共1页/14条首页上一页1下一页尾页
回复:14 阅读:3399
骶尾部肿瘤

weixiao 离线

帖子:90
粉蓝豆:1061
经验:328
注册时间:2011-12-13
加关注  |  发消息
楼主 发表于 2011-12-13 22:10|举报|关注(1)
浏览排序[ 顺序 逆序 楼主 支持 精彩 ]  快捷回复

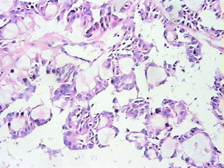
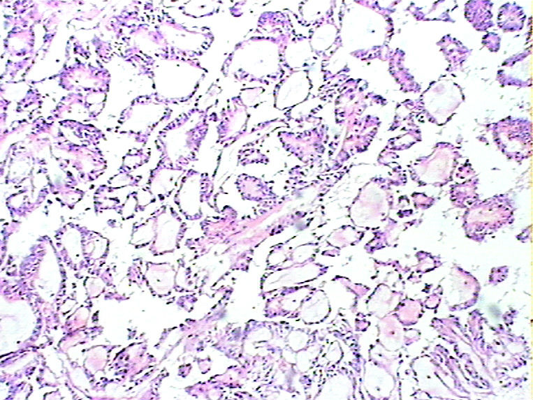
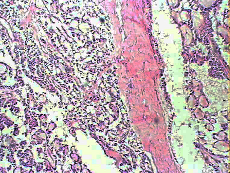
女48 骶尾部皮下见一结节状肿物,,9*6*4cm,切面实性,分叶状,灰白灰红灰黄色,质软。

其他器官未见异常,所以排除转移的可能

  • 骶尾部肿瘤图1
    图1
  • 骶尾部肿瘤图2
    图2
  • 骶尾部肿瘤图3
    图3
  • 骶尾部肿瘤图4
    图4
  • 骶尾部肿瘤图5
    图5

标签:骶尾部肿物
本帖最后由 weixiao 于 2012-02-07 23:44:01 编辑
0
×参考诊断
粘液性室管膜瘤

精于本业 离线

帖子:131
粉蓝豆:147
经验:221
注册时间:2011-09-05
加关注  |  发消息
1 楼    发表于2011-12-13 22:37:14举报|引用
返回顶部 | 快捷回复

粘液乳头状室管膜瘤,

1

TK1905
回复

病理020 离线

帖子:1344
粉蓝豆:5610
经验:1814
注册时间:2011-10-02
加关注  |  发消息
2 楼    发表于2011-12-13 22:45:15举报|引用
返回顶部 | 快捷回复

性别、病史要提供,转移瘤可确定,组织来源?要结合病史、性别、临床检查情况及影像初步确定方向,再加免疫组化。

0
回复
signature
邓学田

linyguo 离线

帖子:2365
粉蓝豆:43
经验:2514
注册时间:2009-08-09
加关注  |  发消息
3 楼    发表于2011-12-13 22:47:17举报|引用
返回顶部 | 快捷回复
引用 1 楼 精于本业 在 2011-12-13 22:37:14 的发言:

粘液乳头状室管膜瘤,


0
回复

TK1905 离线

帖子:962
粉蓝豆:283
经验:1054
注册时间:2010-03-14
加关注  |  发消息
4 楼    发表于2011-12-13 23:13:36举报|引用
返回顶部 | 快捷回复

是粘液乳头状室管膜瘤,但是楼主提供相关病史、临床资料不能少

0
回复

zhanglei 离线

帖子:3751
粉蓝豆:2077
经验:3901
注册时间:2006-09-26
加关注  |  发消息
5 楼    发表于2011-12-14 13:32:00举报|引用
返回顶部 | 快捷回复

请详细了解病人情况。

0
回复

老黄牛 离线

帖子:108
粉蓝豆:6
经验:138
注册时间:2011-02-10
加关注  |  发消息
6 楼    发表于2011-12-14 14:18:08举报|引用
返回顶部 | 快捷回复

了解一下病史对这例诊断很重要

0
回复
signature
李郝

weixiao 离线

帖子:90
粉蓝豆:1061
经验:328
注册时间:2011-12-13
加关注  |  发消息
7 楼    发表于2011-12-22 20:36:07举报|引用
返回顶部 | 快捷回复

会诊粘液乳头状室管膜瘤

1

yonghong..
回复

202PL 离线

帖子:850
粉蓝豆:127
经验:1050
注册时间:2010-06-19
加关注  |  发消息
8 楼    发表于2011-12-25 20:52:45举报|引用
返回顶部 | 快捷回复

0
回复

cmulin 离线

帖子:84
粉蓝豆:442
经验:115
注册时间:2010-10-14
加关注  |  发消息
9 楼    发表于2012-01-02 11:45:22举报|引用
返回顶部 | 快捷回复

 骶尾部可以有原发的室管膜瘤,并不一定是转移的

0
回复
signature
反反复复

cmulin 离线

帖子:84
粉蓝豆:442
经验:115
注册时间:2010-10-14
加关注  |  发消息
10 楼    发表于2012-01-02 11:47:28举报|引用
返回顶部 | 快捷回复

这种患者可能为神经管残留皮下或有脊柱裂等情况

0
回复
signature
反反复复

yourself 离线

帖子:663
粉蓝豆:7137
经验:691
注册时间:2007-06-30
加关注  |  发消息
11 楼    发表于2012-02-10 00:03:38举报|引用
返回顶部 | 快捷回复

骶尾部除皮下肿物外,骶尾部椎管内有肿物吗?看影像片便知,因此,若结合影像学,诊断就容易了。

0
回复

guoyunquan 离线

帖子:181
粉蓝豆:77
经验:290
注册时间:2010-08-24
加关注  |  发消息
12 楼    发表于2012-02-10 02:56:54举报|引用
返回顶部 | 快捷回复

HE切片质量有待提高,但是这个部位,这种乳头状机构,诊断粘液样乳头状室管膜瘤没有问题。

0
回复
signature
细节决定诊断,兴趣是最好的老师!

JX16 离线

帖子:1079
粉蓝豆:5
经验:3225
注册时间:2008-10-27
加关注  |  发消息
13 楼    发表于2014-01-18 17:23:54举报|引用
返回顶部 | 快捷回复

学习 

0
回复
signature
jx16

catcat 离线

帖子:1187
粉蓝豆:0
经验:2159
注册时间:2008-07-10
加关注  |  发消息
14 楼    发表于2014-12-30 21:22:40举报|引用
返回顶部 | 快捷回复
引用 13 楼 JX16 在 2014-01-18 17:23:54 的发言:

学习 


0
回复
回复:14 阅读:3399
共1页/14条首页上一页1下一页尾页
【免责声明】讨论内容仅作学术交流之用,不作为诊疗依据,由此而引起的法律问题作者及本站不承担任何责任。
快速回复
进入高级回复
您最多可输入10000个汉字,按 "Ctrl" + "Enter" 直接发送
搜索回复/乘电梯 ×
按内容
按会员
乘电梯
合作伙伴
友情链接