共1页/9条首页上一页1下一页尾页
回复:9 阅读:2701
宫内膜

小鬼难缠 离线

帖子:393
粉蓝豆:510
经验:2502
注册时间:2009-01-24
加关注  |  发消息
楼主 发表于 2011-12-29 13:51|举报|关注(0)
浏览排序[ 顺序 逆序 楼主 支持 精彩 ]  快捷回复

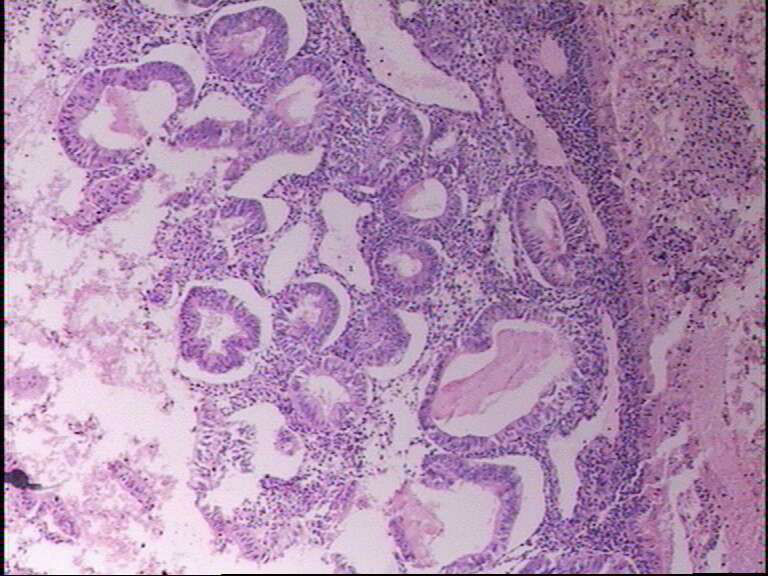
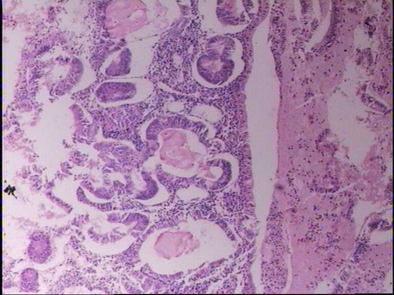
 女43岁 不规则流血

  • 宫内膜图1
    图1
  • 宫内膜图2
    图2
  • 宫内膜图3
    图3
  • 宫内膜图4
    图4
  • 宫内膜图5
    图5
  • 宫内膜图6
    图6
  • 宫内膜图7
    图7
  • 宫内膜图8
    图8
  • 宫内膜图9
    图9
  • 宫内膜图10
    图10
  • 宫内膜图11
    图11
  • 宫内膜图12
    图12
  • 宫内膜图13
    图13
 
标签:
0
添加参考诊断
×参考诊断
  

cyb1433 离线

帖子:666
粉蓝豆:644
经验:1631
注册时间:2009-05-27
加关注  |  发消息
1 楼    发表于2011-12-29 14:25:07举报|引用
返回顶部 | 快捷回复

局灶复杂性增生伴轻度非典型增生

0
回复
signature
生活就是生下来、 活下去

旅顺病理 离线

帖子:4084
粉蓝豆:144
经验:5113
注册时间:2011-06-04
加关注  |  发消息
2 楼    发表于2011-12-29 15:56:32举报|引用
返回顶部 | 快捷回复

单纯性增生,局部间质崩解造成假拥挤。

0
回复

二土匪 离线

帖子:771
粉蓝豆:23
经验:1213
注册时间:2011-10-11
加关注  |  发消息
3 楼    发表于2011-12-29 19:16:47举报|引用
返回顶部 | 快捷回复

单纯性增生。

0
回复
signature
红尘中有独处的心,独处时有红尘的怀抱。

伯牙绝弦 离线

帖子:1408
粉蓝豆:152
经验:2019
注册时间:2010-09-28
加关注  |  发消息
4 楼    发表于2011-12-29 20:25:32举报|引用
返回顶部 | 快捷回复

单纯性增生。

1

swallowa..
回复
signature
成功不是将来才有的,而是从决定去做的那一刻起,持续累积而成。

月影 离线

帖子:62
粉蓝豆:707
经验:63
注册时间:2011-03-15
加关注  |  发消息
5 楼    发表于2011-12-29 21:52:35举报|引用
返回顶部 | 快捷回复

子宫内膜单纯性增生,局灶区域呈复杂性增生

0
回复

tlm1976 离线

帖子:336
粉蓝豆:2208
经验:382
注册时间:2007-04-20
加关注  |  发消息
6 楼    发表于2011-12-30 16:38:37举报|引用
返回顶部 | 快捷回复

单纯性增生,局部间质崩解造成假拥挤。

0
回复
signature
黎明

木蚂蚁 离线

帖子:764
粉蓝豆:2536
经验:1555
注册时间:2010-01-12
加关注  |  发消息
7 楼    发表于2011-12-31 16:35:51举报|引用
返回顶部 | 快捷回复

子宫内膜简单型增生过长

0
回复
signature
学然后知不足

宁静致远 离线

帖子:4242
粉蓝豆:2853
经验:6556
注册时间:2007-03-27
加关注  |  发消息
8 楼    发表于2011-12-31 21:39:08举报|引用
返回顶部 | 快捷回复

局灶复杂性增生伴轻度非典型增生

0
回复

wsswxx 离线

帖子:350
粉蓝豆:40
经验:480
注册时间:2010-12-31
加关注  |  发消息
9 楼    发表于2011-12-31 22:54:44举报|引用
返回顶部 | 快捷回复

子宫内膜单纯性增生,局灶区域复杂性增生

0
回复
回复:9 阅读:2701
共1页/9条首页上一页1下一页尾页
【免责声明】讨论内容仅作学术交流之用,不作为诊疗依据,由此而引起的法律问题作者及本站不承担任何责任。
快速回复
进入高级回复
您最多可输入10000个汉字,按 "Ctrl" + "Enter" 直接发送
搜索回复/乘电梯 ×
按内容
按会员
乘电梯
合作伙伴
友情链接