共2页/27条首页上一页12下一页尾页
回复:27 阅读:8196
宫腔内肿物,今天的片子,大家一起来看看

从头乱来 离线

帖子:37
粉蓝豆:2
经验:48
注册时间:2010-05-04
加关注  |  发消息
楼主 发表于 2011-12-28 20:44|举报|关注(1)
浏览排序[ 顺序 逆序 楼主 支持 精彩 ]  快捷回复

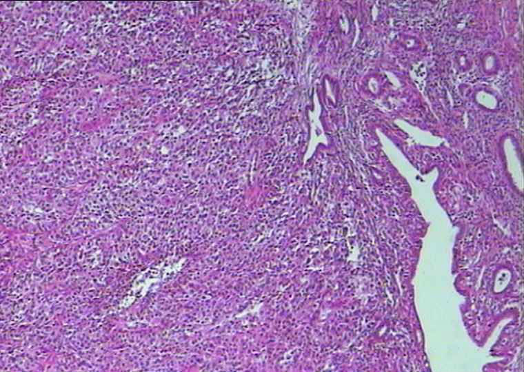
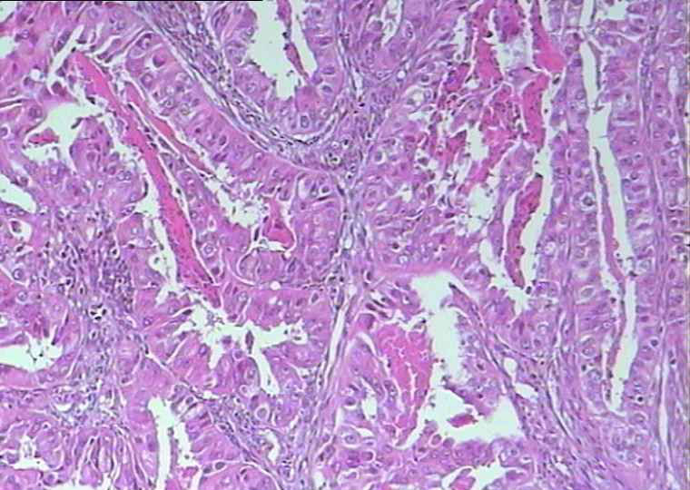
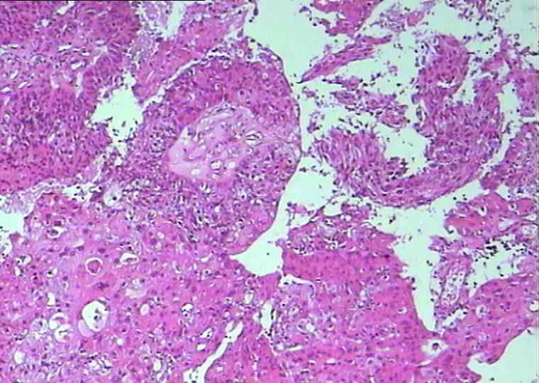
