共2页/33条首页上一页12下一页尾页
回复:33 阅读:9668
网膜结节,大家看看可能是那种瘤子?补充做了免疫组化,又补做免组

yonghongchen 离线

帖子:162
粉蓝豆:2
经验:310
注册时间:2010-01-13
加关注  |  发消息
楼主 发表于 2011-12-28 19:18|举报|关注(0)
浏览排序[ 顺序 逆序 楼主 支持 精彩 ]  快捷回复
      • 网膜结节,大家看看可能是那种瘤子?补充做了免疫组化,又补做免组图1


        图1
      • 网膜结节,大家看看可能是那种瘤子?补充做了免疫组化,又补做免组图2
        图2
      • 网膜结节,大家看看可能是那种瘤子?补充做了免疫组化,又补做免组图3
        图3
      • 网膜结节,大家看看可能是那种瘤子?补充做了免疫组化,又补做免组图4
        图4
      • 网膜结节,大家看看可能是那种瘤子?补充做了免疫组化,又补做免组图5
        图5
      • 网膜结节,大家看看可能是那种瘤子?补充做了免疫组化,又补做免组图6
        图6
      • 网膜结节,大家看看可能是那种瘤子?补充做了免疫组化,又补做免组图7
        图7
      • 网膜结节,大家看看可能是那种瘤子?补充做了免疫组化,又补做免组图8
        图8
      • 网膜结节,大家看看可能是那种瘤子?补充做了免疫组化,又补做免组图9
        图9
      • 网膜结节,大家看看可能是那种瘤子?补充做了免疫组化,又补做免组图10
        图10
      • 网膜结节,大家看看可能是那种瘤子?补充做了免疫组化,又补做免组图11
        图11
      • 网膜结节,大家看看可能是那种瘤子?补充做了免疫组化,又补做免组图12
        图12
      • 网膜结节,大家看看可能是那种瘤子?补充做了免疫组化,又补做免组图13
        图13
      • 网膜结节,大家看看可能是那种瘤子?补充做了免疫组化,又补做免组图14
        图14
      • 网膜结节,大家看看可能是那种瘤子?补充做了免疫组化,又补做免组图15
        图15
      • 网膜结节,大家看看可能是那种瘤子?补充做了免疫组化,又补做免组图16
        图16
      • 网膜结节,大家看看可能是那种瘤子?补充做了免疫组化,又补做免组图17
        图17
      • 网膜结节,大家看看可能是那种瘤子?补充做了免疫组化,又补做免组图18
        图18
      • 网膜结节,大家看看可能是那种瘤子?补充做了免疫组化,又补做免组图19
        图19
      • 网膜结节,大家看看可能是那种瘤子?补充做了免疫组化,又补做免组图20
        图20
      • 网膜结节,大家看看可能是那种瘤子?补充做了免疫组化,又补做免组图21
        图21
      • 网膜结节,大家看看可能是那种瘤子?补充做了免疫组化,又补做免组图22
        图22
      • 网膜结节,大家看看可能是那种瘤子?补充做了免疫组化,又补做免组图23
        图23
      网膜结节,大家看看可能是那种瘤子?补充做了免疫组化,又补做免组图24
      图1
    • 网膜结节,大家看看可能是那种瘤子?补充做了免疫组化,又补做免组图25
      图2
    网膜结节,大家看看可能是那种瘤子?补充做了免疫组化,又补做免组图26
    图1

