28
加关注  |  发消息
8 楼    发表于2012-01-05 19:00:31举报|引用
返回顶部 | 快捷回复

HPV感染

0
回复
signature
成功不是将来才有的,而是从决定去做的那一刻起,持续累积而成。

山川 离线

帖子:324
粉蓝豆:18
经验:926
注册时间:2010-12-28
加关注  |  发消息
9 楼    发表于2012-01-05 19:14:27举报|引用
返回顶部 | 快捷回复

HPV感染。局部已达到CIN2-3

0
回复
signature
看图识字

飘林 离线

帖子:2032
粉蓝豆:2435
经验:2656
注册时间:2009-11-28
加关注  |  发消息
10 楼    发表于2012-01-05 19:16:26举报|引用
返回顶部 | 快捷回复

CINⅡ,提示HPV感染。

1

东北鱼
回复

开心辞典 离线

帖子:966
粉蓝豆:345
经验:5049
注册时间:2009-09-09
加关注  |  发消息
11 楼    发表于2012-01-05 19:27:50举报|引用
返回顶部 | 快捷回复
引用 10 楼 飘林 在 2012-01-05 19:16:26 的发言:

CINⅡ,提示HPV感染。


0
回复

jiangxiaoyu 离线

帖子:978
粉蓝豆:15
经验:1226
注册时间:2007-10-31
加关注  |  发消息
12 楼    发表于2012-01-05 19:49:27举报|引用
返回顶部 | 快捷回复

湿疣改变

0
回复

伊恋佳人 离线

帖子:1258
粉蓝豆:505
经验:1714
注册时间:2010-03-13
加关注  |  发消息
13 楼    发表于2012-01-05 20:49:42举报|引用
返回顶部 | 快捷回复

CINⅡ,提示HPV感染

0
回复

踏歌 离线

帖子:187
粉蓝豆:1357
经验:265
注册时间:2008-03-18
加关注  |  发消息
14 楼    发表于2012-01-05 21:00:45举报|引用
返回顶部 | 快捷回复
引用 10 楼 飘林 在 2012-01-05 19:16:26 的发言:

CINⅡ,提示HPV感染。

0
回复
signature
诚实做人,踏实做事

zhenshijian 离线

帖子:1069
粉蓝豆:91
经验:1364
注册时间:2008-04-20
加关注  |  发消息
15 楼    发表于2012-01-05 21:24:21举报|引用
返回顶部 | 快捷回复
引用 9 楼 山川 在 2012-01-05 19:14:27 的发言:

HPV感染。局部已达到CIN2-3


0
回复

乌之语 离线

帖子:268
粉蓝豆:473
经验:290
注册时间:2011-08-04
加关注  |  发消息
16 楼    发表于2012-01-05 21:42:17举报|引用
返回顶部 | 快捷回复

主要考虑HPV感染引起的细胞改变。

0
回复

200406 离线

帖子:1385
粉蓝豆:145
经验:2735
注册时间:2011-08-08
加关注  |  发消息
17 楼    发表于2012-01-05 21:48:22举报|引用
返回顶部 | 快捷回复

慢性宫颈炎伴HPV感染改变、腺体鳞状化生。

1

yilian20..
回复

comeonyuyu 离线

帖子:93
粉蓝豆:746
经验:286
注册时间:2008-08-05
加关注  |  发消息
18 楼    发表于2012-01-05 21:52:08举报|引用
返回顶部 | 快捷回复

HPV感染。灶性CIN2-3

0
回复
回复:18 阅读:2860
共1页/18条首页上一页1下一页尾页
【免责声明】讨论内容仅作学术交流之用,不作为诊疗依据,由此而引起的法律问题作者及本站不承担任何责任。
快速回复
进入高级回复
您最多可输入10000个汉字,按 "Ctrl" + "Enter" 直接发送
搜索回复/乘电梯 ×
按内容
按会员
乘电梯
合作伙伴
友情链接