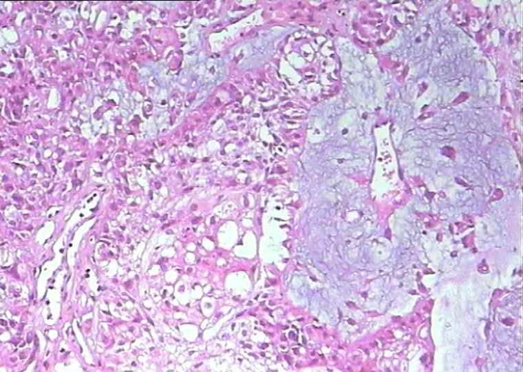
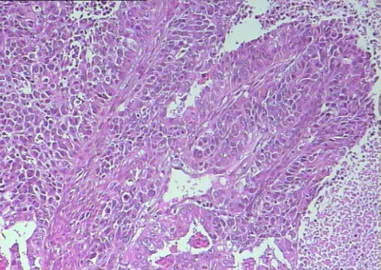
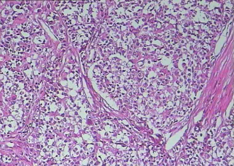
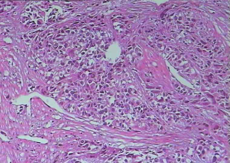
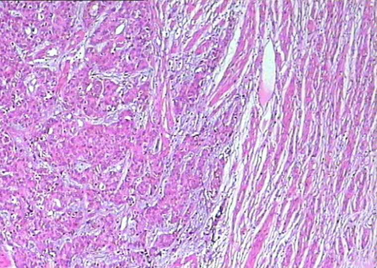
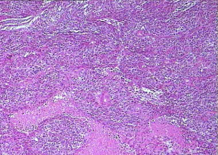
