共1页/17条首页上一页1下一页尾页
回复:17 阅读:6147
子宫内膜EIN?

yonghongchen 离线

帖子:162
粉蓝豆:2
经验:310
注册时间:2010-01-13
加关注  |  发消息
楼主 发表于 2011-12-30 20:14|举报|关注(0)
浏览排序[ 顺序 逆序 楼主 支持 精彩 ]  快捷回复

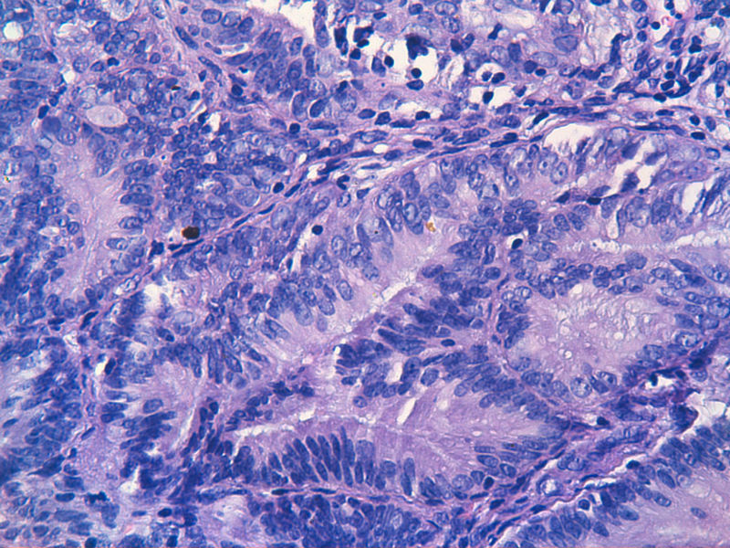
 子宫内膜EIN?图1

名称:图1
描述:image_2000y01m01d_08h08m34s
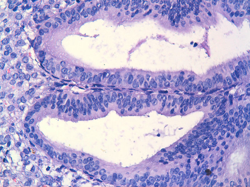
子宫内膜EIN?图2
名称:图2
描述:image_2000y01m01d_08h09m09s
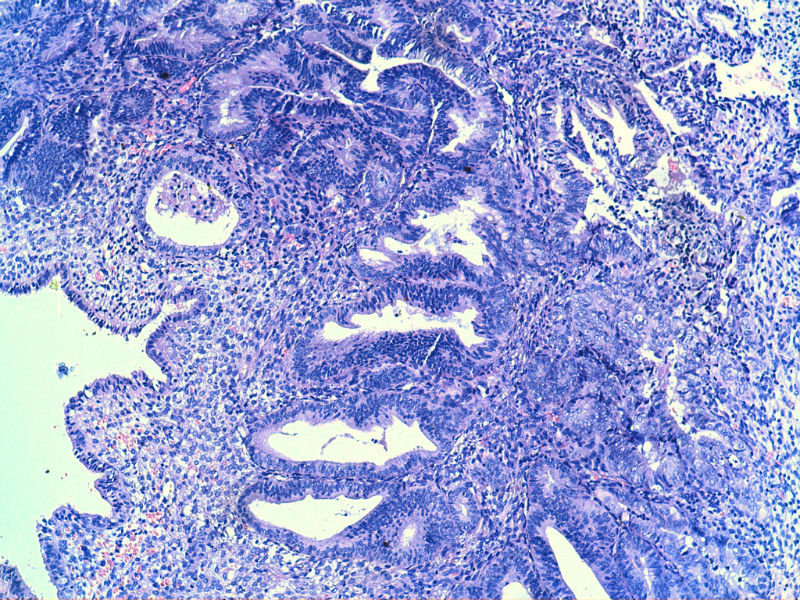
子宫内膜EIN?图3
名称:图3
描述:image_2000y01m01d_08h10m09s
子宫内膜EIN?图4
名称:图4
描述:image_2000y01m01d_08h10m53s
子宫内膜EIN?图5
名称:图5
描述:image_2000y01m01d_08h11m43s
子宫内膜EIN?图6
名称:图6
描述:image_2000y01m01d_08h12m26s
子宫内膜EIN?图7
名称:图7
描述:image_2000y01m01d_08h13m25s
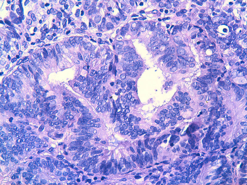
子宫内膜EIN?图8
名称:图8
描述:image_2000y01m01d_08h13m53s
子宫内膜EIN?图9
名称:图9
描述:image_2000y01m01d_08h29m54s
子宫内膜EIN?图10
名称:图10
描述:image_2000y01m01d_08h29m09s
子宫内膜EIN?图11
名称:图11
描述:image_2000y01m01d_08h28m05s
子宫内膜EIN?图12
名称:图12
描述:image_2000y01m01d_08h15m02s
子宫内膜EIN?图13
名称:图13
描述:image_2000y01m01d_08h14m35s

