共2页/29条首页上一页12下一页尾页
回复:29 阅读:6627
卵巢囊肿

给我一双GGX 离线

帖子:9
粉蓝豆:1
经验:59
注册时间:2011-11-11
加关注  |  发消息
楼主 发表于 2011-12-16 19:52|举报|关注(0)
浏览排序[ 顺序 逆序 楼主 支持 精彩 ]  快捷回复

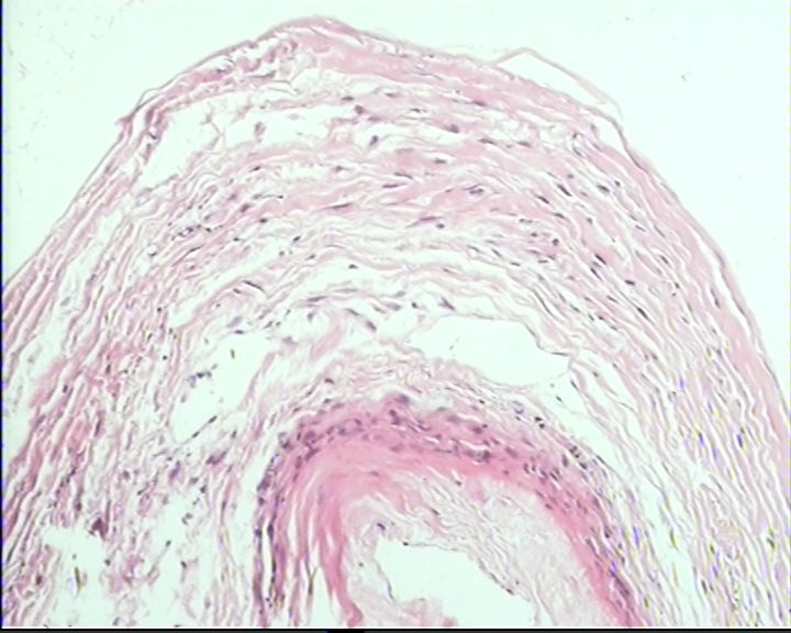
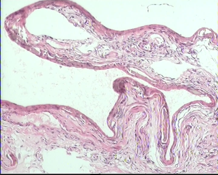
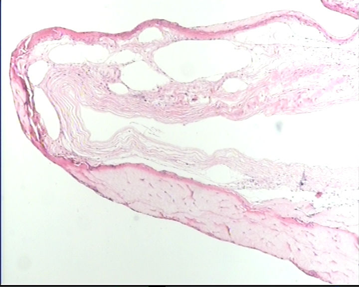
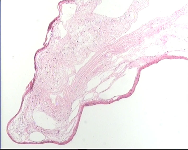
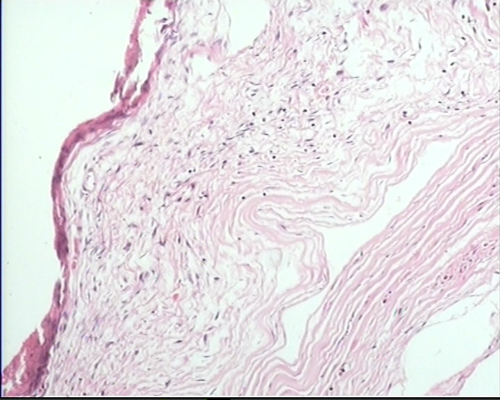
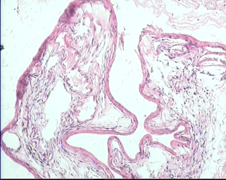
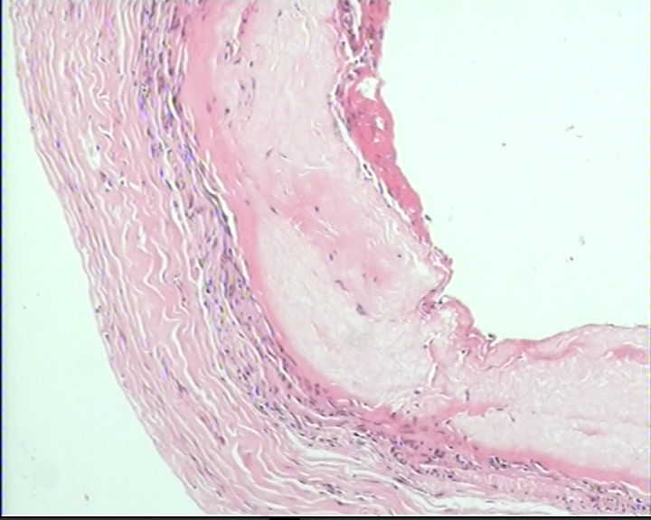
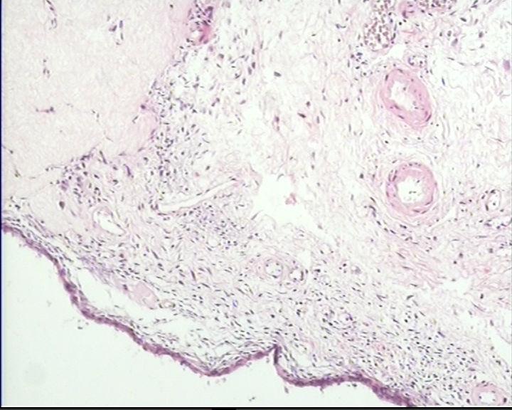
 这一类型的卵巢囊肿该怎么发?
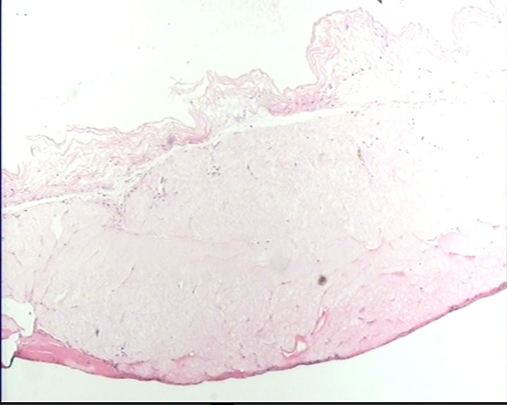
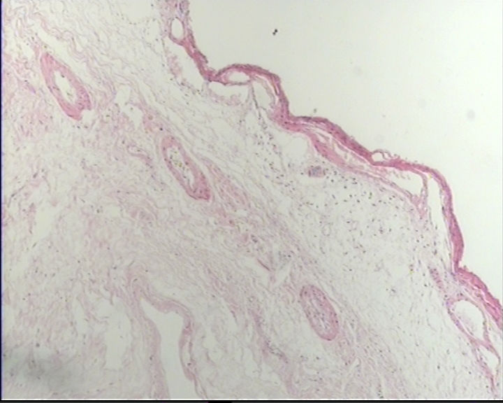
       剖宫产时卵巢上面剥离下来的,7×6.5×2cm,囊壁菲薄,内容淡黄色清亮液体,内壁光滑