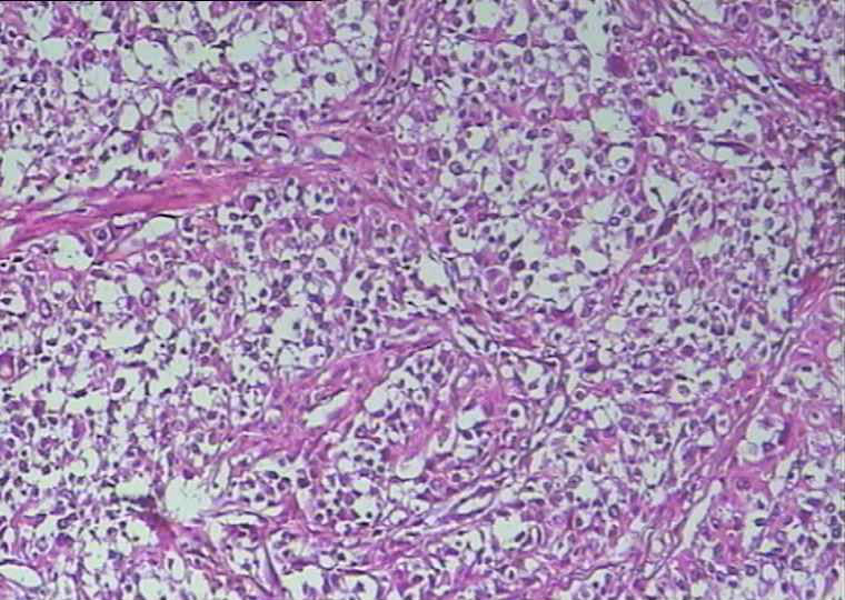
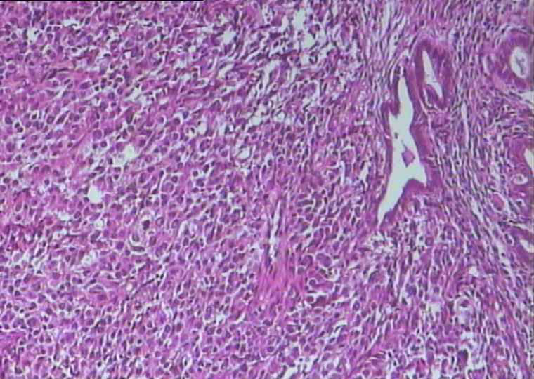
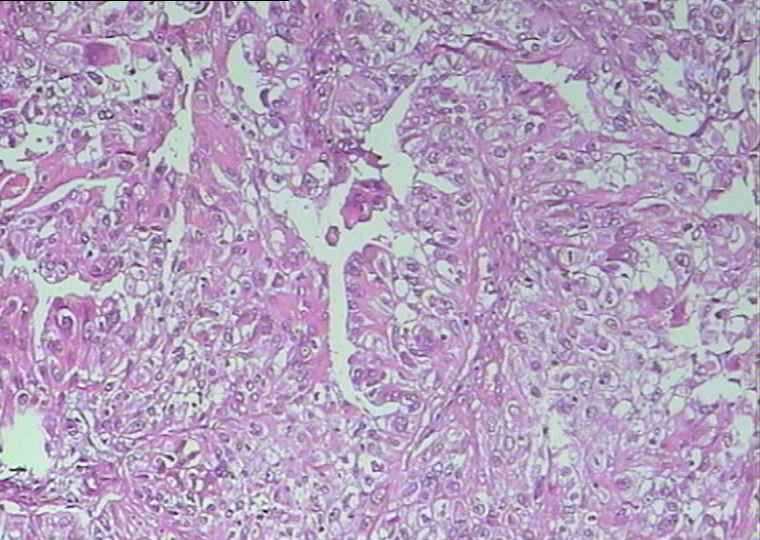
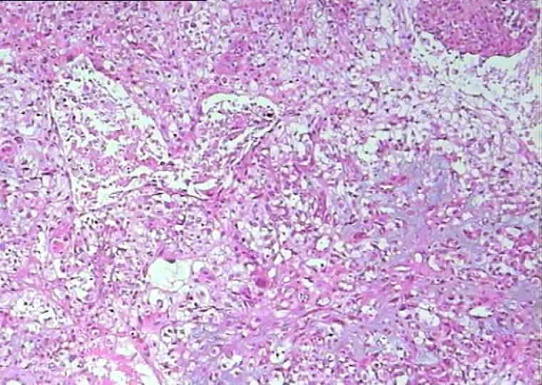
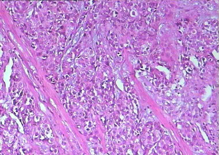
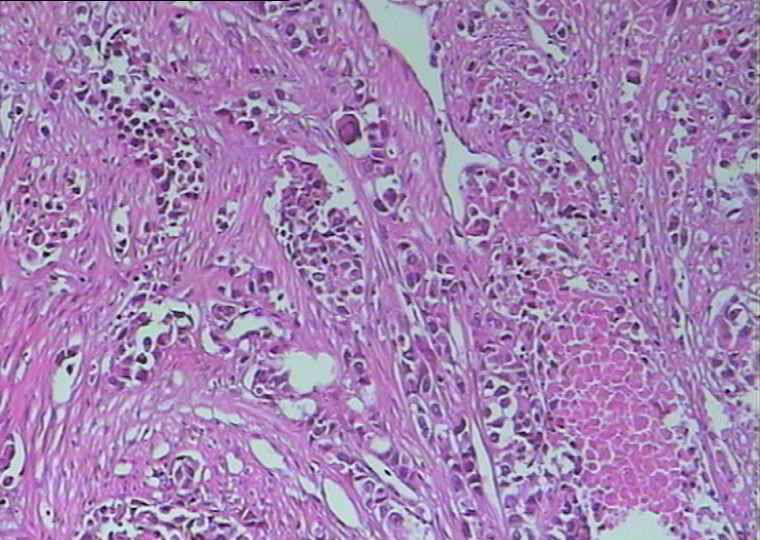
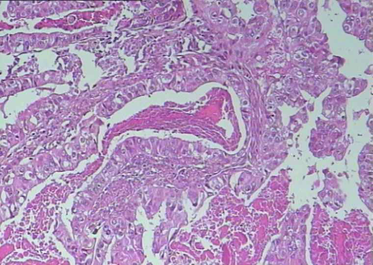
 女,56岁

