共1页/7条首页上一页1下一页尾页
回复:7 阅读:2144
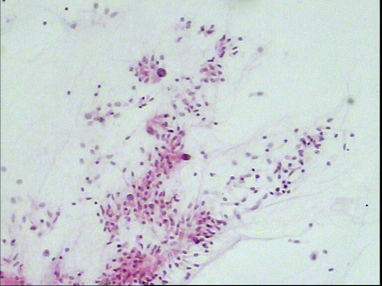
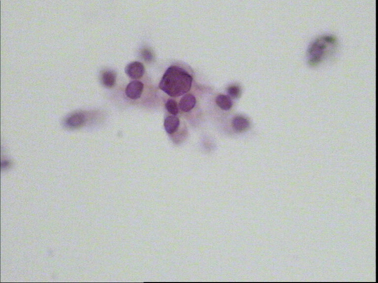
男性,65岁,支气管灌洗液,肝癌术后

169991 离线

帖子:542
粉蓝豆:132
经验:1174
注册时间:2006-11-15
加关注  |  发消息
楼主 发表于 2011-12-14 21:20|举报|关注(0)
浏览排序[ 顺序 逆序 楼主 支持 精彩 ]  快捷回复
  • 男性,65岁,支气管灌洗液,肝癌术后图1
    图1
  • 男性,65岁,支气管灌洗液,肝癌术后图2
    图2
  • 男性,65岁,支气管灌洗液,肝癌术后图3
    图3
  • 男性,65岁,支气管灌洗液,肝癌术后图4
    图4
  • 男性,65岁,支气管灌洗液,肝癌术后图5
    图5
  • 男性,65岁,支气管灌洗液,肝癌术后图6
    图6
  • 男性,65岁,支气管灌洗液,肝癌术后图7
    图7
  • 男性,65岁,支气管灌洗液,肝癌术后图8
    图8

 

标签:
0
添加参考诊断
×参考诊断
  

jani 离线

帖子:1707
粉蓝豆:46
经验:1808
注册时间:2009-03-21
加关注  |  发消息
1 楼    发表于2011-12-14 21:43:09举报|引用
返回顶部 | 快捷回复

个别细胞有异常  报可疑吧

0
回复
signature
只有做你不会做的事 才能做会所有的事

xb3263 离线

帖子:510
粉蓝豆:3
经验:605
注册时间:2009-01-05
加关注  |  发消息
2 楼    发表于2011-12-15 09:42:25举报|引用
返回顶部 | 快捷回复

个别异型细胞,癌细胞不能排除。

1

风雨同行
回复

孟尚文 离线

帖子:399
粉蓝豆:18
经验:2665
注册时间:2008-03-01
加关注  |  发消息
3 楼    发表于2011-12-15 09:53:47举报|引用
返回顶部 | 快捷回复

可疑

0
回复
signature
我运动,我健康。

gwls0008 离线

帖子:1365
粉蓝豆:5
经验:1465
注册时间:2008-08-24
加关注  |  发消息
4 楼    发表于2011-12-15 18:04:54举报|引用
返回顶部 | 快捷回复

打少数核异质细胞足够了。

0
回复

zsg010281 离线

帖子:228
粉蓝豆:2
经验:246
注册时间:2011-06-19
加关注  |  发消息
5 楼    发表于2011-12-15 19:08:43举报|引用
返回顶部 | 快捷回复
引用 2 楼 xb3263 在 2011-12-15 09:42:25 的发言:

个别异型细胞,癌细胞不能排除。


0
回复
signature
与世无争,延年益寿。

haozengfang 离线

帖子:13
粉蓝豆:135
经验:150
注册时间:2010-01-14
加关注  |  发消息
6 楼    发表于2011-12-15 19:09:49举报|引用
返回顶部 | 快捷回复

学习

0
回复
signature
厚积薄发

zhenshijian 离线

帖子:1069
粉蓝豆:91
经验:1364
注册时间:2008-04-20
加关注  |  发消息
7 楼    发表于2011-12-15 19:33:40举报|引用
返回顶部 | 快捷回复
引用 4 楼 gwls0008 在 2011-12-15 18:04:54 的发言:

打少数核异质细胞足够了。


0
回复
回复:7 阅读:2144
共1页/7条首页上一页1下一页尾页
【免责声明】讨论内容仅作学术交流之用,不作为诊疗依据,由此而引起的法律问题作者及本站不承担任何责任。
快速回复
进入高级回复
您最多可输入10000个汉字,按 "Ctrl" + "Enter" 直接发送
搜索回复/乘电梯 ×
按内容
按会员
乘电梯
合作伙伴
友情链接