共1页/9条首页上一页1下一页尾页
回复:9 阅读:2705
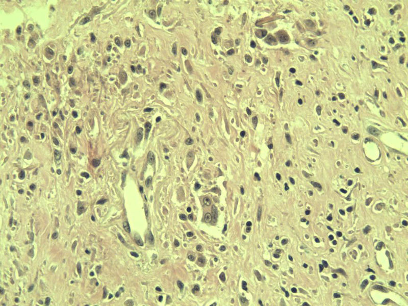
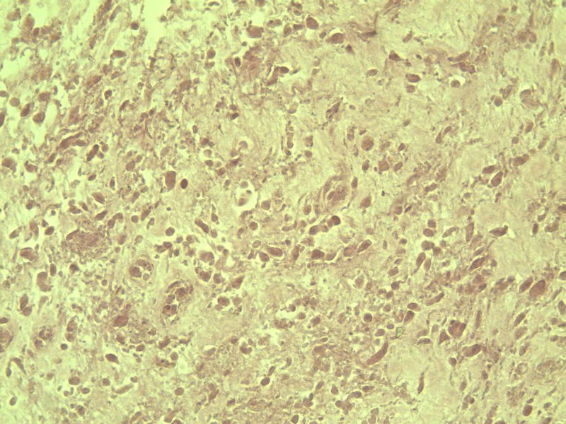
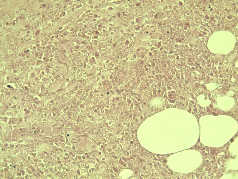
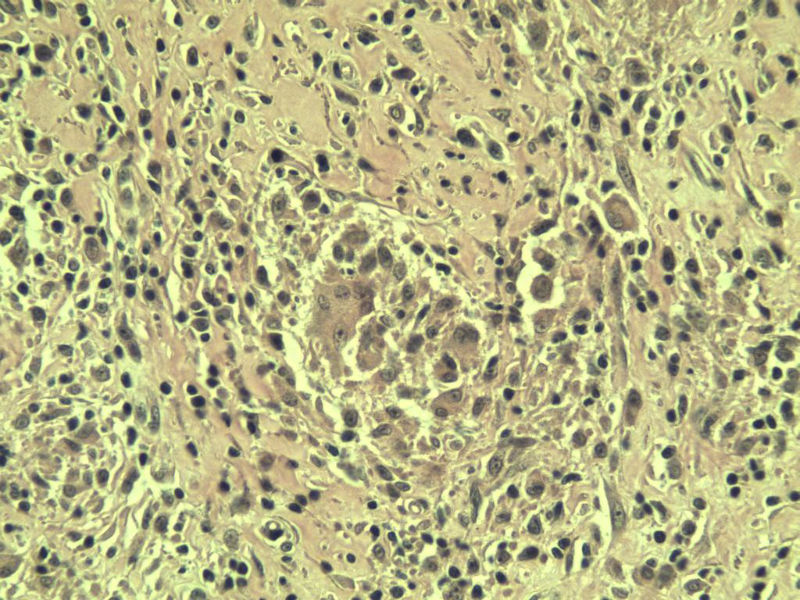
B3852乳腺包块

yy369yy 离线

帖子:321
粉蓝豆:27
经验:1131
注册时间:2009-12-18
加关注  |  发消息
楼主 发表于 2011-12-21 15:58|举报|关注(0)
浏览排序[ 顺序 逆序 楼主 支持 精彩 ]  快捷回复
乳腺包块图1
名称:图1
描述:a403.Jpg

乳腺包块图2
名称:图2
描述:a404.Jpg
乳腺包块图3
名称:图3
描述:a405.Jpg
乳腺包块图4
名称:图4
描述:a406.Jpg
乳腺包块图5
名称:图5
描述:a407.Jpg
乳腺包块图6
名称:图6
描述:a408.Jpg
乳腺包块图7
名称:图7
描述:a409.Jpg
乳腺包块图8
名称:图8
描述:a410.Jpg
乳腺包块图9
名称:图9
描述:a411.Jpg
乳腺包块图10
名称:图10
描述:a412.Jpg
乳腺包块图11
名称:图11
描述:a413.Jpg
乳腺包块图12
名称:图12
描述:a414.Jpg
乳腺包块图13
名称:图13
描述:a415.Jpg
乳腺包块图14
名称:图14

