共1页/12条首页上一页1下一页尾页
回复:12 阅读:5955
病理二:甲母痣?黑素瘤?

hsn 离线

帖子:130
粉蓝豆:45
经验:206
注册时间:2009-08-03
加关注  |  发消息
楼主 发表于 2011-12-17 22:59|举报|关注(1)
浏览排序[ 顺序 逆序 楼主 支持 精彩 ]  快捷回复

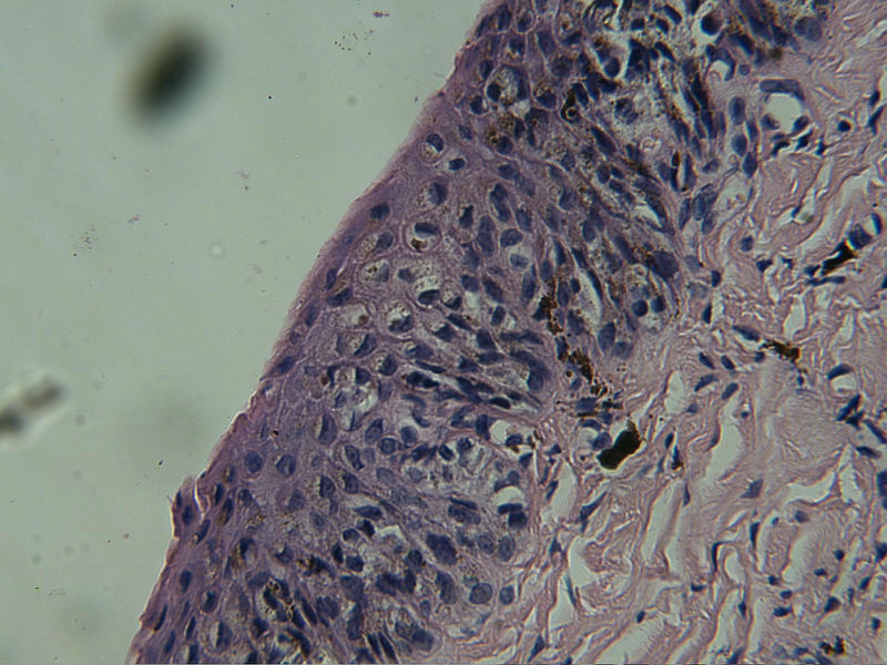
 患者女,25岁,左无名指甲变黑1年余

  • 病理二:甲母痣?黑素瘤?图1
    图1
  • 病理二:甲母痣?黑素瘤?图2
    图2
  • 病理二:甲母痣?黑素瘤?图3
    图3
  • 病理二:甲母痣?黑素瘤?图4
    图4
  • 病理二:甲母痣?黑素瘤?图5
    图5
  • 病理二:甲母痣?黑素瘤?图6
    图6
  • 病理二:甲母痣?黑素瘤?图7
    图7
  • 病理二:甲母痣?黑素瘤?图8
    图8
  • 病理二:甲母痣?黑素瘤?图9
    图9
  • 病理二:甲母痣?黑素瘤?图10
    图10
  • 病理二:甲母痣?黑素瘤?图11
    图11
  • 病理二:甲母痣?黑素瘤?图12
    图12
  • 病理二:甲母痣?黑素瘤?图13
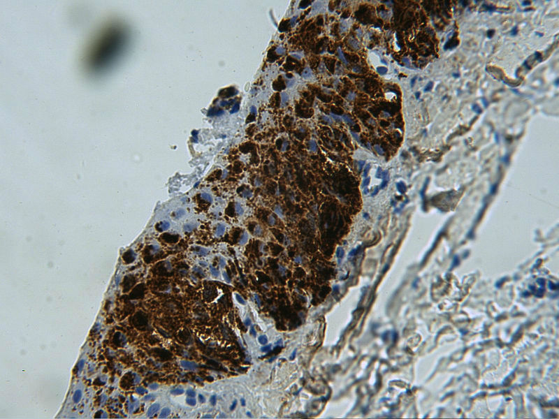
    HMB45
  • 病理二:甲母痣?黑素瘤?图14
    HMB45
标签:病理
0
×参考诊断
考虑原位肢端黑素瘤

wskik120 离线

帖子:485
粉蓝豆:1260
经验:1819
注册时间:2007-04-06
加关注  |  发消息
1 楼    发表于2011-12-18 10:11:41举报|引用
返回顶部 | 快捷回复
本帖最后由 wskik120 于 2011-12-18 10:23:51 编辑