卵巢囊肿图1
名称:图1
描述:1120981
卵巢囊肿图2
名称:图2
描述:1120982
卵巢囊肿图3
名称:图3
描述:1120983
卵巢囊肿图4
名称:图4
描述:1120984
卵巢囊肿图5
名称:图5
描述:1120985
卵巢囊肿图6
名称:图6
描述:1120986
卵巢囊肿图7
名称:图7
描述:1120987
卵巢囊肿图8
名称:图8
描述:1120988
卵巢囊肿图9
名称:图9
描述:1120989
卵巢囊肿图10
名称:图10
描述:11209810

标签:
0
添加参考诊断
×参考诊断
  

zhangyuying 离线

帖子:207
粉蓝豆:18
经验:418
注册时间:2011-07-03
加关注  |  发消息
1 楼    发表于2011-12-16 20:36:33举报|引用
返回顶部 | 快捷回复

仔细找找,如果确实没有明确的被覆上皮就报单纯性囊肿。

2

F8

wzkxn
回复
signature
再长的路,一步一步总能走完;再短的路,不迈开双脚就永远不会到达终点。

二土匪 离线

帖子:771
粉蓝豆:23
经验:1213
注册时间:2011-10-11
加关注  |  发消息
2 楼    发表于2011-12-16 20:49:52举报|引用
返回顶部 | 快捷回复

单纯性囊肿

0
回复
signature
红尘中有独处的心,独处时有红尘的怀抱。

珠江人家 离线

帖子:356
粉蓝豆:1856
经验:887
注册时间:2008-03-19
加关注  |  发消息
3 楼    发表于2011-12-16 22:10:32举报|引用
返回顶部 | 快捷回复

单纯囊肿。未见明确上皮成分,良性。

1

绿袖
回复

暖暖 离线

帖子:320
粉蓝豆:3
经验:320
注册时间:2007-07-10
加关注  |  发消息
4 楼    发表于2011-12-17 01:11:04举报|引用
返回顶部 | 快捷回复

没有典型被覆上皮,就报单纯囊肿。

0
回复

多多fund 离线

帖子:233
粉蓝豆:30
经验:608
注册时间:2009-03-31
加关注  |  发消息
5 楼    发表于2011-12-17 01:27:05举报|引用
返回顶部 | 快捷回复