  • 图2网膜结节,大家看看可能是那种瘤子?补充做了免疫组化,又补做免组图27

    • 网膜结节,大家看看可能是那种瘤子?补充做了免疫组化,又补做免组图28
    3

  • 图4网膜结节,大家看看可能是那种瘤子?补充做了免疫组化,又补做免组图29
  • 网膜结节,大家看看可能是那种瘤子?补充做了免疫组化,又补做免组图30
    图5
  • 网膜结节,大家看看可能是那种瘤子?补充做了免疫组化,又补做免组图31
    • 网膜结节,大家看看可能是那种瘤子?补充做了免疫组化,又补做免组图32
      图1
    • 网膜结节,大家看看可能是那种瘤子?补充做了免疫组化,又补做免组图33
      图2
    • 网膜结节,大家看看可能是那种瘤子?补充做了免疫组化,又补做免组图34
      图3
    • 网膜结节,大家看看可能是那种瘤子?补充做了免疫组化,又补做免组图35
      图4
    • 网膜结节,大家看看可能是那种瘤子?补充做了免疫组化,又补做免组图36
      图5
    • 网膜结节,大家看看可能是那种瘤子?补充做了免疫组化,又补做免组图37
      图6
    • 网膜结节,大家看看可能是那种瘤子?补充做了免疫组化,又补做免组图38
      图7
    • 网膜结节,大家看看可能是那种瘤子?补充做了免疫组化,又补做免组图39
      图8
    • 网膜结节,大家看看可能是那种瘤子?补充做了免疫组化,又补做免组图40
      图9
    • 网膜结节,大家看看可能是那种瘤子?补充做了免疫组化,又补做免组图41
      图1
    • 网膜结节,大家看看可能是那种瘤子?补充做了免疫组化,又补做免组图42
      图2
    • 网膜结节,大家看看可能是那种瘤子?补充做了免疫组化,又补做免组图43
      图3
    • 网膜结节,大家看看可能是那种瘤子?补充做了免疫组化,又补做免组图44
      图4
    • 网膜结节,大家看看可能是那种瘤子?补充做了免疫组化,又补做免组图45
      图5
    • 网膜结节,大家看看可能是那种瘤子?补充做了免疫组化,又补做免组图46
      图6
    • 网膜结节,大家看看可能是那种瘤子?补充做了免疫组化,又补做免组图47
      图7
    • 网膜结节,大家看看可能是那种瘤子?补充做了免疫组化,又补做免组图48
      图8
    • 网膜结节,大家看看可能是那种瘤子?补充做了免疫组化,又补做免组图49
      图9
    • 网膜结节,大家看看可能是那种瘤子?补充做了免疫组化,又补做免组图50
      图10
    • 网膜结节,大家看看可能是那种瘤子?补充做了免疫组化,又补做免组图51
      图11
    • 网膜结节,大家看看可能是那种瘤子?补充做了免疫组化,又补做免组图52
      图12
    • 网膜结节,大家看看可能是那种瘤子?补充做了免疫组化,又补做免组图53
      图13
    图6


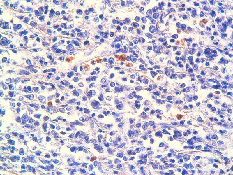
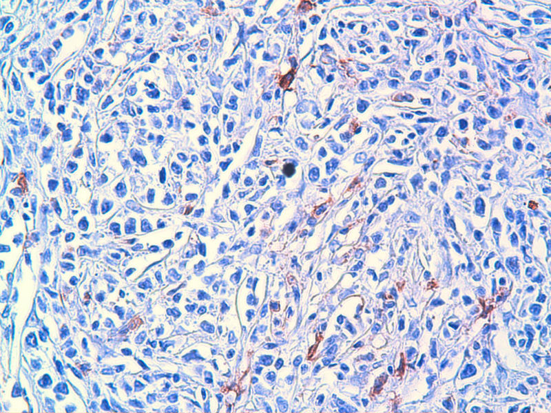
 免疫组化染色:CA125(-),PLAP(-),NSE灶状阳性,Vimentin(+),a-inhibin(-),CK7(-),CK20(-),CD15(-),PSA(-),S100(-),MyoD1(-),CD38(-),CD56(-),HMB45(-),CK8(-),NF(-),CGA(-),syn(+),MPO散在(+)可能是炎细胞吧,LCA(+),CD133(+).

