共1页/2条首页上一页1下一页尾页
回复:2 阅读:2071
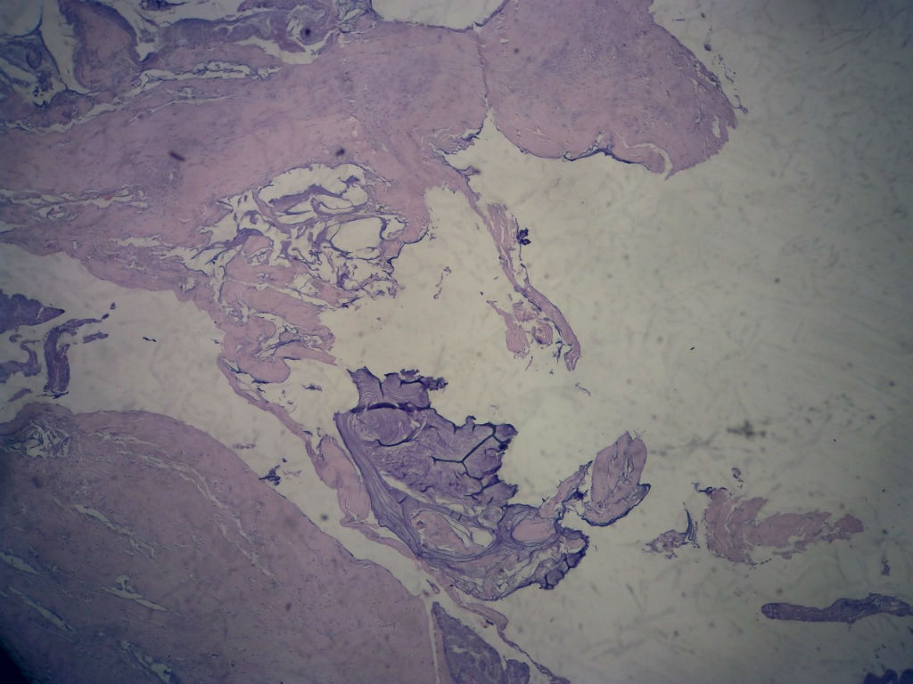
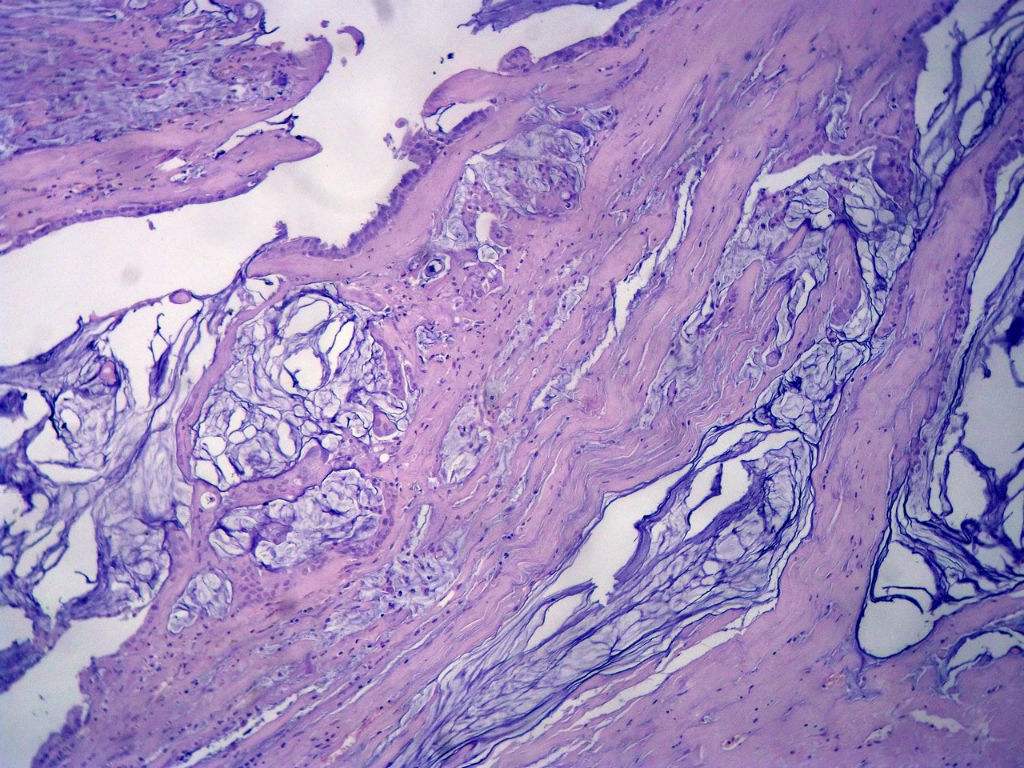
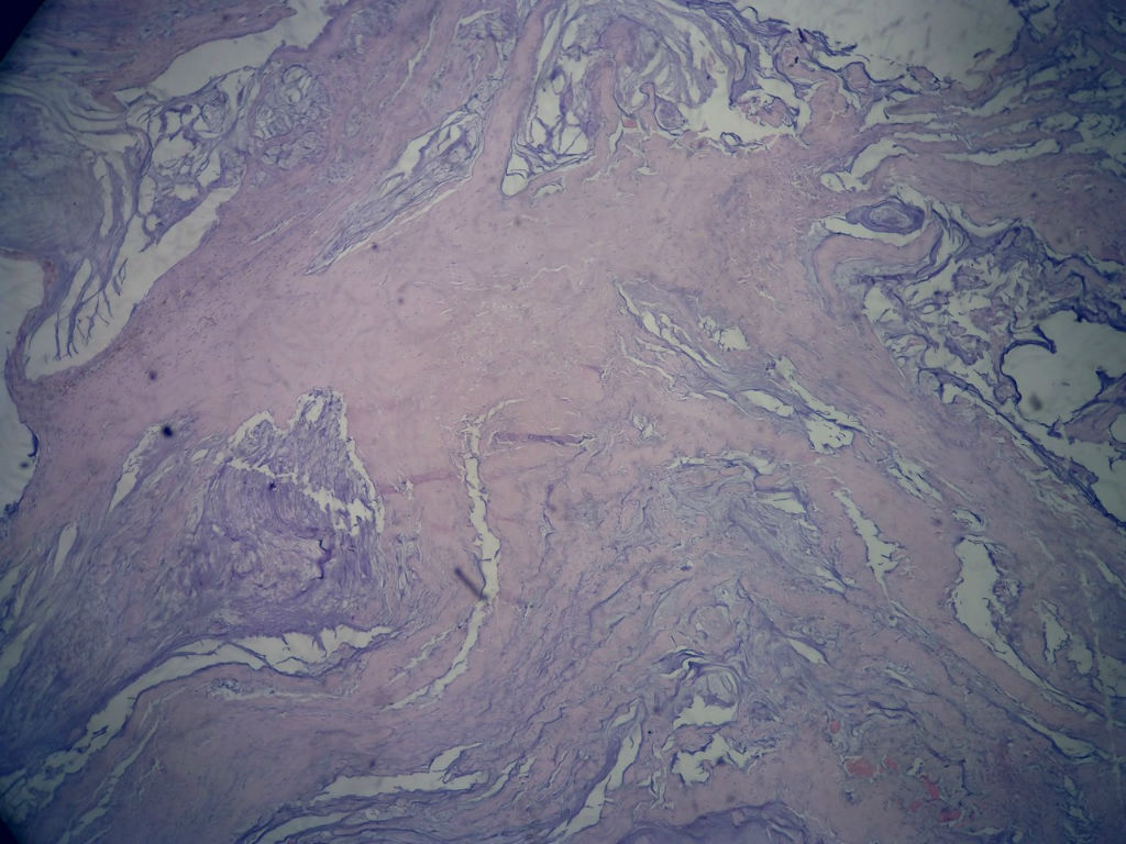
