共2页/23条首页上一页12下一页尾页
回复:23 阅读:8049
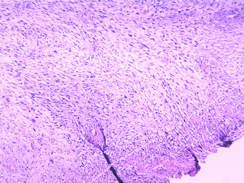
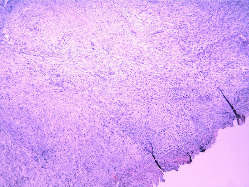
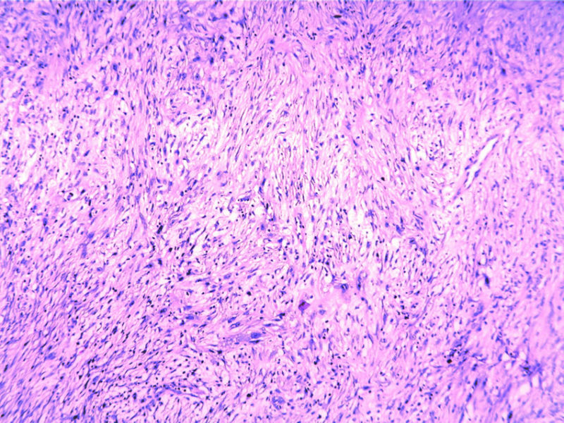
瞧这个小腿肿物,再看IHC(48Y,V2X1X1cm)

96298 离线

帖子:421
粉蓝豆:19
经验:423
注册时间:2009-03-08
加关注  |  发消息
楼主 发表于 2011-12-21 22:41|举报|关注(1)
浏览排序[ 顺序 逆序 楼主 支持 精彩 ]  快捷回复

 

  • 瞧这个小腿肿物,再看IHC(48Y,V2X1X1cm)图1
    图1
  • 瞧这个小腿肿物,再看IHC(48Y,V2X1X1cm)图2
    图2
  • 瞧这个小腿肿物,再看IHC(48Y,V2X1X1cm)图3
    图3
  • 瞧这个小腿肿物,再看IHC(48Y,V2X1X1cm)图4
    图4
  • 瞧这个小腿肿物,再看IHC(48Y,V2X1X1cm)图5
    图5
标签:
本帖最后由 96298 于 2011-12-31 15:58:30 编辑
1
×参考诊断
神经鞘瘤

limo 离线

帖子:98
粉蓝豆:8
经验:371
注册时间:2010-11-02
加关注  |  发消息
1 楼    发表于2011-12-22 17:49:33举报|引用
返回顶部 | 快捷回复
梭形细胞肿瘤。倾向为低度恶性神经源性肿瘤,平滑肌、纤维肌纤维母细胞、组织细胞来源肿瘤鉴别。
0
回复

TK1905 离线

帖子:962
粉蓝豆:283
经验:1054
注册时间:2010-03-14
加关注  |  发消息
2 楼    发表于2011-12-22 19:35:49举报|引用
返回顶部 | 快捷回复

体积很小,不知道病程,筋膜炎要排除

0
回复

刀尖上的舞者 离线

帖子:1763
粉蓝豆:87
经验:3356
注册时间:2010-12-14
加关注  |  发消息
3 楼    发表于2011-12-22 20:45:02举报|引用
返回顶部 | 快捷回复

有包膜吗?细胞有异性,考虑恶性

0
回复

月儿 离线

帖子:1877
粉蓝豆:67
经验:2039
注册时间:2006-09-25
加关注  |  发消息
4 楼    发表于2011-12-22 21:10:05举报|引用
返回顶部 | 快捷回复

病史太简单啦,生长时间?是否有包膜?神经鞘瘤的细胞异形完全可以这样的。

0
回复

96298 离线

帖子:421
粉蓝豆:19
经验:423
注册时间:2009-03-08
加关注  |  发消息
5 楼    发表于2011-12-22 21:14:49举报|引用
返回顶部 | 快捷回复
引用 3 楼 刀尖上的舞者 在 2011-12-22 20:45:02 的发言:

有包膜吗?细胞有异性,考虑恶性

没有,表皮溃疡

0
回复

TK1905 离线

帖子:962
粉蓝豆:283
经验:1054
注册时间:2010-03-14
加关注  |  发消息
6 楼    发表于2011-12-23 18:47:49举报|引用
返回顶部 | 快捷回复

上皮样肉瘤?

0
回复

96298 离线

帖子:421
粉蓝豆:19
经验:423
注册时间:2009-03-08
加关注  |  发消息
7 楼    发表于2011-12-23 21:26:09举报|引用
返回顶部 | 快捷回复
引用 4 楼 月儿 在 2011-12-22 21:10:05 的发言:

病史太简单啦,生长时间?是否有包膜?神经鞘瘤的细胞异形完全可以这样的。

有病史了,可能要转到经典病例栏更合适。

病人20年前小腿外伤骨折,一直未能愈合,长啊长......

