| 图片: | |
|---|---|
| 名称: | |
| 描述: | |
kangwang2010 离线
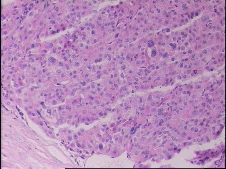
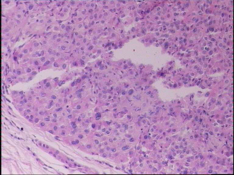
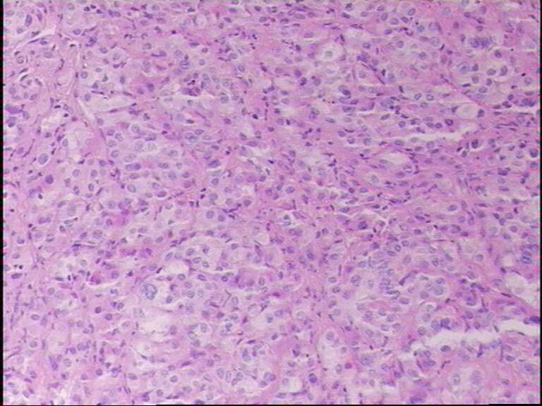
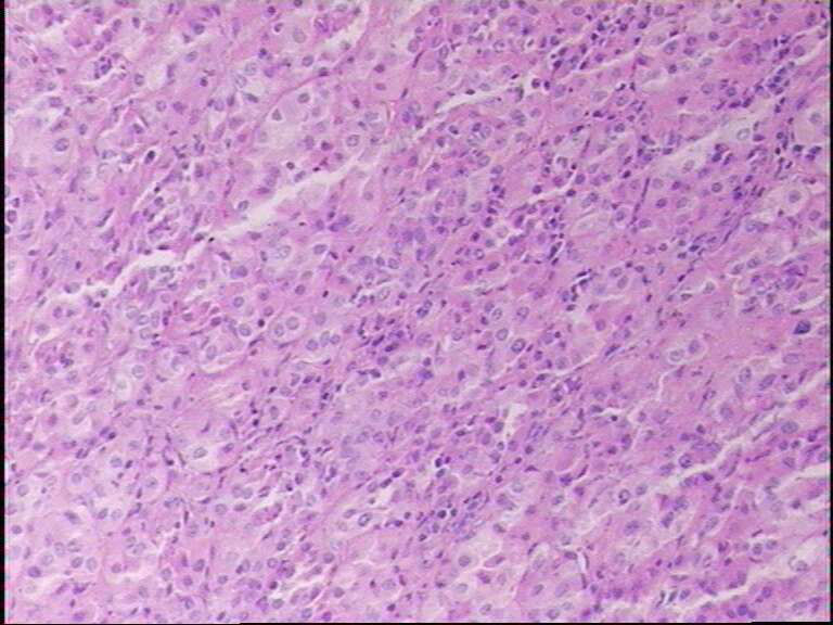
本例临床特点为男,57岁,肿块较小,界限清楚。镜下见:瘤细胞中等大小,圆形、卵圆形及多边形,胞浆丰富,嗜酸性,部分瘤细胞的胞浆透亮,细胞核呈圆形、卵圆形,细胞核有轻度大小不一,少数瘤细胞核较大,染色较深。瘤细胞丰富密集,排列成巢状、条索状、团块状及片状,肿瘤与周围组织界限清楚。考虑为富于细胞的嗜酸细胞腺瘤。
鉴别诊断:1.嗜酸细胞腺癌:特点为肿瘤体积较大,生长速度较快,与周围组织界限不清,镜下见瘤细胞非典型性、多形性更明显,核分裂像更多见,浸润神经及周围组织,肿瘤内常见坏死。嗜酸细胞腺瘤则与此相反。2.肌上皮瘤:瘤细胞形态多样,肿瘤内可有梭形细胞、浆细胞样细胞、透明细胞及上皮样细胞,瘤细胞可排列成束状,免疫组化染色见瘤细胞表达肌上皮标记阳性。嗜酸细胞腺瘤形态相对较单一,主要由上皮样细胞所构成,无排列成束状的梭形瘤细胞,嗜酸细胞腺瘤表达上皮标记阳性,肌上皮标记阴性。3.腺泡细胞癌:其特点为肿瘤细胞的胞浆丰富嗜碱性,瘤细胞形态多样,可见腺泡样、闰管样、空泡样和透明样细胞,瘤细胞排列多样,可成实性、微囊性和滤泡样结构。嗜酸细胞腺瘤胞质丰富嗜酸性有颗粒,瘤细胞种类较为单一,主要排列成条索状及片状。仅靠以上鉴别诊断中的单独某一项,不能作出可靠的鉴别诊断,必须综合考虑。