描述:a416.Jpg 

标签:乳腺肉芽肿性炎 乳腺炎症
0

相关帖子

添加参考诊断
×参考诊断
  

yy369yy 离线

帖子:321
粉蓝豆:27
经验:1131
注册时间:2009-12-18
加关注  |  发消息
1 楼    发表于2011-12-21 16:11:35举报|引用
返回顶部 | 快捷回复

57岁 乳腺包块与胸骨粘连。 体积 2 × 1.5 × 0.6 cm³。切面灰白,实性,质韧。请各位老师看看,是什么?谢谢了

1年前因"右侧乳房包块"在当地卫生院诊断不详,予以手术切除包块,未进一步作包块病理检查,术后伤口愈合后出院,后发现原手术切口下方包块复发。

0
回复

旅顺病理 离线

帖子:4084
粉蓝豆:144
经验:5113
注册时间:2011-06-04
加关注  |  发消息
2 楼    发表于2011-12-21 16:20:26举报|引用
返回顶部 | 快捷回复

瘢痕及肉芽肿性炎。

0
回复

闹闹 离线

帖子:944
粉蓝豆:24
经验:1921
注册时间:2007-07-25
加关注  |  发消息
3 楼    发表于2011-12-21 20:55:57举报|引用
返回顶部 | 快捷回复

考虑炎症性病变 

0
回复

笃行者 离线

帖子:2689
粉蓝豆:59
经验:3020
注册时间:2006-10-04
加关注  |  发消息
4 楼    发表于2011-12-21 21:24:00举报|引用
返回顶部 | 快捷回复

有坏死,有肉芽肿样改变,可能与第一次手术有关。

0
回复
signature
博学之,审问之,慎思之,明辨之,笃行之。

夏日 离线

帖子:1057
粉蓝豆:45
经验:1529
注册时间:2011-04-05
加关注  |  发消息
5 楼    发表于2011-12-21 22:01:38举报|引用
返回顶部 | 快捷回复

肉芽肿性炎

0
回复

伊恋佳人 离线

帖子:1258
粉蓝豆:505
经验:1714
注册时间:2010-03-13
加关注  |  发消息
6 楼    发表于2011-12-21 22:01:57举报|引用
返回顶部 | 快捷回复

肉芽肿性炎。

0
回复

suntiger 离线

帖子:255
粉蓝豆:3
经验:2265
注册时间:2006-10-20
加关注  |  发消息
7 楼    发表于2011-12-21 22:23:58举报|引用
返回顶部 | 快捷回复

肉芽肿性炎

0
回复

cqzhao 离线

帖子:5518
粉蓝豆:1071
经验:5755
注册时间:2008-09-29
加关注  |  发消息
8 楼    发表于2011-12-23 20:41:01举报|引用
返回顶部 | 快捷回复
引用 4 楼 笃行者 在 2011-12-21 21:24:00 的发言:

有坏死,有肉芽肿样改变,可能与第一次手术有关。


1

河南老杨
回复

wangyanyan 离线

帖子:5
粉蓝豆:1
经验:5
注册时间:2011-12-23
加关注  |  发消息
9 楼    发表于2011-12-23 21:09:45举报|引用
返回顶部 | 快捷回复

肉芽肿性炎,需要排除结核,同时仔细看看有无异型细胞。

0
回复
回复:9 阅读:2705
共1页/9条首页上一页1下一页尾页
【免责声明】讨论内容仅作学术交流之用,不作为诊疗依据,由此而引起的法律问题作者及本站不承担任何责任。
快速回复
进入高级回复
您最多可输入10000个汉字,按 "Ctrl" + "Enter" 直接发送
搜索回复/乘电梯 ×
按内容
按会员
乘电梯
合作伙伴
友情链接