0
回复

3673566 离线

帖子:1879
粉蓝豆:74
经验:3305
注册时间:2006-10-29
加关注  |  发消息
8 楼    发表于2011-12-23 21:48:28举报|引用
返回顶部 | 快捷回复

低度恶性肿瘤,首先考虑MPNST,其次为纤维母细胞性肿瘤,需要做标记。

0
回复

wfbjwt 离线

帖子:6628
粉蓝豆:163
经验:7418
注册时间:2006-10-08
加关注  |  发消息
9 楼    发表于2011-12-25 18:29:47举报|引用
返回顶部 | 快捷回复
本帖最后由 wfbjwt 于 2011-12-25 18:31:30 编辑

 粘液纤维肉瘤


0
回复
signature
嫁人就嫁灰太狼,学习要上华夏网。

九华 离线

帖子:223
粉蓝豆:29
经验:982
注册时间:2007-01-21
加关注  |  发消息
10 楼    发表于2011-12-26 11:41:30举报|引用
返回顶部 | 快捷回复

蒙一个诊断,有淋巴细胞浸润考虑神经鞘。

梭形细胞肿瘤病史不详细,病史短的可见结节性筋膜炎,这可是一个大陷阱,时刻要想着它,时间很长者要考虑神经鞘可能,是否恶性也只限于局部复发问题不是很大,。如果是成年人近期又生长很快的肿块粘液样纤维瘤就不能排除了,而且一定是低度恶性的。仅根据病程就有这么多鉴别,如果结合免疫组化需要鉴别的就更多。所以提供的线索不多只能叫猜诊断。

1

可可
回复
signature
病理是我的热爱,所以离开后,转身又回来了!!

hu8afu 离线

帖子:1177
粉蓝豆:35
经验:1230
注册时间:2009-02-11
加关注  |  发消息
11 楼    发表于2011-12-26 19:49:26举报|引用
返回顶部 | 快捷回复

神经鞘

0
回复

96298 离线

帖子:421
粉蓝豆:19
经验:423
注册时间:2009-03-08
加关注  |  发消息
12 楼    发表于2011-12-31 15:56:03举报|引用
返回顶部 | 快捷回复
本帖最后由 96298 于 2011-12-31 15:57:10 编辑
  • s100-
    图1P63

  • 图2 CD34

  • 图3 CK

 

0
回复

TK1905 离线

帖子:962
粉蓝豆:283
经验:1054
注册时间:2010-03-14
加关注  |  发消息
13 楼    发表于2011-12-31 22:40:46举报|引用
返回顶部 | 快捷回复
P63+、CD34仅血管阳性、CK+
梭性细胞鳞癌?基本排除了上皮样肉瘤,虽然病史和形态也可以是上皮样肉瘤。确实很难想到!楼主是刚开始就把这个排在第一诊断的位置吗?
0
回复

一只小鱼 离线

帖子:39
粉蓝豆:9
经验:98
注册时间:2008-12-27
加关注  |  发消息
14 楼    发表于2012-01-01 22:38:51举报|引用
返回顶部 | 快捷回复

好病例,免疫组化看不清楚啊

0
回复
signature
心能力量

武灵儿 离线

帖子:113
粉蓝豆:10
经验:174
注册时间:2011-12-30
加关注  |  发消息
15 楼    发表于2012-01-02 11:23:30举报|引用
返回顶部 | 快捷回复

学习中   谢谢分享

0
回复
signature

宁静致远 勤俭修身

zswx2008 离线

帖子:95
粉蓝豆:1
经验:658
注册时间:2008-05-25
加关注  |  发消息
16 楼    发表于2012-01-02 12:30:40举报|引用
返回顶部 | 快捷回复

学习,谢谢

 

0
回复
signature
让世界多一分绿色~

未知陨石 离线

帖子:479
粉蓝豆:13
经验:559
注册时间:2010-09-11
加关注  |  发消息
17 楼    发表于2012-01-04 20:56:28举报|引用
返回顶部 | 快捷回复

梭形细胞肿瘤,中间性的低度恶性的肿瘤。

不典型的纤维组织细胞瘤;

神经源性的肿瘤;

肌源的。

0
回复
signature

毛主席最亲 离线

帖子:194
粉蓝豆:482
经验:2012
注册时间:2008-07-28
加关注  |  发消息
18 楼    发表于2012-01-07 11:51:47举报|引用
返回顶部 | 快捷回复

好病例,皮肤梭形细胞鳞癌少见,应该能够找见典型鳞癌的区域吧。

0
回复

limo 离线

帖子:98
粉蓝豆:8
经验:371
注册时间:2010-11-02
加关注  |  发消息
19 楼    发表于2012-01-07 18:33:28举报|引用
返回顶部 | 快捷回复

本例的关键应该还有s-100的表达吧,呵呵

0
回复

九华 离线

帖子:223
粉蓝豆:29
经验:982
注册时间:2007-01-21
加关注  |  发消息
20 楼    发表于2012-01-08 10:41:09举报|引用
返回顶部 | 快捷回复
本帖最后由 九华 于 2012-01-08 10:43:57 编辑

梭形细胞CK阳性,炎性肌纤维母可以出现,20年病程虽可以排除,但是他毕竟是骨折未愈的创口;取材部位深的滑膜肿也不能完全排除,标记还得加做

1

成 克 伦
回复
signature
病理是我的热爱,所以离开后,转身又回来了!!
回复:23 阅读:8049
共2页/23条首页上一页12下一页尾页
【免责声明】讨论内容仅作学术交流之用,不作为诊疗依据,由此而引起的法律问题作者及本站不承担任何责任。
快速回复
进入高级回复
您最多可输入10000个汉字,按 "Ctrl" + "Enter" 直接发送
搜索回复/乘电梯 ×
按内容
按会员
乘电梯
合作伙伴
友情链接