共1页/12条首页上一页1下一页尾页
回复:12 阅读:3454
甲状腺肿物

小鬼难缠 离线

帖子:393
粉蓝豆:510
经验:2502
注册时间:2009-01-24
加关注  |  发消息
楼主 发表于 2011-12-24 14:46|举报|关注(0)
浏览排序[ 顺序 逆序 楼主 支持 精彩 ]  快捷回复

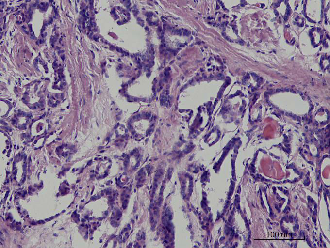
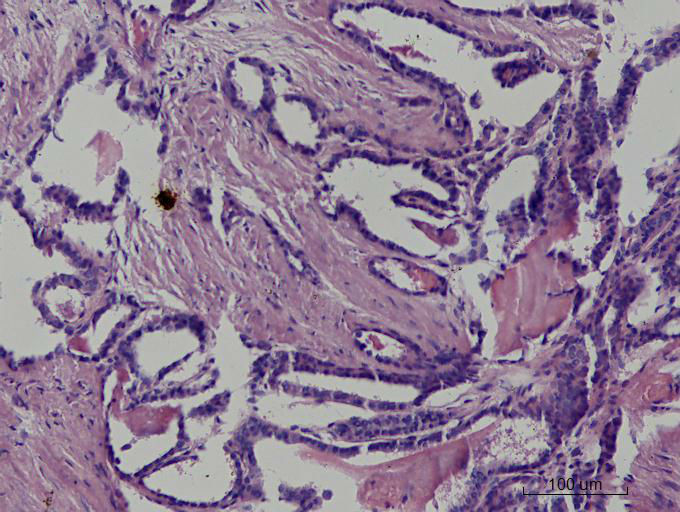
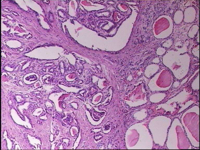
 女43岁,甲状腺肿物

  • 甲状腺肿物图1
    图1
  • 甲状腺肿物图2
    图2
  • 甲状腺肿物图3
    图3
  • 甲状腺肿物图4
    图4
  • 甲状腺肿物图5
    图5
  • 甲状腺肿物图6
    图6
  • 甲状腺肿物图7
    图7
  • 甲状腺肿物图8
    图8
  • 甲状腺肿物图9
    图9
  • 甲状腺肿物图10
    图10
  • 甲状腺肿物图11
    图11
  • 甲状腺肿物图12
    图12
  • 甲状腺肿物图13
    图13
  • 甲状腺肿物图14
    图14
  • 甲状腺肿物图15
    图15
 
标签:
0
添加参考诊断
×参考诊断
  

kangwang2010 离线

帖子:389
粉蓝豆:13
经验:590
注册时间:2010-03-04
加关注  |  发消息
9 楼    发表于2011-12-26 13:08:01举报|引用
返回顶部 | 快捷回复
本帖最后由 kangwang2010 于 2011-12-26 13:16:37 编辑

就目前的切片看本例没有形成明确的以纤维结缔组织为轴心的乳头结构,前15张图更是连乳头状癌特有的核的表现(核拥挤、核沟、核内假包含体、毛玻璃核等)也不明显,而后传的7张图中核的改变都比前15张图中要明显,个人绝得诊断乳头状癌缺乏重要依据(1)明确的乳头结构(2)核拥挤、核沟、核内假包含体、毛玻璃核,所以希望重取材,多切片搜索可靠的诊断依据再下结论。

3

清水波心

emilypea..

青儿丫头
回复
signature
有时候,称赞别人也是一种美德!

jybye 离线

帖子:69
粉蓝豆:242
经验:232
注册时间:2011-12-13
加关注  |  发消息
12 楼    发表于2012-01-02 19:00:27举报|引用
返回顶部 | 快捷回复

不够乳头状癌

1

zhangyuy..
回复

迷途小书僮 离线

帖子:145
粉蓝豆:1947
经验:291
注册时间:2010-10-03
加关注  |  发消息
10 楼    发表于2012-01-02 17:57:23举报|引用
返回顶部 | 快捷回复

典型乳头状癌

0
回复
signature
求真务实

liguoxia71 离线

帖子:4174
粉蓝豆:3122
经验:4677
注册时间:2007-04-01
加关注  |  发消息
1 楼    发表于2011-12-24 18:31:57举报|引用
返回顶部 | 快捷回复

呵呵,大家看看够不够乳头状癌?图12-15再清晰些会更好。

0
回复
signature
三人行,必有我师焉,择其善者而从之,其不善者而改之。

紫气东来 离线

帖子:37
粉蓝豆:67
经验:283
注册时间:2007-07-29
加关注  |  发消息
11 楼    发表于2012-01-02 18:56:42举报|引用
返回顶部 | 快捷回复

乳头状癌:

