共1页/10条首页上一页1下一页尾页
回复:10 阅读:3143
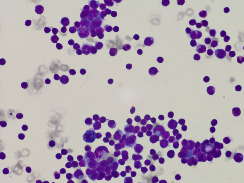
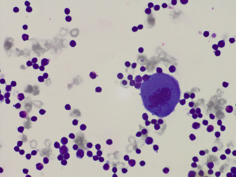
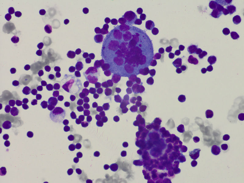
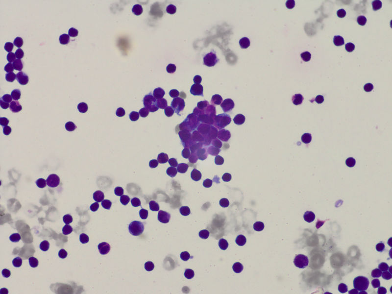
胸水,帮忙看看有没有恶性细胞

zk123 离线

帖子:159
粉蓝豆:3
经验:230
注册时间:2010-09-04
加关注  |  发消息
楼主 发表于 2012-01-01 22:55|举报|关注(0)
浏览排序[ 顺序 逆序 楼主 支持 精彩 ]  快捷回复
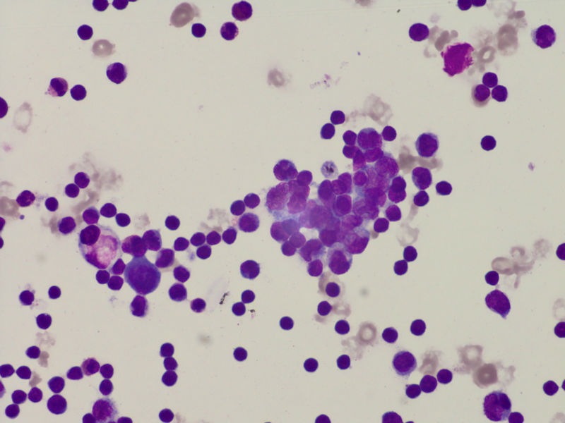
  • 胸水,帮忙看看有没有恶性细胞图1
    图1
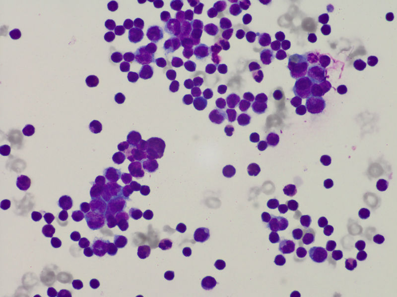
  • 胸水,帮忙看看有没有恶性细胞图2
    图2
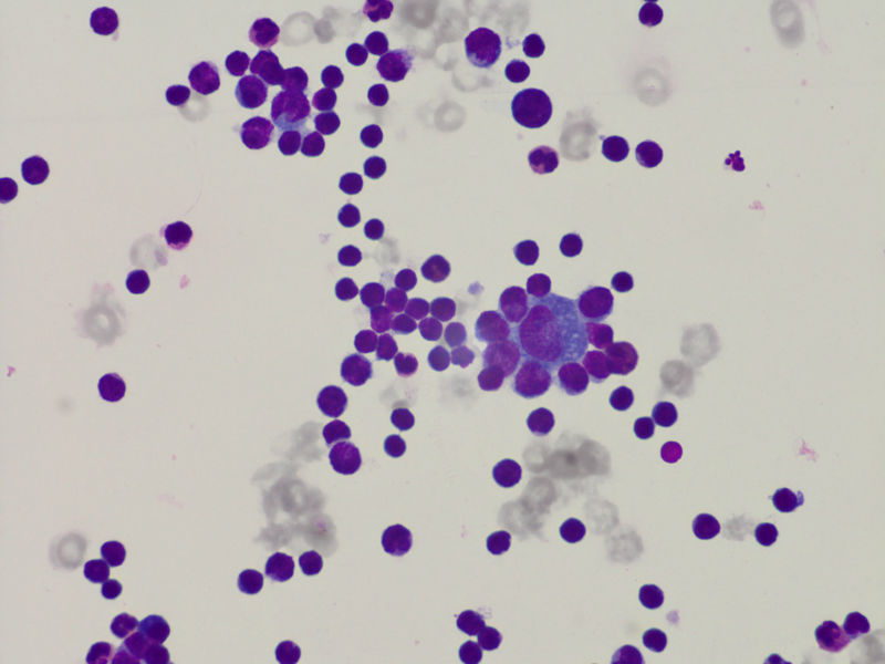
  • 胸水,帮忙看看有没有恶性细胞图3
    图3
  • 胸水,帮忙看看有没有恶性细胞图4
    图4
  • 胸水,帮忙看看有没有恶性细胞图5
    图5
  • 胸水,帮忙看看有没有恶性细胞图6
    图6
  • 胸水,帮忙看看有没有恶性细胞图7
    图7
  • 胸水,帮忙看看有没有恶性细胞图8
    图8
  • 胸水,帮忙看看有没有恶性细胞图9
    图9
  • 胸水,帮忙看看有没有恶性细胞图10
    图10
  • 胸水,帮忙看看有没有恶性细胞图11
    图11
  • 胸水,帮忙看看有没有恶性细胞图12
    图12
  • 胸水,帮忙看看有没有恶性细胞图13
    图13