如果按照徐秀莲老师的标准也够了

0
回复

一棵小草 离线

帖子:5101
粉蓝豆:12
经验:7184
注册时间:2008-07-07
加关注  |  发消息
2 楼    发表于2011-12-18 22:05:19举报|引用
返回顶部 | 快捷回复

考虑甲下原位黑素瘤。

0
回复

杏林散客 离线

帖子:2097
粉蓝豆:87
经验:2406
注册时间:2008-05-18
加关注  |  发消息
3 楼    发表于2011-12-19 00:35:27举报|引用
返回顶部 | 快捷回复

需要考虑原位恶黑,无论临床和病理都支持!

0
回复
signature
皮毛之事,方寸之间,大千世界!

慕珊 离线

帖子:36
粉蓝豆:3
经验:36
注册时间:2011-12-03
加关注  |  发消息
4 楼    发表于2011-12-25 23:02:30举报|引用
返回顶部 | 快捷回复
同意恶黑,仔细靠甲皱璧也变黑,临床有鉴别意义
0
回复

flj20092049 离线

帖子:212
粉蓝豆:9
经验:470
注册时间:2011-11-23
加关注  |  发消息
5 楼    发表于2011-12-26 10:49:16举报|引用
返回顶部 | 快捷回复

经典,学习了~~~

0
回复
signature

ahhbhzlin 离线

帖子:3090
粉蓝豆:50
经验:11826
注册时间:2008-07-24
加关注  |  发消息
6 楼    发表于2011-12-26 10:58:25举报|引用
返回顶部 | 快捷回复

考虑原位恶黑

0
回复

xuesizeng 离线

帖子:1148
粉蓝豆:87
经验:1173
注册时间:2007-02-03
加关注  |  发消息
7 楼    发表于2011-12-27 16:14:18举报|引用
返回顶部 | 快捷回复

临床皮损在甲根已见黑色斑,病理改变基底层黑素细胞增生活跃。要考虑原位肢端黑素瘤了。

0
回复

mayueying 离线

帖子:73
粉蓝豆:11
经验:74
注册时间:2009-09-03
加关注  |  发消息
8 楼    发表于2011-12-27 21:00:46举报|引用
返回顶部 | 快捷回复

学习

0
回复

kennylotus 离线

帖子:8
粉蓝豆:1
经验:27
注册时间:2010-11-13
加关注  |  发消息
9 楼    发表于2012-05-01 21:58:21举报|引用
返回顶部 | 快捷回复

学习 学习 第一次见

0
回复

人淡如菊 离线

帖子:282
粉蓝豆:236
经验:1936
注册时间:2006-10-19
加关注  |  发消息
10 楼    发表于2012-05-02 11:44:54举报|引用
返回顶部 | 快捷回复

学习

0
回复
signature
病理

tanghaihua 离线

帖子:119
粉蓝豆:7
经验:439
注册时间:2011-11-10
加关注  |  发消息
11 楼    发表于2012-05-02 18:32:55举报|引用
返回顶部 | 快捷回复

学习了

 

0
回复
signature
行万里路 读万卷书

tianhui77 离线

帖子:731
粉蓝豆:217
经验:1242
注册时间:2009-08-27
加关注  |  发消息
12 楼    发表于2012-05-02 22:22:53举报|引用
返回顶部 | 快捷回复

原位恶黑

0
回复
回复:12 阅读:5955
共1页/12条首页上一页1下一页尾页
【免责声明】讨论内容仅作学术交流之用,不作为诊疗依据,由此而引起的法律问题作者及本站不承担任何责任。
快速回复
进入高级回复
您最多可输入10000个汉字,按 "Ctrl" + "Enter" 直接发送
搜索回复/乘电梯 ×
按内容
按会员
乘电梯
合作伙伴
友情链接