共1页/16条首页上一页1下一页尾页
回复:16 阅读:3340
手指肿物

小鬼难缠 离线

帖子:393
粉蓝豆:510
经验:2502
注册时间:2009-01-24
加关注  |  发消息
楼主 发表于 2011-12-31 09:55|举报|关注(1)
浏览排序[ 顺序 逆序 楼主 支持 精彩 ]  快捷回复

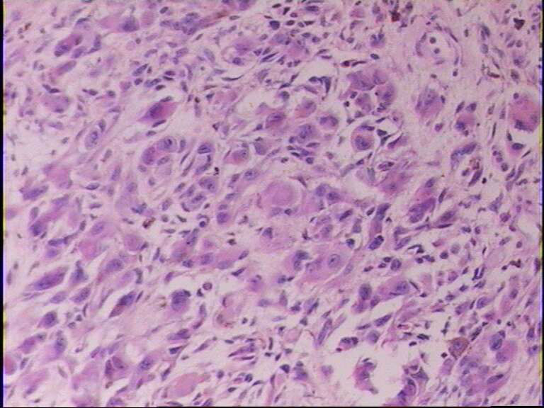
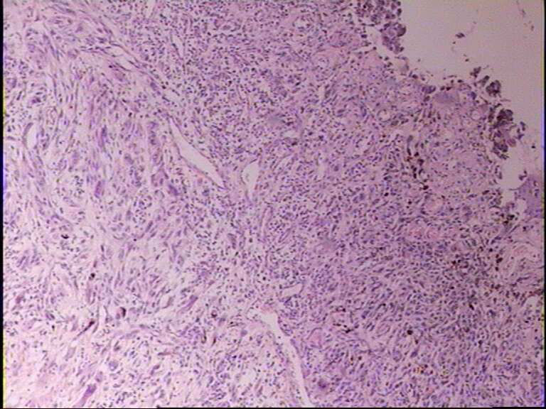
 示指末端,指甲下肿物,指甲破坏,黑色面积1*0.7

  • 手指肿物图1
    图1
  • 手指肿物图2
    图2
  • 手指肿物图3
    图3
  • 手指肿物图4
    图4
  • 手指肿物图5
    图5
  • 手指肿物图6
    图6
  • 手指肿物图7
    图7
  • 手指肿物图8
    图8
 
标签:
0
添加参考诊断
×参考诊断
  

flj20092049 离线

帖子:212
粉蓝豆:9
经验:470
注册时间:2011-11-23
加关注  |  发消息
1 楼    发表于2011-12-31 11:02:27举报|引用
返回顶部 | 快捷回复

首先考虑恶黑?是否够恶性,要显微镜下仔细寻找证据,比如色素浸润到表皮外,待酶标~~~

3

hyl76

清水波心

greatman..
回复
signature

brz0001 离线

帖子:3035
粉蓝豆:97
经验:3058
注册时间:2008-05-05
加关注  |  发消息
2 楼    发表于2011-12-31 12:26:48举报|引用
返回顶部 | 快捷回复
引用 1 楼 flj20092049 在 2011-12-31 11:02:27 的发言:

首先考虑恶黑?是否够恶性,要显微镜下仔细寻找证据,比如色素浸润到表皮外,待酶标~~~


0
回复

山川 离线

帖子:324
粉蓝豆:18
经验:926
注册时间:2010-12-28
加关注  |  发消息
3 楼    发表于2011-12-31 12:36:54举报|引用
返回顶部 | 快捷回复

考虑恶黑。

0
回复
signature
看图识字

ahhbhzlin 离线

帖子:3090
粉蓝豆:50
经验:11826
注册时间:2008-07-24
加关注  |  发消息
4 楼    发表于2011-12-31 14:18:50举报|引用
返回顶部 | 快捷回复

考虑恶黑

0
回复

木蚂蚁 离线

帖子:764
粉蓝豆:2536
经验:1555
注册时间:2010-01-12
加关注  |  发消息
5 楼    发表于2011-12-31 14:51:10举报|引用
返回顶部 | 快捷回复

1、4图似乎有黑色素细胞对表皮的浸润,支持恶黑

0
回复
signature
学然后知不足

旅顺病理 离线

帖子:4084
粉蓝豆:144
经验:5113
注册时间:2011-06-04
加关注  |  发消息
6 楼    发表于2011-12-31 15:53:25举报|引用
返回顶部 | 快捷回复

 上侵表皮,考虑恶黑。

0
回复

mayueying 离线

帖子:73
粉蓝豆:11
经验:74
注册时间:2009-09-03
加关注  |  发消息
7 楼    发表于2011-12-31 16:24:44举报|引用
返回顶部 | 快捷回复

恶黑

0
回复

chaikeqin 离线

帖子:1355
粉蓝豆:8
经验:1483
注册时间:2009-12-31
加关注  |  发消息
8 楼    发表于2011-12-31 19:07:15举报|引用
返回顶部 | 快捷回复

考虑恶黑

0
回复

一棵小草 离线

帖子:5101
粉蓝豆:12
经验:7184
注册时间:2008-07-07
加关注  |  发消息
9 楼    发表于2011-12-31 22:09:59举报|引用
返回顶部 | 快捷回复

考虑肢端黑素瘤。

0
回复

ziranse 离线

帖子:165
粉蓝豆:31
经验:182
注册时间:2010-12-22
加关注  |  发消息
10 楼    发表于2012-01-01 20:21:20举报|引用
返回顶部 | 快捷回复

  恶黑?

0
回复

huronghui 离线

帖子:17
粉蓝豆:1
经验:17
注册时间:2010-01-07
加关注  |  发消息
11 楼    发表于2012-01-04 17:06:12举报|引用
返回顶部 | 快捷回复

恶黑

 

0
回复
signature

我希望能继续病理工作

地球的边缘 离线

帖子:370
粉蓝豆:26
经验:464
注册时间:2010-08-03
加关注  |  发消息
12 楼    发表于2012-01-04 17:30:14举报|引用
返回顶部 | 快捷回复

恶黑和鳞状细胞癌都要考虑

0
回复

cissy 离线

帖子:250
粉蓝豆:14
经验:322
注册时间:2010-12-19
加关注  |  发消息
13 楼    发表于2012-01-08 11:12:34举报|引用
返回顶部 | 快捷回复

建议做免疫组化予以鉴别

0
回复

夏日 离线

帖子:1057
粉蓝豆:45
经验:1529
注册时间:2011-04-05
加关注  |  发消息
14 楼    发表于2012-01-08 18:46:42举报|引用
返回顶部 | 快捷回复

恶黑

0
回复

一棵小草 离线

帖子:5101
粉蓝豆:12
经验:7184
注册时间:2008-07-07
加关注  |  发消息
15 楼    发表于2012-01-11 21:51:14举报|引用
返回顶部 | 快捷回复

不知楼主做了免疫组化了吗?

0
回复

hello-ayuan 离线

帖子:126
粉蓝豆:44
经验:175
注册时间:2009-10-07
加关注  |  发消息
16 楼    发表于2012-01-12 11:16:04举报|引用
返回顶部 | 快捷回复

有亲表皮·现象,细胞形态有异形性,支持恶性黑色素瘤。

0
回复
回复:16 阅读:3340
共1页/16条首页上一页1下一页尾页
【免责声明】讨论内容仅作学术交流之用,不作为诊疗依据,由此而引起的法律问题作者及本站不承担任何责任。
快速回复
进入高级回复
您最多可输入10000个汉字,按 "Ctrl" + "Enter" 直接发送
搜索回复/乘电梯 ×
按内容
按会员
乘电梯
合作伙伴
友情链接