宫腔内淡黄色隆起型肿物数枚,实性质软,直径1.5~3cm,其一侵及浆膜面,肿物累及颈管及一侧输卵管,卵巢,并在输卵管膨大处形成直径0.5cm淡黄色菜花样肿物。

  • 宫腔内肿物,今天的片子,大家一起来看看图1
    图1
  • 宫腔内肿物,今天的片子,大家一起来看看图2
    图2
  • 宫腔内肿物,今天的片子,大家一起来看看图3
    图3
  • 宫腔内肿物,今天的片子,大家一起来看看图4
    图4
  • 宫腔内肿物,今天的片子,大家一起来看看图5
    图5
  • 宫腔内肿物,今天的片子,大家一起来看看图6
    图6
  • 宫腔内肿物,今天的片子,大家一起来看看图7
    图7
  • 宫腔内肿物,今天的片子,大家一起来看看图8
    图8
  • 宫腔内肿物,今天的片子,大家一起来看看图9
    图9
  • 宫腔内肿物,今天的片子,大家一起来看看图10
    图10
  • 宫腔内肿物,今天的片子,大家一起来看看图11
    图11
  • 宫腔内肿物,今天的片子,大家一起来看看图12
    图12
  • 宫腔内肿物,今天的片子,大家一起来看看图13
    图13
  • 宫腔内肿物,今天的片子,大家一起来看看图14
    图14
  • 宫腔内肿物,今天的片子,大家一起来看看图15
    图15
  • 宫腔内肿物,今天的片子,大家一起来看看图16
    图16
  • 宫腔内肿物,今天的片子,大家一起来看看图17
    图17
  • 宫腔内肿物,今天的片子,大家一起来看看图18
    图18
  • 宫腔内肿物,今天的片子,大家一起来看看图19
    图19
  • 宫腔内肿物,今天的片子,大家一起来看看图20
    图20
  • 宫腔内肿物,今天的片子,大家一起来看看图21
    图21

标签:宫腔内淡黄色肿物
本帖最后由 从头乱来 于 2011-12-28 21:25:34 编辑
0
×参考诊断
个人倾向高级别浆乳癌,看看大家的意见

linyguo 离线

帖子:2365
粉蓝豆:43
经验:2514
注册时间:2009-08-09
加关注  |  发消息
1 楼    发表于2011-12-28 20:50:55举报|引用
返回顶部 | 快捷回复

浆乳癌

1

benben52..
回复

lchxhy 离线

帖子:186
粉蓝豆:67
经验:602
注册时间:2009-08-27
加关注  |  发消息
2 楼    发表于2011-12-28 22:33:12举报|引用
返回顶部 | 快捷回复

浆乳癌

1

葡萄熟了
回复

水晶蔷薇 离线

帖子:454
粉蓝豆:309
经验:1828
注册时间:2011-11-30
加关注  |  发消息
3 楼    发表于2011-12-28 22:44:49举报|引用
返回顶部 | 快捷回复

子宫内膜样腺癌

2

lg7391

wxyz516
回复

一只小鱼 离线

帖子:39
粉蓝豆:9
经验:98
注册时间:2008-12-27
加关注  |  发消息
4 楼    发表于2011-12-28 23:26:08举报|引用
返回顶部 | 快捷回复

透明细胞癌

1

脑积水00
回复
signature
心能力量

教学课堂 离线

帖子:48
粉蓝豆:9
经验:184
注册时间:2008-03-31
加关注  |  发消息
5 楼    发表于2011-12-29 09:17:15举报|引用
返回顶部 | 快捷回复

透明细胞癌

0
回复

flj20092049 离线

帖子:212
粉蓝豆:9
经验:470
注册时间:2011-11-23
加关注  |  发消息
6 楼    发表于2011-12-29 10:58:19举报|引用
返回顶部 | 快捷回复

更像内模样腺癌,需要排除透明细胞腺癌~~

1

阿娇
回复
signature

laoshilieren 离线

帖子:151
粉蓝豆:24
经验:180
注册时间:2006-11-15
加关注  |  发消息
7 楼    发表于2011-12-29 18:21:01举报|引用
返回顶部 | 快捷回复

恶性肿瘤,低分化上皮来源,有肉瘤分化吗

0
回复

200406 离线

帖子:1385
粉蓝豆:145
经验:2735
注册时间:2011-08-08
加关注  |  发消息
8 楼    发表于2011-12-29 18:40:08举报|引用
返回顶部 | 快捷回复

有粘液腺癌的区域、透明细胞癌的区域,到底是原发宫颈还是宫内膜?值得考证!