 

标签:
0
添加参考诊断
×参考诊断
  

xclbljys 离线

帖子:5253
粉蓝豆:224
经验:7005
注册时间:2008-11-21
加关注  |  发消息
1 楼    发表于2012-01-02 08:17:12举报|引用
返回顶部 | 快捷回复

以淋巴细胞为参照物,大点的细胞应该是间皮细胞,有些退变,考虑良性。

3

流水

清清水

zk123
回复
signature
许春雷

涢水清- 离线

帖子:2045
粉蓝豆:9
经验:2208
注册时间:2010-04-19
加关注  |  发消息
2 楼    发表于2012-01-02 18:40:43举报|引用
返回顶部 | 快捷回复

支持楼上

0
回复

zhangyajing 离线

帖子:500
粉蓝豆:4
经验:610
注册时间:2008-03-23
加关注  |  发消息
3 楼    发表于2012-01-02 19:56:40举报|引用
返回顶部 | 快捷回复

无肿瘤细胞

0
回复

西吉彗星 离线

帖子:272
粉蓝豆:3375
经验:468
注册时间:2008-02-03
加关注  |  发消息
4 楼    发表于2012-01-02 20:13:37举报|引用
返回顶部 | 快捷回复

 无肿瘤细胞

0
回复

sl风 离线

帖子:243
粉蓝豆:38
经验:897
注册时间:2009-11-05
加关注  |  发消息
5 楼    发表于2012-01-02 20:39:05举报|引用
返回顶部 | 快捷回复

查见大量淋巴细胞及间皮细胞。

0
回复

中山论剑 离线

帖子:102
粉蓝豆:0
经验:261
注册时间:2011-10-20
加关注  |  发消息
6 楼    发表于2012-01-02 20:51:34举报|引用
返回顶部 | 快捷回复

无肿瘤细胞

0
回复

zhouzhenyou 离线

帖子:1643
粉蓝豆:141
经验:2720
注册时间:2008-11-25
加关注  |  发消息
7 楼    发表于2012-01-02 20:52:32举报|引用
返回顶部 | 快捷回复

考虑良性。

0
回复

next 离线

帖子:111
粉蓝豆:12
经验:452
注册时间:2006-12-11
加关注  |  发消息
8 楼    发表于2012-01-02 20:57:24举报|引用
返回顶部 | 快捷回复

未发现

 

0
回复

junzi003981 离线

帖子:1469
粉蓝豆:234
经验:3249
注册时间:2008-09-07
加关注  |  发消息
9 楼    发表于2012-01-03 10:19:38举报|引用
返回顶部 | 快捷回复

我认为是恶性的

0
回复
signature
为人类医疗事业贡献一生

防港一员 离线

帖子:410
粉蓝豆:30
经验:1041
注册时间:2010-08-13
加关注  |  发消息
10 楼    发表于2012-01-03 12:54:57举报|引用
返回顶部 | 快捷回复

 大量淋巴细胞及间皮细胞 ,可疑癌细胞

0
回复
signature
有志者事竟成
回复:10 阅读:3143
共1页/10条首页上一页1下一页尾页
【免责声明】讨论内容仅作学术交流之用,不作为诊疗依据,由此而引起的法律问题作者及本站不承担任何责任。
快速回复
进入高级回复
您最多可输入10000个汉字,按 "Ctrl" + "Enter" 直接发送
搜索回复/乘电梯 ×
按内容
按会员
乘电梯
合作伙伴
友情链接