标签:女 61岁 发现网膜结节多个约1lm左右
本帖最后由 迷路 于 2012-01-12 07:42:12 编辑
1
signature
山西省汾阳市人,1990年吕梁卫校毕业,2007年山西医科大学病理学硕士研究生毕业,一直从事病理诊断工作,擅长免疫组化技术及诊断,发表论文多篇,完成市级科研4项,省级鉴定一项,获得市级科技进步奖两项,申请国家专利两项。
添加参考诊断
×参考诊断
  

yonghongchen 离线

帖子:162
粉蓝豆:2
经验:310
注册时间:2010-01-13
加关注  |  发消息
33 楼    发表于2012-07-09 09:08:27举报|引用
返回顶部 | 快捷回复

好的

 

0
回复
signature
山西省汾阳市人,1990年吕梁卫校毕业,2007年山西医科大学病理学硕士研究生毕业,一直从事病理诊断工作,擅长免疫组化技术及诊断,发表论文多篇,完成市级科研4项,省级鉴定一项,获得市级科技进步奖两项,申请国家专利两项。

chenliu0552 离线

帖子:502
粉蓝豆:22
经验:985
注册时间:2010-12-10
加关注  |  发消息
32 楼    发表于2012-07-08 18:47:42举报|引用
返回顶部 | 快捷回复

请问诊断依据如何?

61岁,以盆腔肿块为特点的B淋母是很少见的,请提供诊断依据,以上的免疫组化让人不太明白,是否有重做的结果或新的结果比如TDT等。

感谢楼主能与大家分享困惑与新奇。

0
回复

yonghongchen 离线

帖子:162
粉蓝豆:2
经验:310
注册时间:2010-01-13
加关注  |  发消息
31 楼    发表于2012-07-08 09:13:40举报|引用
返回顶部 | 快捷回复

最后诊断:B淋巴母细胞淋巴瘤

0
回复
signature
山西省汾阳市人,1990年吕梁卫校毕业,2007年山西医科大学病理学硕士研究生毕业,一直从事病理诊断工作,擅长免疫组化技术及诊断,发表论文多篇,完成市级科研4项,省级鉴定一项,获得市级科技进步奖两项,申请国家专利两项。

fangg 离线

帖子:1426
粉蓝豆:44
经验:1863
注册时间:2007-01-22
加关注  |  发消息
30 楼    发表于2012-02-02 04:49:12举报|引用
返回顶部 | 快捷回复

还是考虑弥漫性大B细胞淋巴瘤

0
回复
signature
境随心转

yonghongchen 离线

帖子:162
粉蓝豆:2
经验:310
注册时间:2010-01-13
加关注  |  发消息
29 楼    发表于2012-01-14 11:23:32举报|引用
返回顶部 | 快捷回复

CK5(-),AE1/AE3(-)

0
回复
signature
山西省汾阳市人,1990年吕梁卫校毕业,2007年山西医科大学病理学硕士研究生毕业,一直从事病理诊断工作,擅长免疫组化技术及诊断,发表论文多篇,完成市级科研4项,省级鉴定一项,获得市级科技进步奖两项,申请国家专利两项。

yonghongchen 离线

帖子:162
粉蓝豆:2
经验:310
注册时间:2010-01-13
加关注  |  发消息
28 楼    发表于2012-01-12 20:58:24举报|引用
返回顶部 | 快捷回复

上级医院会诊结果:恶性肿瘤,类型未定。我又仔细看,核的形态酷似滤泡中心的有核裂的细胞(是否叫滤泡中心细胞?)。有哪位大师想看片子,我可以寄过去。谁确诊谁就是大师。 

0
回复
signature
山西省汾阳市人,1990年吕梁卫校毕业,2007年山西医科大学病理学硕士研究生毕业,一直从事病理诊断工作,擅长免疫组化技术及诊断,发表论文多篇,完成市级科研4项,省级鉴定一项,获得市级科技进步奖两项,申请国家专利两项。

hnbl 在线

帖子:119
粉蓝豆:1
经验:441
注册时间:2010-10-21
加关注  |  发消息
27 楼    发表于2012-01-11 22:34:28举报|引用
返回顶部 | 快捷回复
引用 26 楼 yonghongchen 在 2012-01-10 20:55:50 的发言:

 我没有考虑鳞癌


个人觉得低分化的鳞癌和低分化的腺癌有时在HE下是分不清的,看您做了ck8感觉可能是想排除腺癌,但是贲门部鳞癌比较常见,会不会来源于此处的低分化鳞癌,感觉如果用ck可以先定一个是否是上皮来源的方向,在进一步探讨具体是那种上皮貌似也好!

