共1页/19条首页上一页1下一页尾页
回复:19 阅读:4365
请各位老师会诊一下 颌下淋巴结

baixuefeng 离线

帖子:73
粉蓝豆:422
经验:411
注册时间:2006-10-21
加关注  |  发消息
楼主 发表于 2011-12-28 16:18|举报|关注(5)
浏览排序[ 顺序 逆序 楼主 支持 精彩 ]  快捷回复

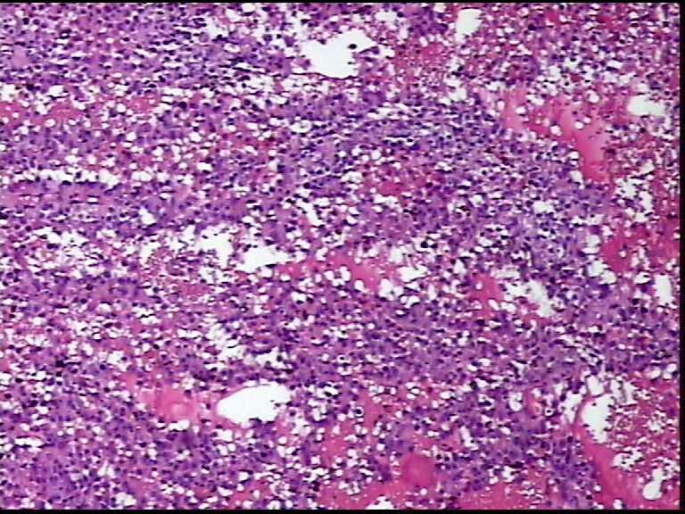
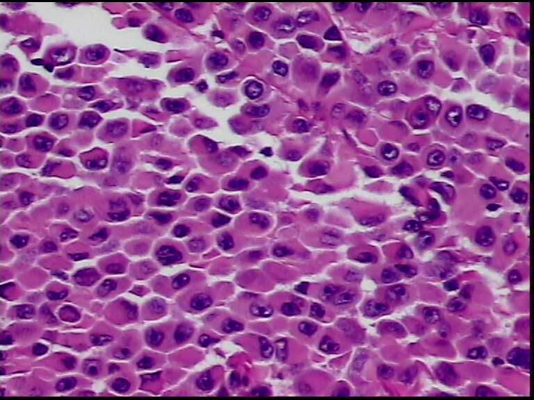
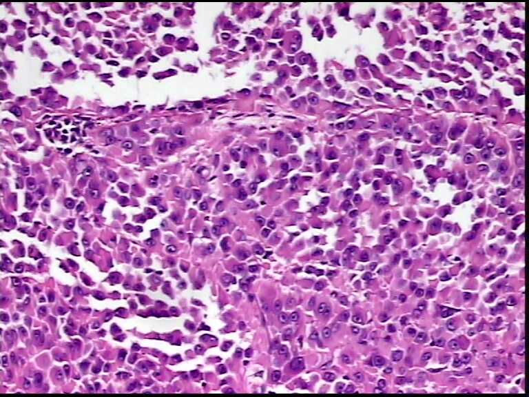
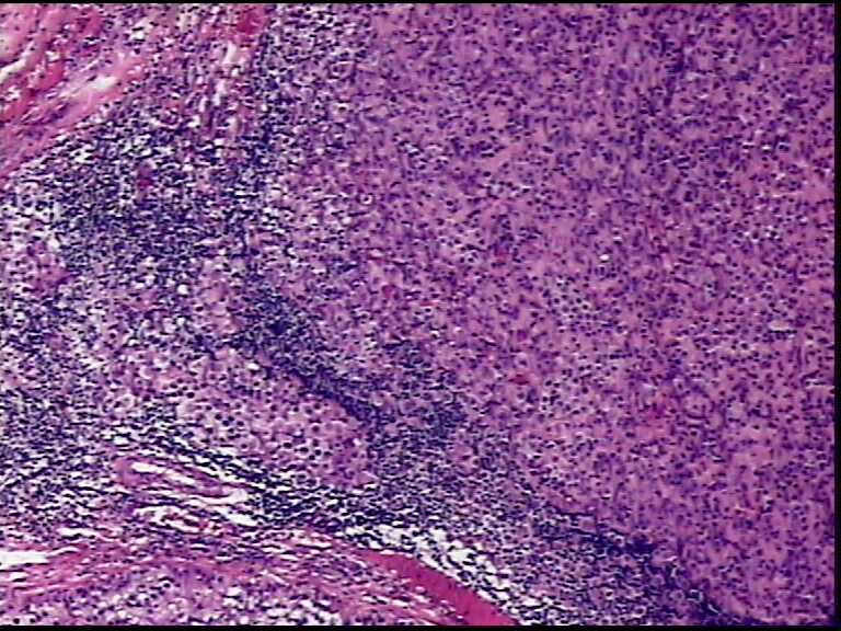
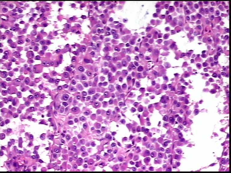
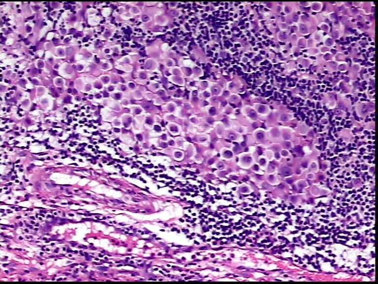
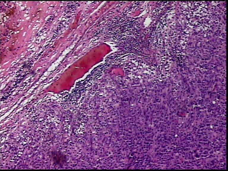
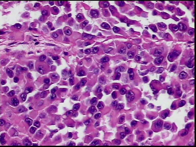
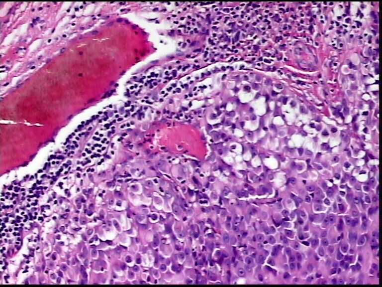
 患者男性,34岁,临床没给提供,该患者梅毒阳性