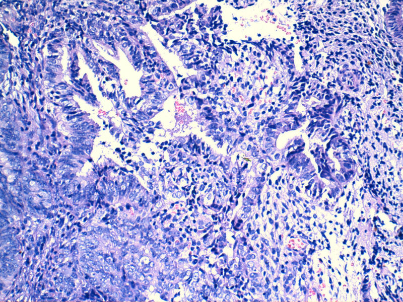
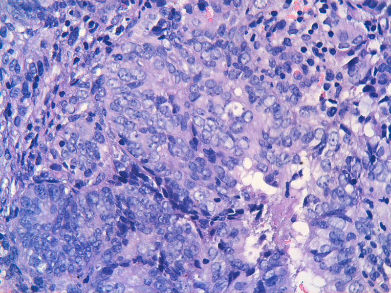
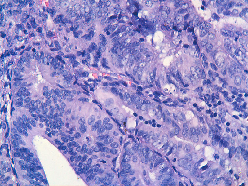
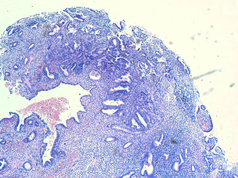
图13是做为正常对照的,图7、8、9、12显示的核大小不一,空泡状,形状不规则。女,48岁,宫血半年
标签:女 宫血半年 48岁
本帖最后由 yonghongchen 于 2012-01-01 20:49:53 编辑
0
signature
山西省汾阳市人,1990年吕梁卫校毕业,2007年山西医科大学病理学硕士研究生毕业,一直从事病理诊断工作,擅长免疫组化技术及诊断,发表论文多篇,完成市级科研4项,省级鉴定一项,获得市级科技进步奖两项,申请国家专利两项。
添加参考诊断
×参考诊断
  

清水波心 离线

帖子:435
粉蓝豆:12
经验:561
注册时间:2011-02-16
加关注  |  发消息
1 楼    发表于2011-12-30 20:39:59举报|引用
返回顶部 | 快捷回复

 个人认为不够EIN.

0
回复

jyby117 离线

帖子:118
粉蓝豆:1
经验:288
注册时间:2011-09-25
加关注  |  发消息
2 楼    发表于2011-12-30 20:51:15举报|引用
返回顶部 | 快捷回复

不典型增生

0
回复

www810910 离线

帖子:5455
粉蓝豆:349
经验:7608
注册时间:2010-05-27
加关注  |  发消息
3 楼    发表于2011-12-30 20:58:26举报|引用
返回顶部 | 快捷回复

那一小块区域到复杂性非典型增生了。

0
回复
signature
做人要知足,做事要知不足,做学问要不知足!

二土匪 离线

帖子:771
粉蓝豆:23
经验:1213
注册时间:2011-10-11
加关注  |  发消息
4 楼    发表于2011-12-30 21:03:37举报|引用
返回顶部 | 快捷回复

局部腺体密集 复杂性增生

1

dwdoctor
回复
signature
红尘中有独处的心,独处时有红尘的怀抱。

202PL 离线

帖子:850
粉蓝豆:127
经验:1050
注册时间:2010-06-19
加关注  |  发消息
5 楼    发表于2011-12-30 23:26:10举报|引用
返回顶部 | 快捷回复

复杂性非典型增生

0
回复

夏日 离线

帖子:1057
粉蓝豆:45
经验:1529
注册时间:2011-04-05
加关注  |  发消息
6 楼    发表于2011-12-31 10:07:26举报|引用
返回顶部 | 快捷回复

复杂性增生

0
回复

水中央 离线

帖子:2698
粉蓝豆:1119
经验:7190
注册时间:2009-10-07
加关注  |  发消息
7 楼    发表于2011-12-31 10:16:33举报|引用
返回顶部 | 快捷回复

按照楼主的描述 我认为够非典

0
回复
signature
刀锋上的蚂蚁

charles 离线

帖子:220
粉蓝豆:3
经验:1949
注册时间:2011-01-21
加关注  |  发消息
8 楼    发表于2011-12-31 10:19:45举报|引用
返回顶部 | 快捷回复

复杂伴非典

0
回复

tukangmei 离线

帖子:77
粉蓝豆:6
经验:123
注册时间:2007-02-06
加关注  |  发消息
9 楼    发表于2011-12-31 10:36:22举报|引用
返回顶部 | 快捷回复

子宫内膜呈增生期改变伴局灶区域腺体密集核异性够EIN.

