共1页/5条首页上一页1下一页尾页
回复:5 阅读:2251
传统痰涂片

wolflovepig 离线

帖子:675
粉蓝豆:55
经验:9062
注册时间:2007-08-25
加关注  |  发消息
楼主 发表于 2012-01-05 12:15|举报|关注(1)
浏览排序[ 顺序 逆序 楼主 支持 精彩 ]  快捷回复

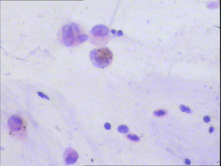
 71y,男,反复咳嗽、气紧10年。CT:右上肺节段性肺不张。临床诊断:肺癌?

  • 传统痰涂片图1
    图1
  • 传统痰涂片图2
    图2
  • 传统痰涂片图3
    图3
  • 传统痰涂片图4
    图4
  • 传统痰涂片图5
    图5
  • 传统痰涂片图6
    图6

标签:
0
添加参考诊断
×参考诊断
  

水晶蔷薇 离线

帖子:454
粉蓝豆:309
经验:1828
注册时间:2011-11-30
加关注  |  发消息
1 楼    发表于2012-01-05 12:39:12举报|引用
返回顶部 | 快捷回复

吞噬细胞,组织细胞,少量淋巴细胞,未见癌

2

涢水清-

zhouzhen..
回复

huangchuansheng 离线

帖子:295
粉蓝豆:2674
经验:830
注册时间:2006-09-27
加关注  |  发消息
2 楼    发表于2012-01-05 13:45:12举报|引用
返回顶部 | 快捷回复

吞噬细胞,组织细胞,少量淋巴细胞,未见癌细胞。

0
回复
signature
病理人

泉水叮咚响 离线

帖子:2163
粉蓝豆:113
经验:11663
注册时间:2010-12-30
加关注  |  发消息
3 楼    发表于2012-01-05 15:28:05举报|引用
返回顶部 | 快捷回复

 吞噬细胞,组织细胞,少量淋巴细胞,未见癌细胞。

0
回复
signature
刀不磨会生锈,人不学习会落后。

木蚂蚁 离线

帖子:764
粉蓝豆:2536
经验:1555
注册时间:2010-01-12
加关注  |  发消息
4 楼    发表于2012-01-05 16:05:40举报|引用
返回顶部 | 快捷回复

第五图是什么细胞?除第五图外其余图未见癌细胞

1

七色阳光
回复
signature
学然后知不足

hj 离线

帖子:74
粉蓝豆:20
经验:186
注册时间:2011-11-17
加关注  |  发消息
5 楼    发表于2012-01-17 08:32:25举报|引用
返回顶部 | 快捷回复

表层脱落、角化的支气管鳞状上皮,无异型性。

1

xuexiaoq..
回复
回复:5 阅读:2251
共1页/5条首页上一页1下一页尾页
【免责声明】讨论内容仅作学术交流之用,不作为诊疗依据,由此而引起的法律问题作者及本站不承担任何责任。
快速回复
进入高级回复
您最多可输入10000个汉字,按 "Ctrl" + "Enter" 直接发送
搜索回复/乘电梯 ×
按内容
按会员
乘电梯
合作伙伴
友情链接