  • 请各位老师会诊一下 颌下淋巴结图1
    图1
  • 请各位老师会诊一下 颌下淋巴结图2
    图2
  • 请各位老师会诊一下 颌下淋巴结图3
    图3
  • 请各位老师会诊一下 颌下淋巴结图4
    图4
  • 请各位老师会诊一下 颌下淋巴结图5
    图5
  • 请各位老师会诊一下 颌下淋巴结图6
    图6
  • 请各位老师会诊一下 颌下淋巴结图7
    图7
  • 请各位老师会诊一下 颌下淋巴结图8
    图8
  • 请各位老师会诊一下 颌下淋巴结图9
    图9
  • 请各位老师会诊一下 颌下淋巴结图10
    图10
  • 请各位老师会诊一下 颌下淋巴结图11
    图11

颌下淋巴结肿大,送检肿物直径2.5cm,切面灰粉色,质地嫩,先做了个LCA瘤细胞阴性

标签:
本帖最后由 baixuefeng 于 2011-12-30 11:57:16 编辑
0
添加参考诊断
×参考诊断
  

白晓云 离线

帖子:300
粉蓝豆:2049
经验:1487
注册时间:2007-12-29
加关注  |  发消息
1 楼    发表于2011-12-28 16:34:21举报|引用
返回顶部 | 快捷回复

形态符合霍奇金淋巴瘤(看到比较典型的R-S细胞)。

0
回复

zhjsh 离线

帖子:41
粉蓝豆:5
经验:54
注册时间:2010-01-03
加关注  |  发消息
2 楼    发表于2011-12-28 16:35:51举报|引用
返回顶部 | 快捷回复

恶黑?

0
回复

ljy1977 离线

帖子:79
粉蓝豆:9
经验:95
注册时间:2011-12-07
加关注  |  发消息
3 楼    发表于2011-12-28 18:46:09举报|引用
返回顶部 | 快捷回复

恶黑

0
回复

有福不在忙 离线

帖子:2161
粉蓝豆:42
经验:3448
注册时间:2008-11-22
加关注  |  发消息
4 楼    发表于2011-12-28 18:59:09举报|引用
返回顶部 | 快捷回复

我首先考虑恶黑,其次癌,再次横纹肌肉瘤。

2

lchxhy

yonghong..
回复
signature
有福不在忙

xuanxuan 离线

帖子:266
粉蓝豆:1
经验:547
注册时间:2010-08-22
加关注  |  发消息
5 楼    发表于2011-12-28 19:46:44举报|引用
返回顶部 | 快捷回复

 淋巴瘤

0
回复

周广民 离线

帖子:134
粉蓝豆:6
经验:153
注册时间:2011-03-03
加关注  |  发消息
6 楼    发表于2011-12-28 20:03:30举报|引用
返回顶部 | 快捷回复

霍奇金淋巴瘤

0
回复

夏日 离线

帖子:1057
粉蓝豆:45
经验:1529
注册时间:2011-04-05
加关注  |  发消息
7 楼    发表于2011-12-28 21:57:16举报|引用
返回顶部 | 快捷回复

淋巴瘤

0
回复

西北风 离线

帖子:27
粉蓝豆:6
经验:217
注册时间:2010-03-05
加关注  |  发消息
8 楼    发表于2011-12-28 22:10:04举报|引用
返回顶部 | 快捷回复

淋巴结内见大量宽而嗜酸性胞浆的肿瘤细胞,瘤细胞核大,偏心分布,核仁明显,成上皮样表现,部分似有腺泡样排列,符合淋巴结转移性恶性肿瘤,首先除外转移癌,恶性黑色素瘤,继而除外浆细胞瘤(岁数不太符合),横纹肌肿瘤等。

3

爱飞的芦..

alb19760..