单纯性囊肿

1

霄锴
回复

小点 离线

帖子:1926
粉蓝豆:142
经验:3071
注册时间:2009-02-22
加关注  |  发消息
6 楼    发表于2011-12-17 09:40:33举报|引用
返回顶部 | 快捷回复

单纯性囊肿

0
回复

lchxhy 离线

帖子:186
粉蓝豆:67
经验:602
注册时间:2009-08-27
加关注  |  发消息
7 楼    发表于2011-12-17 09:57:16举报|引用
返回顶部 | 快捷回复

单纯性囊肿

0
回复

xuexiaoqing 离线

帖子:520
粉蓝豆:2252
经验:3795
注册时间:2011-08-29
加关注  |  发消息
8 楼    发表于2011-12-17 10:11:23举报|引用
返回顶部 | 快捷回复

单纯性囊肿

0
回复
signature
XUEXIAOQING

月影 离线

帖子:62
粉蓝豆:707
经验:63
注册时间:2011-03-15
加关注  |  发消息
9 楼    发表于2011-12-17 11:12:59举报|引用
返回顶部 | 快捷回复

单纯囊中

0
回复

乌之语 离线

帖子:268
粉蓝豆:473
经验:290
注册时间:2011-08-04
加关注  |  发消息
10 楼    发表于2011-12-17 12:45:56举报|引用
返回顶部 | 快捷回复

同意单纯性囊肿,没有被覆上皮。

0
回复

亡羊补牢 离线

帖子:1304
粉蓝豆:2
经验:2118
注册时间:2010-09-29
加关注  |  发消息
11 楼    发表于2011-12-17 20:16:26举报|引用
返回顶部 | 快捷回复

未见被覆上皮,单纯性囊肿。

0
回复
signature

一花一世界,一木一浮生

lishiyi2010 离线

帖子:280
粉蓝豆:0
经验:366
注册时间:2010-08-01
加关注  |  发消息
12 楼    发表于2011-12-17 20:21:33举报|引用
返回顶部 | 快捷回复

单纯性囊肿。

0
回复
signature
笑对人生

山川 离线

帖子:324
粉蓝豆:18
经验:926
注册时间:2010-12-28
加关注  |  发消息
13 楼    发表于2011-12-17 20:25:31举报|引用
返回顶部 | 快捷回复

同意单纯性囊肿,未见明显被覆上皮。

0
回复
signature
看图识字

雁南飞飞 离线

帖子:989
粉蓝豆:38
经验:1395
注册时间:2009-07-02
加关注  |  发消息
14 楼    发表于2011-12-17 21:52:01举报|引用
返回顶部 | 快捷回复

符合单纯性囊肿

1

水晶蔷薇
回复
signature
学海无涯

泉水叮咚响 离线

帖子:2163
粉蓝豆:113
经验:11663
注册时间:2010-12-30
加关注  |  发消息
15 楼    发表于2011-12-17 22:15:35举报|引用
返回顶部 | 快捷回复

 单纯性囊肿

0
回复
signature
刀不磨会生锈,人不学习会落后。

xyxu 离线

帖子:47
粉蓝豆:1201
经验:557
注册时间:2011-07-02
加关注  |  发消息
16 楼    发表于2011-12-17 22:55:42举报|引用
返回顶部 | 快捷回复

单纯性囊肿

0
回复
signature
刻苦学习,努力提高

精于本业 离线

帖子:131
粉蓝豆:147
经验:221
注册时间:2011-09-05
加关注  |  发消息
17 楼    发表于2011-12-17 23:56:53举报|引用
返回顶部 | 快捷回复
单纯性囊肿,没有被覆上皮。
0
回复

759926400 离线

帖子:250
粉蓝豆:137
经验:495
注册时间:2011-08-07
加关注  |  发消息
18 楼    发表于2011-12-18 13:17:08举报|引用
返回顶部 | 快捷回复

单纯性囊肿

0
回复

dsjl 离线

帖子:228
粉蓝豆:690
经验:597
注册时间:2009-02-22
加关注  |  发消息
19 楼    发表于2011-12-18 15:43:53举报|引用
返回顶部 | 快捷回复

单纯性囊肿

0
回复

西吉彗星 离线

帖子:272
粉蓝豆:3375
经验:468
注册时间:2008-02-03
加关注  |  发消息
20 楼    发表于2011-12-18 18:17:20举报|引用
返回顶部 | 快捷回复

0
回复
回复:29 阅读:6627
共2页/29条首页上一页12下一页尾页
【免责声明】讨论内容仅作学术交流之用,不作为诊疗依据,由此而引起的法律问题作者及本站不承担任何责任。
快速回复
进入高级回复
您最多可输入10000个汉字,按 "Ctrl" + "Enter" 直接发送
搜索回复/乘电梯 ×
按内容
按会员
乘电梯
合作伙伴
友情链接