共1页/6条首页上一页1下一页尾页
回复:6 阅读:1864
宫内膜

wolflovepig 离线

帖子:675
粉蓝豆:55
经验:9062
注册时间:2007-08-25
加关注  |  发消息
楼主 发表于 2011-12-29 15:06|举报|关注(0)
浏览排序[ 顺序 逆序 楼主 支持 精彩 ]  快捷回复

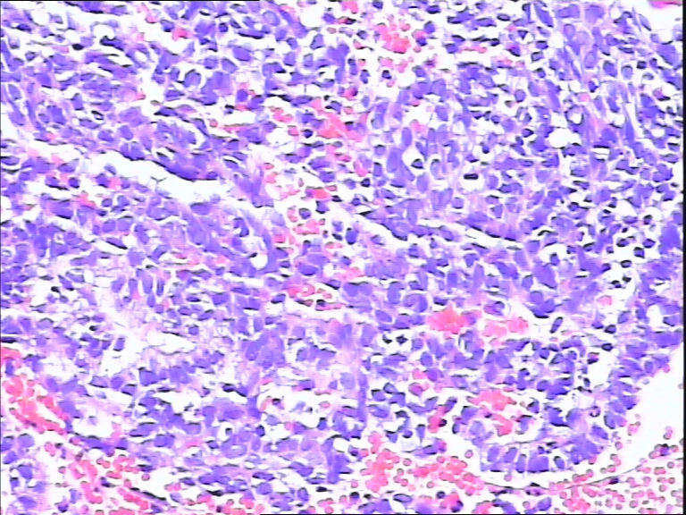
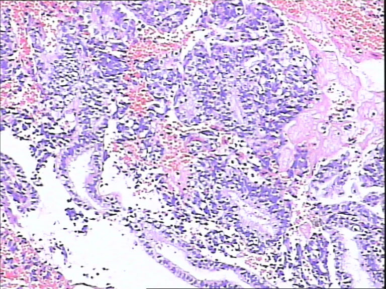
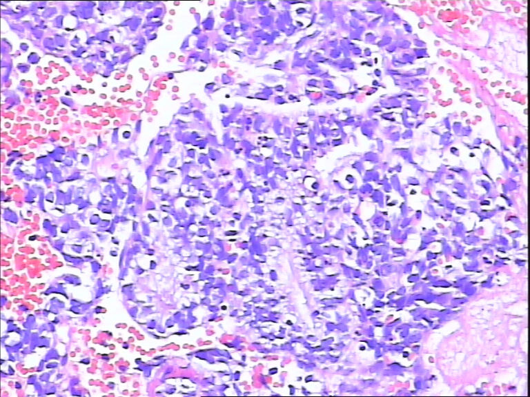
 41岁,停经5年再出血。

  • 宫内膜图1
    图1
  • 宫内膜图2
    图2
  • 宫内膜图3
    图3
  • 宫内膜图4
    图4
  • 宫内膜图5
    图5
  • 宫内膜图6
    图6
  • 宫内膜图7
    图7
  • 宫内膜图8
    图8
  • 宫内膜图9
    图9

标签:宫内膜
0
添加参考诊断
×参考诊断
  

qiaoqiao 离线

帖子:4186
粉蓝豆:143
经验:6715
注册时间:2011-08-04
加关注  |  发消息
6 楼    发表于2012-01-05 21:31:59举报|引用
返回顶部 | 快捷回复

流血期子宫内膜,腺体反应不同步

0
回复
signature
天生我才必我用

kangwang2010 离线

帖子:389
粉蓝豆:13
经验:590
注册时间:2010-03-04
加关注  |  发消息
5 楼    发表于2011-12-29 19:49:42举报|引用
返回顶部 | 快捷回复

腺体反应不同步,部分增生期改变,部分上皮细胞有核下空泡呈早分泌期改变,是用过药物?

1

东北鱼
回复
signature
有时候,称赞别人也是一种美德!

水晶蔷薇 离线

帖子:454
粉蓝豆:309
经验:1828
注册时间:2011-11-30
加关注  |  发消息
4 楼    发表于2011-12-29 19:41:02举报|引用
返回顶部 | 快捷回复

是不是采图有问题,片子上细胞变形严重,从轮廓看问题不大,至少不是恶性,再传点图

0
回复

二土匪 离线

帖子:771
粉蓝豆:23
经验:1213
注册时间:2011-10-11
加关注  |  发消息
3 楼    发表于2011-12-29 19:20:16举报|引用
返回顶部 | 快捷回复

片子不是很清楚,像是月经期子宫内膜

0
回复
signature
红尘中有独处的心,独处时有红尘的怀抱。

旅顺病理 离线

帖子:4084
粉蓝豆:144
经验:5113
注册时间:2011-06-04
加关注  |  发消息
2 楼    发表于2011-12-29 15:28:08举报|引用
返回顶部 | 快捷回复

流血期子宫内膜,腺体反应不同步。

1

sl风
回复

Gu23 离线

帖子:211
粉蓝豆:12
经验:311
注册时间:2006-10-16
加关注  |  发消息
1 楼    发表于2011-12-29 15:24:41举报|引用
返回顶部 | 快捷回复

腺体增生,部分腺上皮有分泌。

0
回复
signature

潇洒人生

回复:6 阅读:1864
共1页/6条首页上一页1下一页尾页
【免责声明】讨论内容仅作学术交流之用,不作为诊疗依据,由此而引起的法律问题作者及本站不承担任何责任。
快速回复
进入高级回复
您最多可输入10000个汉字,按 "Ctrl" + "Enter" 直接发送
搜索回复/乘电梯 ×
按内容
按会员
乘电梯
合作伙伴
友情链接