200406
回复

kint123 离线

帖子:1620
粉蓝豆:240
经验:2095
注册时间:2009-01-31
加关注  |  发消息
9 楼    发表于2011-12-28 23:21:53举报|引用
返回顶部 | 快捷回复
本帖最后由 kint123 于 2011-12-28 23:24:18 编辑

这个地方类似这样的病变太多,结合患者年龄,建议先考虑嗜酸细胞性黏液表皮样癌和肌上皮瘤,然后再考虑恶黑或癌

0
回复
signature
The More We See, The Less We Know!

教学课堂 离线

帖子:48
粉蓝豆:9
经验:184
注册时间:2008-03-31
加关注  |  发消息
10 楼    发表于2011-12-29 09:20:40举报|引用
返回顶部 | 快捷回复

淋巴结内见大量宽而嗜酸性胞浆的肿瘤细胞,瘤细胞核大,偏心分布,核仁明显,成上皮样表现,部分似有腺泡样排列,符合淋巴结转移性恶性肿瘤,首先除外转移癌,恶性黑色素瘤,继而除外浆细胞瘤(岁数不太符合),横纹肌肿瘤等。同意楼上的观点。

0
回复

flj20092049 离线

帖子:212
粉蓝豆:9
经验:470
注册时间:2011-11-23
加关注  |  发消息
11 楼    发表于2011-12-29 10:32:40举报|引用
返回顶部 | 快捷回复

排除恶黑后,强烈考虑胚横!待酶标~~~

0
回复
signature

泉水叮咚响 离线

帖子:2163
粉蓝豆:113
经验:11663
注册时间:2010-12-30
加关注  |  发消息
12 楼    发表于2011-12-29 10:35:14举报|引用
返回顶部 | 快捷回复

 应该是转移的

0
回复
signature
刀不磨会生锈,人不学习会落后。

kangwang2010 离线

帖子:389
粉蓝豆:13
经验:590
注册时间:2010-03-04
加关注  |  发消息
13 楼    发表于2011-12-29 16:14:33举报|引用
返回顶部 | 快捷回复

恶黑

0
回复
signature
有时候,称赞别人也是一种美德!

一孔天下 离线

帖子:106
粉蓝豆:104
经验:118
注册时间:2009-03-28
加关注  |  发消息
14 楼    发表于2011-12-29 17:11:37举报|引用
返回顶部 | 快捷回复

间变性大细胞性淋巴瘤,再考虑恶黑,转移癌,

0
回复

zhouquan 离线

帖子:7752
粉蓝豆:302
经验:8263
注册时间:2008-11-09
加关注  |  发消息
15 楼    发表于2011-12-29 19:27:44举报|引用
返回顶部 | 快捷回复

恶黑

0
回复
signature
成功不是得到多少东西,而是把身上多余的东西的扔掉多少。   

chenliu0552 离线

帖子:502
粉蓝豆:22
经验:985
注册时间:2010-12-10
加关注  |  发消息
16 楼    发表于2011-12-30 15:32:29举报|引用
返回顶部 | 快捷回复

转移性恶性肿瘤, 形态不符合淋巴瘤, 首先考虑恶黑

0
回复

阿娇 离线

帖子:2054
粉蓝豆:3320
经验:2384
注册时间:2008-05-31
加关注  |  发消息
17 楼    发表于2011-12-30 15:40:21举报|引用
返回顶部 | 快捷回复

 

淋巴结转移性肿瘤

0
回复

chaikeqin 离线

帖子:1355
粉蓝豆:8
经验:1483
注册时间:2009-12-31
加关注  |  发消息
18 楼    发表于2012-01-01 08:56:37举报|引用
返回顶部 | 快捷回复

考虑恶黑

0
回复

fangg 离线

帖子:1426
粉蓝豆:44
经验:1863
注册时间:2007-01-22
加关注  |  发消息
19 楼    发表于2012-02-02 05:11:22举报|引用
返回顶部 | 快捷回复

有梅毒病史,还是把梅毒性淋巴结炎伴plasmocytosis排除后再考虑其它。

0
回复
signature
境随心转
回复:19 阅读:4365
共1页/19条首页上一页1下一页尾页
【免责声明】讨论内容仅作学术交流之用,不作为诊疗依据,由此而引起的法律问题作者及本站不承担任何责任。
快速回复
进入高级回复
您最多可输入10000个汉字,按 "Ctrl" + "Enter" 直接发送
搜索回复/乘电梯 ×
按内容
按会员
乘电梯
合作伙伴
友情链接