1

yonghong..
回复

yonghongchen 离线

帖子:162
粉蓝豆:2
经验:310
注册时间:2010-01-13
加关注  |  发消息
26 楼    发表于2012-01-10 20:55:50举报|引用
返回顶部 | 快捷回复

 我没有考虑鳞癌

0
回复
signature
山西省汾阳市人,1990年吕梁卫校毕业,2007年山西医科大学病理学硕士研究生毕业,一直从事病理诊断工作,擅长免疫组化技术及诊断,发表论文多篇,完成市级科研4项,省级鉴定一项,获得市级科技进步奖两项,申请国家专利两项。

hnbl 在线

帖子:119
粉蓝豆:1
经验:441
注册时间:2010-10-21
加关注  |  发消息
25 楼    发表于2012-01-10 16:52:28举报|引用
返回顶部 | 快捷回复

为什么不选ck而单选ck8,ck8鳞状上皮一般不表达!

1

yonghong..
回复

flj20092049 离线

帖子:212
粉蓝豆:9
经验:470
注册时间:2011-11-23
加关注  |  发消息
24 楼    发表于2012-01-10 15:54:16举报|引用
返回顶部 | 快捷回复

HE像弥漫大B~~~

0
回复
signature

cyh200419 离线

帖子:750
粉蓝豆:407
经验:4258
注册时间:2009-05-06
加关注  |  发消息
23 楼    发表于2012-01-10 15:02:09举报|引用
返回顶部 | 快捷回复

本例片子做的挺漂亮,照相照的不好,CD20,LCA,CD133,Vimentin,弥漫强阳性,CD-68浆阳性,灶状,但肯定是阳性。其他的都是散在的,少量的,不太确切,可能是阴性。

 

0
回复

chenliu0552 离线

帖子:502
粉蓝豆:22
经验:985
注册时间:2010-12-10
加关注  |  发消息
22 楼    发表于2012-01-10 10:09:01举报|引用
返回顶部 | 快捷回复
本帖最后由 迷路 于 2012-01-12 07:36:06 编辑

好的HE切片和准确可靠的免疫组化结果是淋巴瘤等较难病例病理诊断的基础。本例从HE来看不太像典型的淋巴瘤或癌,免疫组化就很重要了,但本例组化结果之间似乎不易解释:

1.syn与LCA等淋巴系标记的阳性判断,镜下须观察阳性细胞是否一致,是相同的细胞还是不同的细胞等

2.如果考虑淋巴瘤,B系的标记如CD20和PAX5结果也不太一致,另外CD133+究竟如何也有待探讨,好像楼主未显示其图片

3.ALK等也不太确切,

不知楼主以上的组化结果阴阳性对照如何?我个人经验不足,不敢妄下结论,但认为诊断淋巴瘤(弥漫大B,或间变淋巴瘤)可能会有风险。

0
回复

yonghongchen 离线

帖子:162
粉蓝豆:2
经验:310
注册时间:2010-01-13
加关注  |  发消息
21 楼    发表于2012-01-10 07:40:03举报|引用
返回顶部 | 快捷回复
大师们,请出来为我们讲解一下,我们一直在期待你们的评论。
0
回复
signature
山西省汾阳市人,1990年吕梁卫校毕业,2007年山西医科大学病理学硕士研究生毕业,一直从事病理诊断工作,擅长免疫组化技术及诊断,发表论文多篇,完成市级科研4项,省级鉴定一项,获得市级科技进步奖两项,申请国家专利两项。

有福不在忙 离线

帖子:2161
粉蓝豆:42
经验:3448
注册时间:2008-11-22
加关注  |  发消息
20 楼    发表于2012-01-08 11:36:53举报|引用
返回顶部 | 快捷回复