 

0
回复
signature
tukangmei

flj20092049 离线

帖子:212
粉蓝豆:9
经验:470
注册时间:2011-11-23
加关注  |  发消息
10 楼    发表于2011-12-31 10:55:27举报|引用
返回顶部 | 快捷回复

病灶太小,异型不够,需要结合年龄和临床所见,非典要慎重,当心临床过度治疗~~~~

0
回复
signature

冬日暖阳 离线

帖子:16
粉蓝豆:17
经验:69
注册时间:2011-08-05
加关注  |  发消息
11 楼    发表于2011-12-31 11:05:02举报|引用
返回顶部 | 快捷回复

复杂性非典型增生

0
回复

yonghongchen 离线

帖子:162
粉蓝豆:2
经验:310
注册时间:2010-01-13
加关注  |  发消息
12 楼    发表于2011-12-31 11:30:08举报|引用
返回顶部 | 快捷回复
本帖最后由 yonghongchen 于 2011-12-31 11:31:15 编辑

 在我们这里只要报复杂性增生临床都会全切子宫的,病灶够2mm直径。

0
回复
signature
山西省汾阳市人,1990年吕梁卫校毕业,2007年山西医科大学病理学硕士研究生毕业,一直从事病理诊断工作,擅长免疫组化技术及诊断,发表论文多篇,完成市级科研4项,省级鉴定一项,获得市级科技进步奖两项,申请国家专利两项。

zhanghs 离线

帖子:209
粉蓝豆:9
经验:495
注册时间:2007-11-19
加关注  |  发消息
13 楼    发表于2011-12-31 11:34:54举报|引用
返回顶部 | 快捷回复

复杂性增生伴非典型性。

0
回复
signature
把我们应该做的做到最好!

山川 离线

帖子:324
粉蓝豆:18
经验:926
注册时间:2010-12-28
加关注  |  发消息
14 楼    发表于2011-12-31 12:44:17举报|引用
返回顶部 | 快捷回复

复杂性增生,EIN局部够了,但是要看临床资料,尤其是年龄。

0
回复
signature
看图识字

二土匪 离线

帖子:771
粉蓝豆:23
经验:1213
注册时间:2011-10-11
加关注  |  发消息
15 楼    发表于2011-12-31 15:31:34举报|引用
返回顶部 | 快捷回复
引用 12 楼 yonghongchen 在 2011-12-31 11:30:08 的发言:
本帖最后由 yonghongchen 于 2011-12-31 11:31:15 编辑

 在我们这里只要报复杂性增生临床都会全切子宫的,病灶够2mm直径。

复杂性增生就全切子宫!不管有没有非典型?厉害!

0
回复
signature
红尘中有独处的心,独处时有红尘的怀抱。

annisun 离线

帖子:44
粉蓝豆:3
经验:53
注册时间:2011-12-31
加关注  |  发消息
16 楼    发表于2011-12-31 16:13:53举报|引用
返回顶部 | 快捷回复

年龄及妇科病史很重要。

0
回复

yonghongchen 离线

帖子:162
粉蓝豆:2
经验:310
注册时间:2010-01-13
加关注  |  发消息
17 楼    发表于2011-12-31 16:41:12举报|引用
返回顶部 | 快捷回复
本帖最后由 yonghongchen 于 2011-12-31 16:43:10 编辑

年龄和 妇科病史过两天补上,免疫组化染色可以做什么?PTEN?

0
回复
signature
山西省汾阳市人,1990年吕梁卫校毕业,2007年山西医科大学病理学硕士研究生毕业,一直从事病理诊断工作,擅长免疫组化技术及诊断,发表论文多篇,完成市级科研4项,省级鉴定一项,获得市级科技进步奖两项,申请国家专利两项。
回复:17 阅读:6147
共1页/17条首页上一页1下一页尾页
【免责声明】讨论内容仅作学术交流之用,不作为诊疗依据,由此而引起的法律问题作者及本站不承担任何责任。
快速回复
进入高级回复
您最多可输入10000个汉字,按 "Ctrl" + "Enter" 直接发送
搜索回复/乘电梯 ×
按内容
按会员
乘电梯
合作伙伴
友情链接