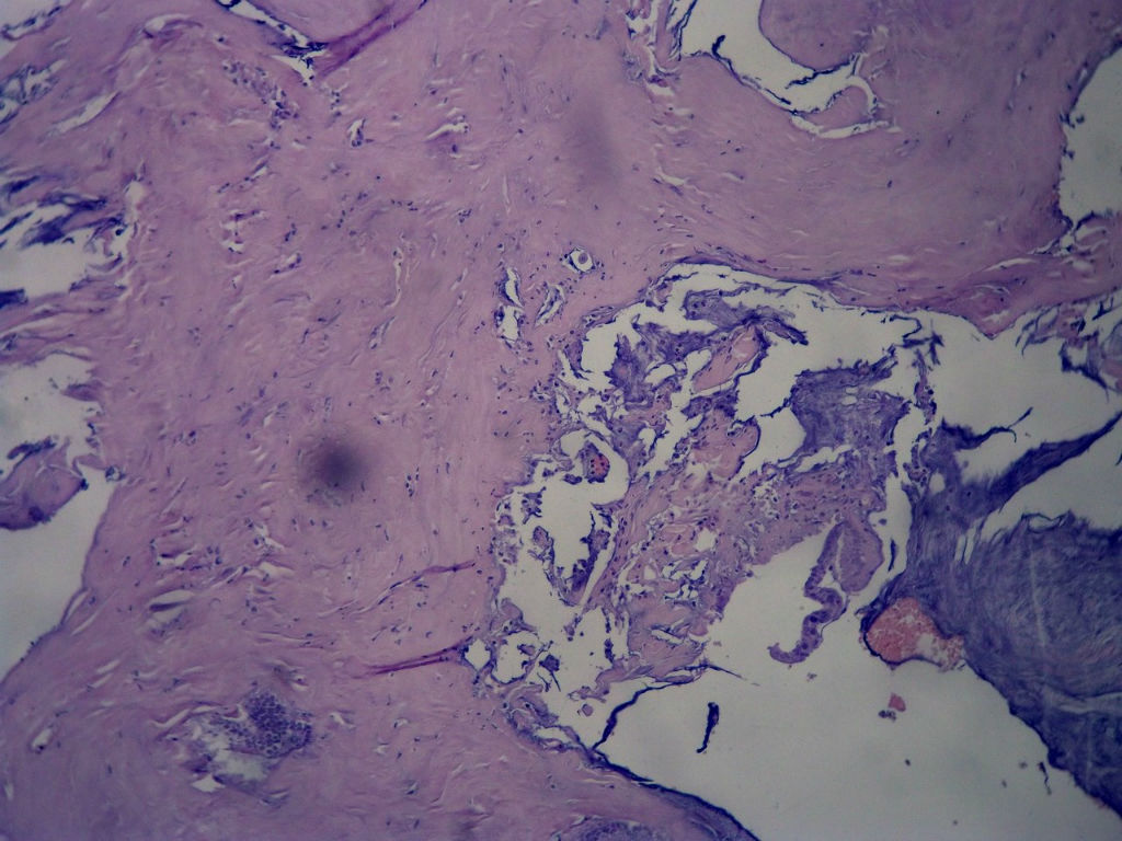
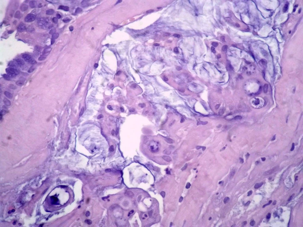
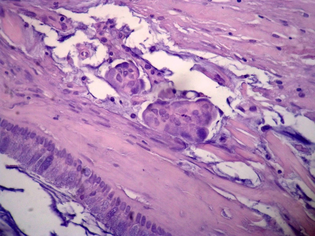
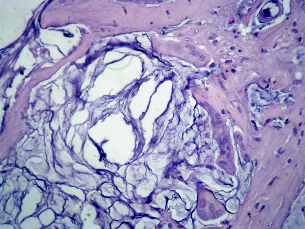
女,80岁,阑尾区肿块。