通过所给图片具备了乳头状结构,也有了核的一些特征,虽不典型:1、核椭圆形,2、核拥挤重叠,3、核上下分层,4、核沟等,可以诊断乳头状癌。

0
回复
signature
人生的精彩来自于镜下无限多彩的世界。

马卡龙 离线

帖子:393
粉蓝豆:510
经验:2502
注册时间:2009-01-24
加关注  |  发消息
3 楼    发表于2011-12-26 10:13:54举报|引用
返回顶部 | 快捷回复

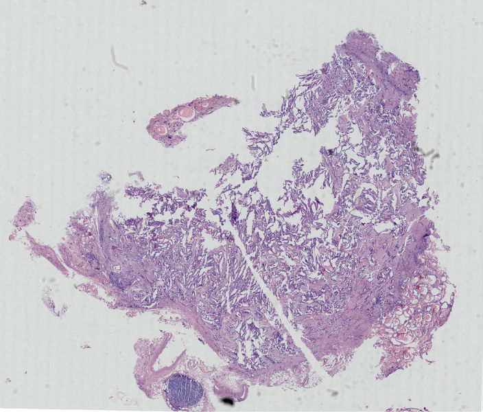
 在传一个全景图,

  • 图1
 
0
回复

emilypeaker 离线

帖子:654
粉蓝豆:1570
经验:2182
注册时间:2011-01-03
加关注  |  发消息
2 楼    发表于2011-12-25 09:03:47举报|引用
返回顶部 | 快捷回复

嗯。图不好,不敢妄谈。但乳头相对比较宽大,细胞核大多圆形,可以排除经典型(common type)。

0
回复
signature
Suffered from papillary thyroid carcinoma, then major in Endocrine tumor.

马卡龙 离线

帖子:393
粉蓝豆:510
经验:2502
注册时间:2009-01-24
加关注  |  发消息
4 楼    发表于2011-12-26 10:30:58举报|引用
返回顶部 | 快捷回复

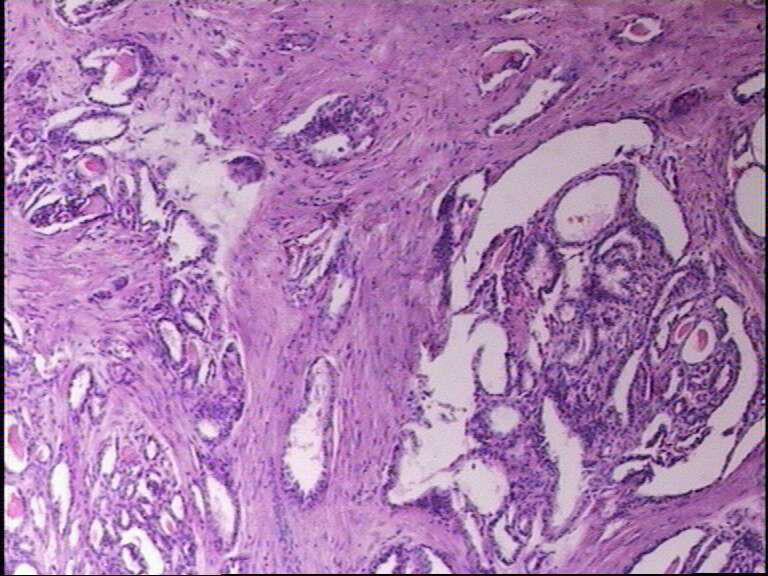
 在传几张

  • 图1
  • 图2
  • 图3
  • 图4
  • 图5
  • 图6
  • 图7
 
0
回复

huangchuansheng 离线

帖子:295
粉蓝豆:2674
经验:830
注册时间:2006-09-27
加关注  |  发消息
5 楼    发表于2011-12-26 10:32:00举报|引用
返回顶部 | 快捷回复

乳头状癌

0
回复
signature
病理人

daisy2008 离线

帖子:38
粉蓝豆:319
经验:77
注册时间:2008-04-10
加关注  |  发消息
6 楼    发表于2011-12-26 10:45:38举报|引用
返回顶部 | 快捷回复

应该是乳头状癌

可以做免疫标一下吧

0
回复
signature
博学 审问 慎思 明辨 笃行

ahhbhzlin 离线

帖子:3090
粉蓝豆:50
经验:11826
注册时间:2008-07-24
加关注  |  发消息
7 楼    发表于2011-12-26 11:00:35举报|引用
返回顶部 | 快捷回复

乳头状癌

0
回复

夏日 离线

帖子:1057
粉蓝豆:45
经验:1529
注册时间:2011-04-05
加关注  |  发消息
8 楼    发表于2011-12-26 12:48:12举报|引用
返回顶部 | 快捷回复

乳头状癌

0
回复
回复:12 阅读:3454
共1页/12条首页上一页1下一页尾页
【免责声明】讨论内容仅作学术交流之用,不作为诊疗依据,由此而引起的法律问题作者及本站不承担任何责任。
快速回复
进入高级回复
您最多可输入10000个汉字,按 "Ctrl" + "Enter" 直接发送
搜索回复/乘电梯 ×
按内容
按会员
乘电梯
合作伙伴
友情链接