我又看了几遍,还是迷糊。如果是淋巴系统的,SYN一般不会阳性吧。其实LCA、CD20也不是很典型的阳性,典型的应该是膜阳性,成圈才对啊。

0
回复
signature
有福不在忙

yonghongchen 离线

帖子:162
粉蓝豆:2
经验:310
注册时间:2010-01-13
加关注  |  发消息
19 楼    发表于2012-01-07 10:02:33举报|引用
返回顶部 | 快捷回复
本帖最后由 yonghongchen 于 2012-01-07 10:03:57 编辑

 今天又做了免疫组化,请大家帮看看。CD10(-),CD138(-),CDX2(-),CD3(-),CyclinD1(-),CD2(-),CD117(-),CD7(-),CD30(-),CD23(-);CD20强(+),BCL-2,Bcl-6,EMA,PAX-5,MUM-1,CD5,ALK,CD68都是散在阳性,大家帮确定一下是否阳性。B细胞淋巴瘤可以确定了,不知是哪种类型的?

0
回复
signature
山西省汾阳市人,1990年吕梁卫校毕业,2007年山西医科大学病理学硕士研究生毕业,一直从事病理诊断工作,擅长免疫组化技术及诊断,发表论文多篇,完成市级科研4项,省级鉴定一项,获得市级科技进步奖两项,申请国家专利两项。

有福不在忙 离线

帖子:2161
粉蓝豆:42
经验:3448
注册时间:2008-11-22
加关注  |  发消息
18 楼    发表于2012-01-06 09:35:38举报|引用
返回顶部 | 快捷回复

既然染了这么多,不妨再加做些上皮的看看。

0
回复
signature
有福不在忙

fsyyy123 离线

帖子:464
粉蓝豆:467
经验:919
注册时间:2009-09-22
加关注  |  发消息
17 楼    发表于2012-01-05 23:26:23举报|引用
返回顶部 | 快捷回复

应该是淋巴瘤,B细胞性的

 

0
回复

yonghongchen 离线

帖子:162
粉蓝豆:2
经验:310
注册时间:2010-01-13
加关注  |  发消息
16 楼    发表于2012-01-04 15:23:56举报|引用
返回顶部 | 快捷回复
本帖最后由 yonghongchen 于 2012-01-05 21:01:05 编辑

 是的,syn(+),LCA(+), CD79a阳性, CD3阴性,NSE是局部胞核,胞浆着色,主要是胞浆着色;SYN也是局部,主要是胞核着色,胞浆很少。不对吗?我也迷糊。也许我看错了,不像那种典型的胞浆颗粒状着色。大家帮看一看。

0
回复
signature
山西省汾阳市人,1990年吕梁卫校毕业,2007年山西医科大学病理学硕士研究生毕业,一直从事病理诊断工作,擅长免疫组化技术及诊断,发表论文多篇,完成市级科研4项,省级鉴定一项,获得市级科技进步奖两项,申请国家专利两项。

chenliu0552 离线

帖子:502
粉蓝豆:22
经验:985
注册时间:2010-12-10
加关注  |  发消息
15 楼    发表于2012-01-04 15:19:09举报|引用
返回顶部 | 快捷回复

syn(+)?

LCA(+), CD79a阳性, CD3阴性?

Which one is ture?

0
回复

zhanglei 离线

帖子:3751
粉蓝豆:2077
经验:3901
注册时间:2006-09-26
加关注  |  发消息
14 楼    发表于2012-01-04 12:31:12举报|引用
返回顶部 | 快捷回复

BLDCL.

0
回复
回复:33 阅读:9668
共2页/33条首页上一页12下一页尾页
【免责声明】讨论内容仅作学术交流之用,不作为诊疗依据,由此而引起的法律问题作者及本站不承担任何责任。
快速回复
进入高级回复
您最多可输入10000个汉字,按 "Ctrl" + "Enter" 直接发送
搜索回复/乘电梯 ×
按内容
按会员
乘电梯
合作伙伴
友情链接