0
回复

kangwang2010 离线

帖子:389
粉蓝豆:13
经验:590
注册时间:2010-03-04
加关注  |  发消息
9 楼    发表于2011-12-29 22:02:29举报|引用
返回顶部 | 快捷回复

1.子宫内膜样癌2.透明细胞癌

0
回复
signature
有时候,称赞别人也是一种美德!

benben520sps 离线

帖子:1045
粉蓝豆:568
经验:1254
注册时间:2009-07-28
加关注  |  发消息
10 楼    发表于2011-12-29 22:11:53举报|引用
返回顶部 | 快捷回复

同意楼主的诊断,建议加做免疫组化PAX8、p53、ER、PR、CD10鉴别一下。

2

杨昕月亮

whwwhw
回复
signature
你的潜力埋藏在你的心灵深处,当你发现它时,它会发出万丈光芒。

杨昕月亮 离线

帖子:21
粉蓝豆:120
经验:144
注册时间:2011-12-13
加关注  |  发消息
11 楼    发表于2011-12-31 15:03:00举报|引用
返回顶部 | 快捷回复
引用 10 楼 benben520sps 在 2011-12-29 22:11:53 的发言:

同意楼主的诊断,建议加做免疫组化PAX8、p53、ER、PR、CD10鉴别一下。


降入可能性大,但是还需要排除一下别的可能性。

0
回复
signature
寂寞的马拉松

武灵儿 离线

帖子:113
粉蓝豆:10
经验:174
注册时间:2011-12-30
加关注  |  发消息
12 楼    发表于2011-12-31 15:30:56举报|引用
返回顶部 | 快捷回复

浆液性乳头状癌?

0
回复
signature

宁静致远 勤俭修身

fsyyy123 离线

帖子:464
粉蓝豆:467
经验:919
注册时间:2009-09-22
加关注  |  发消息
13 楼    发表于2012-01-11 23:31:22举报|引用
返回顶部 | 快捷回复

可能有癌肉瘤

 

0
回复

pink 离线

帖子:2
粉蓝豆:1
经验:2
注册时间:2012-01-11
加关注  |  发消息
14 楼    发表于2012-01-11 23:56:12举报|引用
返回顶部 | 快捷回复

同意楼主的诊断,建议加做免疫组化PAX8、p53、ER、PR、CD10鉴别一下。

0
回复

1171465724 离线

帖子:64
粉蓝豆:3
经验:66
注册时间:2012-01-11
加关注  |  发消息
15 楼    发表于2012-01-12 12:25:01举报|引用
返回顶部 | 快捷回复

子宫内腺癌~~

0
回复

尹儿 离线

帖子:94
粉蓝豆:2290
经验:169
注册时间:2010-04-19
加关注  |  发消息
16 楼    发表于2012-01-12 19:54:48举报|引用
返回顶部 | 快捷回复

同意楼主的诊断,建议加做免疫组化PAX8、p53、ER、PR、CD10鉴别一下。

1

东北鱼
回复

李文 离线

帖子:48
粉蓝豆:528
经验:205
注册时间:2010-04-07
加关注  |  发消息
17 楼    发表于2012-01-19 22:31:52举报|引用
返回顶部 | 快捷回复

子宫内膜癌

0
回复

wangmaomao 离线

帖子:13
粉蓝豆:2
经验:35
注册时间:2012-01-20
加关注  |  发消息
18 楼    发表于2012-01-20 11:35:13举报|引用
返回顶部 | 快捷回复

请教为什么做这几项免疫组化PAX8、p53、ER、PR、CD10。

0
回复

wyjy2870 离线

帖子:229
粉蓝豆:3385
经验:438
注册时间:2009-04-19
加关注  |  发消息
19 楼    发表于2012-02-07 17:49:11举报|引用
返回顶部 | 快捷回复

恶性肿瘤,倾向为透明细胞癌

0
回复

korah 离线

帖子:7
粉蓝豆:34
经验:168
注册时间:2011-06-05
加关注  |  发消息
20 楼    发表于2012-02-24 23:40:52举报|引用
返回顶部 | 快捷回复

卵黄囊瘤?---AFP AAT CEA

0
回复
回复:27 阅读:8196
共2页/27条首页上一页12下一页尾页
【免责声明】讨论内容仅作学术交流之用,不作为诊疗依据,由此而引起的法律问题作者及本站不承担任何责任。
快速回复
进入高级回复
您最多可输入10000个汉字,按 "Ctrl" + "Enter" 直接发送
搜索回复/乘电梯 ×
按内容
按会员
乘电梯
合作伙伴
友情链接