共1页/10条首页上一页1下一页尾页
回复:10 阅读:3168
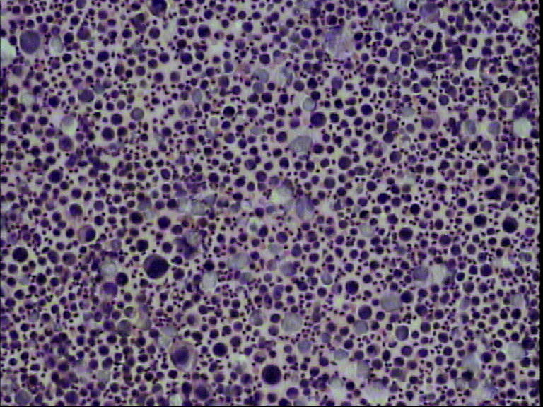
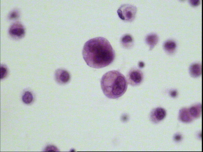
男性,80岁,腹水待查

169991 离线

帖子:542
粉蓝豆:132
经验:1174
注册时间:2006-11-15
加关注  |  发消息
楼主 发表于 2011-12-14 21:28|举报|关注(0)
浏览排序[ 顺序 逆序 楼主 支持 精彩 ]  快捷回复
  • 男性,80岁,腹水待查图1
    图1
  • 男性,80岁,腹水待查图2
    图2

  • 图3
  • 男性,80岁,腹水待查图3
    图4
  • 男性,80岁,腹水待查图4
    图5
  • 男性,80岁,腹水待查图5
    图6
  • 男性,80岁,腹水待查图6
    图7
  • 男性,80岁,腹水待查图7
    图8
  • 男性,80岁,腹水待查图8
    图9
  • 男性,80岁,腹水待查图9
    图10

 

标签:
0
添加参考诊断
×参考诊断
  

jani 离线

帖子:1707
粉蓝豆:46
经验:1808
注册时间:2009-03-21
加关注  |  发消息
1 楼    发表于2011-12-14 21:41:59举报|引用
返回顶部 | 快捷回复

考虑增生性间皮细胞

0
回复
signature
只有做你不会做的事 才能做会所有的事

lei 离线

帖子:501
粉蓝豆:36
经验:1360
注册时间:2006-12-11
加关注  |  发消息
2 楼    发表于2011-12-14 22:14:48举报|引用
返回顶部 | 快捷回复

腺癌?,细胞形态暂时不讨论,做IC,会比讨论来的更实在。

0
回复

xb3263 离线

帖子:510
粉蓝豆:3
经验:605
注册时间:2009-01-05
加关注  |  发消息
3 楼    发表于2011-12-15 09:41:23举报|引用
返回顶部 | 快捷回复

可疑癌细胞,确实需要做IHC。

0
回复

孟尚文 离线

帖子:399
粉蓝豆:18
经验:2665
注册时间:2008-03-01
加关注  |  发消息
4 楼    发表于2011-12-15 09:56:21举报|引用
返回顶部 | 快捷回复

恶性细胞,需做IHC。

1

hyl76
回复
signature
我运动,我健康。

charles 离线

帖子:220
粉蓝豆:3
经验:1949
注册时间:2011-01-21
加关注  |  发消息
5 楼    发表于2011-12-15 10:12:19举报|引用
返回顶部 | 快捷回复

细胞有异型

0
回复

jeaven 离线

帖子:438
粉蓝豆:198
经验:1088
注册时间:2009-07-04
加关注  |  发消息
6 楼    发表于2011-12-17 21:04:29举报|引用
返回顶部 | 快捷回复

间皮细胞

1

文长江
回复
signature
先做该做的事,再做想做的事

流水 离线

帖子:1105
粉蓝豆:46
经验:3110
注册时间:2008-11-11
加关注  |  发消息
7 楼    发表于2011-12-17 22:26:31举报|引用
返回顶部 | 快捷回复

低分化腺癌要重点考虑!

0
回复

病理020 离线

帖子:1344
粉蓝豆:5604
经验:1814
注册时间:2011-10-02
加关注  |  发消息
8 楼    发表于2011-12-17 22:33:51举报|引用
返回顶部 | 快捷回复

涂片中可见淋巴细胞、中性粒细胞及间皮细胞,个别核大深染的细胞是增生的间皮细胞,不是癌细胞,这种细胞很容易和癌细胞混淆,下诊断时一定要加小心。

0
回复
signature
邓学田

lishufeng7 离线

帖子:137
粉蓝豆:46
经验:708
注册时间:2011-09-08
加关注  |  发消息
9 楼    发表于2011-12-17 22:48:00举报|引用
返回顶部 | 快捷回复

最好结合病史

0
回复
signature
享受生活

xyxu 离线

帖子:47
粉蓝豆:1201
经验:557
注册时间:2011-07-02
加关注  |  发消息
10 楼    发表于2011-12-17 22:53:53举报|引用
返回顶部 | 快捷回复

细胞有异形,且胞浆内有空泡,需结合临床检查或做免疫组化已确诊。

0
回复
signature
刻苦学习,努力提高
回复:10 阅读:3168
共1页/10条首页上一页1下一页尾页
【免责声明】讨论内容仅作学术交流之用,不作为诊疗依据,由此而引起的法律问题作者及本站不承担任何责任。
快速回复
进入高级回复
您最多可输入10000个汉字,按 "Ctrl" + "Enter" 直接发送
搜索回复/乘电梯 ×
按内容
按会员
乘电梯
合作伙伴
友情链接