quyibl 离线

帖子:361
粉蓝豆:9
经验:1876
注册时间:2006-10-23
加关注  |  发消息
楼主 发表于 2011-12-25 12:30|举报|关注(0)
浏览排序[ 顺序 逆序 楼主 支持 精彩 ]  快捷回复

 送检为不规则组织多块,粘滑,解剖结构辨认不清。术中探查双侧卵巢无异常。

  • 女,80岁,阑尾区肿块。图1
    图1
  • 女,80岁,阑尾区肿块。图2
    图2
  • 女,80岁,阑尾区肿块。图3
    图3
  • 女,80岁,阑尾区肿块。图4
    图4
  • 女,80岁,阑尾区肿块。图5
    图5
  • 女,80岁,阑尾区肿块。图6
    图6
  • 女,80岁,阑尾区肿块。图7
    图7
  • 女,80岁,阑尾区肿块。图8
    图8
  • 女,80岁,阑尾区肿块。图9
    图9
  • 女,80岁,阑尾区肿块。图10
    图10
 
标签:
0
signature
我思故我在! know something about everything,know everything about something.
添加参考诊断
×参考诊断
  

daisy2008 离线

帖子:38
粉蓝豆:319
经验:77
注册时间:2008-04-10
加关注  |  发消息
1 楼    发表于2011-12-25 12:38:04举报|引用
返回顶部 | 快捷回复
本帖最后由 daisy2008 于 2011-12-25 16:54:41 编辑

阑尾粘液性肿瘤,癌的可能性大

0
回复
signature
博学 审问 慎思 明辨 笃行

小点 离线

帖子:1926
粉蓝豆:142
经验:3071
注册时间:2009-02-22
加关注  |  发消息
2 楼    发表于2011-12-25 12:48:38举报|引用
返回顶部 | 快捷回复

粘液长在肌层,而且漂浮着可疑上皮细胞,最大可能粘液腺癌。

2

wfbjwt

清水波心
回复
回复:2 阅读:2071
共1页/2条首页上一页1下一页尾页
【免责声明】讨论内容仅作学术交流之用,不作为诊疗依据,由此而引起的法律问题作者及本站不承担任何责任。
快速回复
进入高级回复
您最多可输入10000个汉字,按 "Ctrl" + "Enter" 直接发送
搜索回复/乘电梯 ×
按内容
按会员
乘电梯
合作伙伴
友情链接